相关产品推荐更多 >
万千商家帮你免费找货
0 人在求购买到急需产品
- 详细信息
- 询价记录
- 文献和实验
- 技术资料
- 应用范围:
产品信息以Bioss网站为准
- 规格:
50ul/100ul/200ul
| 规格: | 50ul | 产品价格: | ¥1180.0 |
|---|---|---|---|
| 规格: | 100ul | 产品价格: | ¥1980.0 |
| 规格: | 200ul | 产品价格: | ¥2800.0 |
| 产品编号 | bs-8684R |
| 英文名称 | TLR8 Rabbit pAb |
| 中文名称 | Toll样受体8抗体 |
| 英文别名 | CD 288; CD288; CD288 antigen; MGC119599; MGC119600; TLR 8; TLR-8; Tlr8; TLR8_HUMAN; Toll Like Receptor 8; Toll-like receptor 8. |
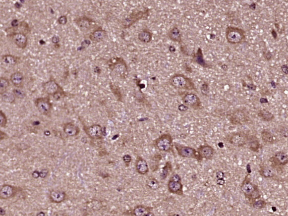
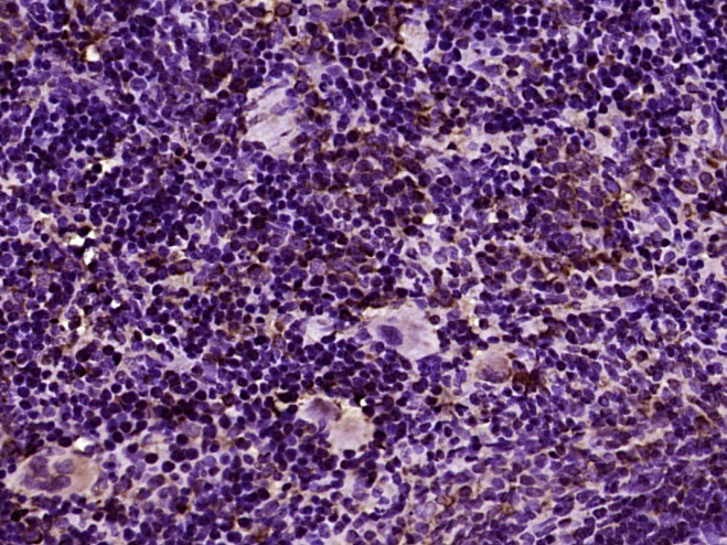
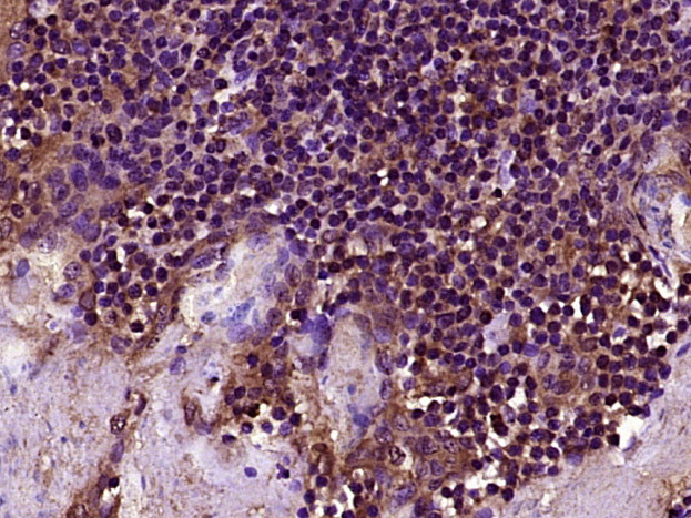
| 产品应用 | WB=1:500-2000, IHC-P=1:100-500, IHC-F=1:100-500, IF=1:100-500 Not yet tested in other applications. |
| 交叉反应 | Human, Mouse, Rat (Dog, Pig, Horse) |
| 抗体来源 | Rabbit |
| 免疫原 | KLH conjugated synthetic peptide derived from human TLR 8 |
| 亚型 | IgG |
| 性状 | Liquid |
| 纯化方法 | affinity purified by Protein A |
| 克隆类型 | Polyclonal |
| 理论分子量 | 117 kDa |
| 浓度 | 1mg/ml |
| 储存液 | 0.01M TBS (pH7.4) with 1% BSA, 0.02% Proclin300 and 50% Glycerol. |
| 研究领域 | Immunology > Immunoglobulins > Receptors Immunology > Innate Immunity > Macrophage / Inflamm. Immunology > Innate Immunity > TLR Signaling Microbiology > Protein > Human Protein > Defensin |
| 亚基 | Interacts with MYD88 via their respective TIR domains. Interacts with UNC93B1 (By similarity). Interacts with BTK. |
| 亚细胞定位 | Membrane. |
| 组织特异性 | Detected in brain, heart, lung, liver, placenta, in monocytes, and at lower levels in CD11c+ immature dendritic cells. |
| 相似性 | Belongs to the Toll-like receptor family. Contains 23 LRR (leucine-rich) repeats. Contains 1 LRRCT domain. |
| 功能 | Key component of innate and adaptive immunity. TLRs (Toll-like receptors) control host immune response against pathogens through recognition of molecular patterns specific of microorganisms. Acts via MYD88 and TRAF6, leading to NF-kappa-B activation, cytokine secretion and the inflammatory response. |
| 保存条件 | Shipped at 4℃. Store at -20℃ for one year. Avoid repeated freeze/thaw cycles. |
| 注意事项 | This product as supplied is intended for research use only, not for use in human, therapeutic or diagnostic applications. |
