相关产品推荐更多 >

CHRAC1 Rabbit pAb, Biotin conjugated(bs-13924R-Bio)-100ul
¥2980
Anti-human FOLH1 / PSMA (Rosopatamab-MMAE Biosimilar)(BIO0892SM)-1mg/5mg/20mg
¥3200
DLC1 Rabbit pAb, AP conjugated(bs-20131R-AP)-100ul
¥2980
Cytokeratin 19 Mouse mAb, APC-Cy5.5 conjugated(bsm-33057M-APC-Cy5.5)-100ul
¥2980
Claudin 19 Rabbit pAb(bs-13749R)-50ul/100ul/200ul
¥1180
万千商家帮你免费找货
0 人在求购买到急需产品
- 详细信息
- 文献和实验
- 技术资料
- 应用范围:
产品信息以Bioss网站为准
- 规格:
50ul/100ul/200ul
| 规格: | 50ul | 产品价格: | ¥1180.0 |
|---|---|---|---|
| 规格: | 100ul | 产品价格: | ¥1980.0 |
| 规格: | 200ul | 产品价格: | ¥2800.0 |
| 产品编号 | bs-14548R |
| 英文名称 | eIF4A3 Rabbit pAb |
| 中文名称 | eIF4A3蛋白抗体 |
| 英文别名 | ATP-dependent RNA helicase DDX48; ATP-dependent RNA helicase eIF4A-3; DDX48; DEAD box protein 48; eIF-4A-III; eIF4A-III; EIF4A3; eIF4AIII; Eukaryotic initiation factor 4A-III; Eukaryotic initiation factor 4A-like NUK-34; EUKARYOTIC TRANSLATION INITIATION FACTOR 4A ISOFORM 3; hNMP 265; IF4A3_HUMAN; NMP 265; NMP265; NUCLEAR MATRIX PROTEIN 265; NUK34. |
| 产品应用 | WB=1:500-2000, IHC-P=1:100-500, IHC-F=1:100-500, ICC/IF=1:100-500, IF=1:100-500, Flow-Cyt=2ug/Test Not yet tested in other applications. |
| 交叉反应 | Human, Mouse, Rat (Chicken, Dog, Cow, Horse) |
| 抗体来源 | Rabbit |
| 免疫原 | KLH conjugated synthetic peptide derived from human eIF4A3 |
| 亚型 | IgG |
| 性状 | Liquid |
| 纯化方法 | affinity purified by Protein A |
| 克隆类型 | Polyclonal |
| 理论分子量 | 47 kDa |
| 浓度 | 1mg/ml |
| 储存液 | 0.01M TBS (pH7.4) with 1% BSA, 0.02% Proclin300 and 50% Glycerol. |
| 研究领域 | Epigenetics and Nuclear Signaling > DNA / RNA > Translation > Regulation |
| 亚细胞定位 | Nucleus. Nucleus speckle. Cytoplasm. Nucleocytoplasmic shuttling protein. Travels to the cytoplasm as part of the exon junction complex (EJC) bound to mRNA. Detected in dendritic layer as well as the nuclear and cytoplasmic (somatic) compartments of neurons. Colocalizes with STAU1 and FMR1 in dendrites. |
