相关产品推荐更多 >

CEP70 Rabbit pAb(bs-13860R)-50ul/100ul/200ul
¥1180
phospho-AQP2 (Ser264+261) Rabbit pAb, AP conjugated(bs-4610R-AP)-100ul
¥2980
C-jun Rabbit pAb, APC conjugated(bs-0670R-APC)-100ul
¥2980
phospho-PDGFRA (Tyr754) Rabbit pAb, RBITC conjugated(bs-20280R-RBITC)-100ul
¥2980
beta I Tubulin Mouse mAb, BF594 conjugated(bsm-33041M-BF594)-100ul
¥2980
万千商家帮你免费找货
0 人在求购买到急需产品
- 详细信息
- 文献和实验
- 技术资料
- 应用范围:
产品信息以Bioss网站为准
- 规格:
50ul/100ul/200ul
| 规格: | 50ul | 产品价格: | ¥1180.0 |
|---|---|---|---|
| 规格: | 100ul | 产品价格: | ¥1980.0 |
| 规格: | 200ul | 产品价格: | ¥2800.0 |
| 产品编号 | bs-13900R |
| 英文名称 | AMCase Rabbit pAb |
| 中文名称 | 哺乳动物酸性几丁质酶抗体 |
| 英文别名 | CHIA; Acidic mammalian chitinase [Precursor]; CHIT2; chitinase, acidic; DKFZp313J1722; ECF L; RP5 1125M8.1; TSA1902. |
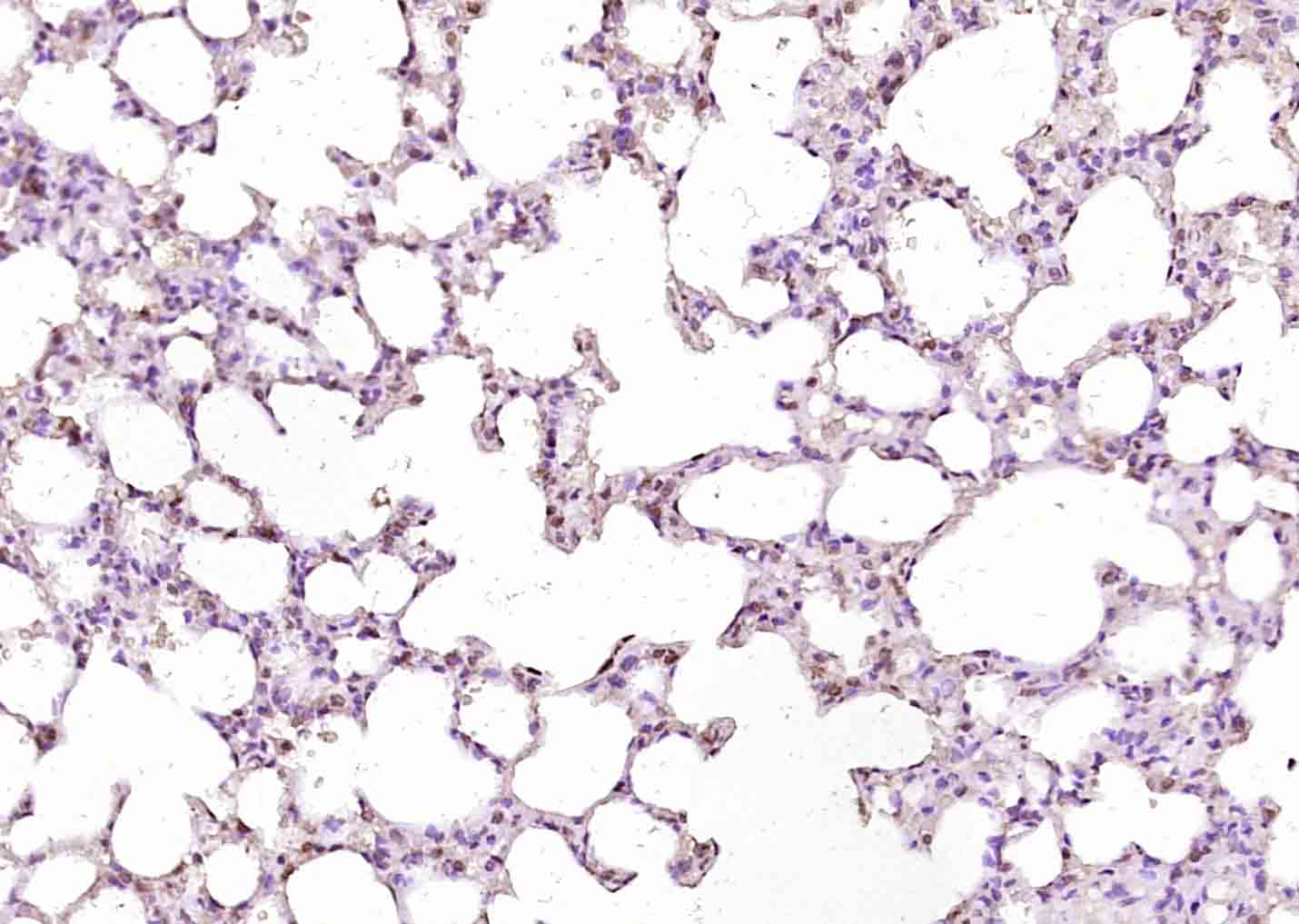
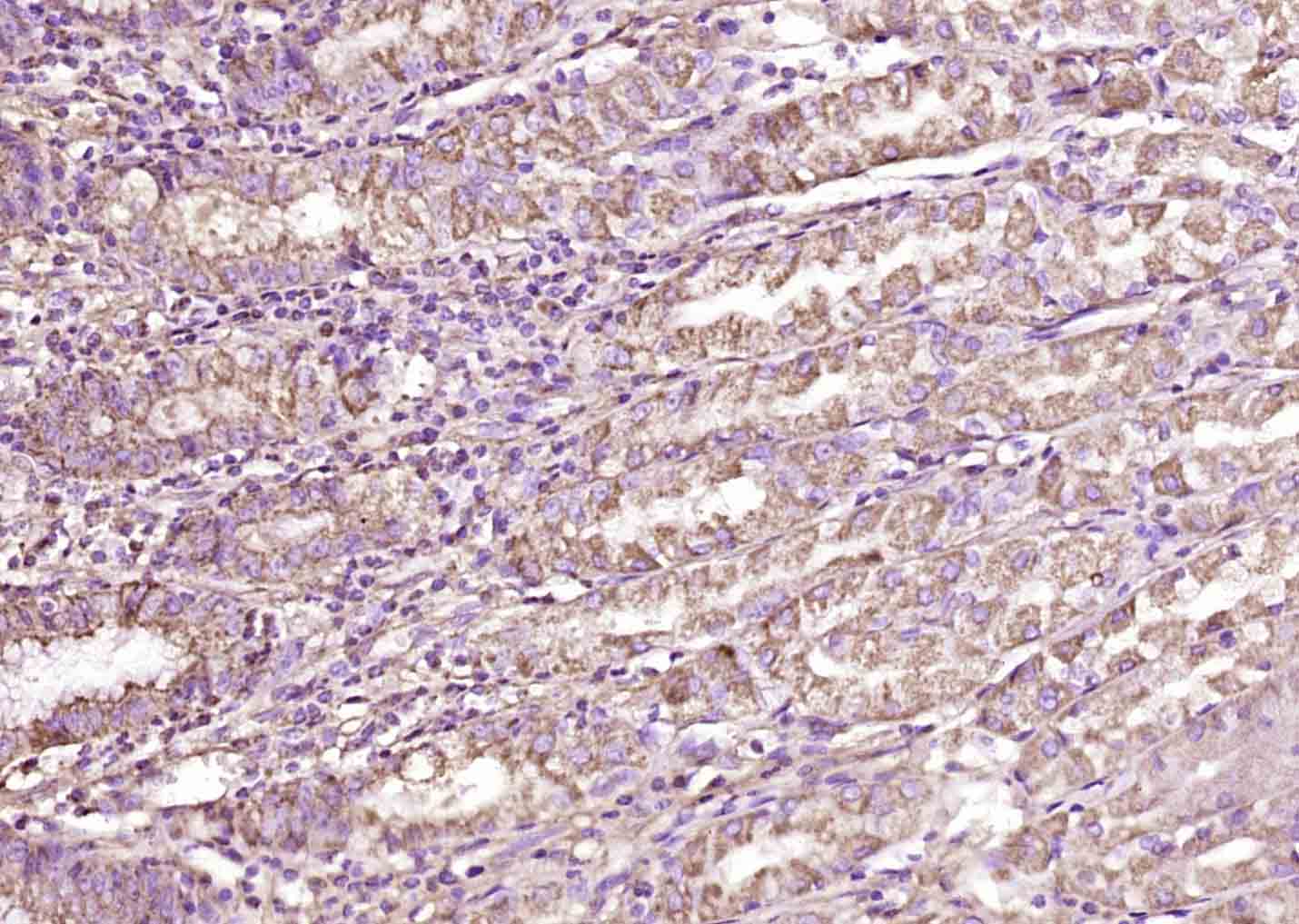
| 产品应用 | IHC-P=1:100-500, IHC-F=1:100-500, IF=1:100-500 Not yet tested in other applications. |
| 交叉反应 | Human, Rat (Mouse, Dog, Cow, Zebrafish, Sheep) |
| 抗体来源 | Rabbit |
| 免疫原 | KLH conjugated synthetic peptide derived from human CHIA |
| 亚型 | IgG |
| 性状 | Liquid |
| 纯化方法 | affinity purified by Protein A |
| 克隆类型 | Polyclonal |
| 理论分子量 | 50 kDa |
| 浓度 | 1mg/ml |
