相关产品推荐更多 >
万千商家帮你免费找货
0 人在求购买到急需产品
- 详细信息
- 文献和实验
- 技术资料
- 应用范围:
产品信息以Bioss网站为准
- 规格:
50ul/100ul/200ul
| 规格: | 50ul | 产品价格: | ¥1180.0 |
|---|---|---|---|
| 规格: | 100ul | 产品价格: | ¥1980.0 |
| 规格: | 200ul | 产品价格: | ¥2800.0 |
| 产品编号 | bs-5163R |
| 英文名称 | GSTA3 Rabbit pAb |
| 中文名称 | 谷胱甘肽S转移酶A3抗体 |
| 英文别名 | Glutathione S alkyltransferase A3; Glutathione S aralkyltransferase A3; Glutathione S aryltransferase A3; Glutathione S transferase A3 3; Glutathione S transferase A3; Glutathione S transferase alpha 3; Glutathione transferase alpha 3; GST class alpha; GST class alpha member 3; GSTA 3; GSTA3 3; GTA 3; GTA3; GTA-3; MGC22232; S(hydroxyalkyl)glutathione lyase A3; GSTA3_HUMAN. |
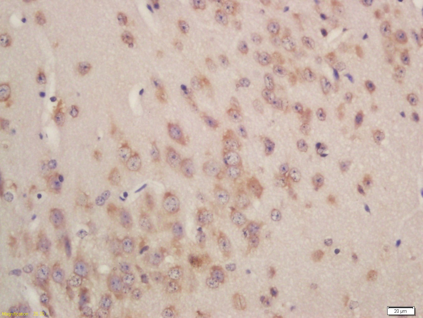
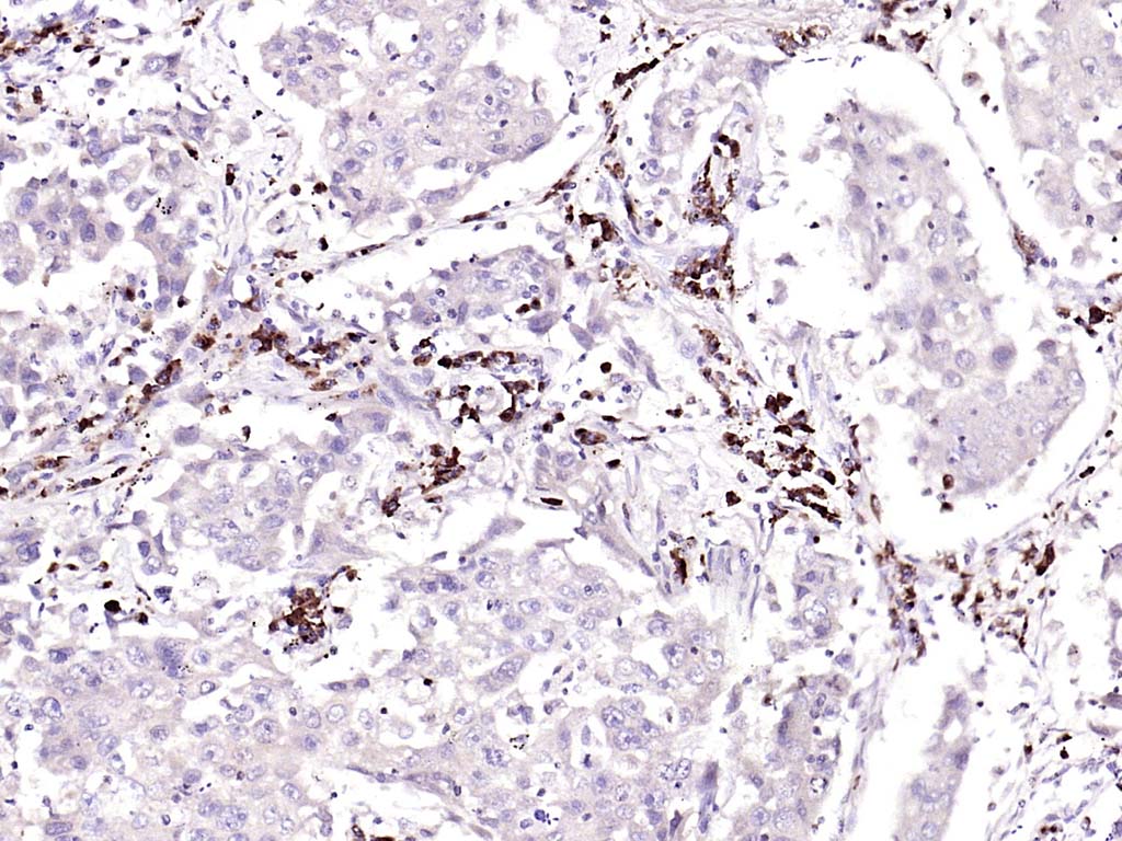
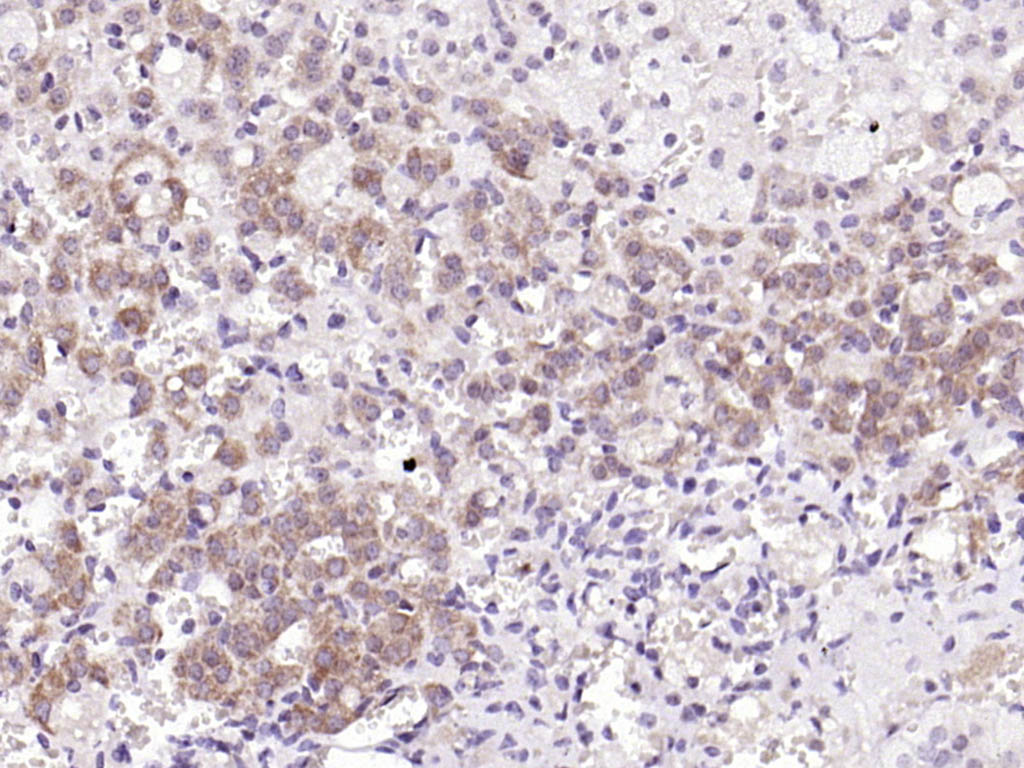
| 产品应用 | IHC-P=1:100-500, IHC-F=1:100-500, IF=1:100-500 Not yet tested in other applications. |
| 交叉反应 | Human, Mouse, Rat (Dog, Pig, Horse, Rabbit, Sheep) |
| 抗体来源 | Rabbit |
| 免疫原 | KLH conjugated synthetic peptide derived from human GSTA3 |
| 亚型 | IgG |
| 性状 | Liquid |
| 纯化方法 | affinity purified by Protein A |
| 克隆类型 | Polyclonal |
| 理论分子量 | 25 kDa |
| 浓度 | 1mg/ml |
| 储存液 | 0.01M TBS (pH7.4) with 1% BSA, 0.02% Proclin300 and 50% Glycerol. |
| 研究领域 | Metabolism > Pathways and Processes > Metabolic signaling pathways > Drug metabolism Signal Transduction > Growth Factors/Hormones > Hormones Signal Transduction > Metabolism > Drug metabolism |
| 亚基 | Homodimer. |
| 亚细胞定位 | Cytoplasm. |
