相关产品推荐更多 >

EGFR Rabbit pAb, Cy5.5 conjugated(bs-0405R-Cy5.5)-100ul
¥2980
GAL3ST4 Rabbit pAb, Biotin conjugated(bs-16215R-Bio)-100ul
¥2980
LASS3 Rabbit pAb(bs-24625R)-50ul/100ul/200ul
¥1180
MHC class I Rabbit pAb, BF405 conjugated(bs-7335R-BF405)-100ul
¥2980
FAM108A1 Rabbit pAb, Biotin conjugated(bs-14691R-Bio)-100ul
¥2980
万千商家帮你免费找货
0 人在求购买到急需产品
- 详细信息
- 技术资料
- 应用范围:
产品信息以Bioss网站为准
- 规格:
50ul/100ul/200ul
| 规格: | 50ul | 产品价格: | ¥1180.0 |
|---|---|---|---|
| 规格: | 100ul | 产品价格: | ¥1980.0 |
| 规格: | 200ul | 产品价格: | ¥2800.0 |
| 产品编号 | bs-10441R |
| 英文名称 | phospho-MST4 + MST3 + STK25 (Thr178 + Thr190 + Thr174) Rabbit pAb |
| 中文名称 | 磷酸化丝氨酸/苏氨酸蛋白激酶MST4,MST3,STK25抗体 |
| 英文别名 | phospho-MST4+MST3+STK25(phospho T178+T190+T174); p-MST4+MST3+STK25(phospho T178+T190+T174); Mammalian STE20 like protein kinase 3; Mammalian Ste20 like protein kinase 4; Mammalian sterile 20 like 4; MASK; mess1; MGC94619; MST 3; MST 4; MST; Mst2; MST3 and SOK1 related kinase; MST3; MST3B; OTTHUMP00000018592; OTTHUMP00000018593; Protein kinase homolog serine/threonine kinase 3(Ste20 yeast homolog); RGD1563568; RP11-111L24.5; Serine/threonine kinase 24(STE20 homolog yeast); Serine/threonine kinase 24; Serine/threonine kinase 25; Serine/threonine protein kinase 24; Serine/threonine protein kinase MASK; Serine/threonine protein kinase MST 4; Serine/threonine protein kinase MST4; SOK1; STE20; Ste20 like; Ste20 like kinase; STE20 like kinase 3; STE20 like kinase MST 4; STE20 like kinase MST3; STE20 like kinase MST4; Ste20 yeast homolog; Ste20/oxidant stress response kinase 1; Sterile 20(oxidant stress response kinase 1); sterile 20 like kinase 3; Sterile 20/oxidant stress-response kinase 1; STK3; Yeast Sps1/Ste20 related kinase 1; YSK1. |
| 产品应用 | WB=1:500-2000, IHC-P=1:100-500, IHC-F=1:100-500, IF=1:100-500 Not yet tested in other applications. |
| 交叉反应 | Human, Mouse, Rat (Cow, Horse, Sheep) |
| 抗体来源 | Rabbit |
| 免疫原 | KLH conjugated synthesised phosphopeptide derived from human MST4/MST3/STK25 around the phosphorylation site of Thr178/Thr190/Thr174 |
| 亚型 | IgG |
| 性状 | Liquid |
| 纯化方法 | affinity purified by Protein A |
| 克隆类型 | Polyclonal |
| 理论分子量 | 48 kDa |
| 浓度 | 1mg/ml |
| 储存液 | 0.01M TBS (pH7.4) with 1% BSA, 0.02% Proclin300 and 50% Glycerol. |
| 研究领域 | Cell Biology > Other Antibodies > Oxidative Stress Metabolism > Pathways and Processes > Redox metabolism > Oxidative stress Signal Transduction > Protein Phosphorylation > Ser / Thr Kinases > MAPK Pathway Signal Transduction > Protein Trafficking > Vesicle Transport > Regulation |
| 亚基 | Monomer. |
| 亚细胞定位 | STK25, MST4: Cytoplasmic, Golgi Apparatus. MST3: Cytoplasm. Nucleus. Membrane. Note=The truncated form (MST3/N) translocates to the nucleus. Co-localizes with STK38L in the membrane. |
| 组织特异性 | MST3: Isoform A is ubiquitous. Isoform B is expressed in brain with high expression in hippocampus and cerebral cortex. |
| 翻译后修饰 | MST3: Proteolytically processed by caspases during apoptosis. Proteolytic cleavage results in kinase activation, nuclear translocation of the truncated form (MST3/N) and the induction of apoptosis.
Isoform B is activated by phosphorylation by PKA. Oxidative stress induces phosphorylation. Activated by autophosphorylation at Thr-190 and phosphorylation at this site is essential for its function. Manganese, magnesium and cobalt-dependent autophosphorylation is mainly on threonine residues while zinc-dependent autophosphorylation is on both serine and threonine residues. |
| 相似性 | Belongs to the protein kinase superfamily. STE Ser/Thr protein kinase family. STE20 subfamily. Contains 1 protein kinase domain. |
| 功能 | Serine/threonine-protein kinase that acts on both serine and threonine residues and promotes apoptosis in response to stress stimuli and caspase activation. Mediates oxidative-stress-induced cell death by modulating phosphorylation of JNK1-JNK2 (MAPK8 and MAPK9), p38 (MAPK11, MAPK12, MAPK13 and MAPK14) during oxidative stress. Plays a role in a staurosporine-induced caspase-independent apoptotic pathway by regulating the nuclear translocation of AIFM1 and ENDOG and the DNase activity associated with ENDOG. Phosphorylates STK38L on 'Thr-442' and stimulates its kinase activity. Regulates cellular migration with alteration of PTPN12 activity and PXN phosphorylation: phosphorylates PTPN12 and inhibits its activity and may regulate PXN phosphorylation through PTPN12. May act as a key regulator of axon regeneration in the optic nerve and radial nerve. |
| 保存条件 | Shipped at 4℃. Store at -20℃ for one year. Avoid repeated freeze/thaw cycles. |
| 注意事项 | This product as supplied is intended for research use only, not for use in human, therapeutic or diagnostic applications. |
| 背景资料 | Novel human Ste20-related kinase Mst4 is biologically active in the activation of MEK/ERK pathway and in mediating cell growth and transformation. It is pro apoptotic and is highly expressed in placenta, thymus, and peripheral blood leukocytes. Interaction with Golgi matrix protein GOLGA2 results in autophosphorylation on Thr-178, possibly as a consequence of stabilization of dimer formation. This may also be activated by C terminal cleavage. MST3 or Mammalian Sterile 20-like kinase 3 is a member of the germinal center kinase-III family. MST3 contains a conserved kinase domain at its NH(2)-terminus and a regulatory domain at its COOH-terminus. Caspase-mediated cleavage of the regulatory domain of MST3 activates its intrinsic kinase activity and leads to nuclear translocation. Expression of COOH-terminal truncated MST3 in cells results in DNA fragmentation and induction of apoptosis. It can inhibit cell migration in a fashion dependent on autophosphorylation and can regulate paxillin phosphorylation through tyrosine phosphatase PTP-PEST. Mitogen activated protein kinase cascades have been conserved throughout evolution. In mammals, these cascades allow responses to complex stimuli such as growth factors and inflammatory cytokines. In yeast, STK25 functions upstream of the MAPK cascade. |
| 应用 | 推荐稀释比例 |
| {WB} | {1:500-2000} |
| {IHC-P} | {1:100-500} |
| {IHC-F} | {1:100-500} |
| {IF} | {1:100-500} |

