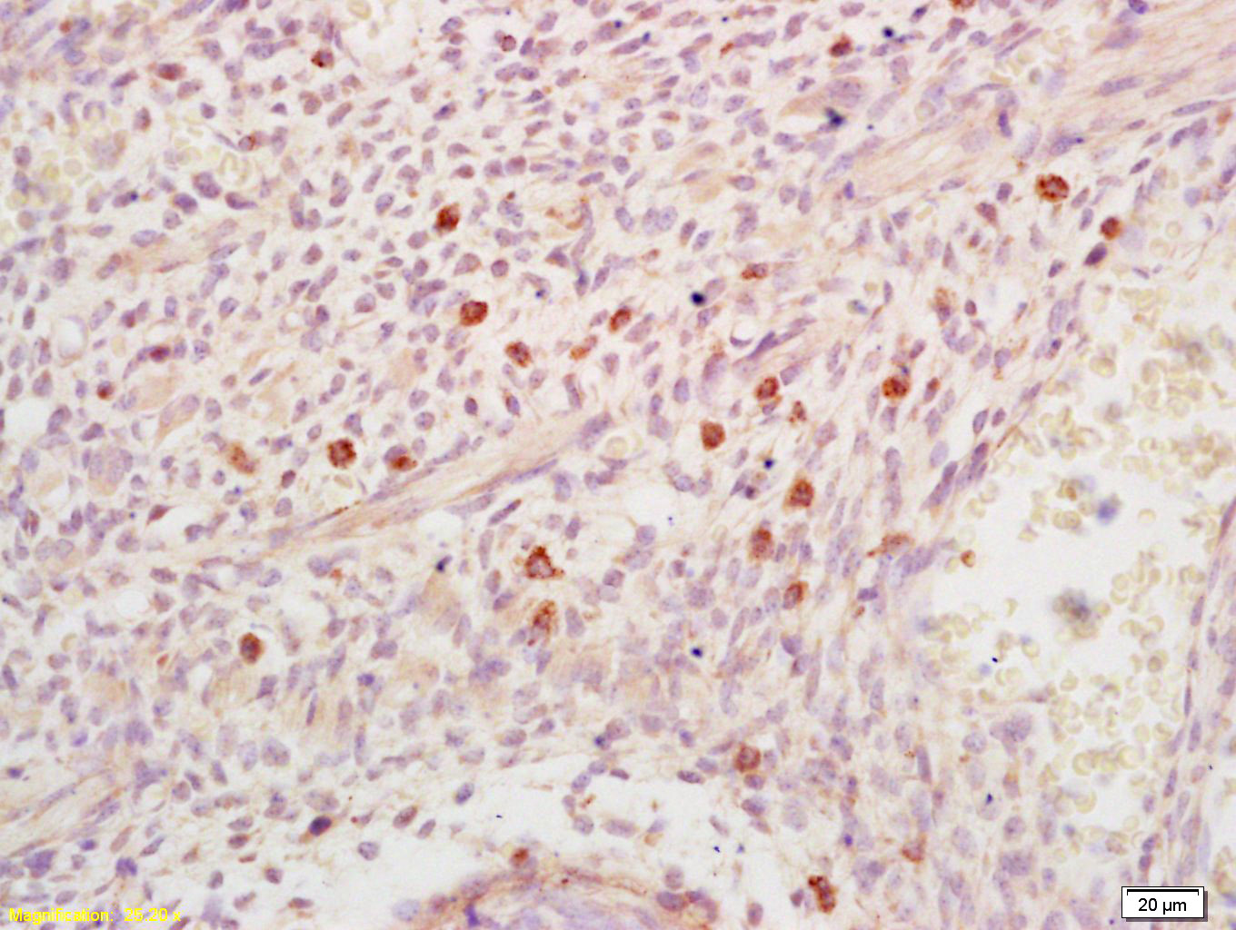
Tissue/cell: mouse embryo tissue; 4% Paraformaldehyde-fixed and paraffin-embedded;
Antigen retrieval: citrate buffer ( 0.01M, pH 6.0 ), Boiling bathing for 15min; Block endogenous peroxidase by 3% Hydrogen peroxide for 30min; Blocking buffer (normal goat serum,C-0005) at 37℃ for 20 min;
Incubation: Anti-DHFR Polyclonal Antibody, Unconjugated(bs-9058R) 1:200, overnight at 4°C, followed by conjugation to the secondary antibody(SP-0023) and DAB(C-0010) staining
相关产品推荐更多 >

HMGB1 Rabbit pAb, PerCP-Cy5.5 conjugated(bs-0664R-PerCP-Cy5.5)-100ul
¥2980
phospho-MYPT1 (Thr696) Rabbit pAb, BF488 conjugated(bs-20264R-BF488)-100ul
¥2980
C20orf196 Rabbit pAb, Biotin conjugated(bs-9699R-Bio)-100ul
¥2980
Integrin Alpha 3 + Beta 1 Rabbit pAb, PE-Cy5 conjugated(bs-1057R-PE-Cy5)-100ul
¥2980
KLF4 Rabbit pAb(bs-1064R)-50ul/100ul/200ul
¥1180
万千商家帮你免费找货
0 人在求购买到急需产品
- 详细信息
- 技术资料
- 应用范围:
产品信息以Bioss网站为准
- 规格:
50ul/100ul/200ul
| 规格: | 50ul | 产品价格: | ¥1180.0 |
|---|---|---|---|
| 规格: | 100ul | 产品价格: | ¥1980.0 |
| 规格: | 200ul | 产品价格: | ¥2800.0 |
| 产品编号 | bs-9058R |
| 英文名称 | DHFR Rabbit pAb |
| 中文名称 | 二氢叶酸还原酶抗体 |
| 英文别名 | DHFR; DHFRP1; Dihydrofolate reductase; DYR; DYR_HUMAN; EC 1.5.1.3. |
| 产品应用 | IHC-P=1:100-500, IHC-F=1:100-500, IF=1:50-200 Not yet tested in other applications. |
| 交叉反应 | Human, Mouse |
| 抗体来源 | Rabbit |
| 免疫原 | KLH conjugated synthetic peptide derived from human DHFR |
| 亚型 | IgG |
| 性状 | Liquid |
| 纯化方法 | affinity purified by Protein A |
| 克隆类型 | Polyclonal |
| 理论分子量 | 21 kDa |
| 浓度 | 1mg/ml |
| 储存液 | 0.01M TBS (pH7.4) with 1% BSA, 0.02% Proclin300 and 50% Glycerol. |
| 研究领域 | Cell Biology > Other Antibodies > Other Antibodies Metabolism > Pathways and Processes > Metabolic signaling pathways > Amino acid metabolism Metabolism > Pathways and Processes > Metabolic signaling pathways > Nucleotide metabolism Metabolism > Types of disease > Cancer Signal Transduction > Metabolism > Amino Acids |
| 亚基 | Homodimer. |
| 亚细胞定位 | Isoform Alpha: Mitochondrion membrane; Single-pass membrane protein. Cytoplasm. |