| 储存液 | 0.01M TBS (pH7.4) with 1% BSA, 0.02% Proclin300 and 50% Glycerol. |
| 研究领域 | Immunology > Immune System Diseases > Allergens Immunology > Innate Immunity > Cytokines > Interleukins Immunology > Innate Immunity > Macrophage / Inflamm. Microbiology > Organism > Eukaryotic Microorganism > Fungi > Cryptococcus neoformans Signal Transduction > Growth Factors/Hormones > EGF |
| 亚细胞定位 | Isoform 1: Secreted Isoforms 2 and 3: Cytoplasmic |
| 功能 | CHIA degrades chitin and chitotriose. May participate in the defense against nematodes and other pathogens. There are 3 named isoforms produced by alternative splicing. CHIA is induced via a T helper-2 (Th2)-specific, interleukin-13-mediated pathway in epithelial cells and macrophages. CHIA may be an important mediator of IL13-induced responses in Th2-dominated disorders such as asthma. CHIA hydrolysis N-acetyl-beta-D-glucosaminide 1,4-beta-linkages in chitin and chitodextrins. |
| 保存条件 | Shipped at 4℃. Store at -20℃ for one year. Avoid repeated freeze/thaw cycles. |
| 注意事项 | This product as supplied is intended for research use only, not for use in human, therapeutic or diagnostic applications. |
