Sample:
Liver(Rat) Lysate at 40 ug
Primary: Anti-HOXc8 (bs-0394R) at 1/500 dilution
Secondary: IRDye800CW Goat Anti-Rabbit IgG at 1/20000 dilution
Predicted band size: 27 kD
Observed band size: 27 kD
相关产品推荐更多 >

PLCG 2 Rabbit pAb, Cy3 conjugated(bs-3532R-Cy3)-100ul
¥2980
SFRP4 Rabbit pAb(bs-1331R)-50ul/100ul/200ul
¥1180
Bad Rabbit pAb, BF647 conjugated(bs-1304R-BF647)-100ul
¥2980
DAPP1 Rabbit pAb, AP conjugated(bs-12982R-AP)-100ul
¥2980
phospho-HSP27 (Ser82) Rabbit pAb, APC-Cy5.5 conjugated(bs-3180R-APC-Cy5.5)-100ul
¥2980
万千商家帮你免费找货
0 人在求购买到急需产品
- 详细信息
- 文献和实验
- 技术资料
- 应用范围:
产品信息以Bioss网站为准
- 规格:
50ul/100ul/200ul
| 规格: | 50ul | 产品价格: | ¥1180.0 |
|---|---|---|---|
| 规格: | 100ul | 产品价格: | ¥1980.0 |
| 规格: | 200ul | 产品价格: | ¥2800.0 |
| 产品编号 | bs-0394R |
| 英文名称 | HOXc8 Rabbit pAb |
| 中文名称 | HOXc8抗体 |
| 英文别名 | Hox-3.1; Homeo box 3A; Homeo box 8; Homeobox 3A; Homeobox C8; Homeobox protein Hox C8; Homeobox protein Hox-C8; Homeobox protein HoxC8; Homeobox protein R4; Homolog of mouse Hox 3.1; HOX 3; Hox 3.1 mouse homolog of; HOX 3A; HOX C8; Hox-3.1, MOUSE, HOMOLOG OF; Hox-3A; HOX3; HOX3A; HOXC 8; Hoxc-8; M31; HXC8_HUMAN. |
| 产品应用 | WB=1:500-2000, IHC-P=1:100-500, IHC-F=1:100-500, IF=1:100-500 Not yet tested in other applications. |
| 交叉反应 | Human, Rat (Mouse, Pig, Cow, Horse) |
| 抗体来源 | Rabbit |
| 免疫原 | KLH conjugated synthetic peptide derived from human HOXc8 |
| 亚型 | IgG |
| 性状 | Liquid |
| 纯化方法 | affinity purified by Protein A |
| 克隆类型 | Polyclonal |
| 理论分子量 | 27 kDa |
| 浓度 | 1mg/ml |
| 储存液 | 0.01M TBS (pH7.4) with 1% BSA, 0.02% Proclin300 and 50% Glycerol. |
| 研究领域 | Developmental Biology > Embryogenesis > Axis formation and symmetry Developmental Biology > Organogenesis > Skeletal development > Bone Epigenetics and Nuclear Signaling > Transcription > Domain Families > Developmental Families > HOX |
| 亚基 | Interacts with SMAD1 and HOMEZ. |
| 亚细胞定位 | Nucleus. |
| 相似性 | Belongs to the Antp homeobox family.
Contains 1 homeobox DNA-binding domain. |
| 功能 | Sequence-specific transcription factor which is part of a developmental regulatory system that provides cells with specific positional identities on the anterior-posterior axis. |
| 保存条件 | Shipped at 4℃. Store at -20℃ for one year. Avoid repeated freeze/thaw cycles. |
| 注意事项 | This product as supplied is intended for research use only, not for use in human, therapeutic or diagnostic applications. |
| 背景资料 | This gene belongs to the homeobox family of genes. The homeobox genes encode a highly conserved family of transcription factors that play an important role in morphogenesis in all multicellular organisms. Mammals possess four similar homeobox gene clusters, HOXA, HOXB, HOXC and HOXD, which are located on different chromosomes and consist of 9 to 11 genes arranged in tandem. This gene is one of several homeobox HOXC genes located in a cluster on chromosome 12. The product of this gene may play a role in the regulation of cartilage differentiation. It could also be involved in chondrodysplasias or other cartilage disorders. |
| 应用 | 推荐稀释比例 |
| {WB} | {1:500-2000} |
| {IHC-P} | {1:100-500} |
| {IHC-F} | {1:100-500} |
| {IF} | {1:100-500} |


