相关产品推荐更多 >
万千商家帮你免费找货
0 人在求购买到急需产品
- 详细信息
- 文献和实验
- 技术资料
- 应用范围:
产品信息以Bioss网站为准
- 规格:
50ul/100ul/200ul
| 规格: | 50ul | 产品价格: | ¥1180.0 |
|---|---|---|---|
| 规格: | 100ul | 产品价格: | ¥1980.0 |
| 规格: | 200ul | 产品价格: | ¥2800.0 |
| 产品编号 | bs-1075R |
| 英文名称 | OCT-1 Rabbit pAb |
| 中文名称 | 胚胎干细胞关键蛋白1抗体 |
| 英文别名 | Organic cation transporter1; NF A1; OCT1; OTF 1; OTF1; PO21; PO2F1; POU domain class 2 transcription factor 1; PO2F1_HUMAN. |
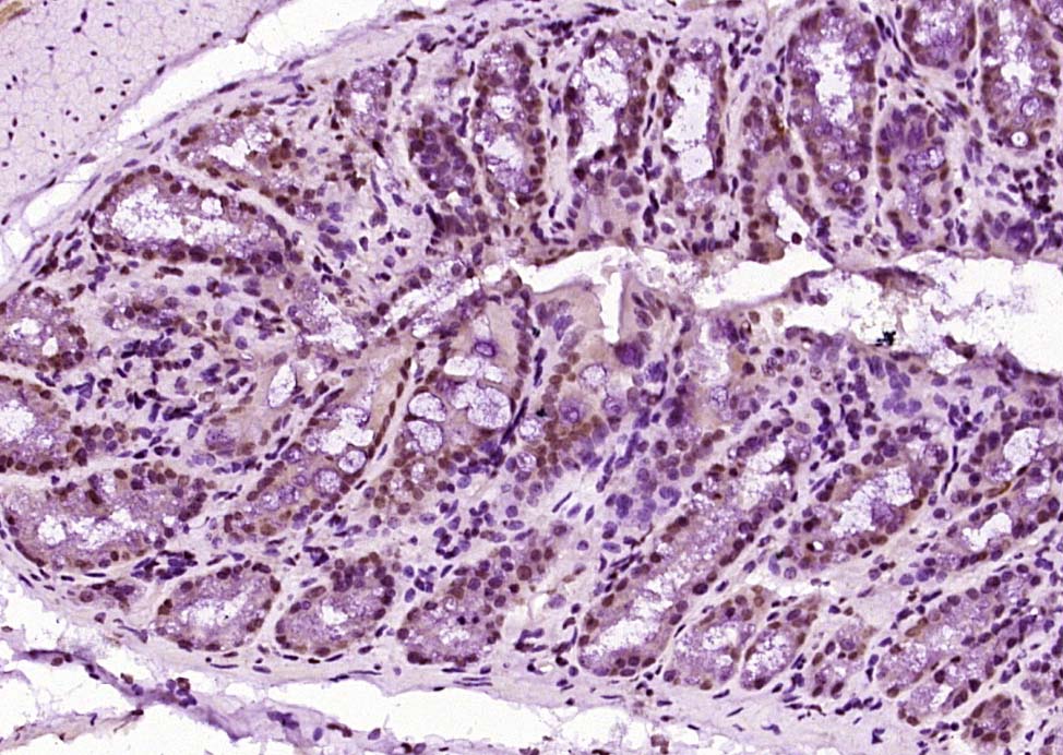
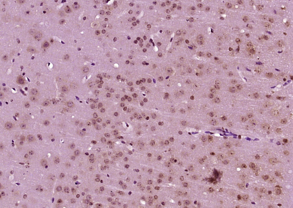
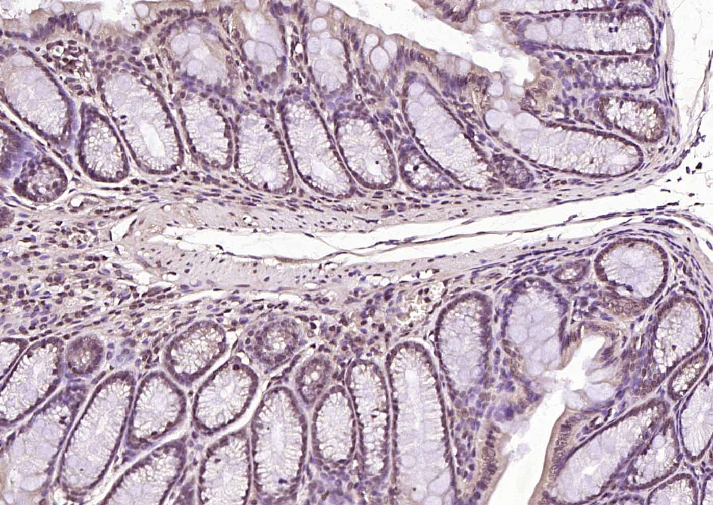
| 产品应用 | WB=1:500-2000, IHC-P=1:100-500, IHC-F=1:100-500, IF=1:100-500 Not yet tested in other applications. |
| 交叉反应 | Mouse, Rat (Human, Pig, Cow, Horse, Rabbit) |
| 抗体来源 | Rabbit |
| 免疫原 | KLH conjugated synthetic peptide derived from human Oct1 |
| 亚型 | IgG |
| 性状 | Liquid |
| 纯化方法 | affinity purified by Protein A |
| 克隆类型 | Polyclonal |
| 理论分子量 | 76 kDa |
| 浓度 | 1mg/ml |
| 储存液 | 0.01M TBS (pH7.4) with 1% BSA, 0.02% Proclin300 and 50% Glycerol. |
| 研究领域 | Epigenetics and Nuclear Signaling > Transcription > Domain Families > Developmental Families > OCT |
| 亚基 | Interacts with NR3C1, AR, PGR and HCFC1. Associates with the herpes simplex virus VP16-induced complex; binding to HCFC1 activates the viral transcriptional activator VP16 for association with POU2F1, to form a multiprotein-DNA complex responsible for activating transcription of the viral immediate early genes. |
| 亚细胞定位 | Nucleus. |
| 组织特异性 | Ubiquitous. Isoform 2 is lymphocyte-specific. |
| 翻译后修饰 | Phosphorylated by PRKDC. |
| 相似性 | Belongs to the POU transcription factor family. Class-2 subfamily. Contains 1 homeobox DNA-binding domain. Contains 1 POU-specific domain. |
| 功能 | Transcription factor that binds to the octamer motif (5'-ATTTGCAT-3') and activates the promoters of the genes for some small nuclear RNAs (snRNA) and of genes such as those for histone H2B and immunoglobulins. Modulates transcription transactivation by NR3C1, AR and PGR By similarity. In case of human herpes simplex virus (HSV) infection, POU2F1 forms a multiprotein-DNA complex with the viral transactivator protein VP16 and HCFC1 thereby enabling the transcription of the viral immediate early genes. |