| 组织特异性 | Ubiquitously expressed. |
| 相似性 | Belongs to the DEAD box helicase family. eIF4A subfamily. Contains 1 helicase ATP-binding domain. Contains 1 helicase C-terminal domain. |
| 功能 | ATP-dependent RNA helicase. Component of a splicing-dependent multiprotein exon junction complex (EJC) deposited at splice junction on mRNAs. The EJC is a dynamic structure consisting of a few core proteins and several more peripheral nuclear and cytoplasmic associated factors that join the complex only transiently either during EJC assembly or during subsequent mRNA metabolism. Core components of the EJC, that remains bound to spliced mRNAs throughout all stages of mRNA metabolism, functions to mark the position of the exon-exon junction in the mature mRNA and thereby influences downstream processes of gene expression including mRNA splicing, nuclear mRNA export, subcellular mRNA localization, translation efficiency and nonsense-mediated mRNA decay (NMD). Constitutes at least part of the platform anchoring other EJC proteins to spliced mRNAs. Its RNA-dependent ATPase and RNA-helicase activities are induced by CASC3, but abolished in presence of the MAGOH/RBM8A heterodimer, thereby trapping the ATP-bound EJC core onto spliced mRNA in a stable conformation. The inhibition of ATPase activity by the MAGOH/RBM8A heterodimer increases the RNA-binding affinity of the EJC. Involved in translational enhancement of spliced mRNAs after formation of the 80S ribosome complex. Binds spliced mRNA in sequence-independent manner, 20-24 nucleotides upstream of mRNA exon-exon junctions. Shows higher affinity for single-stranded RNA in an ATP-bound core EJC complex than after the ATP is hydrolyzed. |
| 保存条件 | Shipped at 4℃. Store at -20℃ for one year. Avoid repeated freeze/thaw cycles. |
| 注意事项 | This product as supplied is intended for research use only, not for use in human, therapeutic or diagnostic applications. |
