相关产品推荐更多 >

Ferritin Heavy Chain/FTH1 Rabbit pAb, BF488 conjugated(bs-5907R-BF488)-100ul
¥2980
ALDH2 Rabbit pAb(bs-5110R)-50ul/100ul/200ul
¥1180
GCOM1/GRINL1A Rabbit pAb(bs-8403R)-50ul/100ul/200ul
¥1180
MMP2 Rabbit pAb, RBITC conjugated(bs-4605R-RBITC)-100ul
¥2980
GADD34 Rabbit pAb, BF350 conjugated(bs-10287R-BF350)-100ul
¥2980
万千商家帮你免费找货
0 人在求购买到急需产品
- 详细信息
- 技术资料
- 应用范围:
产品信息以Bioss网站为准
- 规格:
50ul/100ul/200ul
| 规格: | 50ul | 产品价格: | ¥1180.0 |
|---|---|---|---|
| 规格: | 100ul | 产品价格: | ¥1980.0 |
| 规格: | 200ul | 产品价格: | ¥2800.0 |
| 产品编号 | bs-3692R |
| 英文名称 | Neurogenin 2 Rabbit pAb |
| 中文名称 | 神经元素2抗体 |
| 英文别名 | Atoh4; Math4A; MGC; MGC46562; NEUROG2; Neurogenin2; NGN2; Protein atonal homolog 4. |
| 产品应用 | WB=1:500-2000, IHC-P=1:100-500, IHC-F=1:100-500, IF=1:100-500 Not yet tested in other applications. |
| 交叉反应 | Mouse, Rat (Human, Chicken, Dog, Cow) |
| 抗体来源 | Rabbit |
| 免疫原 | KLH conjugated synthetic peptide derived from human Neurogenin 2 |
| 亚型 | IgG |
| 性状 | Liquid |
| 纯化方法 | affinity purified by Protein A |
| 克隆类型 | Polyclonal |
| 理论分子量 | 30 kDa |
| 浓度 | 1mg/ml |
| 储存液 | 0.01M TBS (pH7.4) with 1% BSA, 0.02% Proclin300 and 50% Glycerol. |
| 研究领域 | Epigenetics and Nuclear Signaling > Transcription > Domain Families > HLH / Leucine Zipper > HLH Neuroscience > Neurology process > Neural Signal Transduction Neuroscience > Neurology process > Neurogenesis |
| 亚基 | Efficient DNA binding requires dimerization with another bHLH protein. |
| 亚细胞定位 | Nucleus. |
| 相似性 | Contains 1 basic helix-loop-helix (bHLH) domain. |
| 功能 | Transcriptional regulator. Involved in neuronal differentiation. Activates transcription by binding to the E box (5'-CANNTG-3'). |
| 保存条件 | Shipped at 4℃. Store at -20℃ for one year. Avoid repeated freeze/thaw cycles. |
| 注意事项 | This product as supplied is intended for research use only, not for use in human, therapeutic or diagnostic applications. |
| 背景资料 | Neurogenin 2 is a helix-loop-helix class of transcription factor. Transcription factors with bHLH motifs modulate critical events in the development of the mammalian neocortex. The transition from proliferation to neurogenesis involves a coordinate increase in the activity of proneural bHLH factors, including Neurogenin 2 and a decrease in the activity of Hes and Id factors. bHLH factors have key roles in corticogenesis, affecting the timing of differentiation and the specification of cell fate. |
| 应用 | 推荐稀释比例 |
| {WB} | {1:500-2000} |
| {IHC-P} | {1:100-500} |
| {IHC-F} | {1:100-500} |
| {IF} | {1:100-500} |

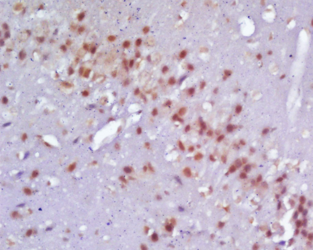
Paraformaldehyde-fixed, paraffin embedded (Mouse brain); Antigen retrieval by boiling in sodium citrate buffer (pH6.0) for 15min; Block endogenous peroxidase by 3% hydrogen peroxide for 20 minutes; Blocking buffer (normal goat serum) at 37°C for 30min; Antibody incubation with (Neurogenin 2) Polyclonal Antibody, Unconjugated (bs-3692R) at 1:400 overnight at 4°C, followed by operating according to SP Kit(Rabbit) (sp-0023) instructionsand DAB staining.

Tissue/cell: rat brain tissue; 4% Paraformaldehyde-fixed and paraffin-embedded;
Antigen retrieval: citrate buffer ( 0.01M, pH 6.0 ), Boiling bathing for 15min; Block endogenous peroxidase by 3% Hydrogen peroxide for 30min; Blocking buffer (normal goat serum,C-0005) at 37℃ for 20 min;
Incubation: Anti-Neurogenin 2 Polyclonal Antibody, Unconjugated(bs-3692R) 1:200, overnight at 4°C, followed by conjugation to the secondary antibody(SP-0023) and DAB(C-0010) staining
Antigen retrieval: citrate buffer ( 0.01M, pH 6.0 ), Boiling bathing for 15min; Block endogenous peroxidase by 3% Hydrogen peroxide for 30min; Blocking buffer (normal goat serum,C-0005) at 37℃ for 20 min;
Incubation: Anti-Neurogenin 2 Polyclonal Antibody, Unconjugated(bs-3692R) 1:200, overnight at 4°C, followed by conjugation to the secondary antibody(SP-0023) and DAB(C-0010) staining

Sample:
Lane 1: Mouse Cerebrum tissue lysates
Lane 2: Mouse Spleen tissue lysates
Primary: Anti-Neurogenin 2 (bs-3692R) at 1/1000 dilution
Secondary: IRDye800CW Goat Anti-Rabbit IgG at 1/20000 dilution
Predicted band size: 30 kDa
Observed band size: 30 kDa
Lane 1: Mouse Cerebrum tissue lysates
Lane 2: Mouse Spleen tissue lysates
Primary: Anti-Neurogenin 2 (bs-3692R) at 1/1000 dilution
Secondary: IRDye800CW Goat Anti-Rabbit IgG at 1/20000 dilution
Predicted band size: 30 kDa
Observed band size: 30 kDa
风险提示:丁香通仅作为第三方平台,为商家信息发布提供平台空间。用户咨询产品时请注意保护个人信息及财产安全,合理判断,谨慎选购商品,商家和用户对交易行为负责。对于医疗器械类产品,请先查证核实企业经营资质和医疗器械产品注册证情况。
技术资料暂无技术资料 索取技术资料
Neurogenin 2 Rabbit pAb(bs-3692R)-50ul/100ul/200ul
¥1180 - 2800






