相关产品推荐更多 >

cAMP-receptor protein Rabbit pAb(bs-12707R)-50ul/100ul/200ul
¥1180
SYAP1 Rabbit pAb, FITC conjugated(bs-0121R-FITC)-100ul
¥2980
GALK1/Galactose kinase Rabbit pAb(bs-3983R)-50ul/100ul/200ul
¥1180
SNAIL + SLUG Rabbit pAb, Cy5 conjugated(bs-11961R-Cy5)-100ul
¥2980
FBXO21 Rabbit pAb, AP conjugated(bs-9121R-AP)-100ul
¥2980
万千商家帮你免费找货
0 人在求购买到急需产品
- 详细信息
- 文献和实验
- 技术资料
- 应用范围:
产品信息以Bioss网站为准
- 规格:
50ul/100ul/200ul
| 规格: | 50ul | 产品价格: | ¥1180.0 |
|---|---|---|---|
| 规格: | 100ul | 产品价格: | ¥1980.0 |
| 规格: | 200ul | 产品价格: | ¥2800.0 |
| 产品编号 | bs-12344R |
| 英文名称 | FLVCR Rabbit pAb |
| 中文名称 | 白血病病毒C亚类受体蛋白FLVCR抗体 |
| 英文别名 | Feline leukemia virus subgroup C cellular receptor; Feline leukemia virus subgroup C receptor; Feline leukemia virus subgroup C receptor related protein 1; Feline leukemia virus subgroup C receptor-related protein 1; FLVC1_HUMAN; FLVCR 1; FLVCR protein; FLVCR1; hFLVCR. |
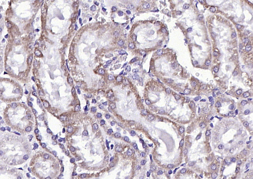
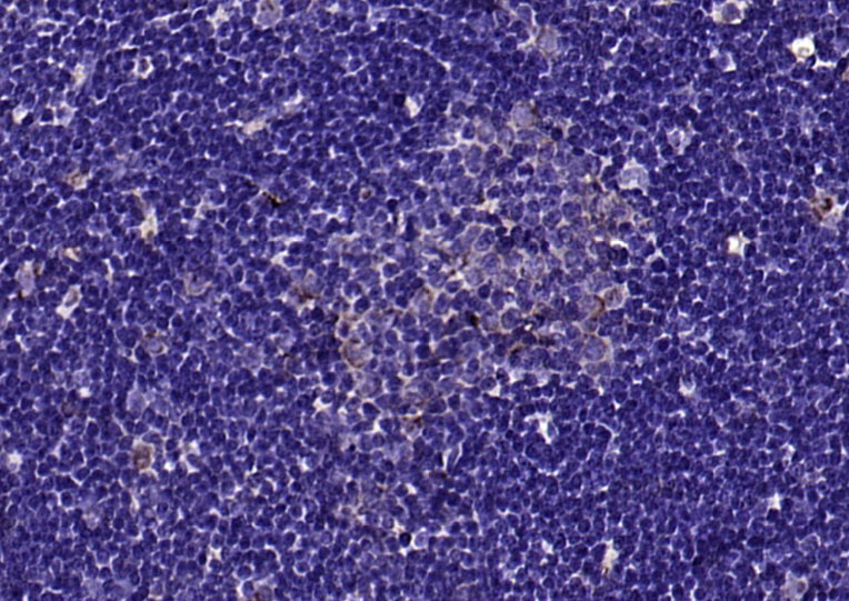
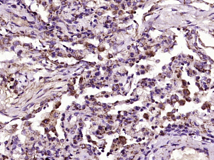
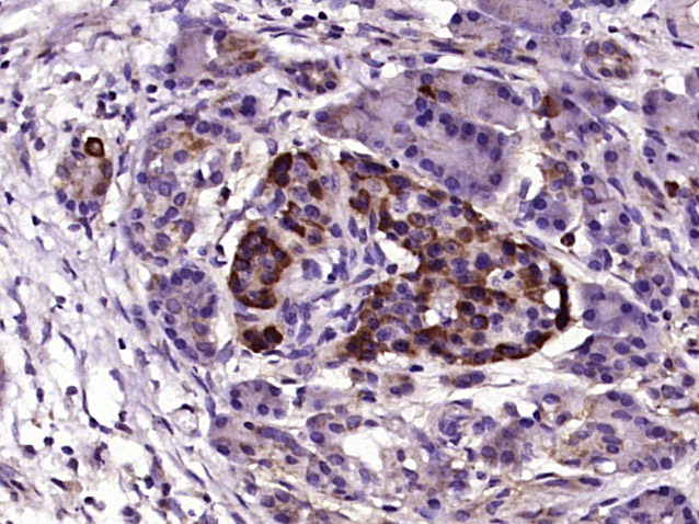
| 产品应用 | WB=1:500-2000, IHC-P=1:100-500, IHC-F=1:100-500, IF=1:100-500 Not yet tested in other applications. |
| 交叉反应 | Human, Mouse, Rat (Chicken, Pig, Horse) |
| 抗体来源 | Rabbit |
| 免疫原 | KLH conjugated synthetic peptide derived from Human FLVCR |
| 亚型 | IgG |
| 性状 | Liquid |
| 纯化方法 | affinity purified by Protein A |
| 克隆类型 | Polyclonal |
| 理论分子量 | 60 kDa |
| 浓度 | 1mg/ml |
| 储存液 | 0.01M TBS (pH7.4) with 1% BSA, 0.02% Proclin300 and 50% Glycerol. |
| 研究领域 | Microbiology > Interspecies Interaction > Host Virus Interaction Stem Cells > Hematopoietic Progenitors > Surface Molecules |
| 亚基 | Interacts with HPX. |
| 亚细胞定位 | Cell membrane. |
| 组织特异性 | Found all hematopoietic tissues including peripheral blood lymphocytes. Some expression is found in pancreas and kidney. |
| 相似性 | Belongs to the major facilitator superfamily. Feline leukemia virus subgroup C receptor (TC 2.A.1.28.1) family. |
| 功能 | Heme transporter that exports cytoplasmic heme. It can also export coproporphyrin and protoporphyrin IX, which are both intermediate products in the heme biosynthetic pathway. Does not export bilirubin. Heme export depends on the presence of HPX and may be required to protect developing erythroid cells from heme toxicity. Heme export also provides protection from heme or ferrous iron toxicities in liver and brain. Causes susceptibility to FeLV-C in vitro. |
| 保存条件 | Shipped at 4℃. Store at -20℃ for one year. Avoid repeated freeze/thaw cycles. |
| 注意事项 | This product as supplied is intended for research use only, not for use in human, therapeutic or diagnostic applications. |
| 背景资料 | FLVCR is responsible for the exportation of cytoplasmic heme groups. It is believed that it may protect developing erythroid cells from heme toxicity. Expression of FLVCR in cells will cause susceptibility to FeLV-C (Feline leukemia virus subgroup C) in vitro. FLVCR is found in all hematopoietic tissues, including peripheral blood lymphocytes and fetal liver, and some expression is found in pancreas and kidney. It is down-regulated in haemopoietic progenitor cells undergoing differentiation and hemoglobinization. |
| 应用 | 推荐稀释比例 |
| {WB} | {1:500-2000} |
| {IHC-P} | {1:100-500} |
| {IHC-F} | {1:100-500} |
| {IF} | {1:100-500} |





