相关产品推荐更多 >

Histone H3 (acetyl K9) Rabbit pAb(bs-3776R)-50ul/100ul/200ul
¥1180
NCAM2 Rabbit pAb, Cy3 conjugated(bs-11094R-Cy3)-100ul
¥2980
FLJ20259 Rabbit pAb, HRP conjugated(bs-16109R-HRP)-100ul
¥2980
Creatine kinase B type Rabbit pAb, PerCP-Cy5.5 conjugated(bs-11989R-PerCP-Cy5.5)-100ul
¥2980
STAT2 Rabbit pAb(bs-1140R)-50ul/100ul/200ul
¥1180
万千商家帮你免费找货
0 人在求购买到急需产品
- 详细信息
- 文献和实验
- 技术资料
- 应用范围:
产品信息以Bioss网站为准
- 规格:
50ul/100ul/200ul
| 规格: | 50ul | 产品价格: | ¥1180.0 |
|---|---|---|---|
| 规格: | 100ul | 产品价格: | ¥1980.0 |
| 规格: | 200ul | 产品价格: | ¥2800.0 |
| 产品编号 | bs-1941R |
| 英文名称 | Zfp91 Rabbit pAb |
| 中文名称 | 白血病相关新基因抗体 |
| 英文别名 | zinc finger protein 91; FKSG11; HGNC:14983; PZF; zinc finger protein 91 homolog(mouse); zinc finger protein homologous to mouse Zfp91; ZFP91_HUMAN. |
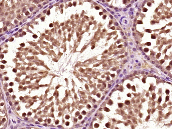
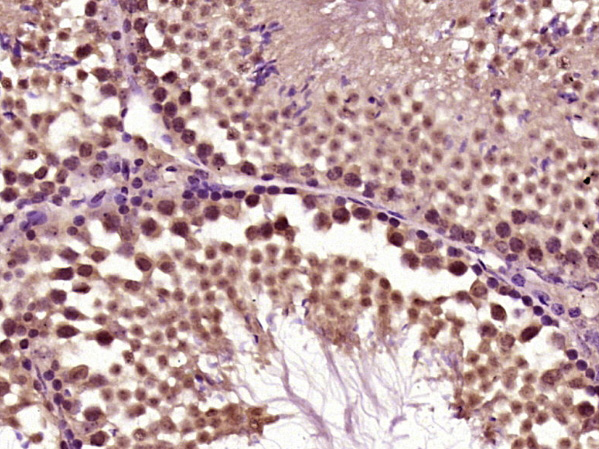
| 产品应用 | IHC-P=1:100-500, IHC-F=1:100-500, IF=1:100-500 Not yet tested in other applications. |
| 交叉反应 | Mouse, Rat (Human, Chicken, Dog, Pig, Cow, Horse, Sheep) |
| 抗体来源 | Rabbit |
| 免疫原 | KLH conjugated synthetic peptide derived from human Zfp91 |
| 亚型 | IgG |
| 性状 | Liquid |
| 纯化方法 | affinity purified by Protein A |
| 克隆类型 | Polyclonal |
| 理论分子量 | 63 kDa |
| 浓度 | 1mg/ml |
| 储存液 | 0.01M TBS (pH7.4) with 1% BSA, 0.02% Proclin300 and 50% Glycerol. |
| 研究领域 | Epigenetics and Nuclear Signaling > Transcription > Domain Families > Zinc Finger Epigenetics and Nuclear Signaling > Transcription > Transcription Factors |
| 亚基 | Interacts with MAP3K14/NIK. |
| 亚细胞定位 | Nucleus. |
| 组织特异性 | Expressed ubiquitously, particularly at high level in testis. Isoform 2 is testis specific. |
| 相似性 | Belongs to the krueppel C2H2-type zinc-finger protein family. Contains 5 C2H2-type zinc fingers. |
| 功能 | Atypical E3 ubiquitin-protein ligase that mediates 'Lys-63'-linked ubiquitination of MAP3K14/NIK, leading to stabilize and activate MAP3K14/NIK. It thereby acts as an activator of the non-canonical NF-kappa-B2/NFKB2 pathway. May also play an important role in cell proliferation and/or anti-apoptosis. |
| 保存条件 | Shipped at 4℃. Store at -20℃ for one year. Avoid repeated freeze/thaw cycles. |
| 注意事项 | This product as supplied is intended for research use only, not for use in human, therapeutic or diagnostic applications. |
| 背景资料 | The protein encoded by ZFP91 is a member of the zinc finger family of proteins. This protein contains C2H2 type domains, which are the classical zinc finger domains found in numerous nucleic acid-binding proteins. May be involved in transcriptional regulation. May play an important role in cell proliferation and/or anti-apoptosis Found in all the examined tissues including brain, heart, kidney, lung, liver, spleen, thymus, skeletal muscle, ovary and testis. Belongs to the krueppel C2H2-type zinc-finger protein family. |
| 应用 | 推荐稀释比例 |
| {IHC-P} | {1:100-500} |
| {IHC-F} | {1:100-500} |
| {IF} | {1:100-500} |


风险提示:丁香通仅作为第三方平台,为商家信息发布提供平台空间。用户咨询产品时请注意保护个人信息及财产安全,合理判断,谨慎选购商品,商家和用户对交易行为负责。对于医疗器械类产品,请先查证核实企业经营资质和医疗器械产品注册证情况。
文献和实验= NAL), appears to form upon oxidative cyclization of the nonfluorescent 2:1 lysine-HNE Michael adduct-Schiff base cross-link (Scheme 1). Polyclonal antibody (PAb) to the NAL-HNE fluorophore was raised in rabbit and found to be highly specific
GE Healthcare Benzamidine Sepharose™ 6B is p-aminobenzamidine covalently attached to Sepharose 6B by the epoxy coupling method. p-Aminobenzamidine (PAB), is a synthetic inhibitor of trypsin-like serine protease. Trypsin and trypsin
Nucleic Acid Programmable Protein Arrays: Versatile Tools for Array‐Based Functional Protein Studies
.g., Sigma) 50 mg/ml bis‐sulfosuccinimdylsuberate (BS3 ;Pierce, cat. no. PI 21580) in dimethylsulfoxide (DMSO) 5 mg/ml
技术资料暂无技术资料 索取技术资料