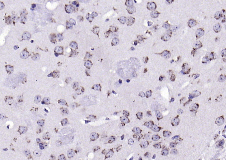
Paraformaldehyde-fixed, paraffin embedded (mouse brain); Antigen retrieval by boiling in sodium citrate buffer (pH6.0) for 15min; Block endogenous peroxidase by 3% hydrogen peroxide for 20 minutes; Blocking buffer (normal goat serum) at 37°C for 30min; Antibody incubation with (phospho-MST4 + MST3 + STK25 (Thr178 + Thr190 + Thr174) ) Polyclonal Antibody, Unconjugated (bs-10441R) at 1:200 overnight at 4°C, followed by operating according to SP Kit(Rabbit) (sp-0023) instructionsand DAB staining.

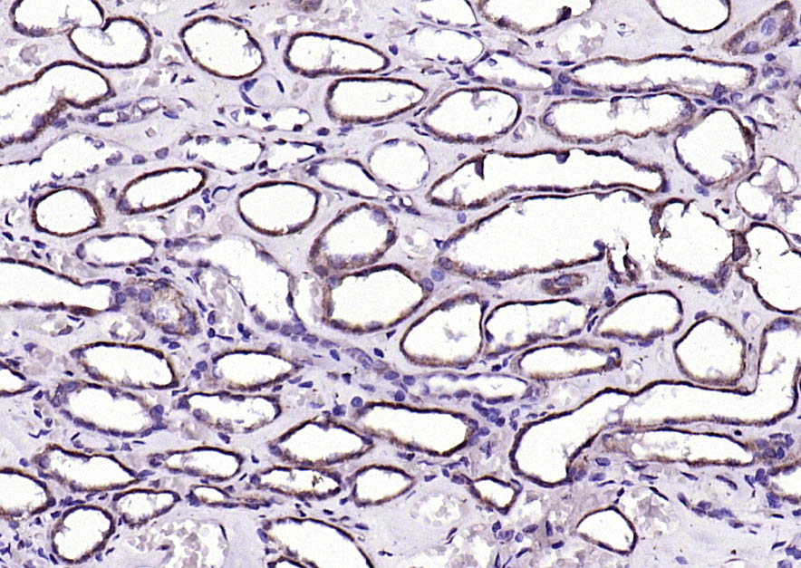
Paraformaldehyde-fixed, paraffin embedded (Human kidney); Antigen retrieval by boiling in sodium citrate buffer (pH6.0) for 15min; Block endogenous peroxidase by 3% hydrogen peroxide for 20 minutes; Blocking buffer (normal goat serum) at 37°C for 30min; Antibody incubation with (phospho-MST4 + MST3 + STK25 (Thr178 + Thr190 + Thr174) ) Polyclonal Antibody, Unconjugated (bs-10441R) at 1:200 overnight at 4°C, followed by operating according to SP Kit(Rabbit) (sp-0023) instructionsand DAB staining.

