相关产品推荐更多 >

S100A7 Rabbit pAb, BF594 conjugated(bs-6575R-BF594)-100ul
¥2980
beta B1 Crystallin Rabbit pAb, Biotin conjugated(bs-12582R-Bio)-100ul
¥2980
CPNE1 Rabbit pAb, Biotin conjugated(bs-14024R-Bio)-100ul
¥2980
CAMKK2 Rabbit pAb, PE-Cy5.5 conjugated(bs-6253R-PE-Cy5.5)-100ul
¥2980
EGF Rabbit pAb, APC conjugated(bs-2008R-APC)-100ul
¥2980
万千商家帮你免费找货
0 人在求购买到急需产品
- 详细信息
- 文献和实验
- 技术资料
- 应用范围:
产品信息以Bioss网站为准
- 规格:
50ul/100ul/200ul
| 规格: | 50ul | 产品价格: | ¥1180.0 |
|---|---|---|---|
| 规格: | 100ul | 产品价格: | ¥1980.0 |
| 规格: | 200ul | 产品价格: | ¥2800.0 |
| 产品编号 | bs-12065R |
| 英文名称 | GABRB2 Rabbit pAb |
| 中文名称 | G氨基丁酸受体β2/GABAA Rβ2抗体 |
| 英文别名 | GABA A Receptor beta 2; GABA; GABA(A) receptor subunit beta-2; GABRB2; gamma aminobutyric acid(GABA) A receptor, beta 2; gamma aminobutyric acid A receptor beta 2; gamma-aminobutyric acid receptor subunit beta-2; gamma-aminobutyric-acid receptor subunit beta-2; GBRB2_HUMAN, |
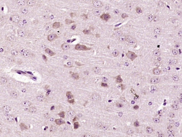
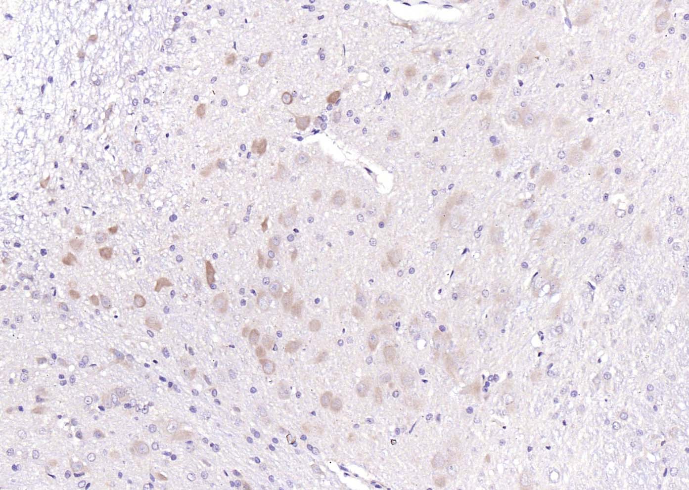
| 产品应用 | WB=1:500-2000, IHC-P=1:100-500, IHC-F=1:100-500, IF=1:100-500 Not yet tested in other applications. |
| 交叉反应 | Mouse, Rat (Human, Chicken, Dog, Pig, Cow, Horse, Rabbit, Sheep) |
| 抗体来源 | Rabbit |
| 免疫原 | KLH conjugated synthetic peptide derived from human GABRB2/GABA A Receptor beta 2 |
| 亚型 | IgG |
| 性状 | Liquid |
| 纯化方法 | affinity purified by Protein A |
| 克隆类型 | Polyclonal |
| 理论分子量 | 56 kDa |
| 实际分子量 | 54-59 kDa |
| 浓度 | 1mg/ml |
| 储存液 | 0.01M TBS (pH7.4) with 1% BSA, 0.02% Proclin300 and 50% Glycerol. |
| 研究领域 | Neuroscience > Neurotransmission > Receptors / Channels > Ligand-Gated Ion Channels > GABA Receptors Neuroscience > Neurotransmitter > Amino Acids > GABA |
| 亚基 | Generally pentameric. There are five types of GABA(A) receptor chains: alpha, beta, gamma, delta, and rho. Binds UBQLN1. Interacts with KCTD8, KCTD12 and KCTD16; this interaction determines the pharmacology and kinetics of the receptor response, the KCTD proteins markedly accelerating the GABA-B response, although to different extents (By similarity). |
| 亚细胞定位 | Cell junction, synapse, postsynaptic cell membrane; Multi-pass membrane protein. Cell membrane; Multi-pass membrane protein. |
| 组织特异性 | Isoform 1 and isoform 2 show reduced expression in schizophrenic brain. Isoform 3 shows increased expression in schizophrenic and bipolar disorder brains while isoform 4 shows reduced expression. |
| 相似性 | Belongs to the ligand-gated ion channel (TC 1.A.9) family. Gamma-aminobutyric acid receptor (TC 1.A.9.5) subfamily. GABRB2 sub-subfamily. |
| 功能 | GABA, the major inhibitory neurotransmitter in the vertebrate brain, mediates neuronal inhibition by binding to the GABA/benzodiazepine receptor and opening an integral chloride channel. |
| 保存条件 | Shipped at 4℃. Store at -20℃ for one year. Avoid repeated freeze/thaw cycles. |
| 注意事项 | This product as supplied is intended for research use only, not for use in human, therapeutic or diagnostic applications. |
| 背景资料 | Gamma-aminobutyric acid type A (GABAA) receptors are members of the neurotransmitter ligand-gated ion channels that mediate neuronal inhibition on binding GABA. The effects of GABA on GABAA receptors are modulated by a range of therapeutically important drugs, including barbiturates, anaesthetics and benzodiazepines. |
| 应用 | 推荐稀释比例 |
| {WB} | {1:500-2000} |
| {IHC-P} | {1:100-500} |
| {IHC-F} | {1:100-500} |
| {IF} | {1:100-500} |

