相关产品推荐更多 >

phospho-P53 (Thr55) Rabbit pAb, Cy3 conjugated(bs-5596R-Cy3)-100ul
¥2980
Ly-6G Rabbit pAb, HRP conjugated(bs-2576R-HRP)-100ul
¥2980
p75 NGF Receptor Rabbit pAb, FITC conjugated(bs-7122R-FITC)-100ul
¥2980
C2orf29 Rabbit pAb(bs-9821R)-50ul/100ul/200ul
¥1180
CD200R Rabbit pAb, BF405 conjugated(bs-7351R-BF405)-100ul
¥2980
万千商家帮你免费找货
0 人在求购买到急需产品
- 详细信息
- 文献和实验
- 技术资料
- 应用范围:
产品信息以Bioss网站为准
- 规格:
50ul/100ul/200ul
| 规格: | 50ul | 产品价格: | ¥1180.0 |
|---|---|---|---|
| 规格: | 100ul | 产品价格: | ¥1980.0 |
| 规格: | 200ul | 产品价格: | ¥2800.0 |
| 产品编号 | bs-3247R |
| 英文名称 | phospho-LIMK1 (Thr508) + LIMK2(Thr505) Rabbit pAb |
| 中文名称 | 磷酸化单丝氨酸蛋白激酶1/2抗体 |
| 英文别名 | LIMK1(phospho-Thr508); LIMK1(phospho-T508); EC 2.7.11.1; LIM domain kinase 1; LIM motif-containing protein kinase; LIMK; LIMK-1; LIMK2; LIMK-2; LIM domain kinase 2; LIMK1_HUMAN. |
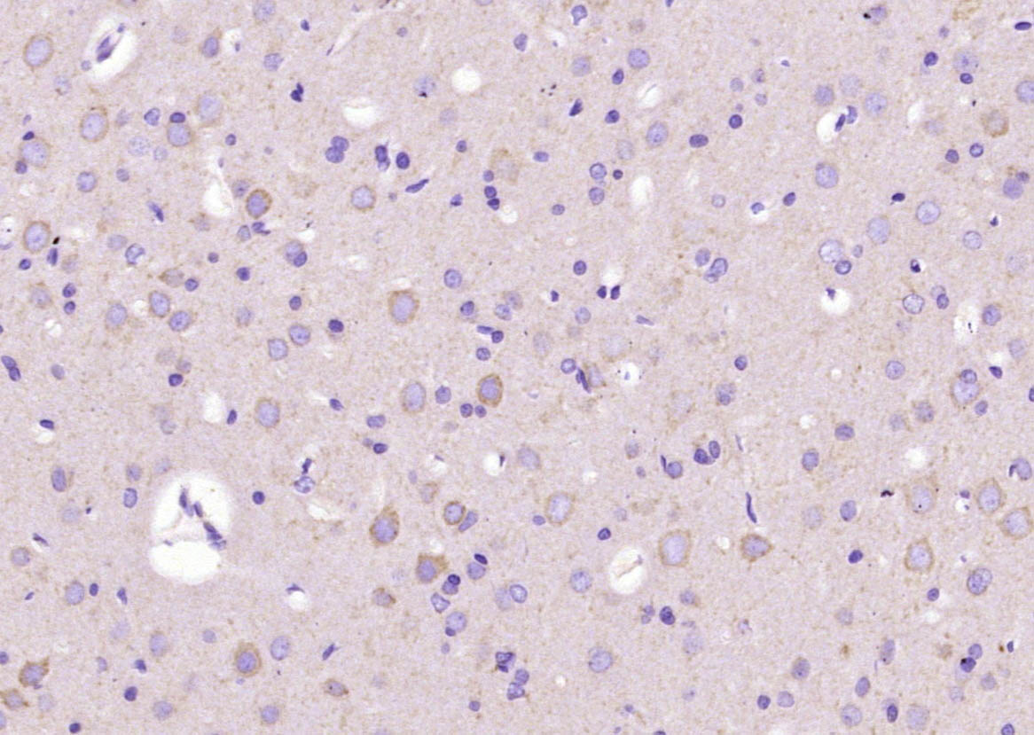
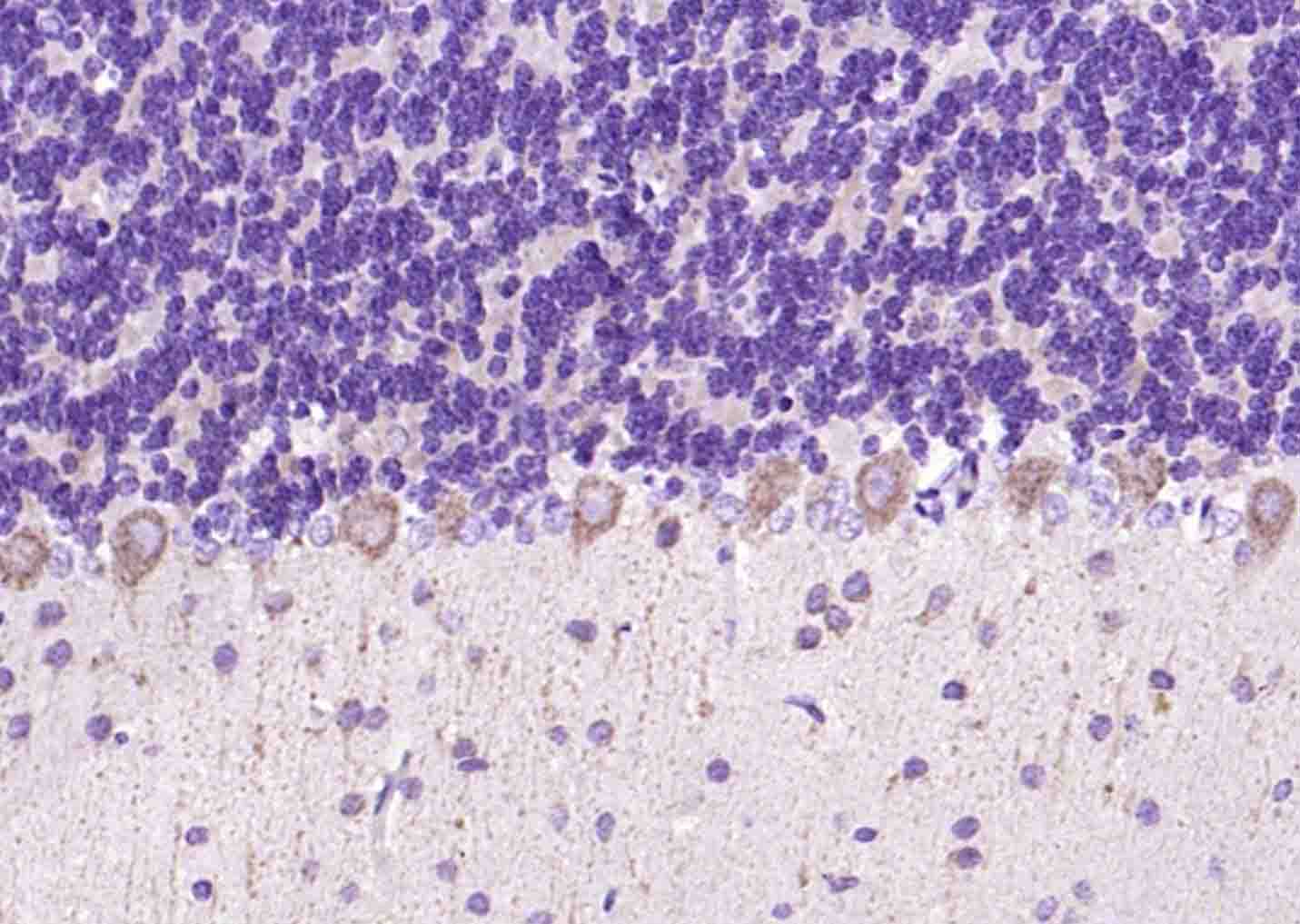
| 产品应用 | IHC-P=1:100-500, IHC-F=1:100-500, IF=1:100-500 Not yet tested in other applications. |
| 交叉反应 | Rat (Human, Mouse, Chicken, Dog, Pig, Cow, Horse, Rabbit) |
| 抗体来源 | Rabbit |
| 免疫原 | KLH conjugated synthesised phosphopeptide derived from human LIMK1 around the phosphorylation site of Thr508 |
| 亚型 | IgG |
| 性状 | Liquid |
| 纯化方法 | affinity purified by Protein A |
| 克隆类型 | Polyclonal |
| 理论分子量 | 71 kDa |
| 浓度 | 1mg/ml |
