相关产品推荐更多 >

HPV16 E7 Rabbit pAb, RBITC conjugated(bs-0992R-RBITC)-100ul
¥2980
phospho-14-3-3 theta (Ser232) Rabbit pAb, APC-Cy5.5 conjugated(bs-13774R-APC-Cy5.5)-100ul
¥2980
SPOCK2 Rabbit pAb(bs-11966R)-50ul/100ul/200ul
¥1180
MuRF1 Rabbit pAb, PerCP conjugated(bs-2539R-PerCP)-100ul
¥2980
RS1 Rabbit pAb(bs-18863R)-50ul/100ul/200ul
¥1180
万千商家帮你免费找货
0 人在求购买到急需产品
- 详细信息
- 文献和实验
- 技术资料
- 应用范围:
产品信息以Bioss网站为准
- 规格:
50ul/100ul/200ul
| 规格: | 50ul | 产品价格: | ¥1180.0 |
|---|---|---|---|
| 规格: | 100ul | 产品价格: | ¥1980.0 |
| 规格: | 200ul | 产品价格: | ¥2800.0 |
| 产品编号 | bs-4630R |
| 英文名称 | phospho-ROCK1 (Thr455+Ser456) Rabbit pAb |
| 中文名称 | 磷酸化Rho相关蛋白激酶1抗体 |
| 英文别名 | p-ROCK1(Thr455/Ser456); p160 ROCK1; p160ROCK; Renal carcinoma antigen NY REN 35; Rho associated coiled coil containing protein kinase 1; Rho associated protein kinase 1; Rho-associated coiled-coil containing protein kinase 1; ROCK1_HUMAN. |
| 产品应用 | WB=1:500-2000, IHC-P=1:100-500, IHC-F=1:100-500, IF=1:100-500, Flow-Cyt=1ug/Test Not yet tested in other applications. |
| 交叉反应 | Human, Mouse (Rat, Dog, Pig, Horse, Rabbit) |
| 抗体来源 | Rabbit |
| 免疫原 | KLH conjugated synthesised phosphopeptide derived from human ROCK1 around the phosphorylation site of Thr455+Ser456 |
| 亚型 | IgG |
| 性状 | Liquid |
| 纯化方法 | affinity purified by Protein A |
| 克隆类型 | Polyclonal |
| 理论分子量 | 158 kDa |
| 浓度 | 1mg/ml |
| 储存液 | 0.01M TBS (pH7.4) with 1% BSA, 0.02% Proclin300 and 50% Glycerol. |
| 研究领域 | Cancer > Cell cycle > Cell division Cell Biology > Cell Cycle > Cell Division > Centromere Signal Transduction > Cytoskeleton / ECM > Cytoskeleton > Microfilaments > Actin etc > Actin Assembly Signal Transduction > Protein Phosphorylation > Ser / Thr Kinases > Other Kinases |
| 亚基 | Homodimer. Interacts with RHOB, RHOC, MYLC2B snd PTEN (By similarity). Interacts with RHOA (activated by GTP), CHORDC1, DAPK3, GEM, JIP3, RHOE, PPP1R12A, PFN1, LIMK1, LIMK2 and TSG101. Interacts with FHOD1 in a Src-dependent manner. |
| 亚细胞定位 | Cytoplasm. Cytoplasm, cytoskeleton, centrosome, centriole (By similarity). Golgi apparatus membrane; Peripheral membrane protein. Cell projection, bleb. Note=Associated with the mother centriole and an intercentriolar linker (By similarity). A small proportion is associated with Golgi membranes. |
| 组织特异性 | Detected in blood platelets. |
| 翻译后修饰 | Autophosphorylated on serine and threonine residues. Phosphorylated upon DNA damage, probably by ATM or ATR.