Lane 1: Mouse Cerebellum tissue lysates
Lane 2: Mouse Cerebrum tissue lysates
Lane 3: Rat Cerebellum tissue lysates
Lane 4: Rat Cerebrum tissue lysates
Primary: Anti-GABRB2 (bs-12065R) at 1/1000 dilution
Secondary: IRDye800CW Goat Anti-Rabbit IgG at 1/20000 dilution
Predicted band size: 56 kDa
Observed band size: 50 kDa

Cerebellum (rat) Lysate at 40 ug
Cerebellum (mouse) Lysate at 40 ug
Primary: Anti- GABRB2 (bs-12065R)at 1/300 dilution
Secondary: IRDye800CW Goat Anti-Rabbit IgG at 1/20000 dilution
Predicted band size: 56kD
Observed band size: 56 kD


风险提示:丁香通仅作为第三方平台,为商家信息发布提供平台空间。用户咨询产品时请注意保护个人信息及财产安全,合理判断,谨慎选购商品,商家和用户对交易行为负责。对于医疗器械类产品,请先查证核实企业经营资质和医疗器械产品注册证情况。
文献和实验= NAL), appears to form upon oxidative cyclization of the nonfluorescent 2:1 lysine-HNE Michael adduct-Schiff base cross-link (Scheme 1). Polyclonal antibody (PAb) to the NAL-HNE fluorophore was raised in rabbit and found to be highly specific
GE Healthcare Benzamidine Sepharose™ 6B is p-aminobenzamidine covalently attached to Sepharose 6B by the epoxy coupling method. p-Aminobenzamidine (PAB), is a synthetic inhibitor of trypsin-like serine protease. Trypsin and trypsin
Nucleic Acid Programmable Protein Arrays: Versatile Tools for Array‐Based Functional Protein Studies
.g., Sigma) 50 mg/ml bis‐sulfosuccinimdylsuberate (BS3 ;Pierce, cat. no. PI 21580) in dimethylsulfoxide (DMSO) 5 mg/ml
技术资料暂无技术资料 索取技术资料






