相关产品推荐更多 >

Histone H3 Mouse mAb, Cy7 conjugated(bsm-33042M-Cy7)-100ul
¥2980
C9orf84 Rabbit pAb(bs-15344R)-50ul/100ul/200ul
¥1180
GADD45B Rabbit pAb, Biotin conjugated(bs-5904R-Bio)-100ul
¥2980
NUPL1 Rabbit pAb(bs-19569R)-50ul/100ul/200ul
¥1180
H2AX (Ubiquityl Lys119) Rabbit pAb, PerCP conjugated(bs-8571R-PerCP)-100ul
¥2980
万千商家帮你免费找货
0 人在求购买到急需产品
- 详细信息
- 文献和实验
- 技术资料
- 应用范围:
产品信息以Bioss网站为准
- 规格:
50ul/100ul/200ul
| 规格: | 50ul | 产品价格: | ¥1180.0 |
|---|---|---|---|
| 规格: | 100ul | 产品价格: | ¥1980.0 |
| 规格: | 200ul | 产品价格: | ¥2800.0 |
| 产品编号 | bs-6949R |
| 英文名称 | Factor B Rabbit pAb |
| 中文名称 | 补体因子B抗体 |
| 英文别名 | AHUS4; B factor properdin; Factor B; BF; BFD; C3 proaccelerator; C3 proactivator; C3/C5 convertase; CFAB; CFAB_HUMAN; CFB; Complement Factor B; Complement factor B Bb fragment; FB; FBI12; GBG; Glycine rich beta glycoprotein; Glycine-rich beta glycoprotein; H2 Bf; H2BF; PBF2; Properdin factor B, |
| 产品应用 | WB=1:500-2000, IHC-P=1:100-500, IHC-F=1:100-500, IF=1:100-500 Not yet tested in other applications. |
| 交叉反应 | Mouse, Rat (Human) |
| 抗体来源 | Rabbit |
| 免疫原 | KLH conjugated synthetic peptide derived from human Complement factor-B Bb fragment |
| 亚型 | IgG |
| 性状 | Liquid |
| 纯化方法 | affinity purified by Protein A |
| 克隆类型 | Polyclonal |
| 理论分子量 | 55/81 kDa |
| 浓度 | 1mg/ml |
| 储存液 | 0.01M TBS (pH7.4) with 1% BSA, 0.02% Proclin300 and 50% Glycerol. |
| 研究领域 | Immunology > Innate Immunity > Complement > Alternative Pathway |
| 亚基 | Monomer. |
| 亚细胞定位 | Secreted. |
| 相似性 | Belongs to the peptidase S1 family. Contains 1 peptidase S1 domain. Contains 3 Sushi (CCP/SCR) domains. Contains 1 VWFA domain. |
| 功能 | Factor B which is part of the alternate pathway of the complement system is cleaved by factor D into 2 fragments: Ba and Bb. Bb, a serine protease, then combines with complement factor 3b to generate the C3 or C5 convertase. It has also been implicated in proliferation and differentiation of preactivated B-lymphocytes, rapid spreading of peripheral blood monocytes, stimulation of lymphocyte blastogenesis and lysis of erythrocytes. Ba inhibits the proliferation of preactivated B-lymphocytes. |
| 保存条件 | Shipped at 4℃. Store at -20℃ for one year. Avoid repeated freeze/thaw cycles. |
| 注意事项 | This product as supplied is intended for research use only, not for use in human, therapeutic or diagnostic applications. |
| 背景资料 | The complement component proteins, C3, C4 and C5, are potent anaphylatoxins that are released during complement activation. Binding of these proteins to their respective G protein-coupled receptors, C3aR, C1R and C5aR, induces proinflammatory events, such as cellular degranulation, smooth muscle contraction, arachidonic acid metabolism, cytokine release, leukocyte activation and cellular chemotaxis. Complement Factor B, also designated Properdin Factor B or PBF2, is part of the alternate pathway of the complement system and is cleaved by Factor D into two fragments: Ba and Bb. Bb combines with complement Factor 3b to produce the C3 or C5 convertase and plays a role in the differentiation and proliferation of preactivated B lymphocytes, lysis of erythrocytes, stimulation of lymphocyte blastogenesis and rapid spreading of peripheral blood monocytes. Ba is important in inhibiting the proliferation of preactivated B lymphocytes. Adipsin, also designated complement Factor D, is a serine protease that cleaves complement Factor B and may be involved in obesity. Factor H controls the function of the alternative complement pathway. FHR-1 (complement Factor H related protein 1) may play a role in lipid metabolism. |
| 应用 | 推荐稀释比例 |
| {WB} | {1:500-2000} |
| {IHC-P} | {1:100-500} |
| {IHC-F} | {1:100-500} |
| {IF} | {1:100-500} |

Lane 1: Serum (Rat) at 40 ug
Primary: Anti-Factor B (bs-6949R) at 1/1000 dilution
Secondary: IRDye800CW Goat Anti-Rabbit IgG at 1/20000 dilution
Predicted band size: 93 kD
Observed band size: 100 kD