Cleaved by caspase-3 during apoptosis. This leads to constitutive activation of the kinase and membrane blebbing. |
| 相似性 | Belongs to the protein kinase superfamily. AGC Ser/Thr protein kinase family. Contains 1 AGC-kinase C-terminal domain. Contains 1 PH domain. Contains 1 phorbol-ester/DAG-type zinc finger. Contains 1 protein kinase domain. Contains 1 REM (Hr1) repeat. |
| 功能 | Protein kinase which is a key regulator of actin cytoskeleton and cell polarity. Involved in regulation of smooth muscle contraction, actin cytoskeleton organization, stress fiber and focal adhesion formation, neurite retraction, cell adhesion and motility via phosphorylation of DAPK3, GFAP, LIMK1, LIMK2, MYL9/MLC2, PFN1 and PPP1R12A. Phosphorylates FHOD1 and acts synergistically with it to promote SRC-dependent non-apoptotic plasma membrane blebbing. Phosphorylates JIP3 and regulates the recruitment of JNK to JIP3 upon UVB-induced stress. Acts as a suppressor of inflammatory cell migration by regulating PTEN phosphorylation and stability. Acts as a negative regulator of VEGF-induced angiogenic endothelial cell activation. Required for centrosome positioning and centrosome-dependent exit from mitosis. Plays a role in terminal erythroid differentiation. May regulate closure of the eyelids and ventral body wall by inducing the assembly of actomyosin bundles. Promotes keratinocyte terminal differentiation. |
| 保存条件 | Shipped at 4℃. Store at -20℃ for one year. Avoid repeated freeze/thaw cycles. |
| 注意事项 | This product as supplied is intended for research use only, not for use in human, therapeutic or diagnostic applications. |