| 背景资料 | The Toll-like Receptors (TLR) are a family of human receptors that share homology with the Drosophila Toll Receptors, which are involved in mediating dorsoventral polarization in developing Drosophila embryos and participate in host immunity. The TLR family members are characterized by a highly conserved Toll homology (TH) domain, which is essential for Toll-induced signal transductions. TLRs are type I transmembrane receptors that contain an extracellular domain consisting of several leucine-rich regions and a single cytoplasmic Toll/IL-1R like domain. Three TLR family members, TLR7, TLR8 and TLR9, belong to a subfamily of TLRs which are differentially expressed. TLR7 is expressed in lung, placenta and spleen. TLR8 is expressed in lung and peripheral blood leukocytes, and TLR9 is predominantly expressed in spleen, lymph nodes, bone marrow and peripheral blood leukocytes. TLR7, TLR8 and TLR9 stimulate the NFkB signaling pathway, suggesting that they play a role in the immune response. |
| 应用 | 推荐稀释比例 |
| {WB} | {1:500-2000} |
| {IHC-P} | {1:100-500} |
| {IHC-F} | {1:100-500} |
| {IF} | {1:100-500} |




Lane 1: Mouse Raw264.7 cell lysates
Lane 2: Human MDA-MB-231 cell lysates
Primary: Anti-TLR8 (bs-8684R) at 1/1000 dilution
Secondary: IRDye800CW Goat Anti-Rabbit IgG at 1/20000 dilution
Predicted band size: 117 kDa
Observed band size: 135 kDa
风险提示:丁香通仅作为第三方平台,为商家信息发布提供平台空间。用户咨询产品时请注意保护个人信息及财产安全,合理判断,谨慎选购商品,商家和用户对交易行为负责。对于医疗器械类产品,请先查证核实企业经营资质和医疗器械产品注册证情况。
- 作者
- 内容
- 询问日期
文献和实验[IF={{ 14.7 }}] {Liang Jing. et al. Erythroid-intrinsic activation of TLR8 impairs erythropoiesis in inherited anemia. NAT COMMUN. 2024 Jul;15(1):1-17} {IF} {Human}
= NAL), appears to form upon oxidative cyclization of the nonfluorescent 2:1 lysine-HNE Michael adduct-Schiff base cross-link (Scheme 1). Polyclonal antibody (PAb) to the NAL-HNE fluorophore was raised in rabbit and found to be highly specific
GE Healthcare Benzamidine Sepharose™ 6B is p-aminobenzamidine covalently attached to Sepharose 6B by the epoxy coupling method. p-Aminobenzamidine (PAB), is a synthetic inhibitor of trypsin-like serine protease. Trypsin and trypsin
Nucleic Acid Programmable Protein Arrays: Versatile Tools for Array‐Based Functional Protein Studies
.g., Sigma) 50 mg/ml bis‐sulfosuccinimdylsuberate (BS3 ;Pierce, cat. no. PI 21580) in dimethylsulfoxide (DMSO) 5 mg/ml
技术资料暂无技术资料 索取技术资料










