相关产品推荐更多 >

AVPR1A Rabbit pAb(bs-11598R)-50ul/100ul/200ul
¥1180
phospho-Mcl1 (Ser159 + Thr163) Rabbit pAb, PE-Cy5.5 conjugated(bs-3265R-PE-Cy5.5)-100ul
¥2980
CCL26 Signal peptide Rabbit pAb, FITC conjugated(bs-10409R-FITC)-100ul
¥2980
FOXJ3 Rabbit pAb, HRP conjugated(bs-16167R-HRP)-100ul
¥2980
CXCR4 Rabbit pAb, FITC conjugated(bs-1011R-FITC)-100ul
¥2980
万千商家帮你免费找货
0 人在求购买到急需产品
- 详细信息
- 技术资料
- 应用范围:
产品信息以Bioss网站为准
- 规格:
50ul/100ul/200ul
| 规格: | 50ul | 产品价格: | ¥1180.0 |
|---|---|---|---|
| 规格: | 100ul | 产品价格: | ¥1980.0 |
| 规格: | 200ul | 产品价格: | ¥2800.0 |
| 产品编号 | bs-11324R |
| 英文名称 | Nova1 Rabbit pAb |
| 中文名称 | 神经肿瘤Nova1抗原抗体 |
| 英文别名 | Neuro oncological ventral antigen 1; Neuro-oncological ventral antigen 1; NOVA 1; Nova-1; NOVA1_HUMAN; Onconeural ventral antigen 1; Paraneoplastic Ri antigen; RNA binding protein Nova 1; RNA-binding protein Nova-1; Ventral neuron specific protein 1; Ventral neuron-specific protein 1. |
| 产品应用 | WB=1:500-2000, IHC-P=1:100-500, IHC-F=1:100-500, IF=1:100-500 Not yet tested in other applications. |
| 交叉反应 | Human, Mouse, Rat (Chicken, Cow) |
| 抗体来源 | Rabbit |
| 免疫原 | KLH conjugated synthetic peptide derived from human Nova1 |
| 亚型 | IgG |
| 性状 | Liquid |
| 纯化方法 | affinity purified by Protein A |
| 克隆类型 | Polyclonal |
| 理论分子量 | 52 kDa |
| 浓度 | 1mg/ml |
| 储存液 | 0.01M TBS (pH7.4) with 1% BSA, 0.02% Proclin300 and 50% Glycerol. |
| 研究领域 | Neuroscience > Cell Type Marker > Neuron marker > Soma marker |
| 亚基 | Interacts with PTBP2; the interaction is direct (By similarity). |
| 亚细胞定位 | Nucleus. |
| 组织特异性 | Brain. |
| 相似性 | Contains 3 KH domains. |
| 功能 | May regulate RNA splicing or metabolism in a specific subset of developing neurons. |
| 保存条件 | Shipped at 4℃. Store at -20℃ for one year. Avoid repeated freeze/thaw cycles. |
| 注意事项 | This product as supplied is intended for research use only, not for use in human, therapeutic or diagnostic applications. |
| 背景资料 | Nova-1 and Nova-2 are members of a superfamily of protein regulators of RNA metabolism in neurons. Both are nuclear RNA binding proteins with K homology motifs, conserved protein sequences which bind to RNA (1,2). Nova proteins, normally sequestered in the central nervous system, are expressed by systemic tumors in patients with the autoimmune disorder paraneoplastic opsoclonus-myoclonus ataxia (POMA) (3,4). Nova-1 is expressed in the hindbrain and ventral spinal cord and Nova-2 is expressed in the neocortex and hippocampus (4). Nova-1 is necessary for regulating neuron-specific alternative splicing of the glycine receptor Alpha2 pre-mRNA (5). |
| 应用 | 推荐稀释比例 |
| {WB} | {1:500-2000} |
| {IHC-P} | {1:100-500} |
| {IHC-F} | {1:100-500} |
| {IF} | {1:100-500} |

