相关产品推荐更多 >

ZNF692 Rabbit pAb(bs-4360R)-50ul/100ul/200ul
¥1180
phospho-Fos B (Ser27) Rabbit pAb, RBITC conjugated(bs-13198R-RBITC)-100ul
¥2980
FARP1 Rabbit pAb, Cy3 conjugated(bs-13144R-Cy3)-100ul
¥2980
Desmoglein 1 Recombinant Rabbit mAb(bsm-54326R)-50ul/100ul/25ul
¥800
MRP1/ABCC1 Rabbit pAb, BF680 conjugated(bs-0657R-BF680)-100ul
¥2980
万千商家帮你免费找货
0 人在求购买到急需产品
- 详细信息
- 文献和实验
- 技术资料
- 应用范围:
产品信息以Bioss网站为准
- 规格:
50ul/100ul/200ul
| 规格: | 50ul | 产品价格: | ¥1180.0 |
|---|---|---|---|
| 规格: | 100ul | 产品价格: | ¥1980.0 |
| 规格: | 200ul | 产品价格: | ¥2800.0 |
| 产品编号 | bs-6064R |
| 英文名称 | PRSS8 Rabbit pAb |
| 中文名称 | 丝氨酸蛋白酶8抗体 |
| 英文别名 | CAP1; Channel Activating Protease 1; mCAP1; Prostasin; Prostasin heavy chain; protease, serine, 8; Prss8; PRSS8_HUMAN; Serine protease 8. |
| 产品应用 | WB=1:500-2000, IHC-P=1:100-500, IHC-F=1:100-500, IF=1:100-500 Not yet tested in other applications. |
| 交叉反应 | Human, Mouse, Rat (Dog, Pig, Cow) |
| 抗体来源 | Rabbit |
| 免疫原 | KLH conjugated synthetic peptide derived from human PRSS8 |
| 亚型 | IgG |
| 性状 | Liquid |
| 纯化方法 | affinity purified by Protein A |
| 克隆类型 | Polyclonal |
| 理论分子量 | 30/33 kDa |
| 浓度 | 1mg/ml |
| 储存液 | 0.01M TBS (pH7.4) with 1% BSA, 0.02% Proclin300 and 50% Glycerol. |
| 研究领域 | Cell Biology > Proteolysis / Ubiquitin > Proteolytic enzymes > Other proteases |
| 亚基 | Heterodimer of two chains, light and heavy, held by a disulfide bond. |
| 亚细胞定位 | Prostasin: Cell membrane; Single-pass membrane protein. Prostasin light chain: Secreted, extracellular space. Note=Found in the seminal fluid. Secreted after cleavage of its C-terminus. Prostasin heavy chain: Secreted, extracellular space. Note=Found in the seminal fluid. Secreted after cleavage of its C-terminus. |
| 组织特异性 | Found in prostate, liver, salivary gland, kidney, lung, pancreas, colon, bronchus and renal proximal tubular cells. In the prostate gland it may be synthesized in epithelial cells, secreted into the ducts, and excreted into the seminal fluid. |
| 相似性 | Belongs to the peptidase S1 family. Contains 1 peptidase S1 domain. |
| 功能 | Possesses a trypsin-like cleavage specificity. |
| 保存条件 | Shipped at 4℃. Store at -20℃ for one year. Avoid repeated freeze/thaw cycles. |
| 注意事项 | This product as supplied is intended for research use only, not for use in human, therapeutic or diagnostic applications. |
| 背景资料 | PRSS8 is a member of the trypsin family of serine proteases. It can be found in seminal fluid and is highly expressed in prostate epithelia. The proprotein is cleaved to produce a light chain and a heavy chain which are associated by a disulfide bond. The carboxyterminal region contains a GPI anchor sequence, which anchors prostasin to the cell surface. Phospholipase activity is thought to liberate prostasin from the cell, and cleavage of the linker region also releases prostasin. PRSS8 has been proposed as a marker for ovarian cancer, where it is up-regulated, a marker for androgen-refractory prostate cancer, where it is down-regulated, and as an inhibitor of invasiveness in breast cancer. |
| 应用 | 推荐稀释比例 |
| {WB} | {1:500-2000} |
| {IHC-P} | {1:100-500} |
| {IHC-F} | {1:100-500} |
| {IF} | {1:100-500} |

