相关产品推荐更多 >

Corin Rabbit pAb, BF405 conjugated(bs-7685R-BF405)-100ul
¥2980
phospho-NCOA3 (Thr24) Rabbit pAb(bs-3408R)-50ul/100ul/200ul
¥1180
ATP1A1 Rabbit pAb(bs-4255R)-50ul/100ul/500ul
¥680
phospho-PKM2 (Tyr148) Rabbit pAb, Cy5.5 conjugated(bs-20036R-Cy5.5)-100ul
¥2980
BNIP3 Rabbit pAb, APC conjugated(bs-4239R-APC)-100ul
¥2980
万千商家帮你免费找货
0 人在求购买到急需产品
- 详细信息
- 文献和实验
- 技术资料
- 应用范围:
产品信息以Bioss网站为准
- 规格:
50ul/100ul/200ul
| 规格: | 50ul | 产品价格: | ¥1180.0 |
|---|---|---|---|
| 规格: | 100ul | 产品价格: | ¥1980.0 |
| 规格: | 200ul | 产品价格: | ¥2800.0 |
| 产品编号 | bs-12364R |
| 英文名称 | SCXA Rabbit pAb |
| 中文名称 | 碱性螺旋-环-螺旋转录因子SCXA抗体 |
| 英文别名 | Basic helix loop helix transcription factor scleraxis; Basic helix-loop-helix transcription factor scleraxis; bHLHa41; bHLHa48; Class A basic helix-loop-helix protein 41; Class A basic helix-loop-helix protein 48; scleraxis homolog A; SCX; SCX_HUMAN; SCXB. |
| 产品应用 | IHC-P=1:100-500, IHC-F=1:100-500, IF=1:100-500 Not yet tested in other applications. |
| 交叉反应 | Rat (Human, Mouse, Chicken, Dog, Cow, Horse) |
| 抗体来源 | Rabbit |
| 免疫原 | KLH conjugated synthetic peptide derived from human SCXA |
| 亚型 | IgG |
| 性状 | Liquid |
| 纯化方法 | affinity purified by Protein A |
| 克隆类型 | Polyclonal |
| 理论分子量 | 22 kDa |
| 浓度 | 1mg/ml |
| 储存液 | 0.01M TBS (pH7.4) with 1% BSA, 0.02% Proclin300 and 50% Glycerol. |
| 亚基 | Efficient DNA binding requires dimerization with another bHLH protein. Dimerizes and binds the E-box consensus sequence with E12 (By similarity). |
| 亚细胞定位 | Nucleus. |
| 相似性 | Contains 1 basic helix-loop-helix (bHLH) domain. |
| 功能 | Plays an early essential role in mesoderm formation, as well as a later role in formation of somite-derived chondrogenic lineages. |
| 保存条件 | Shipped at 4℃. Store at -20℃ for one year. Avoid repeated freeze/thaw cycles. |
| 注意事项 | This product as supplied is intended for research use only, not for use in human, therapeutic or diagnostic applications. |
| 背景资料 | Transcription factors are proteins that bind DNA adjacent to genes and control the production of mRNA transcripts. Scleraxis (basic helix-loop-helix transcription factor scleraxis) is a 201 amino acid protein that dimerizes with another bHLH protein to initiate transcription. Scleraxis is known to play a role in formation of mesoderm and somite-derived chondrogenic lineages. Scleraxis localizes to the nucleus and contains 1 bHLH domain. bHLH