相关产品推荐更多 >

Anti-human LAG3 / CD223 (Relatlimab Biosimilar)(BIO0217SM)-1mg/5mg/20mg
¥3200
Cytokeratin 4 Rabbit pAb, AP conjugated(bs-1006R-AP)-100ul
¥2980
Niemann Pick C1 Like 1 Rabbit pAb(bs-8849R)-50ul/100ul/200ul
¥1180
TBX2 Rabbit pAb, APC-Cy5.5 conjugated(bs-0507R-APC-Cy5.5)-100ul
¥2980
RINT1 Rabbit pAb, AP conjugated(bs-7828R-AP)-100ul
¥2980
万千商家帮你免费找货
0 人在求购买到急需产品
- 详细信息
- 文献和实验
- 技术资料
- 应用范围:
产品信息以Bioss网站为准
- 规格:
50ul/100ul/200ul
| 规格: | 50ul | 产品价格: | ¥1180.0 |
|---|---|---|---|
| 规格: | 100ul | 产品价格: | ¥1980.0 |
| 规格: | 200ul | 产品价格: | ¥2800.0 |
| 产品编号 | bs-0607R |
| 英文名称 | Slco1a1 Rabbit pAb |
| 中文名称 | 溶质载体有机阴离子转运蛋白家族成员1A1抗体 |
| 英文别名 | OATP-1; Organic anion-transporting polypeptide 1; SO1A1_RAT; Sodium-independent organic anion transporter 1; Solute carrier family 21 member 1; Solute carrier organic anion transporter family member 1A1. |
| 产品应用 | WB=1:500-2000, IHC-P=1:100-500, IHC-F=1:100-500, IF=1:100-500 Not yet tested in other applications. |
| 交叉反应 | Mouse (Rat) |
| 抗体来源 | Rabbit |
| 免疫原 | KLH conjugated synthetic peptide derived from rat Slco1a1 |
| 亚型 | IgG |
| 性状 | Liquid |
| 纯化方法 | affinity purified by Protein A |
| 克隆类型 | Polyclonal |
| 理论分子量 | 74 kDa |
| 浓度 | 1mg/ml |
| 储存液 | 0.01M TBS (pH7.4) with 1% BSA, 0.02% Proclin300 and 50% Glycerol. |
| 亚基 | Binds to PDZK1. Interaction with PDZK1 is required for expression on hepatocyte surface. |
| 亚细胞定位 | Basolateral cell membrane |
| 组织特异性 | Highly expressed in liver and kidney, and at lower levels in brain, lung, skeletal muscle and proximal colon. |
| 翻译后修饰 | Glycosylated. |
| 相似性 | Belongs to the organo anion transporter (TC 2.A.60) family.
[SIMILARITY] Contains 1 Kazal-like domain. |
| 功能 | Mediates the Na(+)-independent transport of organic anions such as bromosulfobromophthalein (BSP) and conjugated (taurocholate) and unconjugated (cholate) bile acids. |
| 保存条件 | Shipped at 4℃. Store at -20℃ for one year. Avoid repeated freeze/thaw cycles. |
| 注意事项 | This product as supplied is intended for research use only, not for use in human, therapeutic or diagnostic applications. |
| 背景资料 | mediates the transport of sulfated, amidated bile acid, sulfolithocholyltaurine, into rat hepatocytes |
| 应用 | 推荐稀释比例 |
| {WB} | {1:500-2000} |
| {IHC-P} | {1:100-500} |
| {IHC-F} | {1:100-500} |
| {IF} | {1:100-500} |