| 相似性 | Belongs to the GST superfamily. Alpha family. Contains 1 GST C-terminal domain. Contains 1 GST N-terminal domain. |
| 功能 | Conjugation of reduced glutathione to a wide number ofexogenous and endogenous hydrophobic electrophiles. Catalyzesisomerization reactions that contribute to the biosynthesis ofsteroid hormones. Efficiently catalyze obligatory double-bondisomerizations of delta(5)-androstene-3,17-dione anddelta(5)-pregnene-3,20-dione, precursors to testosterone andprogesterone, respectively. |
| 保存条件 | Shipped at 4℃. Store at -20℃ for one year. Avoid repeated freeze/thaw cycles. |
| 注意事项 | This product as supplied is intended for research use only, not for use in human, therapeutic or diagnostic applications. |
| 背景资料 | Cytosolic and membrane-bound forms of glutathione S-transferase are encoded by two distinct supergene families. These enzymes are involved in cellular defense against toxic, carcinogenic, and pharmacologically active electrophilic compounds. At present, eight distinct classes of the soluble cytoplasmic mammalian glutathione S-transferases have been identified: alpha, kappa, mu, omega, pi, sigma, theta and zeta. Glutathione S-transferase A3 (GSTA3) belongs to the alpha class genes that are located in a cluster mapped to chromosome 6. Genes of the alpha class are highly related and encode enzymes with glutathione peroxidase activity. However, during evolution, this alpha class gene diverged accumulating mutations in the active site that resulted in differences in substrate specificity and catalytic activity. GSTA3 catalyzes the double bond isomerization of precursors for progesterone and testosterone during the biosynthesis of steroid hormones. |