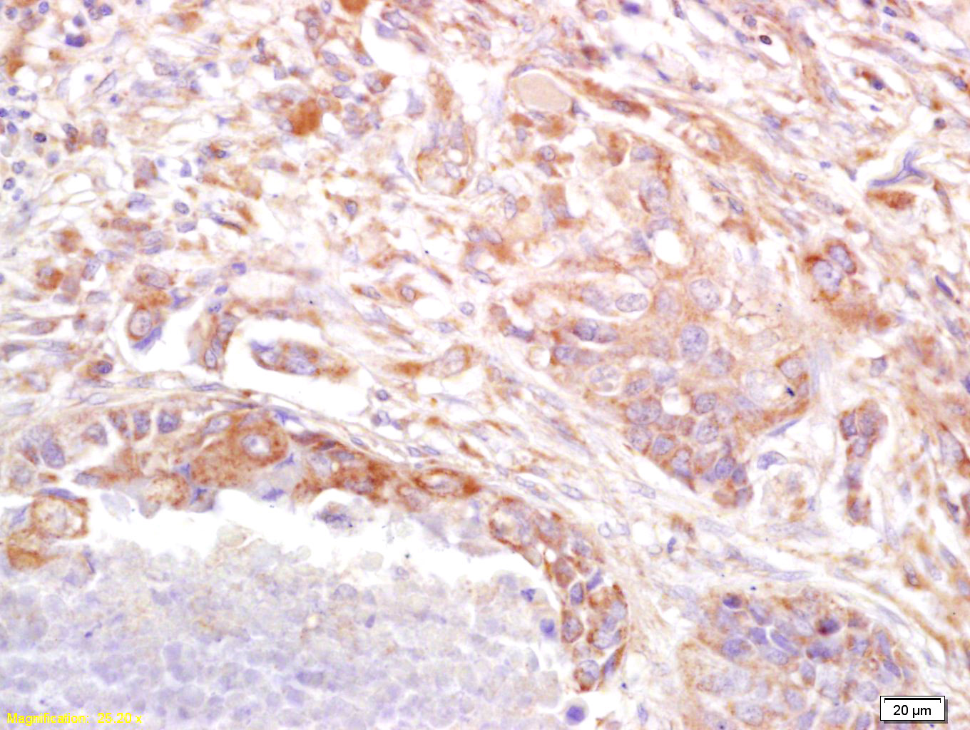
Antigen retrieval: citrate buffer ( 0.01M, pH 6.0 ), Boiling bathing for 15min; Block endogenous peroxidase by 3% Hydrogen peroxide for 30min; Blocking buffer (normal goat serum,C-0005) at 37℃ for 20 min;
Incubation: Anti-PRSS8 Polyclonal Antibody, Unconjugated(bs-6064R) 1:200, overnight at 4°C, followed by conjugation to the secondary antibody(SP-0023) and DAB(C-0010) staining