transcription factors, in general, function in cellular differentiation, proliferation, and oncogene regulation. The gene encoding Scleraxis maps to human chromosome 8, which consists of nearly 146 million base pairs, houses more than 800 genes and is associated with a variety of diseases and malignancies. Schizophrenia, bipolar disorder, Trisomy 8, Pfeiffer syndrome, congenital hypothyroidism, Waardenburg syndrome and some leukemias and lymphomas are thought to occur as a result of defects in specific genes that map to chromosome 8. |
| 应用 | 推荐稀释比例 |
| {IHC-P} | {1:100-500} |
| {IHC-F} | {1:100-500} |
| {IF} | {1:100-500} |

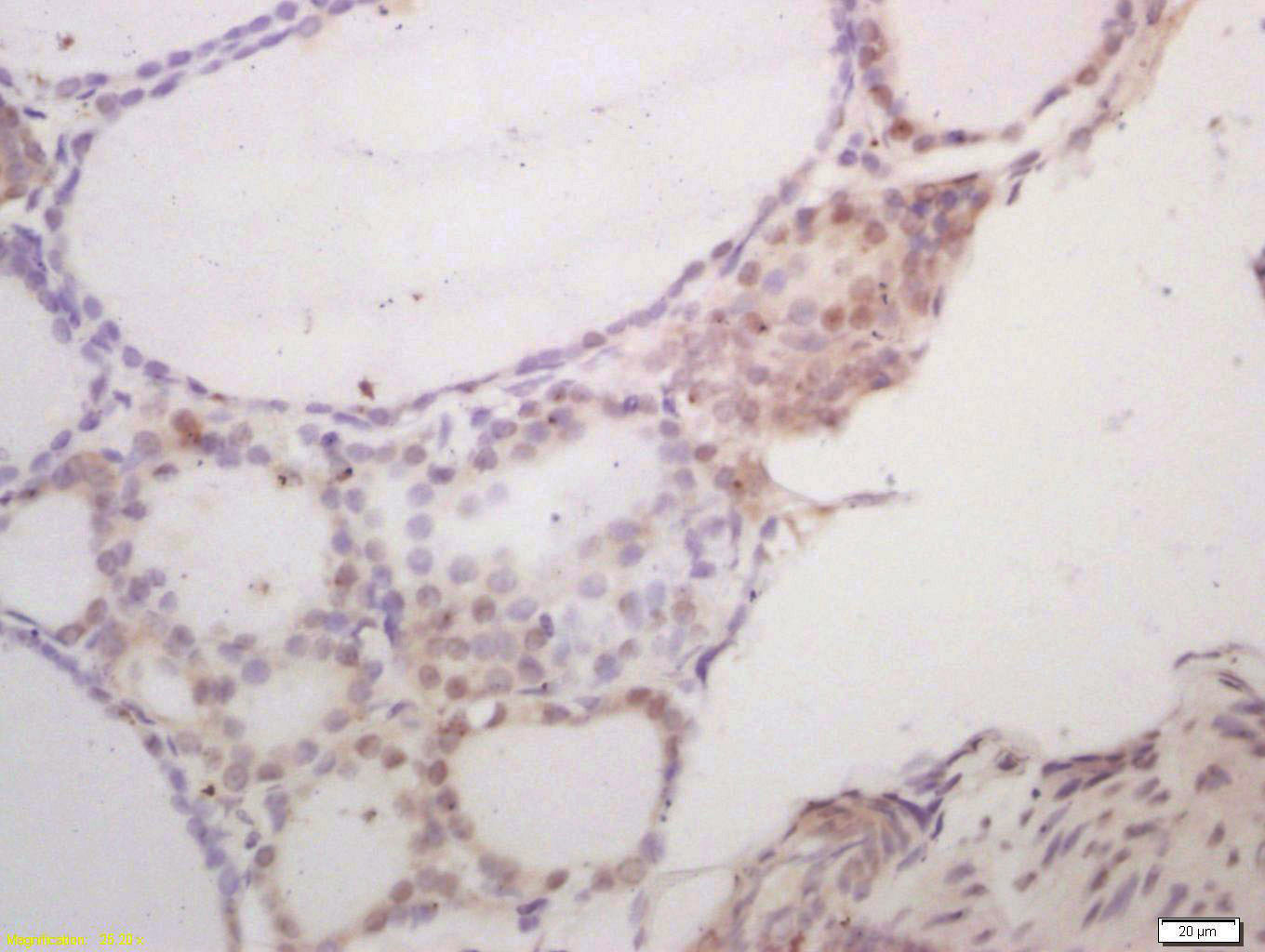
Antigen retrieval: citrate buffer ( 0.01M, pH 6.0 ), Boiling bathing for 15min; Block endogenous peroxidase by 3% Hydrogen peroxide for 30min; Blocking buffer (normal goat serum,C-0005) at 37℃ for 20 min;
Incubation: Anti-SCXA Polyclonal Antibody, Unconjugated(bs-12364R) 1:200, overnight at 4℃, followed by conjugation to the secondary antibody(SP-0023) and DAB(C-0010) staining
风险提示:丁香通仅作为第三方平台,为商家信息发布提供平台空间。用户咨询产品时请注意保护个人信息及财产安全,合理判断,谨慎选购商品,商家和用户对交易行为负责。对于医疗器械类产品,请先查证核实企业经营资质和医疗器械产品注册证情况。
文献和实验[IF={{ 5.131 }}] {Kang Lu. et al. Micropattern Silk Fibroin Film Facilitates Tendon Repair In Vivo and Promotes Tenogenic Differentiation of Tendon Stem/Progenitor Cells through the α2β1/FAK/PI3K/AKT Signaling Pathway In Vitro. STEM CELLS INT. 2023 Jan 13;2023:2915826} {IHC} {Rat}
[IF={{ 3.8 }}] {Li Zhi. et al. Dynamic Tensile Stress Promotes Regeneration of Achilles Tendon in a Panda Rope Bridge Technique Mice Model. ANN BIOMED ENG. 2023 Jul;:1-14} {WB,IHC} {Mouse}
[IF={{ 3.776 }}] {Ruidong Ge. et al. Quantitative proteomics reveals potential anti-inflammatory protein targets of radial extracorporeal shock wave therapy in TNF-α-induced model of acute inflammation in primary human tenocytes. HELIYON. 2022 Dec;8:e12008} {IF} {Human}
[IF={{ 3.3 }}] {Chen Shen. et al. Panda Rope Bridge Technique promoted Achilles tendon regeneration in a novel rat tendon defect model. KNEE SURG SPORT TR A. 2024 Sep;:} {IHC} {Rat}
[IF={{ 2.813 }}] {Lu, Kang. et al. N-Acetyl-L-cysteine facilitates tendon repair and promotes the tenogenic differentiation of tendon stem/progenitor cells by enhancing the integrin α5/β1/PI3K/AKT signaling. BMC MOL CELL BIOL. 2023 Dec;24(1):1-13} {IF} {Rat}
技术资料暂无技术资料 索取技术资料