| 储存液 | 0.01M TBS (pH7.4) with 1% BSA, 0.02% Proclin300 and 50% Glycerol. |
| 研究领域 | Cancer > Signal transduction Epigenetics and Nuclear Signaling > Transcription > Domain Families > Developmental Families > LIM Neuroscience > Neurology process > Neural Signal Transduction |
| 亚基 | Interacts (via LIM domain) with the cytoplasmic domain of NRG1. Interacts with NISCH. Interacts with RLIM and RNF6. Self-associates to form homodimers. Interacts with HSP90AA1; this interaction promotes LIMK1 dimerization and subsequent transphosphorylation. Interacts with CDN1C. Interacts with SSH1. Interacts with ROCK1. |
| 亚细胞定位 | Cytoplasm. Nucleus. Note=Predominantly found in the cytoplasm. |
| 组织特异性 | Highest expression in both adult and fetal nervous system. Detected ubiquitously throughout the different regions of adult brain, with highest levels in the cerebral cortex. Expressed to a lesser extent in heart and skeletal muscle. |
| 翻译后修饰 | Autophosphorylated. Phosphorylated on Thr-508 by ROCK1 and PAK1, resulting in activation. Phosphorylated by PAK4 which increases the ability of LIMK1 to phosphorylate cofilin. Phosphorylated at Ser-323 by MAPKAPK2 during activation of VEGFA-induced signaling, which results in activation of LIMK1 and promotion of actin reorganization, cell migration, and tubule formation of endothelial cells. Dephosphorylated and inactivated by SSH1. Phosphorylated by CDC42BP.