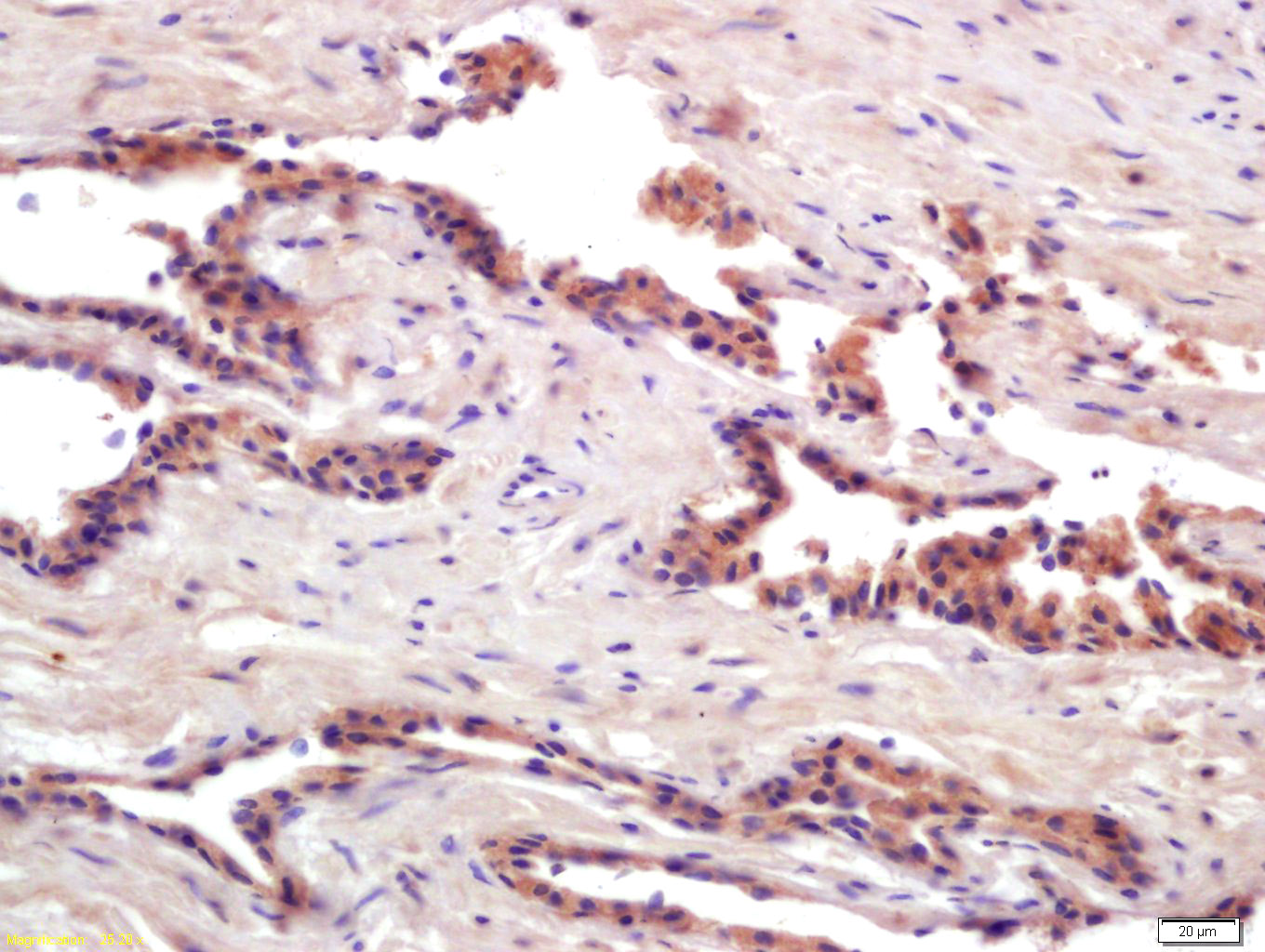
Antigen retrieval: citrate buffer ( 0.01M, pH 6.0 ), Boiling bathing for 15min; Block endogenous peroxidase by 3% Hydrogen peroxide for 30min; Blocking buffer (normal goat serum,C-0005) at 37℃ for 20 min;
Incubation: Anti-PRSS8 Polyclonal Antibody, Unconjugated(bs-6064R) 1:200, overnight at 4°C, followed by conjugation to the secondary antibody(SP-0023) and DAB(C-0010) staining

Lane 1: Muscle (Mouse) Lysate at 40 ug
Lane 2: Muscle (Rat) Lysate at 40 ug
Primary:
Anti- PRSS8 (bs-6064R) at 1/1000 dilution
Secondary: IRDye800CW Goat Anti-Rabbit IgG at 1/20000 dilution
Predicted band size: 37-40 kD
Observed band size: 40 kD

Kidney (Mouse) Lysate at 40 ug
Primary: Anti-PRSS8 (bs-6064R) at 1/1000 dilution
Secondary: IRDye800CW Goat Anti-Rabbit IgG at 1/20000 dilution
Predicted band size: 30/33 kD
Observed band size: 40/43 kD
风险提示:丁香通仅作为第三方平台,为商家信息发布提供平台空间。用户咨询产品时请注意保护个人信息及财产安全,合理判断,谨慎选购商品,商家和用户对交易行为负责。对于医疗器械类产品,请先查证核实企业经营资质和医疗器械产品注册证情况。
文献和实验= NAL), appears to form upon oxidative cyclization of the nonfluorescent 2:1 lysine-HNE Michael adduct-Schiff base cross-link (Scheme 1). Polyclonal antibody (PAb) to the NAL-HNE fluorophore was raised in rabbit and found to be highly specific
GE Healthcare Benzamidine Sepharose™ 6B is p-aminobenzamidine covalently attached to Sepharose 6B by the epoxy coupling method. p-Aminobenzamidine (PAB), is a synthetic inhibitor of trypsin-like serine protease. Trypsin and trypsin
Nucleic Acid Programmable Protein Arrays: Versatile Tools for Array‐Based Functional Protein Studies
.g., Sigma) 50 mg/ml bis‐sulfosuccinimdylsuberate (BS3 ;Pierce, cat. no. PI 21580) in dimethylsulfoxide (DMSO) 5 mg/ml
技术资料暂无技术资料 索取技术资料






