相关产品推荐更多 >

MTO1 Rabbit pAb(bs-17891R)-50ul/100ul/200ul
¥1180
SARS-CoV-2 (2019-nCoV) Nucleocapsid Mouse mAb(bsm-41485M)-100ug/200ug
¥4000
Angiotensin III Rabbit pAb, BF488 conjugated(bs-20101R-BF488)-100ul
¥2980
HOPX/LAGY Rabbit pAb, PerCP-Cy5.5 conjugated(bs-9462R-PerCP-Cy5.5)-100ul
¥2980
ChRM2 Rabbit pAb, HRP conjugated(bs-0236R-HRP)-100ul
¥2980
万千商家帮你免费找货
0 人在求购买到急需产品
- 详细信息
- 文献和实验
- 技术资料
- 应用范围:
产品信息以Bioss网站为准
- 规格:
50ul/100ul/200ul
| 规格: | 50ul | 产品价格: | ¥1180.0 |
|---|---|---|---|
| 规格: | 100ul | 产品价格: | ¥1980.0 |
| 规格: | 200ul | 产品价格: | ¥2800.0 |
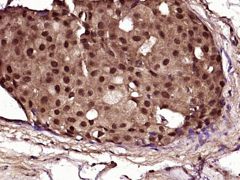
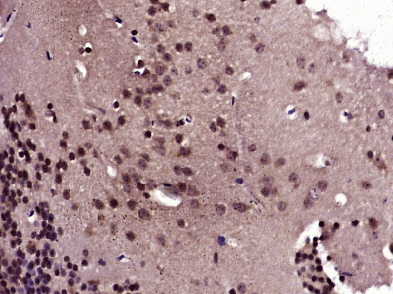
| 产品编号 | bs-4140R |
| 英文名称 | NF1 Rabbit pAb |
| 中文名称 | 1型神经纤维瘤抗体 |
| 英文别名 | Neurofibromin 1; DKFZp686J1293; FLJ21220; Neurofibromatosis Noonan syndrome; Neurofibromatosis related protein NF 1; Neurofibromatosis related protein NF1; neurofibromatosis type I; Neurofibromatosis-related protein NF-1; Neurofibromin 1; Neurofibromin truncated; Neurofibromin1; NF 1; NF; NF1; NF1_HUMAN; NFNS; Type 1 Neurofibromatosis; von Recklinghausen disease neurofibromin; von Recklinghausen disease related protein VRNF; VRNF; WATS; Watson disease related protein WSS; Watson syndrome; WSS. |
| 产品应用 | IHC-P=1:100-500, IHC-F=1:100-500, ICC/IF=1:100-500, IF=1:100-500, Flow-Cyt=1μg/Test Not yet tested in other applications. |
| 交叉反应 | Human, Mouse (Rat, Dog, Horse, Rabbit) |
| 抗体来源 | Rabbit |
| 免疫原 | KLH conjugated synthetic peptide derived from human Neurofibromin 1 |
| 亚型 | IgG |
| 性状 | Liquid |
| 纯化方法 | affinity purified by Protein A |
| 克隆类型 | Polyclonal |
| 理论分子量 | 147/319 kDa |
| 浓度 | 1mg/ml |
| 储存液 | 0.01M TBS (pH7.4) with 1% BSA, 0.02% Proclin300 and 50% Glycerol. |
| 研究领域 | Cancer > Cancer Metabolism > Response to hypoxia Epigenetics and Nuclear Signaling > Transcription > Cancer susceptibility > Tumor Suppressors Metabolism > Pathways and Processes > Metabolism processes > Hypoxia Neuroscience > Neurotransmission > Intracellular Signaling > Cytoskeletal Signal Transduction > Signaling Pathway > G Protein Signaling > Small G Proteins |
| 相似性 | Contains 1 CRAL-TRIO domain. Contains 1 Ras-GAP domain. |
| 功能 | Stimulates the GTPase activity of Ras. NF1 shows greater affinity for Ras GAP, but lower specific activity. May be a regulator of Ras activity. |
| 保存条件 | Shipped at 4℃. Store at -20℃ for one year. Avoid repeated freeze/thaw cycles. |
| 注意事项 | This product as supplied is intended for research use only, not for use in human, therapeutic or diagnostic applications. |
| 背景资料 | Neurofibromin is a product of the tumor suppressor gene, Neurofibromatosis type I. Neurofibromin is known to have GTPase activity that modulates the ras pathway. The absence of or alteration of the neurofibromin protein may lead to Neurofibromatosis disease. This protein has not been purified, therefore, most of the information regarding this protein has been deduced from homology analysis of its gene sequence. |
| 应用 | 推荐稀释比例 |
| {IHC-P} | {1:100-500} |
| {IHC-F} | {1:100-500} |
| {ICC/IF} | {1:100-500} |
| {IF} | {1:100-500} |
| {Flow-Cyt} | {1μg/Test} |




风险提示:丁香通仅作为第三方平台,为商家信息发布提供平台空间。用户咨询产品时请注意保护个人信息及财产安全,合理判断,谨慎选购商品,商家和用户对交易行为负责。对于医疗器械类产品,请先查证核实企业经营资质和医疗器械产品注册证情况。
文献和实验[IF={{ 6.4 }}] {Wang Kai. et al. Peripheral nerve-derived CSF1 induces BMP2 expression in macrophages to promote nerve regeneration and wound healing. NPJ REGEN MED. 2024 Nov;9(1):1-13} {IF} {Mouse,Rat}
= NAL), appears to form upon oxidative cyclization of the nonfluorescent 2:1 lysine-HNE Michael adduct-Schiff base cross-link (Scheme 1). Polyclonal antibody (PAb) to the NAL-HNE fluorophore was raised in rabbit and found to be highly specific
GE Healthcare Benzamidine Sepharose™ 6B is p-aminobenzamidine covalently attached to Sepharose 6B by the epoxy coupling method. p-Aminobenzamidine (PAB), is a synthetic inhibitor of trypsin-like serine protease. Trypsin and trypsin
/ml 2 ml 10 ml 3055 8970 112.03 112.04 Dynabeads M-280 Sheep anti-Rabbit IgG, 6.6x108/ml 2 ml 10 ml 3055 8970 3、Dynabeads DNA
技术资料暂无技术资料 索取技术资料