| 组织特异性 | Widely expressed in fetal and adult tissues, including throughout the fetal and adult brains and whole blood. Expression is higher in the adult brain than in the fetal brain. |
| 相似性 | Belongs to the dihydrofolate reductase family.
Contains 1 DHFR (dihydrofolate reductase) domain. |
| 功能 | Key enzyme in folate metabolism. Contributes to the de novo mitochondrial thymidylate biosynthesis pathway. Catalyzes an essential reaction for de novo glycine and purine synthesis, and for DNA precursor synthesis. Binds its own mRNA and that of DHFRL1. |
| 保存条件 | Shipped at 4℃. Store at -20℃ for one year. Avoid repeated freeze/thaw cycles. |
| 注意事项 | This product as supplied is intended for research use only, not for use in human, therapeutic or diagnostic applications. |
| 背景资料 | DHFR catalyzes the NADPH-dependent reduction of dihydrofolate to tetrahydrofolate, and is a crucial enzyme for the synthesis of purines, pyrimidines and some amino acids. Inhibition of the activity of this enzyme leads to arrest of DNA synthesis and cell death. Gene expression of methotrexate (MTX)-resistant variants of DHFR in normal hematopoietic cells is a potential strategy to permit administration of larger doses of MTX by alleviating drug toxicity in normal cells and tissues that are drug sensitive. |
| 应用 | 推荐稀释比例 |
| {IHC-P} | {1:100-500} |
| {IHC-F} | {1:100-500} |
| {IF} | {1:50-200} |


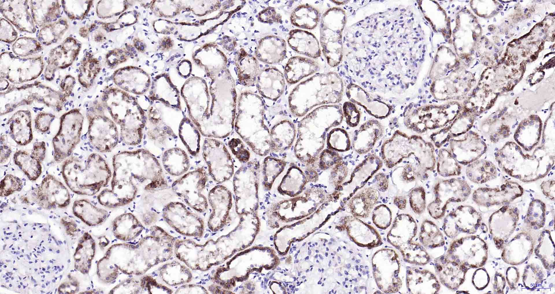
Paraformaldehyde-fixed, paraffin embedded Human Kidney; Antigen retrieval by boiling in sodium citrate buffer (pH6.0) for 15 min; Antibody incubation with DHFR Polyclonal Antibody, Unconjugated (bs-9058R) at 1:200 overnight at 4°C, followed by conjugation to the SP Kit (Rabbit, SP-0023) and DAB (C-0010) staining.

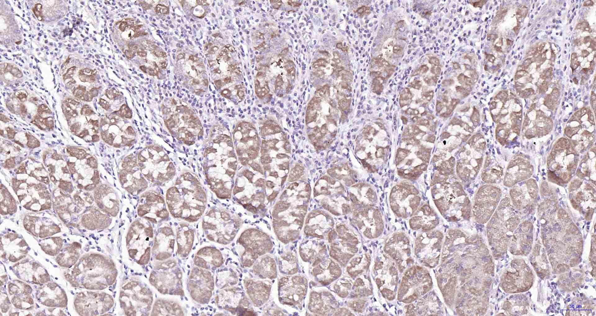
Paraformaldehyde-fixed, paraffin embedded Human Stomach; Antigen retrieval by boiling in sodium citrate buffer (pH6.0) for 15 min; Antibody incubation with DHFR Polyclonal Antibody, Unconjugated (bs-9058R) at 1:200 overnight at 4°C, followed by conjugation to the SP Kit (Rabbit, SP-0023) and DAB (C-0010) staining.