Sample:
Brain(Rat) lysate at 30ug;
Liver(Rat) lysate at 30ug;
Primary: Anti-HOXc8 (bs-0394R) at 1:200;
Secondary: HRP conjugated Goat-Anti-Rabbit IgG(bse-0295G) at 1: 3000;
Predicted band size : 27kD
Observed band size : 27kD, 43kD
Brain(Rat) lysate at 30ug;
Liver(Rat) lysate at 30ug;
Primary: Anti-HOXc8 (bs-0394R) at 1:200;
Secondary: HRP conjugated Goat-Anti-Rabbit IgG(bse-0295G) at 1: 3000;
Predicted band size : 27kD
Observed band size : 27kD, 43kD

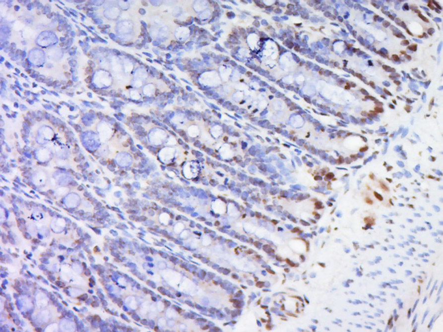
Paraformaldehyde-fixed, paraffin embedded Rat small intestine; Antigen retrieval by boiling in sodium citrate buffer (pH6.0) for 15min; Block endogenous peroxidase by 3% hydrogen peroxide for 20 minutes; Blocking buffer normal goat serum at 37°C for 30min; Antibody incubation with (Hox-3.1) Polyclonal Antibody, Unconjugated (bs-0394R) at 1:500 overnight at 4°C, followed by a conjugated secondary (sp-0023) for 20 minutes and DAB staining.

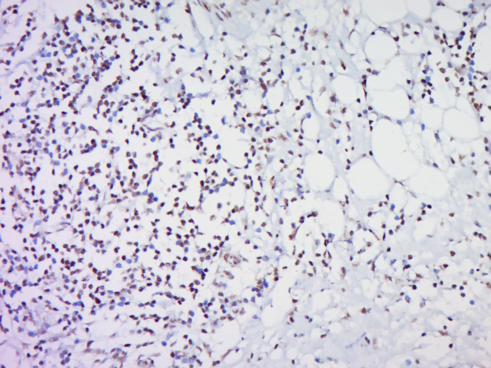
Paraformaldehyde-fixed, paraffin embedded (Human cervical cancer); Antigen retrieval by boiling in sodium citrate buffer (pH6.0) for 15min; Block endogenous peroxidase by 3% hydrogen peroxide for 20 minutes; Blocking buffer (normal goat serum) at 37°C for 30min; Antibody incubation with (Hox-3.1) Polyclonal Antibody, Unconjugated (bs-0394R) at 1:500 overnight at 4°C, followed by a conjugated secondary (sp-0023) for 20 minutes and DAB staining.

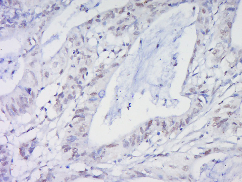
Paraformaldehyde-fixed, paraffin embedded (Human cervical cancer); Antigen retrieval by boiling in sodium citrate buffer (pH6.0) for 15min; Block endogenous peroxidase by 3% hydrogen peroxide for 20 minutes; Blocking buffer (normal goat serum) at 37°C for 30min; Antibody incubation with (Histone H3) Polyclonal Antibody, Unconjugated (bs-0394R) at 1:500 overnight at 4°C, followed by a conjugated secondary (sp-0023) for 20 minutes and DAB staining.
风险提示:丁香通仅作为第三方平台,为商家信息发布提供平台空间。用户咨询产品时请注意保护个人信息及财产安全,合理判断,谨慎选购商品,商家和用户对交易行为负责。对于医疗器械类产品,请先查证核实企业经营资质和医疗器械产品注册证情况。
文献和实验该产品被引用文献
[IF={{ 1.3 }}] {Yahang Chen. et al. Human papillomavirus type 16 E7 promotes cell viability and migration in cervical cancer by regulating the miR-23a/HOXC8 axis. J OBSTET GYNAECOL. 2024 Feb 13} {WB} {Human}
技术资料暂无技术资料 索取技术资料
文献支持
HOXc8 Rabbit pAb(bs-0394R)-50ul/100ul/200ul
¥1180 - 2800