| 背景资料 | This gene encodes a member of the DEAD box protein family. DEAD box proteins, characterized by the conserved motif Asp-Glu-Ala-Asp (DEAD), are putative RNA helicases. They are implicated in a number of cellular processes involving alteration of RNA secondary structure, such as translation initiation, nuclear and mitochondrial splicing, and ribosome and spliceosome assembly. Based on their distribution patterns, some members of this family are believed to be involved in embryogenesis, spermatogenesis, and cellular growth and division. The protein encoded by this gene is a nuclear matrix protein. Its amino acid sequence is highly similar to the amino acid sequences of the translation initiation factors eIF4AI and eIF4AII, two other members of the DEAD box protein family. [provided by RefSeq, Jul 2008] |
| 应用 | 推荐稀释比例 |
| {WB} | {1:500-2000} |
| {IHC-P} | {1:100-500} |
| {IHC-F} | {1:100-500} |
| {ICC/IF} | {1:100-500} |
| {IF} | {1:100-500} |
| {Flow-Cyt} | {2ug/Test} |




Primary Antibody (green line): Rabbit Anti-eIF4A3 antibody (bs-14548R)
Dilution: 2ug/Test;
Secondary Antibody : Goat anti-rabbit IgG-FITC
Dilution: 0.5ug/Test.
Protocol
The cells were fixed with 4% PFA (10min at room temperature)and then permeabilized with 90% ice-cold methanol for 20 min at -20℃.The cells were then incubated in 5%BSA to block non-specific protein-protein interactions for 30 min at room temperature .Cells stained with Primary Antibody for 30 min at room temperature. The secondary antibody used for 40 min at room temperature. Acquisition of 20,000 events was performed.


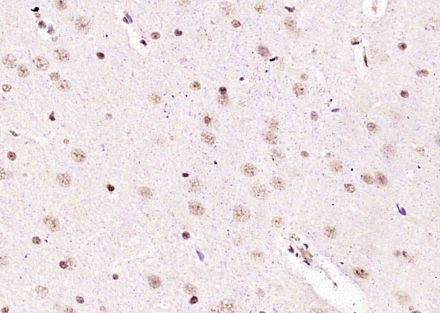
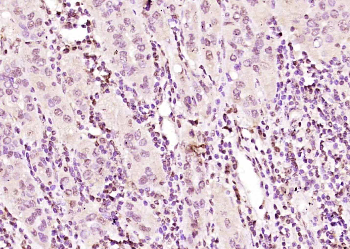
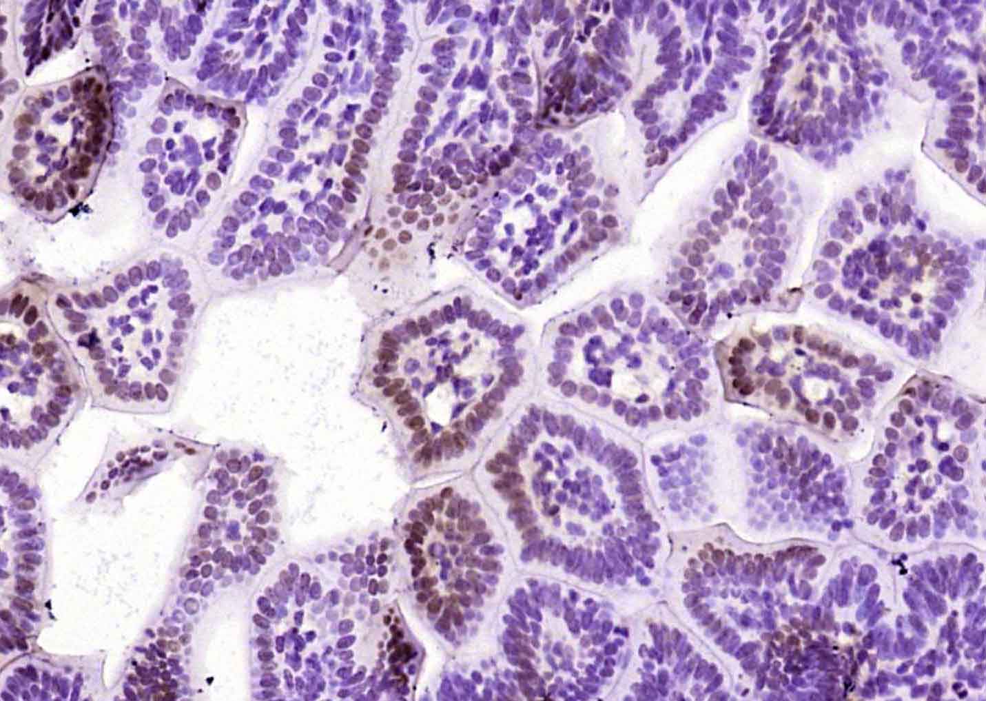
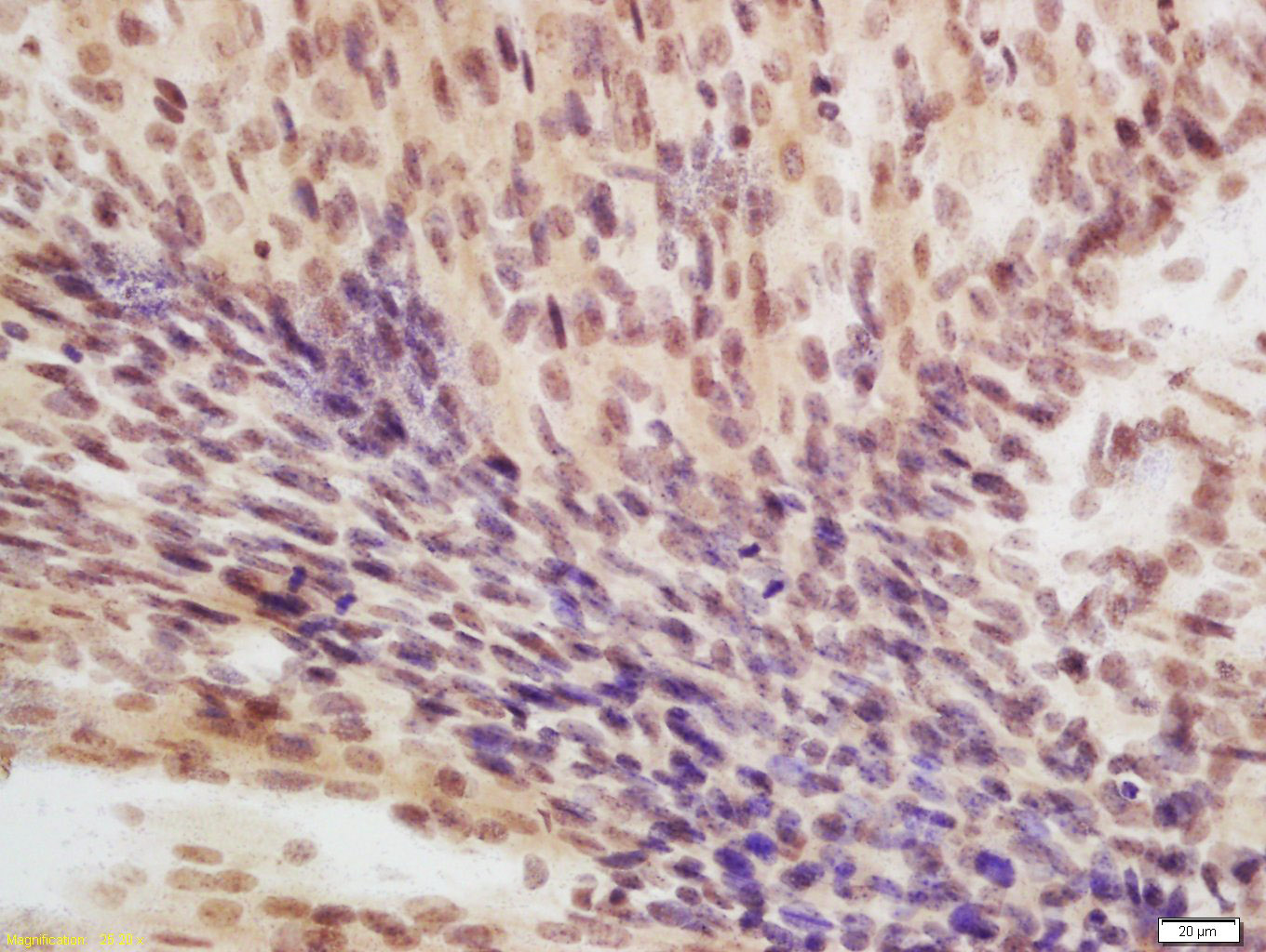