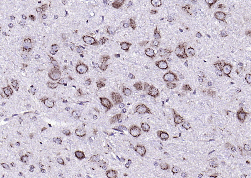
Paraformaldehyde-fixed, paraffin embedded (rat brain); Antigen retrieval by boiling in sodium citrate buffer (pH6.0) for 15min; Block endogenous peroxidase by 3% hydrogen peroxide for 20 minutes; Blocking buffer (normal goat serum) at 37°C for 30min; Antibody incubation with (phospho-MST4 + MST3 + STK25 (Thr178 + Thr190 + Thr174) ) Polyclonal Antibody, Unconjugated (bs-10441R) at 1:200 overnight at 4°C, followed by operating according to SP Kit(Rabbit) (sp-0023) instructionsand DAB staining.

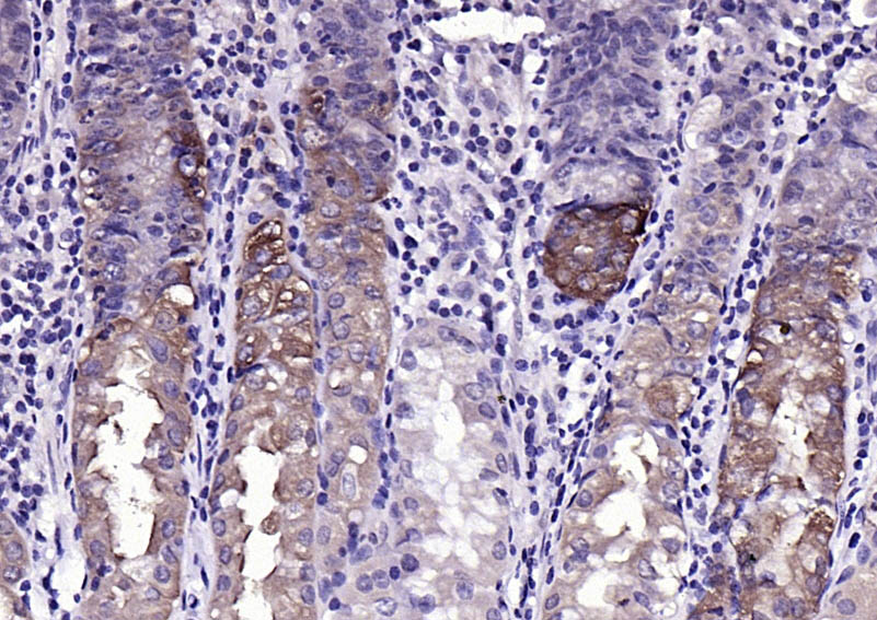
Paraformaldehyde-fixed, paraffin embedded (Human stomach); Antigen retrieval by boiling in sodium citrate buffer (pH6.0) for 15min; Block endogenous peroxidase by 3% hydrogen peroxide for 20 minutes; Blocking buffer (normal goat serum) at 37°C for 30min; Antibody incubation with (phospho-MST4 + MST3 + STK25 (Thr178 + Thr190 + Thr174) ) Polyclonal Antibody, Unconjugated (bs-10441R) at 1:200 overnight at 4°C, followed by operating according to SP Kit(Rabbit) (sp-0023) instructionsand DAB staining.

Paraformaldehyde-fixed, paraffin embedded (mouse stomach); Antigen retrieval by boiling in sodium citrate buffer (pH6.0) for 15min; Block endogenous peroxidase by 3% hydrogen peroxide for 20 minutes; Blocking buffer (normal goat serum) at 37°C for 30min; Antibody incubation with (phospho-MST4 + MST3 + STK25 (Thr178 + Thr190 + Thr174) ) Polyclonal Antibody, Unconjugated (bs-10441R) at 1:200 overnight at 4°C, followed by operating according to SP Kit(Rabbit) (sp-0023) instructionsand DAB staining.

