相关产品推荐更多 >

Kv4.2 Rabbit pAb(bs-9442R)-50ul/100ul/200ul
¥1180
NXPH1 Rabbit pAb, Biotin conjugated(bs-11170R-Bio)-100ul
¥2980
ERPINA6/Cortisol Binding Globulin Rabbit pAb(bs-14001R)-50ul/100ul/200ul
¥1180
DENTT Rabbit pAb, RBITC conjugated(bs-7051R-RBITC)-100ul
¥2980
Synaptopodin Rabbit pAb, Biotin conjugated(bs-14026R-Bio)-100ul
¥2980
万千商家帮你免费找货
0 人在求购买到急需产品
- 详细信息
- 文献和实验
- 技术资料
- 应用范围:
产品信息以Bioss网站为准
- 规格:
50ul/100ul/200ul
| 规格: | 50ul | 产品价格: | ¥1180.0 |
|---|---|---|---|
| 规格: | 100ul | 产品价格: | ¥1980.0 |
| 规格: | 200ul | 产品价格: | ¥2800.0 |
| 产品编号 | bs-7541R |
| 英文名称 | EDG3 Rabbit pAb |
| 中文名称 | 内皮分化型G蛋白偶联受体3抗体 |
| 英文别名 | EDG 3; EDG3; Endothelial differentiation G protein coupled receptor 3; Endothelial differentiation G-protein coupled receptor 3; Endothelial differentiation gene 3; Endothelial differentiation sphingolipid G protein coupled receptor 3; FLJ37523; FLJ93220; G protein coupled receptor endothelial differentiation gene 3; LPB 3; LPB3; S1P receptor 3; S1P receptor Edg 3; S1P receptor Edg-3; S1P receptor EDG3; S1P3; S1PR3; S1PR3_HUMAN; Sphingosine 1 phosphate receptor 3; Sphingosine 1 phosphate receptor Edg 3; Sphingosine 1 phosphate receptor Edg3; Sphingosine 1-phosphate receptor 3; Sphingosine 1-phosphate receptor Edg-3. |
| 产品应用 | WB=1:500-2000, IHC-P=1:100-500, IHC-F=1:100-500, IF=1:100-500, Flow-Cyt=0.2u/test Not yet tested in other applications. |
| 交叉反应 | Human, Mouse, Rat (Cow, Rabbit) |
| 抗体来源 | Rabbit |
| 免疫原 | KLH conjugated synthetic peptide derived from human EDG3 |
| 亚型 | IgG |
| 性状 | Liquid |
| 纯化方法 | affinity purified by Protein A |
| 克隆类型 | Polyclonal |
| 理论分子量 | 42 kDa |
| 浓度 | 1mg/ml |
| 储存液 | 0.01M TBS (pH7.4) with 1% BSA, 0.02% Proclin300 and 50% Glycerol. |
| 研究领域 | Cardiovascular > Angiogenesis > Endothelial Cell Markers Cardiovascular > Atherosclerosis > Hypertension > Vasoconstriction Signal Transduction > Signaling Pathway > G Protein Signaling > GPCR |
| 亚细胞定位 | Cell membrane; Multi-pass membrane protein. |
| 组织特异性 | Expressed in all tissues, but most abundantly in heart, placenta, kidney, and liver. |
| 相似性 | Belongs to the G-protein coupled receptor 1 family. |
| 功能 | Receptor for the lysosphingolipid sphingosine 1-phosphate (S1P). S1P is a bioactive lysophospholipid that elicits diverse physiological effect on most types of cells and tissues. When expressed in rat HTC4 hepatoma cells, is capable of mediating S1P-induced cell proliferation and suppression of apoptosis. |
| 保存条件 | Shipped at 4℃. Store at -20℃ for one year. Avoid repeated freeze/thaw cycles. |
| 注意事项 | This product as supplied is intended for research use only, not for use in human, therapeutic or diagnostic applications. |
| 背景资料 | This gene encodes a member of the EDG family of receptors, which are G protein-coupled receptors. This protein has been identified as a functional receptor for sphingosine 1-phosphate and likely contributes to the regulation of angiogenesis and vascular endothelial cell function. [provided by RefSeq, Jul 2008]. |
| 应用 | 推荐稀释比例 |
| {WB} | {1:500-2000} |
| {IHC-P} | {1:100-500} |
| {IHC-F} | {1:100-500} |
| {IF} | {1:100-500} |
| {Flow-Cyt} | {0.2u/test} |