| 背景资料 | This gene encodes a protein serine/threonine kinase that is activated when bound to the GTP-bound form of Rho. The small GTPase Rho regulates formation of focal adhesions and stress fibers of fibroblasts, as well as adhesion and aggregation of platelets and lymphocytes by shuttling between the inactive GDP-bound form and the active GTP-bound form. Rho is also essential in cytokinesis and plays a role in transcriptional activation by serum response factor. This protein, a downstream effector of Rho, phosphorylates and activates LIM kinase, which in turn, phosphorylates cofilin, inhibiting its actin-depolymerizing activity. [provided by RefSeq]. |
| 应用 | 推荐稀释比例 |
| {WB} | {1:500-2000} |
| {IHC-P} | {1:100-500} |
| {IHC-F} | {1:100-500} |
| {IF} | {1:100-500} |
| {Flow-Cyt} | {1ug/Test} |


Cerebrum (Mouse) Lysate at 40 ug
Primary: Anti-phospho-ROCK1(Thr455+Ser456) (bs-4630R) at 1/1000 dilution
Secondary: IRDye800CW Goat Anti-Rabbit IgG at 1/20000 dilution
Predicted band size: 158 kD
Observed band size: 158 kD

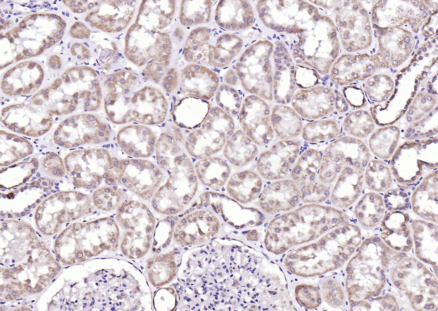
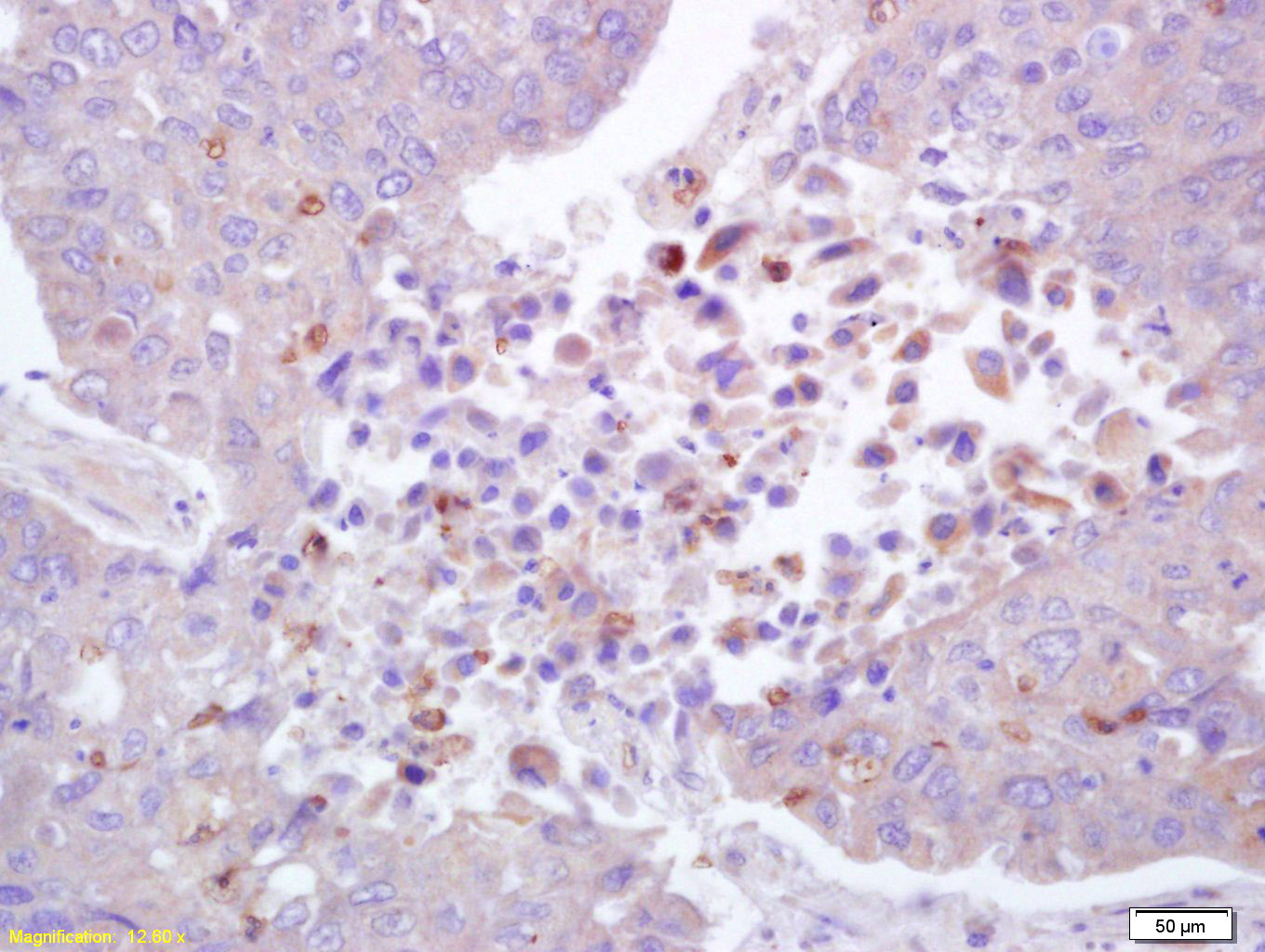
Antigen retrieval: citrate buffer ( 0.01M, pH 6.0 ), Boiling bathing for 15min; Block endogenous peroxidase by 3% Hydrogen peroxide for 30min; Blocking buffer (normal goat serum,C-0005) at 37℃ for 20 min;
Incubation: Anti-phospho-ROCK1(Thr455/Ser456) Polyclonal Antibody, Unconjugated(bs-4630R) 1:200, overnight at 4°C, followed by conjugation to the secondary antibody(SP-0023) and DAB(C-0010) staining

Primary Antibody:Rabbit Anti- phospho-ROCK1(Thr455+Ser456) antibody(bs-4630R), Dilution:1μg in 100 μL 1X PBS containing 0.5% BSA;
Isotype Control Antibody: Rabbit IgG(orange) ,used under the same conditions );
Secondary Antibody: Goat anti-rabbit IgG-PE(white blue), Dilution: 1:200 in 1 X PBS containing 0.5% BSA.

Primary Antibody (green line): Rabbit Anti-phospho-ROCK1 (Thr455+Ser456) antibody (bs-4630R)
Dilution: 1ug/Test;
Secondary Antibody (white blue line) : Goat anti-rabbit IgG-AF488
Dilution: 0.5ug/Test.
