相关产品推荐更多 >

SPACA4 Rabbit pAb(bs-20836R)-50ul/100ul/200ul
¥1180
PCNT Rabbit pAb(bs-7711R)-50ul/100ul/200ul
¥1180
ZC3HAV1L/C7orf39 Rabbit pAb, Biotin conjugated(bs-18531R-Bio)-100ul
¥2980
phospho-c-Jun (Thr93) Rabbit pAb, PE-Cy5.5 conjugated(bs-12913R-PE-Cy5.5)-100ul
¥2980
ENPP4 Rabbit pAb, AP conjugated(bs-14599R-AP)-100ul
¥2980
万千商家帮你免费找货
0 人在求购买到急需产品
- 详细信息
- 文献和实验
- 技术资料
- 应用范围:
产品信息以Bioss网站为准
- 规格:
50ul/100ul/200ul
| 规格: | 50ul | 产品价格: | ¥1180.0 |
|---|---|---|---|
| 规格: | 100ul | 产品价格: | ¥1980.0 |
| 规格: | 200ul | 产品价格: | ¥2800.0 |
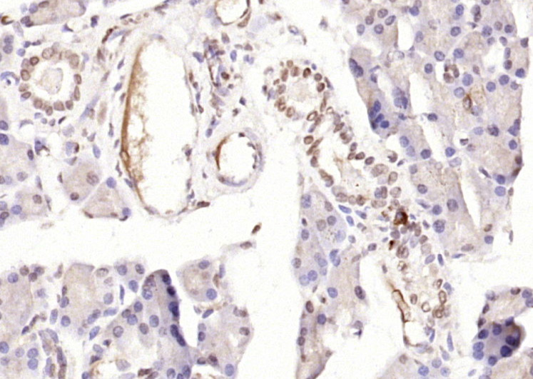
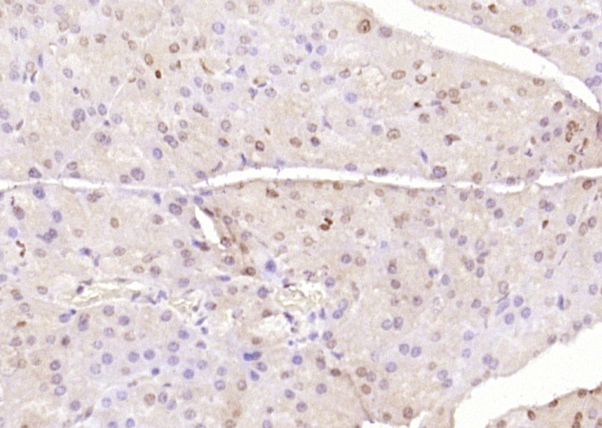
| 产品编号 | bs-11930R |
| 英文名称 | PTF1A Rabbit pAb |
| 中文名称 | 胰腺特异转录因子PTF1A抗体 |
| 英文别名 | PTF1-p48; bHLH transcription factor p48; bHLHa29; Class A basic helix-loop-helix protein 29; Class II bHLH protein PTF1A; Exocrine pancreas specific transcription factor p48; p48 DNA binding subunit of transcription factor PTF1; p48 DNA-binding subunit of transcription factor PTF1; Pancreas specific transcription factor 1a; Pancreas transcription factor 1 subunit alpha; Pancreas-specific transcription factor 1a; PTF 1A; PTF1 p48; PTF1-p48; Ptf1a; PTF1A_HUMAN; PTF1P48. |
| 产品应用 | IHC-P=1:100-500, IHC-F=1:100-500, IF=1:100-500 Not yet tested in other applications. |
| 交叉反应 | Mouse, Rat (Human, Pig, Cow) |
| 抗体来源 | Rabbit |
| 免疫原 | KLH conjugated synthetic peptide derived from human PTF1A |
| 亚型 | IgG |
| 性状 | Liquid |
| 纯化方法 | affinity purified by Protein A |
| 克隆类型 | Polyclonal |
| 理论分子量 | 35 kDa |
| 浓度 | 1mg/ml |
| 储存液 | 0.01M TBS (pH7.4) with 1% BSA, 0.02% Proclin300 and 50% Glycerol. |
| 研究领域 | Epigenetics and Nuclear Signaling > Transcription > Other factors Epigenetics and Nuclear Signaling > Transcription > Transcription Factors Neuroscience > Neurology process > Neurogenesis |
| 亚细胞定位 | Nucleus. Cytoplasm. In chronic pancreatitis associated with pancreas cancer preferentially accumulates in the cytoplasm of acinar/ductular complexes. In the cytoplasm loses its ability to form the PTF1 complex. |
| 组织特异性 | Pancreas-specific (at protein level). Loss of expression is seen in ductal type pancreas cancers. |
| 相似性 | Contains 1 basic helix-loop-helix (bHLH) domain. |