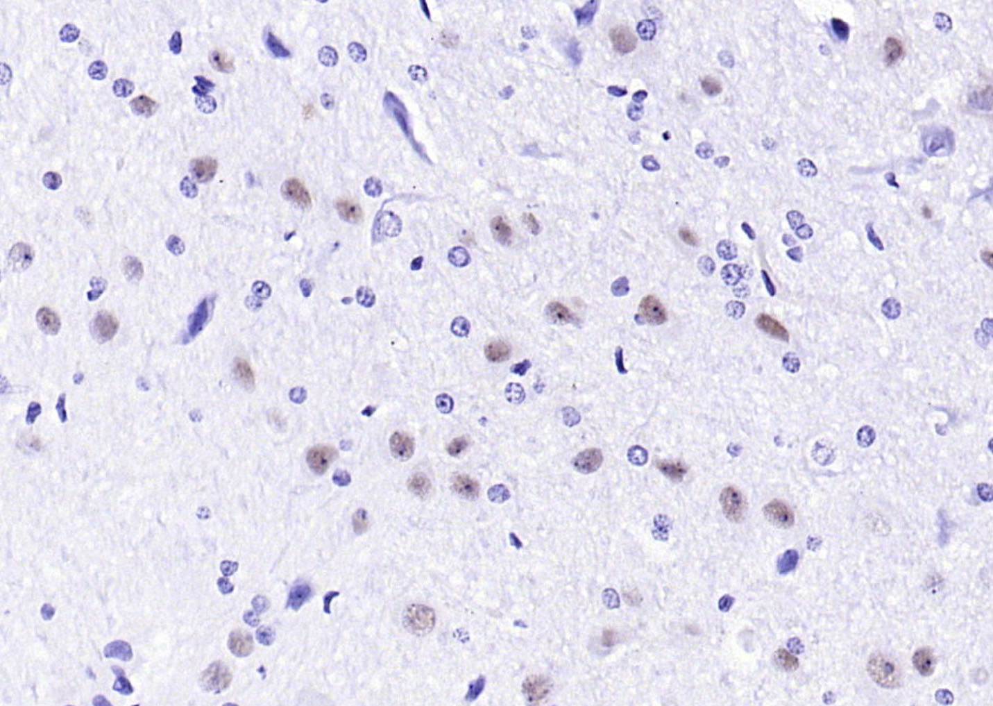
Paraformaldehyde-fixed, paraffin embedded (rat brain); Antigen retrieval by boiling in sodium citrate buffer (pH6.0) for 15min; Block endogenous peroxidase by 3% hydrogen peroxide for 20 minutes; Blocking buffer (normal goat serum) at 37°C for 30min; Antibody incubation with (Nova1) Polyclonal Antibody, Unconjugated (bs-11324R) at 1:200 overnight at 4°C, followed by operating according to SP Kit(Rabbit) (sp-0023) instructionsand DAB staining.

Paraformaldehyde-fixed, paraffin embedded (rat cerebellum); Antigen retrieval by boiling in sodium citrate buffer (pH6.0) for 15min; Block endogenous peroxidase by 3% hydrogen peroxide for 20 minutes; Blocking buffer (normal goat serum) at 37°C for 30min; Antibody incubation with (Nova1) Polyclonal Antibody, Unconjugated (bs-11324R) at 1:200 overnight at 4°C, followed by operating according to SP Kit(Rabbit) (sp-0023) instructionsand DAB staining.

Sample:
Cerebrum (Mouse) Lysate at 40 ug
Primary: Anti-Nova1 (bs-11324R) at 1/1000 dilution
Secondary: IRDye800CW Goat Anti-Rabbit IgG at 1/20000 dilution
Predicted band size: 52 kD
Observed band size: 52 kD
Cerebrum (Mouse) Lysate at 40 ug
Primary: Anti-Nova1 (bs-11324R) at 1/1000 dilution
Secondary: IRDye800CW Goat Anti-Rabbit IgG at 1/20000 dilution
Predicted band size: 52 kD
Observed band size: 52 kD

Sample:
Cerebrum (Mouse) Lysate at 40 ug
Cerebrum (Rat) Lysate at 40 ug
Primary: Anti-Nova1 (bs-11324R) at 1/1000 dilution
Secondary: IRDye800CW Goat Anti-Rabbit IgG at 1/20000 dilution
Predicted band size: 52 kD
Observed band size: 52 kD
Cerebrum (Mouse) Lysate at 40 ug
Cerebrum (Rat) Lysate at 40 ug
Primary: Anti-Nova1 (bs-11324R) at 1/1000 dilution
Secondary: IRDye800CW Goat Anti-Rabbit IgG at 1/20000 dilution
Predicted band size: 52 kD
Observed band size: 52 kD

Sample:
DU145(Human) Cell Lysate at 30 ug
U87MG(Human) Cell Lysate at 30 ug
Primary: Anti- Nova1 (bs-11324R) at 1/1000 dilution
Secondary: IRDye800CW Goat Anti-Rabbit IgG at 1/20000 dilution
Predicted band size: 52 kD
Observed band size: 50 kD
DU145(Human) Cell Lysate at 30 ug
U87MG(Human) Cell Lysate at 30 ug
Primary: Anti- Nova1 (bs-11324R) at 1/1000 dilution
Secondary: IRDye800CW Goat Anti-Rabbit IgG at 1/20000 dilution
Predicted band size: 52 kD
Observed band size: 50 kD
风险提示:丁香通仅作为第三方平台,为商家信息发布提供平台空间。用户咨询产品时请注意保护个人信息及财产安全,合理判断,谨慎选购商品,商家和用户对交易行为负责。对于医疗器械类产品,请先查证核实企业经营资质和医疗器械产品注册证情况。
技术资料暂无技术资料 索取技术资料
Nova1 Rabbit pAb(bs-11324R)-50ul/100ul/200ul
¥1180 - 2800