Isotype control(orange line):Normal Rabbit IgG
Protocol
The cells were incubated in 5%BSA to block non-specific protein-protein interactions for 30 min at room temperature .Cells stained with Primary Antibody for 30 min at room temperature. The secondary antibody used for 40 min at room temperature. Acquisition of 20,000 events was performed.

Primary Antibody (green line): Rabbit Anti-phospho-ROCK1 (Thr455+Ser456) antibody (bs-4630R)
Dilution: 1ug/Test;
Secondary Antibody (white blue line) : Goat anti-rabbit IgG-AF488
Dilution: 0.5ug/Test.
Isotype control(orange line):Normal Rabbit IgG
Protocol
The cells were incubated in 5%BSA to block non-specific protein-protein interactions for 30 min at room temperature .Cells stained with Primary Antibody for 30 min at room temperature. The secondary antibody used for 40 min at room temperature. Acquisition of 20,000 events was performed.
风险提示:丁香通仅作为第三方平台,为商家信息发布提供平台空间。用户咨询产品时请注意保护个人信息及财产安全,合理判断,谨慎选购商品,商家和用户对交易行为负责。对于医疗器械类产品,请先查证核实企业经营资质和医疗器械产品注册证情况。
文献和实验[IF={{ 6.7 }}] {Zhizhongbin Wu. et al. Long term Coptidis Rhizoma intake induce gastrointestinal emptying inhibition and colon barrier weaken via bitter taste receptors activation in mice. PHYTOMEDICINE. 2024 Nov;:156292} {WB} {Human}
[IF={{ 6.162 }}] {Zhou Y et al. ROCK2 Confers Acquired Gemcitabine Resistance in Pancreatic Cancer Cells by Upregulating Transcription Factor ZEB1. Cancers (Basel). 2019 Nov 27;11(12). pii: E1881.} {WB} {Human}
[IF={{ 4.566 }}] {Xu Jiahui. et al. Temperature and Growth Selection Effects on Proliferation, Differentiation, and Adipogenic Potential of Turkey Myogenic Satellite Cells Through Frizzled-7-Mediated Wnt Planar Cell Polarity Pathway. FRONT PHYSIOL. 2022 May;0:889} {WB} {Chicken}
[IF={{ 4.15 }}] {Wang, Nan, et al. "Vascular endothelial growth factor stimulates endothelial differentiation from mesenchymal stem cells via Rho/myocardin-related transcription factor-A signaling pathway." The International Journal of Biochemistry & Cell Biology (2013).} {WB} {="Rat"}
[IF={{ 3.388 }}] {Kusuyama J et al. Low intensity pulsed ultrasound (LIPUS) maintains osteogenic potency by the increasedexpression and stability of Nanog through spleen tyrosine kinase (Syk) activation. Cell Signal. 2019 Jun 19;62:109345.} {WB} {Mouse}
(Ser473)(193H12)Rabbit mAb,1:300,稀释,二抗是驴抗兔,1:2000,我是实验室的新手,刚呆俩月,受 此挫折,一头雾水,请过来人或者有经验的同学帮忙解答怎样解决,非常感谢! 碧峤 pAkt有两个位点,Ser473和Thr308,其中Ser473相对容易显色。如果显色失败,可能的原因:1 上样量过少,我们一般都是30μg;2 一抗孵育时间过短,我们一般24h~48h;3 一抗是否工作有待排除 米宝
antibody dilution buffer: TBS-T supplemented with2% (w/v) BSA. 6. Antibodies: Phospho-b-catenin Ser33/Ser37/Thr41, phospho-glycogen synthase Ser641, and glycogen synthase (CellSignaling Technologies, Beverly, MA); b-catenin and GSK-3b(BD PharMingen, San
v468. chapter 4 WNT 细胞通路 检测细胞GSK3活性与表达水平
4 ). 2. Other antibodies used were b-catenin (phospho-Thr41/Ser37/Ser33) (#9561; Cell Signaling Technology), b-catenin (#9562;Cell Signaling Technology), CRMP2 (pT514/509) (#PB-043; Kinasource, Dundee, Scotland) and CRMP2 (#AB-042;Kinasource). 3. Blocking buffer
技术资料暂无技术资料 索取技术资料