Sample:
U-87MG(Human) Cell Lysate at 30 ug
Primary: Anti-phospho-MST4 + MST3 + STK25 (Thr178 + Thr190 + Thr174) (bs-10441R) at 1/500 dilution
Secondary: IRDye800CW Goat Anti-Rabbit IgG at 1/20000 dilution
Predicted band size: 48 kD
Observed band size: 39 kD
U-87MG(Human) Cell Lysate at 30 ug
Primary: Anti-phospho-MST4 + MST3 + STK25 (Thr178 + Thr190 + Thr174) (bs-10441R) at 1/500 dilution
Secondary: IRDye800CW Goat Anti-Rabbit IgG at 1/20000 dilution
Predicted band size: 48 kD
Observed band size: 39 kD

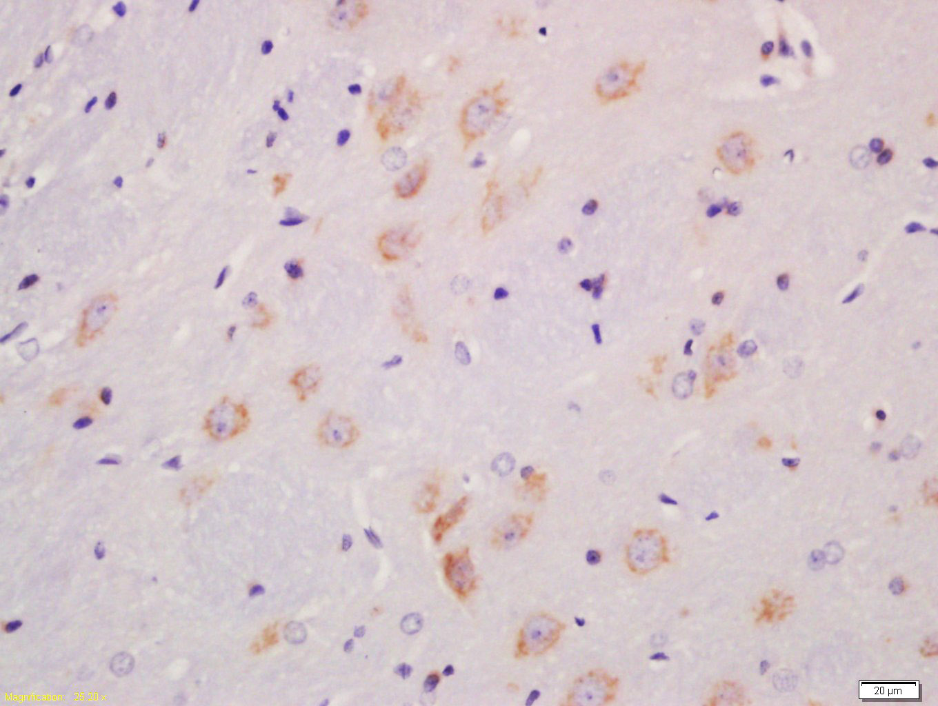
Tissue/cell: rat brain tissue; 4% Paraformaldehyde-fixed and paraffin-embedded;
Antigen retrieval: citrate buffer ( 0.01M, pH 6.0 ), Boiling bathing for 15min; Block endogenous peroxidase by 3% Hydrogen peroxide for 30min; Blocking buffer (normal goat serum,C-0005) at 37℃ for 20 min;
Incubation: Anti-phospho-MST4+MST3+STK25 (Thr178+Thr190+Thr174) Polyclonal Antibody, Unconjugated(bs-10441R) 1:200, overnight at 4°C, followed by conjugation to the secondary antibody(SP-0023) and DAB(C-0010) staining
Antigen retrieval: citrate buffer ( 0.01M, pH 6.0 ), Boiling bathing for 15min; Block endogenous peroxidase by 3% Hydrogen peroxide for 30min; Blocking buffer (normal goat serum,C-0005) at 37℃ for 20 min;
Incubation: Anti-phospho-MST4+MST3+STK25 (Thr178+Thr190+Thr174) Polyclonal Antibody, Unconjugated(bs-10441R) 1:200, overnight at 4°C, followed by conjugation to the secondary antibody(SP-0023) and DAB(C-0010) staining
风险提示:丁香通仅作为第三方平台,为商家信息发布提供平台空间。用户咨询产品时请注意保护个人信息及财产安全,合理判断,谨慎选购商品,商家和用户对交易行为负责。对于医疗器械类产品,请先查证核实企业经营资质和医疗器械产品注册证情况。
技术资料暂无技术资料 索取技术资料
phospho-MST4 + MST3 + STK25 (Thr178 + Thr190 + Thr174) Rabbit pAb(bs-10441R)-50ul/100ul/200ul
¥1180 - 2800