Antigen retrieval: citrate buffer ( 0.01M, pH 6.0 ), Boiling bathing for 15min; Block endogenous peroxidase by 3% Hydrogen peroxide for 30min; Blocking buffer (normal goat serum,C-0005) at 37℃ for 20 min;
Incubation: Anti-eIF4A3 Polyclonal Antibody, Unconjugated(bs-14548R) 1:200, overnight at 4°C, followed by conjugation to the secondary antibody(SP-0023) and DAB(C-0010) staining

Lane 1: Mouse Testis tissue lysates
Lane 2: Rat Testis tissue lysates
Lane 3: Human HepG2 cell lysates
Lane 4: Human HeLa cell lysates
Lane 5: Human MCF-7 cell lysates
Primary: Anti-eIF4A3 (bs-14548R) at 1/1000 dilution
Secondary: IRDye800CW Goat Anti-Rabbit IgG at 1/20000 dilution
Predicted band size: 47 kDa
Observed band size: 47 kDa
风险提示:丁香通仅作为第三方平台,为商家信息发布提供平台空间。用户咨询产品时请注意保护个人信息及财产安全,合理判断,谨慎选购商品,商家和用户对交易行为负责。对于医疗器械类产品,请先查证核实企业经营资质和医疗器械产品注册证情况。
文献和实验[IF={{ 5.8 }}] {Minkai Song. et al. circIFNGR2 Regulating Ankylosing Spondylitis Associated Inflammation through Macrophage Polarization. ISCIENCE. 2023 Jul;:107325} {WB} {Mouse}
[IF={{ 11.161 }}] {Zhipeng Jiang. et al. EIF4A3-induced circ_0084615 contributes to the progression of colorectal cancer via miR-599/ONECUT2 pathway. J Exp Clin Canc Res. 2021 Dec;40(1):1-15} {IP} {Human}
= NAL), appears to form upon oxidative cyclization of the nonfluorescent 2:1 lysine-HNE Michael adduct-Schiff base cross-link (Scheme 1). Polyclonal antibody (PAb) to the NAL-HNE fluorophore was raised in rabbit and found to be highly specific
GE Healthcare Benzamidine Sepharose™ 6B is p-aminobenzamidine covalently attached to Sepharose 6B by the epoxy coupling method. p-Aminobenzamidine (PAB), is a synthetic inhibitor of trypsin-like serine protease. Trypsin and trypsin
Nucleic Acid Programmable Protein Arrays: Versatile Tools for Array‐Based Functional Protein Studies
.g., Sigma) 50 mg/ml bis‐sulfosuccinimdylsuberate (BS3 ;Pierce, cat. no. PI 21580) in dimethylsulfoxide (DMSO) 5 mg/ml
技术资料暂无技术资料 索取技术资料