| 保存条件 | Shipped at 4℃. Store at -20℃ for one year. Avoid repeated freeze/thaw cycles. |
| 注意事项 | This product as supplied is intended for research use only, not for use in human, therapeutic or diagnostic applications. |
| 背景资料 | Oct1 is a transcription factor that binds to the octamer motif (5'-ATTTGCAT-3') and activates the promoters of the genes for some small nuclear RNAs (snRNA) and of genes such as those for histone H2B and immunoglobulins. It modulates transcription transactivation by NR3C1, AR and PGR and interacts with NR3C1, AR and PGR. Oct1 is Ubiquitous and belongs to the POU transcription factor family class 2 subfamily. Oct1 contains 1 homeobox domain. |
| 应用 | 推荐稀释比例 |
| {WB} | {1:500-2000} |
| {IHC-P} | {1:100-500} |
| {IHC-F} | {1:100-500} |
| {IF} | {1:100-500} |



Heart (Rat) Lysate at 40 ug
Primary: Anti-OCT-1 (bs-1075R) at 1/1000 dilution
Secondary: IRDye800CW Goat Anti-Rabbit IgG at 1/20000 dilution
Predicted band size: 76 kD
Observed band size: 76 kD

风险提示:丁香通仅作为第三方平台,为商家信息发布提供平台空间。用户咨询产品时请注意保护个人信息及财产安全,合理判断,谨慎选购商品,商家和用户对交易行为负责。对于医疗器械类产品,请先查证核实企业经营资质和医疗器械产品注册证情况。
文献和实验= NAL), appears to form upon oxidative cyclization of the nonfluorescent 2:1 lysine-HNE Michael adduct-Schiff base cross-link (Scheme 1). Polyclonal antibody (PAb) to the NAL-HNE fluorophore was raised in rabbit and found to be highly specific
.Biochemical mechanisms to immunosuppressionsin well-trained and overtrained athletes,Int Sports Med,1994,Oct; 10、Thomsen BS,et al.Levels of complement receptor type one(CR1,CD35)on erythrocyte,circulating immune complex and complement C3-split products C3
Array‐Based High‐Throughput Screening in Mouse Embryonic Stem Cells with shRNAs
from which the primary antibody was obtained Fluorescein‐conjugated secondary antibody (Invitrogen Alexa Fluor anti‐mouse/rabbit/anti‐goat IgG
技术资料暂无技术资料 索取技术资料