风险提示:丁香通仅作为第三方平台,为商家信息发布提供平台空间。用户咨询产品时请注意保护个人信息及财产安全,合理判断,谨慎选购商品,商家和用户对交易行为负责。对于医疗器械类产品,请先查证核实企业经营资质和医疗器械产品注册证情况。
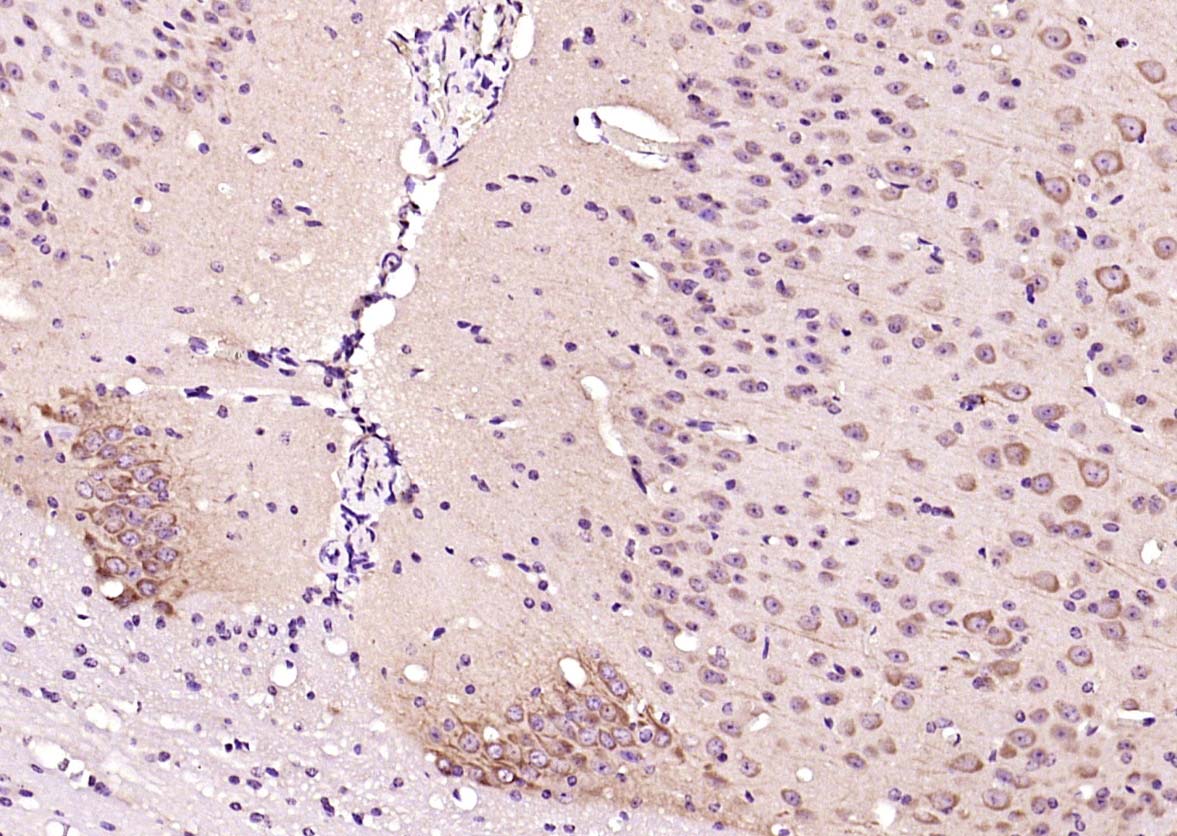
文献和实验[IF={{ 2.96 }}] {Chen C et al. Alternative complement pathway is activated in the brains of scrapie-infected rodents. Med Microbiol Immunol. 2019 Nov 12.} {IHC,IF} {Mouse&Chinese golden hamsters}
Dynamic Monitoring of Cellular Remodeling Induced by the Transforming Growth Factor-β1
. Fig. 4 Inhibition of formation of contractile microfilaments by cytochalasin B (CB) leads to a rapid drop of cell index values. BPH-1 cells were pretreated with transforming growth factor-β1 (10 ng/ml) for 68 h and treated with CB (10 μg/ml
Rinse with PSA 3x 0.3% hydrogen peroxide in PBS, 30min. Then rinse in PBS 3x 5% normal goad serum in PBS at RT for 1 hour. Rabbit anti-Human Factor VIII Related Antigen diluted to 1:500 with 1% NGS in PBS, incubated
, inhibitor of NFκ B; IRAK, IL-1R-associated kinase; LTA, lipoteichoic acid; NIK, NFκ B-inducing kinase; PGN, peptidoglycan; RIP, receptor-interacting protein; TNF, tumour necrosis factor; TNFR, TNF receptor; TRADD, TNFR1-associated protein with death domain
技术资料暂无技术资料 索取技术资料