| 背景资料 | The protein encoded by this gene degrades chitin, which is found in the cell wall of most fungi as well as in arthropods and some nematodes. The encoded protein can also stimulate interleukin 13 expression, and variations in this gene can lead to asthma susceptibility. Several transcript variants encoding a few different isoforms have been found for this gene. [provided by RefSeq, Apr 2012] |
| 应用 | 推荐稀释比例 |
| {IHC-P} | {1:100-500} |
| {IHC-F} | {1:100-500} |
| {IF} | {1:100-500} |


风险提示:丁香通仅作为第三方平台,为商家信息发布提供平台空间。用户咨询产品时请注意保护个人信息及财产安全,合理判断,谨慎选购商品,商家和用户对交易行为负责。对于医疗器械类产品,请先查证核实企业经营资质和医疗器械产品注册证情况。
文献和实验= NAL), appears to form upon oxidative cyclization of the nonfluorescent 2:1 lysine-HNE Michael adduct-Schiff base cross-link (Scheme 1). Polyclonal antibody (PAb) to the NAL-HNE fluorophore was raised in rabbit and found to be highly specific
GE Healthcare Benzamidine Sepharose™ 6B is p-aminobenzamidine covalently attached to Sepharose 6B by the epoxy coupling method. p-Aminobenzamidine (PAB), is a synthetic inhibitor of trypsin-like serine protease. Trypsin and trypsin
Nucleic Acid Programmable Protein Arrays: Versatile Tools for Array‐Based Functional Protein Studies
.g., Sigma) 50 mg/ml bis‐sulfosuccinimdylsuberate (BS3 ;Pierce, cat. no. PI 21580) in dimethylsulfoxide (DMSO) 5 mg/ml
技术资料暂无技术资料 索取技术资料