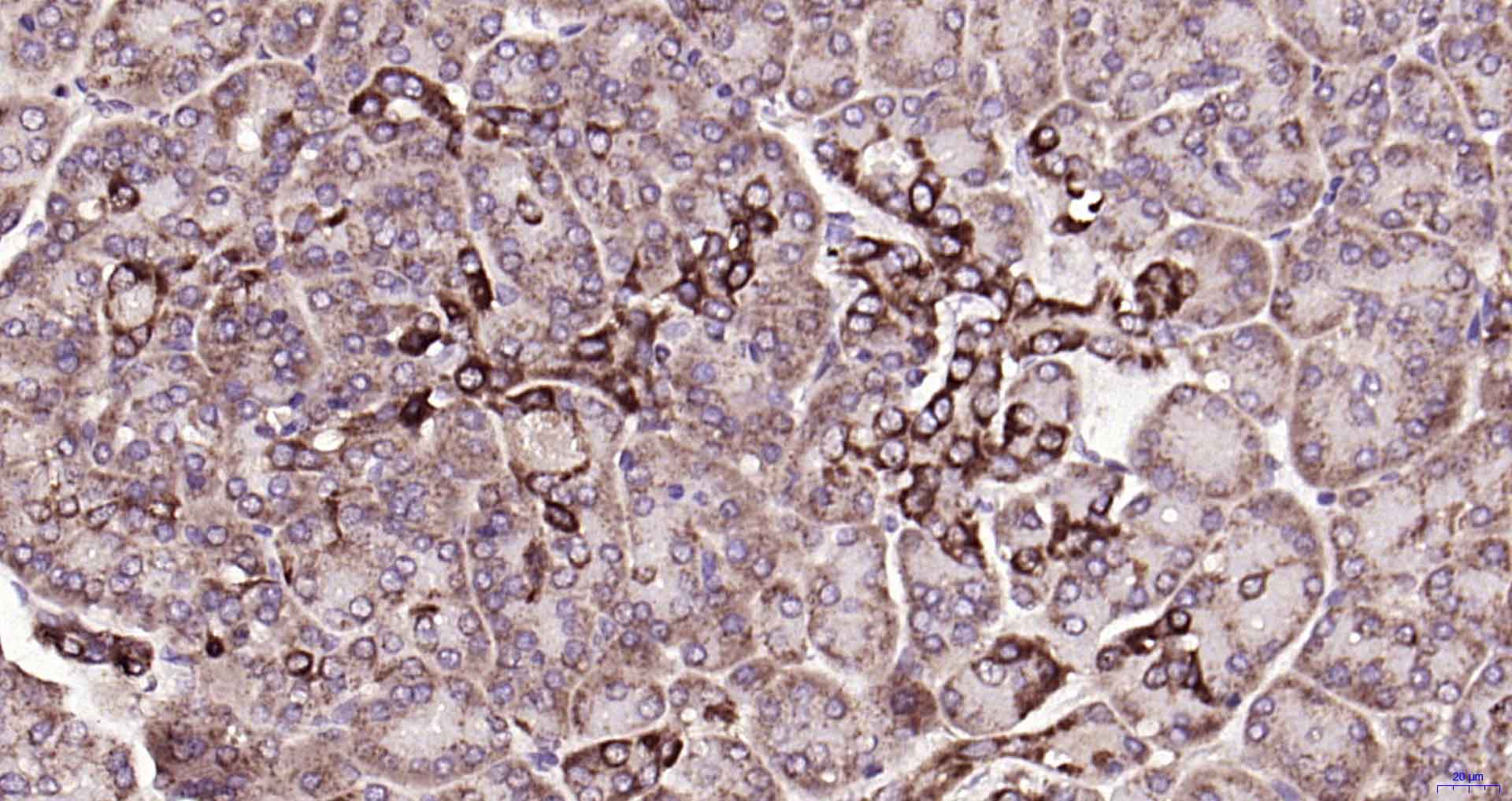
Paraformaldehyde-fixed, paraffin embedded Human Pancreas; Antigen retrieval by boiling in sodium citrate buffer (pH6.0) for 15 min; Antibody incubation with DHFR Polyclonal Antibody, Unconjugated (bs-9058R) at 1:200 overnight at 4°C, followed by conjugation to the SP Kit (Rabbit, SP-0023) and DAB (C-0010) staining.
风险提示:丁香通仅作为第三方平台,为商家信息发布提供平台空间。用户咨询产品时请注意保护个人信息及财产安全,合理判断,谨慎选购商品,商家和用户对交易行为负责。对于医疗器械类产品,请先查证核实企业经营资质和医疗器械产品注册证情况。
技术资料暂无技术资料 索取技术资料
DHFR Rabbit pAb(bs-9058R)-50ul/100ul/200ul
¥1180 - 2800