JEG3(Human) Cell Lysate at 30 ug
Primary: Anti-FLVCR (bs-12344R) at 1/1000 dilution
Secondary: IRDye800CW Goat Anti-Rabbit IgG at 1/20000 dilution
Predicted band size: 60 kD
Observed band size: 60 kD

SP2/0(Mouse) Cell Lysate at 30 ug
Cerebrum (Mouse) Lysate at 40 ug
Primary: Anti-FLVCR (bs-12344R) at 1/1000 dilution
Secondary: IRDye800CW Goat Anti-Rabbit IgG at 1/20000 dilution
Predicted band size: 60 kD
Observed band size: 60 kD
风险提示:丁香通仅作为第三方平台,为商家信息发布提供平台空间。用户咨询产品时请注意保护个人信息及财产安全,合理判断,谨慎选购商品,商家和用户对交易行为负责。对于医疗器械类产品,请先查证核实企业经营资质和医疗器械产品注册证情况。
文献和实验= NAL), appears to form upon oxidative cyclization of the nonfluorescent 2:1 lysine-HNE Michael adduct-Schiff base cross-link (Scheme 1). Polyclonal antibody (PAb) to the NAL-HNE fluorophore was raised in rabbit and found to be highly specific
GE Healthcare Benzamidine Sepharose™ 6B is p-aminobenzamidine covalently attached to Sepharose 6B by the epoxy coupling method. p-Aminobenzamidine (PAB), is a synthetic inhibitor of trypsin-like serine protease. Trypsin and trypsin
Nucleic Acid Programmable Protein Arrays: Versatile Tools for Array‐Based Functional Protein Studies
.g., Sigma) 50 mg/ml bis‐sulfosuccinimdylsuberate (BS3 ;Pierce, cat. no. PI 21580) in dimethylsulfoxide (DMSO) 5 mg/ml
技术资料暂无技术资料 索取技术资料