| 功能 | Transcriptional activator. Binds to the E-box consensus sequence 5'-CANNTG-3'. Plays an important role in determining whether cells allocated to the pancreatic buds continue towards pancreatic organogenesis or revert back to duodenal fates. May be involved in the maintenance of exocrine pancreas-specific gene expression including ELA1 and amylase. Required for the formation of pancreatic acinar and ductal cells. Plays an important role in cerebellar development. |
| 保存条件 | Shipped at 4℃. Store at -20℃ for one year. Avoid repeated freeze/thaw cycles. |
| 注意事项 | This product as supplied is intended for research use only, not for use in human, therapeutic or diagnostic applications. |
| 背景资料 | PTF1 is a pancreas-specific protein that functions as a component of the trimeric pancreas transcription factor 1 (PTF1) complex. Localizing to the nucleus, PTF1 contains one basic helix-loop-helix (bHLH) domain and is believed to play an important role in mammalian pancreatic development, functioning as a transcription factor that regulates the specification of all three pancreatic cell types. PTF1 interacts with RBP-Jⅹ and, together, they cooperate in regulating the expression of PDX-1 (pancreas/duodenum homeobox protein 1), a key regulator of pancreatic islet development and insulin gene transcription in beta-cells. Loss of functional PTF1 can cause pancreatic progenitors to take on the normal fates of duodenal epithelia. Mutations in the gene encoding PTF1 lead to diabetes mellitus and cerebellar hypoplasia/agenesis, suggesting that PTF1 also plays and important role in cerebellar neurogenesis. |
| 应用 | 推荐稀释比例 |
| {IHC-P} | {1:100-500} |
| {IHC-F} | {1:100-500} |
| {IF} | {1:100-500} |


风险提示:丁香通仅作为第三方平台,为商家信息发布提供平台空间。用户咨询产品时请注意保护个人信息及财产安全,合理判断,谨慎选购商品,商家和用户对交易行为负责。对于医疗器械类产品,请先查证核实企业经营资质和医疗器械产品注册证情况。
文献和实验= NAL), appears to form upon oxidative cyclization of the nonfluorescent 2:1 lysine-HNE Michael adduct-Schiff base cross-link (Scheme 1). Polyclonal antibody (PAb) to the NAL-HNE fluorophore was raised in rabbit and found to be highly specific
GE Healthcare Benzamidine Sepharose™ 6B is p-aminobenzamidine covalently attached to Sepharose 6B by the epoxy coupling method. p-Aminobenzamidine (PAB), is a synthetic inhibitor of trypsin-like serine protease. Trypsin and trypsin
Nucleic Acid Programmable Protein Arrays: Versatile Tools for Array‐Based Functional Protein Studies
.g., Sigma) 50 mg/ml bis‐sulfosuccinimdylsuberate (BS3 ;Pierce, cat. no. PI 21580) in dimethylsulfoxide (DMSO) 5 mg/ml
技术资料暂无技术资料 索取技术资料