Ubiquitinated. 'Lys-48'-linked polyubiquitination by RNF6 leads to proteasomal degradation through the 26S proteasome, modulating LIMK1 levels in the growth cone and its effect on axonal outgrowth. Also polyubiquitinated by RLIM. |
| 相似性 | Belongs to the protein kinase superfamily. TKL Ser/Thr protein kinase family.
Contains 2 LIM zinc-binding domains. Contains 1 PDZ (DHR) domain. Contains 1 protein kinase domain. |
| 功能 | Serine/threonine-protein kinase that plays an essential role in the regulation of actin filament dynamics. Acts downstream of several Rho family GTPase signal transduction pathways. Activated by upstream kinases including ROCK1, PAK1 and PAK4, which phosphorylate LIMK1 on a threonine residue located in its activation loop. LIMK1 subsequently phosphorylates and inactivates the actin binding/depolymerizing factors cofilin-1/CFL1, cofilin-2/CFL2 and destrin/DSTN, thereby preventing the cleavage of filamentous actin (F-actin), and stabilizing the actin cytoskeleton. In this way LIMK1 regulates several actin-dependent biological processes including cell motility, cell cycle progression, and differentiation. Phosphorylates TPPP on serine residues, thereby promoting microtubule disassembly. Stimulates axonal outgrowth and may be involved in brain development. Isoform 3 has a dominant negative effect on actin cytoskeletal changes. |
| 保存条件 | Shipped at 4℃. Store at -20℃ for one year. Avoid repeated freeze/thaw cycles. |
| 注意事项 | This product as supplied is intended for research use only, not for use in human, therapeutic or diagnostic applications. |
| 背景资料 | LIMK1 is a protein kinase which regulates actin filament dynamics. Phosphorylates and inactivates the actin binding/depolymerizing factor cofilin, thereby stabilizing the actin cytoskeleton. LIMK1 may be involved in brain development; it is highly expressed in both adult and fetal nervous system. Detected ubiquitously throughout the different regions of adult brain, with highest levels in the cerebral cortex. Expressed to a lesser extent in heart and skeletal muscle. |
| 应用 | 推荐稀释比例 |
| {IHC-P} | {1:100-500} |
| {IHC-F} | {1:100-500} |
| {IF} | {1:100-500} |


风险提示:丁香通仅作为第三方平台,为商家信息发布提供平台空间。用户咨询产品时请注意保护个人信息及财产安全,合理判断,谨慎选购商品,商家和用户对交易行为负责。对于医疗器械类产品,请先查证核实企业经营资质和医疗器械产品注册证情况。
文献和实验(Ser473)(193H12)Rabbit mAb,1:300,稀释,二抗是驴抗兔,1:2000,我是实验室的新手,刚呆俩月,受 此挫折,一头雾水,请过来人或者有经验的同学帮忙解答怎样解决,非常感谢! 碧峤 pAkt有两个位点,Ser473和Thr308,其中Ser473相对容易显色。如果显色失败,可能的原因:1 上样量过少,我们一般都是30μg;2 一抗孵育时间过短,我们一般24h~48h;3 一抗是否工作有待排除 米宝
antibody dilution buffer: TBS-T supplemented with2% (w/v) BSA. 6. Antibodies: Phospho-b-catenin Ser33/Ser37/Thr41, phospho-glycogen synthase Ser641, and glycogen synthase (CellSignaling Technologies, Beverly, MA); b-catenin and GSK-3b(BD PharMingen, San
v468. chapter 4 WNT 细胞通路 检测细胞GSK3活性与表达水平
4 ). 2. Other antibodies used were b-catenin (phospho-Thr41/Ser37/Ser33) (#9561; Cell Signaling Technology), b-catenin (#9562;Cell Signaling Technology), CRMP2 (pT514/509) (#PB-043; Kinasource, Dundee, Scotland) and CRMP2 (#AB-042;Kinasource). 3. Blocking buffer
技术资料暂无技术资料 索取技术资料






