相关产品推荐更多 >

PCDH20 Rabbit pAb, BF750 conjugated(bs-11113R-BF750)-100ul
¥2980
FAM175B Rabbit pAb(bs-14763R)-50ul/100ul/200ul
¥1180
RNA polymerase II CTD repeat YSPTSPS (phospho S2) Rabbit pAb, FITC conjugated(bs-6581R-FITC)-100ul
¥2980
RSL1D1 Rabbit pAb(bs-22952R)-50ul/100ul/200ul
¥1180
DUXA Rabbit pAb, Biotin conjugated(bs-14465R-Bio)-100ul
¥2980
万千商家帮你免费找货
0 人在求购买到急需产品
- 详细信息
- 文献和实验
- 技术资料
- 应用范围:
产品信息以Bioss网站为准
- 规格:
50ul/100ul/200ul
| 规格: | 50ul | 产品价格: | ¥1180.0 |
|---|---|---|---|
| 规格: | 100ul | 产品价格: | ¥1980.0 |
| 规格: | 200ul | 产品价格: | ¥2800.0 |
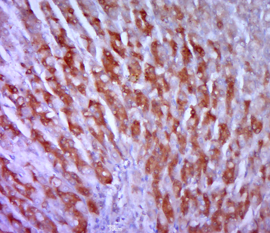
| 产品编号 | bs-15496R |
| 英文名称 | ALDH3A1 Rabbit pAb |
| 中文名称 | 乙醛脱氢酶家族3成员A1抗体 |
| 英文别名 | AHD 4; AHD C; Ahd4; AHDC; AL3A1_HUMAN; Aldehyde dehydrogenase 3; Aldehyde dehydrogenase 3 family member A1; Aldehyde dehydrogenase 3 family, member A1; Aldehyde dehydrogenase 3A1; Aldehyde dehydrogenase; Aldehyde dehydrogenase class 3; Aldehyde dehydrogenase dimeric NADP preferring; Aldehyde dehydrogenase family 3 member A1; Aldehyde dehydrogenase family 3 subfamily A1; Aldehyde dehydrogenase isozyme 3; Aldehyde dehydrogenase type III; Aldehyde dehydrogenase, dimeric NADP preferring; ALDH 3; ALDH 3A1; ALDH III; ALDH3 A1; ALDH3; ALDH3A 1; Aldh3a1; ALDHIII; dimeric NADP-preferring; MGC10406; Stomach aldehyde dehydrogenase; Tumor associated aldehyde dehydrogenase tumor ALDH. |
| 产品应用 | WB=1:500-2000, IHC-P=1:100-500, IHC-F=1:100-500, IF=1:100-500 Not yet tested in other applications. |
| 交叉反应 | Mouse, Rat (Human, Pig, Horse) |
| 抗体来源 | Rabbit |
| 免疫原 | KLH conjugated synthetic peptide derived from human ALDH3A1 |
| 亚型 | IgG |
| 性状 | Liquid |
| 纯化方法 | affinity purified by Protein A |
| 克隆类型 | Polyclonal |
| 理论分子量 | 50 kDa |
| 浓度 | 1mg/ml |
| 储存液 | 0.01M TBS (pH7.4) with 1% BSA, 0.02% Proclin300 and 50% Glycerol. |
| 研究领域 | Cell Biology > Other Antibodies > Oxidative Stress Metabolism > Pathways and Processes > Metabolic signaling pathways > Alcohol metabolism Metabolism > Pathways and Processes > Metabolic signaling pathways > Energy transfer pathways > Energy Metabolism Metabolism > Pathways and Processes > Redox metabolism > Oxidative stress Neuroscience > Sensory System > Visual system Signal Transduction > Metabolism > Alcohol metabolism Signal Transduction > Metabolism > Energy Metabolism |
| 亚基 | Homodimer. |
| 亚细胞定位 | Cytoplasm. |
| 组织特异性 | High levels in stomach, esophagus and lung; low level in the liver and kidney. |
| 相似性 | Belongs to the aldehyde dehydrogenase family. |
| 功能 | ALDHs play a major role in the detoxification of alcohol-derived acetaldehyde. They are involved in the metabolism of corticosteroids, biogenic amines, neurotransmitters, and lipid peroxidation. This protein preferentially oxidizes aromatic aldehyde substrates. It may play a role in the oxidation of toxic aldehydes. |
| 保存条件 | Shipped at 4℃. Store at -20℃ for one year. Avoid repeated freeze/thaw cycles. |
| 注意事项 | This product as supplied is intended for research use only, not for use in human, therapeutic or diagnostic applications. |
| 背景资料 | Aldehyde dehydrogenases oxidize various aldehydes to the corresponding acids. They are involved in the detoxification of alcohol-derived acetaldehyde and in the metabolism of corticosteroids, biogenic amines, neurotransmitters, and lipid peroxidation. The enzyme encoded by this gene forms a cytoplasmic homodimer that preferentially oxidizes aromatic and medium-chain (6 carbons or more) saturated and unsaturated aldehyde substrates. It is thought to promote resistance to UV and 4-hydroxy-2-nonenal-induced oxidative damage in the cornea. The gene is located within the Smith-Magenis syndrome region on chromosome 17. Multiple alternatively spliced variants, encoding the same protein, have been identified. [provided by RefSeq, Sep 2008]. |
| 应用 | 推荐稀释比例 |
| {WB} | {1:500-2000} |
| {IHC-P} | {1:100-500} |
| {IHC-F} | {1:100-500} |
| {IF} | {1:100-500} |


Stomach (Mouse) Lysate at 40 ug
Primary: Anti- ALDH3A1 (bs-15496R) at 1/1000 dilution
Secondary: IRDye800CW Goat Anti-Rabbit IgG at 1/20000 dilution
Predicted band size: 50 kD
Observed band size: 52 kD

Lung (Mouse) Lysate at 40 ug
Primary: Anti-ALDH3A1 (bs-15496R)at 1/300 dilution
Secondary: IRDye800CW Goat Anti-Rabbit IgG at 1/20000 dilution
Predicted band size: 50 kD
Observed band size: 50 kD
风险提示:丁香通仅作为第三方平台,为商家信息发布提供平台空间。用户咨询产品时请注意保护个人信息及财产安全,合理判断,谨慎选购商品,商家和用户对交易行为负责。对于医疗器械类产品,请先查证核实企业经营资质和医疗器械产品注册证情况。
文献和实验[IF={{ 6.4 }}] {Martin Schicht. et al. Ocular surface changes in mice with streptozotocin-induced diabetes and diabetic polyneuropathy. OCUL SURF. 2023 Dec;:} {IHC} {Mouse}
= NAL), appears to form upon oxidative cyclization of the nonfluorescent 2:1 lysine-HNE Michael adduct-Schiff base cross-link (Scheme 1). Polyclonal antibody (PAb) to the NAL-HNE fluorophore was raised in rabbit and found to be highly specific
GE Healthcare Benzamidine Sepharose™ 6B is p-aminobenzamidine covalently attached to Sepharose 6B by the epoxy coupling method. p-Aminobenzamidine (PAB), is a synthetic inhibitor of trypsin-like serine protease. Trypsin and trypsin
Nucleic Acid Programmable Protein Arrays: Versatile Tools for Array‐Based Functional Protein Studies
.g., Sigma) 50 mg/ml bis‐sulfosuccinimdylsuberate (BS3 ;Pierce, cat. no. PI 21580) in dimethylsulfoxide (DMSO) 5 mg/ml
技术资料暂无技术资料 索取技术资料