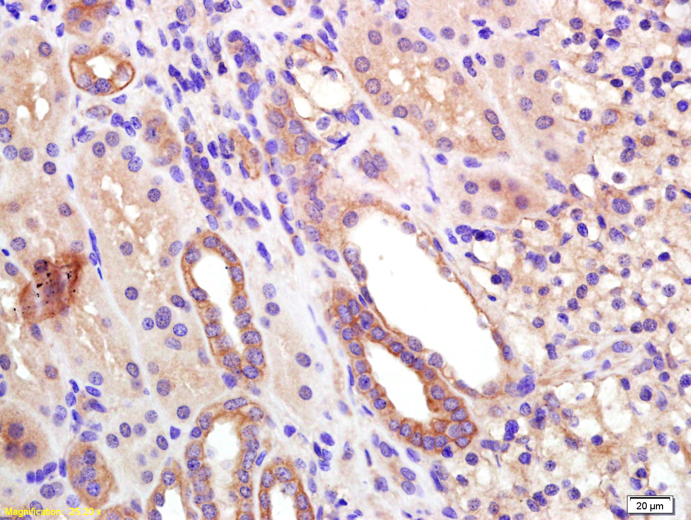
Antigen retrieval: citrate buffer ( 0.01M, pH 6.0 ), Boiling bathing for 15min; Block endogenous peroxidase by 3% Hydrogen peroxide for 30min; Blocking buffer (normal goat serum,C-0005) at 37∩ for 20 min;
Incubation: Anti-EDG3 Polyclonal Antibody, Unconjugated(bs-7541R) 1:200, overnight at 4∑C, followed by conjugation to the secondary antibody(SP-0023) and DAB(C-0010) staining

Primary Antibody (green line): Rabbit Anti-EDG3 antibody (bs-7541R)
Dilution: 0.2μg /10^6 cells;
Isotype Control Antibody (orange line): Rabbit IgG .
Secondary Antibody : Goat anti-rabbit IgG-PE
Dilution: 1μg /test.
Protocol
The cells were incubated in 5%BSA to block non-specific protein-protein interactions for 30 min at at room temperature .Cells stained with Primary Antibody for 30 min at room temperature. The secondary antibody used for 40 min at room temperature. Acquisition of 20,000 events was performed.

Lane1: Heart (Mouse) Lysate at 40 ug
Primary: Anti-EDG3 (bs-7541R) at 1/300 dilution
Secondary: HRP conjugated Goat-Anti-rabbit IgG (bs-0295G-HRP) at 1/5000 dilution
Predicted band size: 42 kD
Observed band size: 46 kD

Lane 1: Cerebrum (Rat) Lysate at 40 ug
Lane 2: Cerebrum (Mouse) Lysate at 40 ug
Lane 3: Heart (Rat) Lysate at 40 ug
Lane 4: Heart (Mouse) Lysate at 40 ug
Primary: Anti-EDG3 (bs-7541R) at 1/1000 dilution
Secondary: IRDye800CW Goat Anti-Rabbit IgG at 1/20000 dilution
Predicted band size: 46 kD
Observed band size: 46 kD
风险提示:丁香通仅作为第三方平台,为商家信息发布提供平台空间。用户咨询产品时请注意保护个人信息及财产安全,合理判断,谨慎选购商品,商家和用户对交易行为负责。对于医疗器械类产品,请先查证核实企业经营资质和医疗器械产品注册证情况。
文献和实验[IF={{ 8.8 }}] {Jose Castro-Vildosola. et al. Sphingosine-1-phosphate receptor 3 activation promotes sociability and regulates transcripts important for anxiolytic-like behavior. BRAIN BEHAV IMMUN. 2025 Feb;124:205} {IF} {Mouse}
[IF={{ 6.117 }}] {Arianna Mazzoli. et al. SKELETAL MUSCLE INSULIN RESISTANCE AND ADIPOSE TISSUE HYPERTROPHY PERSIST BEYOND THE RESHAPING OF GUT MICROBIOTA IN YOUNG RATS FED A FRUCTOSE-RICH DIET. J NUTR BIOCHEM. 2022 Dec;:109247} {WB} {Rat}
[IF={{ 4.074 }}] {Dingkang Xu. et al. Sphingosine‐1‐phosphate receptor 3 is implicated in BBB injury via the CCL2‐CCR2 axis following acute intracerebral hemorrhage. 2021 Feb 28} {WB,IF,IHC} {Human}
[IF={{ 3.612 }}] {Hai B. Tran. et al. Dysregulated zinc and sphingosine-1-phosphate signaling in pulmonary hypertension: Potential effects by targeting of bone morphogenetic protein receptor type 2 in pulmonary microvessels. 2021 Aug 15} {IF} {Rat}
[IF={{ 3.388 }}] {Xiao et al. Fingolimod Suppresses a Cascade of Core Vicious Cycle in Dry Eye NOD Mouse Model: Involvement of Sphingosine-1-Phosphate Receptors in Infiltrating Leukocytes. (2017) Invest.Ophthalmol.Vis.Sci. 58:6123-6132} {IHC} {Mouse}
= NAL), appears to form upon oxidative cyclization of the nonfluorescent 2:1 lysine-HNE Michael adduct-Schiff base cross-link (Scheme 1). Polyclonal antibody (PAb) to the NAL-HNE fluorophore was raised in rabbit and found to be highly specific
GE Healthcare Benzamidine Sepharose™ 6B is p-aminobenzamidine covalently attached to Sepharose 6B by the epoxy coupling method. p-Aminobenzamidine (PAB), is a synthetic inhibitor of trypsin-like serine protease. Trypsin and trypsin
Nucleic Acid Programmable Protein Arrays: Versatile Tools for Array‐Based Functional Protein Studies
.g., Sigma) 50 mg/ml bis‐sulfosuccinimdylsuberate (BS3 ;Pierce, cat. no. PI 21580) in dimethylsulfoxide (DMSO) 5 mg/ml
技术资料暂无技术资料 索取技术资料