| 应用 | 推荐稀释比例 |
| {IHC-P} | {1:100-500} |
| {IHC-F} | {1:100-500} |
| {IF} | {1:100-500} |

Antigen retrieval: citrate buffer ( 0.01M, pH 6.0 ), Boiling bathing for 15min; Block endogenous peroxidase by 3% Hydrogen peroxide for 30min; Blocking buffer (normal goat serum,C-0005) at 37℃ for 20 min;
Incubation: Anti-GSTA3 Polyclonal Antibody, Unconjugated(bs-5163R) 1:200, overnight at 4°C, followed by conjugation to the secondary antibody(SP-0023) and DAB(C-0010) staining


风险提示:丁香通仅作为第三方平台,为商家信息发布提供平台空间。用户咨询产品时请注意保护个人信息及财产安全,合理判断,谨慎选购商品,商家和用户对交易行为负责。对于医疗器械类产品,请先查证核实企业经营资质和医疗器械产品注册证情况。
文献和实验[IF={{ 4.427 }}] {Xie XL et al. PCB52 induces hepatotoxicity in male offspring through aggravating loss of clearance capacity and activating the apoptosis: Sex-biased effects on rats. Chemosphere. 2019 Jul;227:389-400.} {WB} {Rat}
[IF={{ 3.54 }}] {Huang, Li, et al. "Reduction of Aflatoxin B1 Toxicity by Lactobacillus plantarum C88: A Potential Probiotic Strain Isolated from Chinese Traditional Fermented Food “Tofu”." PLOS ONE 12.1 (2017): e0170109.} {WB} {="Mouse"}
[IF={{ 3.15 }}] {Li, Hongyan, et al. "Differential proteome and gene expression reveal response to carbon ion irradiation in pubertal mice testes." Toxicology Letters (2014).} {WB} {="Mouse"}
[IF={{ 2.323 }}] {Liu R et al. Effect of Dietary Methionine Deficiency Followed by a Re-Feeding Phase on the Hepatic Antioxidant Activities of LambsAnimals (Basel).2020 Dec 23;11(1):7.} {WB} {Lamb}
技术资料暂无技术资料 索取技术资料









