相关产品推荐更多 >

Reptin/TIP49B/RUVB2 Rabbit pAb, Biotin conjugated(bs-19836R-Bio)-100ul
¥2980
Anti-human CLDN6 (64A Biosimilar)(BIO0860SM)-1mg/5mg/20mg
¥3200
phospho-ERBB3 (Tyr1276) Rabbit pAb, HRP conjugated(bs-13092R-HRP)-100ul
¥2980
SIRT5 Rabbit pAb, PE-Cy7 conjugated(bs-9456R-PE-Cy7)-100ul
¥2980
C6orf206 Rabbit pAb(bs-24834R)-50ul/100ul/200ul
¥1180
万千商家帮你免费找货
0 人在求购买到急需产品
- 详细信息
- 文献和实验
- 技术资料
- 应用范围:
产品信息以Bioss网站为准
- 规格:
50ul/100ul/200ul
| 规格: | 50ul | 产品价格: | ¥1180.0 |
|---|---|---|---|
| 规格: | 100ul | 产品价格: | ¥1980.0 |
| 规格: | 200ul | 产品价格: | ¥2800.0 |
| 产品编号 | bs-12593R |
| 英文名称 | CRTR1 Rabbit pAb |
| 中文名称 | CP2相关转录抑制因子1抗体 |
| 英文别名 | CP2 related transcriptional repressor 1; CP2-related transcriptional repressor 1; CRTR 1; CRTR-1; LBP 9; LBP9; TF2L1_HUMAN; TFCP2 L1; TFCP2L1; Transcription factor CP2 like 1; Transcription factor CP2 like protein 1; Transcription factor CP2-like protein 1; Transcription factor LBP 9; Transcription factor LBP-9; Transcription factor LBP9. |
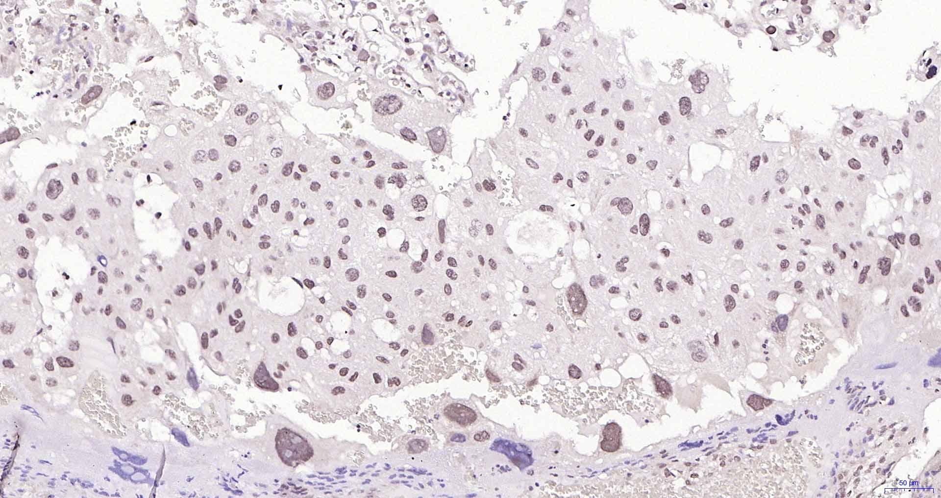
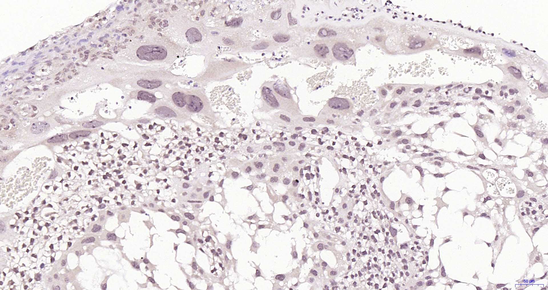
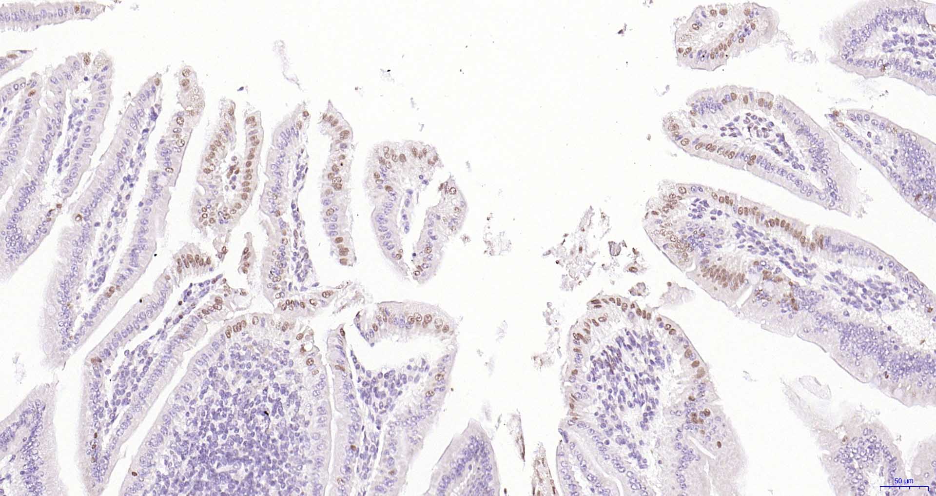
| 产品应用 | WB=1:500-2000, IHC-P=1:100-500, IHC-F=1:100-500, IF=1:100-500 Not yet tested in other applications. |
| 交叉反应 | Mouse, Rat (Human, Chicken, Dog, Cow, Horse) |
| 抗体来源 | Rabbit |
| 免疫原 | KLH conjugated synthetic peptide derived from human CRTR1 |
| 亚型 | IgG |
| 性状 | Liquid |
| 纯化方法 | affinity purified by Protein A |
| 克隆类型 | Polyclonal |
| 理论分子量 | 55 kDa |
| 浓度 | 1mg/ml |
| 储存液 | 0.01M TBS (pH7.4) with 1% BSA, 0.02% Proclin300 and 50% Glycerol. |
| 研究领域 | Developmental Biology > Embryogenesis > Embryonic stem cells > Surface molecules Epigenetics and Nuclear Signaling > Transcription > Other factors Stem Cells > Embryonic Stem Cells > Intracellular |
| 亚细胞定位 | Nucleus. |
| 组织特异性 | Highly expressed in placental JEG-3 cells and very low levels of expression in non-steroidogenic cells. No expression was seen in adrenal NCI-H295A cells or in adrenal tissue. |
| 相似性 | Belongs to the grh/CP2 family. CP2 subfamily. |
| 功能 | Transcriptional suppressor. May suppress UBP1-mediated transcriptional activation. Modulates the placental expression of CYP11A1. |
| 保存条件 | Shipped at 4℃. Store at -20℃ for one year. Avoid repeated freeze/thaw cycles. |
| 注意事项 | This product as supplied is intended for research use only, not for use in human, therapeutic or diagnostic applications. |
| 背景资料 | The long terminal repeat binding protein-1 (LBP-1) mammalian family of transcription factors are proteins that stimulate transcription in HeLa cells from the major late promoter of simian virus 40 in vitro. The two related human LBP-1 genes are TFCP2A, which encodes the alternatively spliced transcripts LBP-1a and LBP-1b, and TFCP2C, which encodes LBP-1c and LBP-1d. LBP-9, also designated transcription factor CP2-like 1 (TFCP2L1), is a protein of 479 amino acids. LBP-9 shows 83% sequence homology with LBP-1b and acts as a suppressor factor inhibiting the stimulation effect of LBP-1b. LBP-9 may regulate the P450scc reporter activity through the -155/-131 element. |
| 应用 | 推荐稀释比例 |
| {WB} | {1:500-2000} |
| {IHC-P} | {1:100-500} |
| {IHC-F} | {1:100-500} |
| {IF} | {1:100-500} |