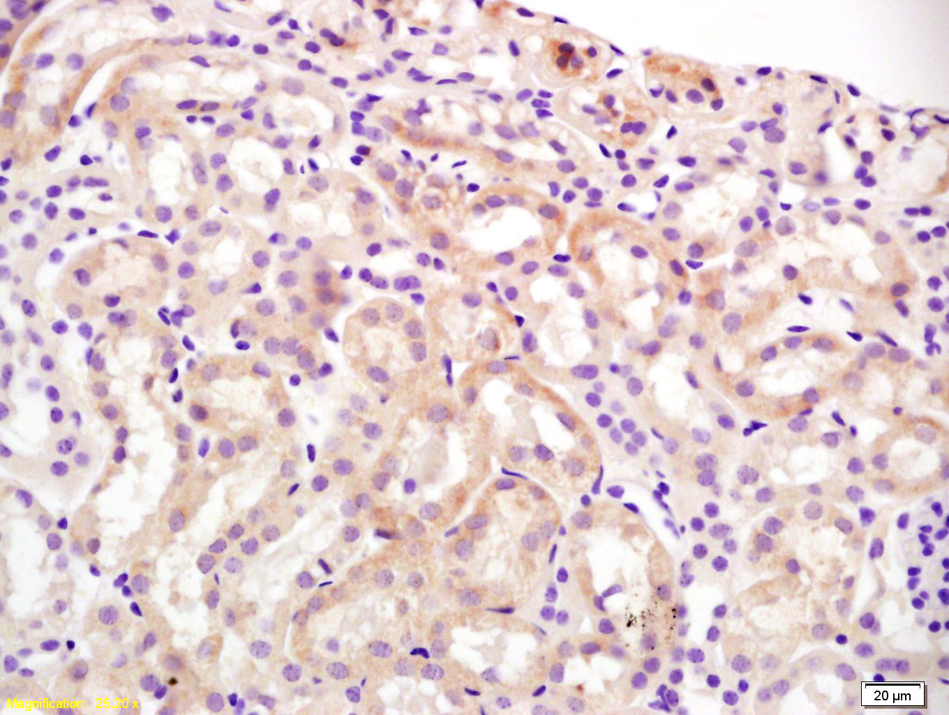
Antigen retrieval: citrate buffer ( 0.01M, pH 6.0 ), Boiling bathing for 15min; Block endogenous peroxidase by 3% Hydrogen peroxide for 30min; Blocking buffer (normal goat serum,C-0005) at 37℃ for 20 min;
Incubation: Anti-OATP-1/Slco1a1 Polyclonal Antibody, Unconjugated(bs-0607R) 1:200, overnight at 4°C, followed by conjugation to the secondary antibody(SP-0023) and DAB(C-0010) staining

Liver (Mouse) Lysate at 40 ug
Primary: Anti-Slco1a1 (bs-0607R) at 1/1000 dilution
Secondary: IRDye800CW Goat Anti-Rabbit IgG at 1/20000 dilution
Predicted band size: 74 kD
Observed band size: 73 kD
风险提示:丁香通仅作为第三方平台,为商家信息发布提供平台空间。用户咨询产品时请注意保护个人信息及财产安全,合理判断,谨慎选购商品,商家和用户对交易行为负责。对于医疗器械类产品,请先查证核实企业经营资质和医疗器械产品注册证情况。
文献和实验[IF={{ 6.876 }}] {Song Guochao. et al. Potential therapeutic action of tauroursodeoxycholic acid against cholestatic liver injury via hepatic Fxr/Nrf2 and CHOP-DR5-caspase-8 pathway. CLIN SCI. 2023 Apr;137(7):561-577} {WB} {Mouse}
[IF={{ 5.23 }}] {Enoki, Yuki, et al. "Indoxyl sulfate potentiates skeletal muscle atrophy by inducing the oxidative stress-mediated expression of myostatin and atrogin-1." Scientific Reports 6 (2016): 32084.} {WB} {="Mouse"}
[IF={{ 3.3 }}] {Xu C, Zhu L, Chan T, Lu X, Shen W, et al. (2015) The Altered Renal and Hepatic Expression of Solute Carrier Transporters (SLCs) in Type 1 Diabetic Mice. PLoS ONE 10(3): e0120760.} {WB} {="Mouse"}
[IF={{ 2.76 }}] {Zhu, Liran, et al. "Saponins extracted from Dioscorea collettii rhizomes regulate the expression of urate transporters in chronic hyperuricemia rats." Biomedicine & Pharmacotherapy 93 (2017): 88-94.} {IHC} {="Rat"}
[IF={{ 1.585 }}] {Pang et al. Gypenosides Inhibits Xanthine Oxidoreductase and Ameliorates Urate Excretion in Hyperuricemic Rats Induced by High Cholesterol and High Fat Food (Lipid Emulsion). (2017) Med.Sci.Monit. 23:1129-1140} {IHC} {Rat}
= NAL), appears to form upon oxidative cyclization of the nonfluorescent 2:1 lysine-HNE Michael adduct-Schiff base cross-link (Scheme 1). Polyclonal antibody (PAb) to the NAL-HNE fluorophore was raised in rabbit and found to be highly specific
GE Healthcare Benzamidine Sepharose™ 6B is p-aminobenzamidine covalently attached to Sepharose 6B by the epoxy coupling method. p-Aminobenzamidine (PAB), is a synthetic inhibitor of trypsin-like serine protease. Trypsin and trypsin
Nucleic Acid Programmable Protein Arrays: Versatile Tools for Array‐Based Functional Protein Studies
.g., Sigma) 50 mg/ml bis‐sulfosuccinimdylsuberate (BS3 ;Pierce, cat. no. PI 21580) in dimethylsulfoxide (DMSO) 5 mg/ml
技术资料暂无技术资料 索取技术资料






