相关产品推荐更多 >
万千商家帮你免费找货
0 人在求购买到急需产品
- 详细信息
- 文献和实验
- 技术资料
- 应用范围:
产品信息以Bioss网站为准
- 规格:
50ul/100ul/200ul
| 规格: | 50ul | 产品价格: | ¥1180.0 |
|---|---|---|---|
| 规格: | 100ul | 产品价格: | ¥1980.0 |
| 规格: | 200ul | 产品价格: | ¥2800.0 |
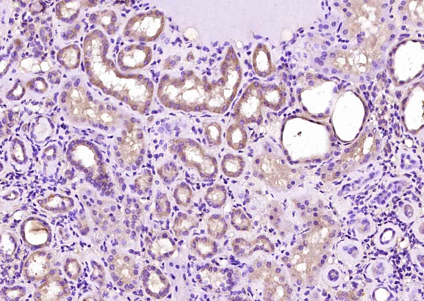
| 产品编号 | bs-7370R |
| 英文名称 | Folate Receptor alpha Rabbit pAb |
| 中文名称 | 叶酸受体α/α-FR 抗体 |
| 英文别名 | adult; Adult folate binding protein; Adult folate-binding protein; FBP; Folate Receptor 1 Adult; Folate receptor 1; Folate Receptor 1 Precursor; Folate receptor adult; Folate receptor alpha; Folate receptor; FOLR; FOLR1; FOLR1_HUMAN; FR alpha; FR-alpha; FRalpha; KB cells FBP; MOV18; Ovarian cancer associated antigen; Ovarian tumor associated antigen; Ovarian tumor associated antigen MOv18; Ovarian tumor-associated antigen MOv18. |
| 产品应用 | IHC-P=1:100-500, IHC-F=1:100-500, IF=1:100-500 Not yet tested in other applications. |
| 交叉反应 | Human (Rat, Cow, Rabbit, Sheep, Mouse) |
| 抗体来源 | Rabbit |
| 免疫原 | KLH conjugated synthetic peptide derived from human Folate Receptor alpha |
| 亚型 | IgG |
| 性状 | Liquid |
| 纯化方法 | affinity purified by Protein A |
| 克隆类型 | Polyclonal |
| 理论分子量 | 27 kDa |
| 浓度 | 1mg/ml |
| 储存液 | 0.01M TBS (pH7.4) with 1% BSA, 0.02% Proclin300 and 50% Glycerol. |
| 研究领域 | Tags & Cell Markers > Cell Type Markers > Tumor Associated |
| 亚细胞定位 | Cell membrane. Secreted. |
| 组织特异性 | Exclusively expressed in tissues of epithelial origin. Expression is increased in malignant tissues. Expressed in kidney, lung and cerebellum. |
| 翻译后修饰 | Eight disulfide bonds are present. The secreted form is derived from the membrane-bound form either by cleavage of the GPI anchor, or/and by proteolysis catalyzed by a metalloprotease. |
| 相似性 | Belongs to the folate receptor family. |
| 功能 | Binds to folate and reduced folic acid derivatives and mediates delivery of 5-methyltetrahydrofolate to the interior of cells. |
| 保存条件 | Shipped at 4℃. Store at -20℃ for one year. Avoid repeated freeze/thaw cycles. |
| 注意事项 | This product as supplied is intended for research use only, not for use in human, therapeutic or diagnostic applications. |
| 背景资料 | The protein encoded by this gene is a member of the folate receptor family. Members of this gene family bind folic acid and its reduced derivatives, and transport 5-methyltetrahydrofolate into cells. This gene product is a secreted protein that either anchors to membranes via a glycosyl-phosphatidylinositol linkage or exists in a soluble form. Mutations in this gene have been associated with neurodegeneration due to cerebral folate transport deficiency. Due to the presence of two promoters, multiple transcription start sites, and alternative splicing, multiple transcript variants encoding the same protein have been found for this gene. [provided by RefSeq, Oct 2009] |
| 应用 | 推荐稀释比例 |
| {IHC-P} | {1:100-500} |
| {IHC-F} | {1:100-500} |
| {IF} | {1:100-500} |

风险提示:丁香通仅作为第三方平台,为商家信息发布提供平台空间。用户咨询产品时请注意保护个人信息及财产安全,合理判断,谨慎选购商品,商家和用户对交易行为负责。对于医疗器械类产品,请先查证核实企业经营资质和医疗器械产品注册证情况。
文献和实验Characterization of CGRP Receptor Binding
Chatterjee, T.K. and Fisher, R.A. 1991. Multiple affinity forms of the calcitonin gene‐related peptide receptor in rat cerebellum. Mol. Pharmacol. 39:798‐804. Choksi, T
PriCells: Introduction of Isolation and Culture of Human Alveolar Epithelial Cells
and some ethical issues pertaining to use of human tissues in certain countries, most studies were based on isolation and culture of cells from the lungs of small laboratory animals including mouse, rat, and rabbit. However, not much information on species
, Algermissen, B. et al. 3. Purification of rabbit liver aldehyde oxidase by affinity chromatography on benzamidine Sepharose 6B. J. Chromatogr. (1989), 475 363-72, Stell, J. G. P. et al. 4. The Crystal Structure of a T Cell Receptor in Complex
技术资料暂无技术资料 索取技术资料