Ovary (Mouse) Lysate at 40 ug
Primary: Anti- CRTR1 (bs-12593R) at 1/1000 dilution
Secondary: IRDye800CW Goat Anti-Rabbit IgG at 1/20000 dilution
Predicted band size: 55 kD
Observed band size: 55 kD




风险提示:丁香通仅作为第三方平台,为商家信息发布提供平台空间。用户咨询产品时请注意保护个人信息及财产安全,合理判断,谨慎选购商品,商家和用户对交易行为负责。对于医疗器械类产品,请先查证核实企业经营资质和医疗器械产品注册证情况。
文献和实验= NAL), appears to form upon oxidative cyclization of the nonfluorescent 2:1 lysine-HNE Michael adduct-Schiff base cross-link (Scheme 1). Polyclonal antibody (PAb) to the NAL-HNE fluorophore was raised in rabbit and found to be highly specific
GE Healthcare Benzamidine Sepharose™ 6B is p-aminobenzamidine covalently attached to Sepharose 6B by the epoxy coupling method. p-Aminobenzamidine (PAB), is a synthetic inhibitor of trypsin-like serine protease. Trypsin and trypsin
Nucleic Acid Programmable Protein Arrays: Versatile Tools for Array‐Based Functional Protein Studies
.g., Sigma) 50 mg/ml bis‐sulfosuccinimdylsuberate (BS3 ;Pierce, cat. no. PI 21580) in dimethylsulfoxide (DMSO) 5 mg/ml
技术资料暂无技术资料 索取技术资料






