相关产品推荐更多 >

phospho-MAP4K1 (Ser171) Rabbit pAb(bs-5494R)-50ul/100ul/200ul
¥1180
XPB Rabbit pAb, Biotin conjugated(bs-4260R-Bio)-100ul
¥2980
PPAR alpha Rabbit pAb(bs-3614R)-50ul/100ul/200ul
¥1180
Anti-human CDCP1 / CD318 (38 E11 Biosimilar)(BIO0923SM)-1mg/5mg/20mg
¥3200
SIRT5 Rabbit pAb, Cy3 conjugated(bs-9456R-Cy3)-100ul
¥2980
万千商家帮你免费找货
0 人在求购买到急需产品
- 详细信息
- 文献和实验
- 技术资料
- 应用范围:
产品信息以Bioss网站为准
- 规格:
50ul/100ul/200ul
| 规格: | 50ul | 产品价格: | ¥1180.0 |
|---|---|---|---|
| 规格: | 100ul | 产品价格: | ¥1980.0 |
| 规格: | 200ul | 产品价格: | ¥2800.0 |
| 产品编号 | bs-1334R |
| 英文名称 | TIE1 Rabbit pAb |
| 中文名称 | 血管生成素受体1抗体 |
| 英文别名 | TIE1_HUMAN; JKT 14; JTK14; TIE; Tyrosine Kinase with Immunoglobulin and Epidermal Growth Factor Homology Domains; Tyrosine protein kinase receptor Tie 1; Tyrosine-protein kinase receptor Tie-1; tyrosine kinase receptor 1; tyrosine kinase with immunoglobulin-like and EGF-like domains 1. |
| 产品应用 | WB=1:500-2000, IHC-P=1:100-500, IHC-F=1:100-500, IF=1:100-500 Not yet tested in other applications. |
| 交叉反应 | Human (Mouse, Rat) |
| 抗体来源 | Rabbit |
| 免疫原 | KLH conjugated synthetic peptide derived from human Tie1 |
| 亚型 | IgG |
| 性状 | Liquid |
| 纯化方法 | affinity purified by Protein A |
| 克隆类型 | Polyclonal |
| 理论分子量 | 123 kDa |
| 浓度 | 1mg/ml |
| 储存液 | 0.01M TBS (pH7.4) with 1% BSA, 0.02% Proclin300 and 50% Glycerol. |
| 研究领域 | Cancer > Oncoproteins/suppressors > Oncoproteins > Growth factor receptors Cardiovascular > Vasculature > Endothelium Developmental Biology > Lineage specification > Mesoderm Signal Transduction > Protein Phosphorylation > Tyrosine Kinases > Receptor Tyrosine Kinases Stem Cells > Endothelial Progenitors > Endothelial Markers Stem Cells > Lineage Markers > Mesoderm |
| 亚基 | Heterodimer with TEK/TIE2. |
| 亚细胞定位 | Cell membrane; Single-pass type I membrane protein. |
| 组织特异性 | Specifically expressed in developing vascular endothelial cells. |
| 翻译后修饰 | Phosphorylated on tyrosine residues in response to ANGPT1, most likely by TEK/TIE2. |
| 相似性 | Belongs to the protein kinase superfamily. Tyr protein kinase family. Tie subfamily. Contains 3 EGF-like domains. Contains 3 fibronectin type-III domains. Contains 2 Ig-like C2-type (immunoglobulin-like) domains. Contains 1 protein kinase domain. |
| 功能 | Transmembrane tyrosine-protein kinase that may modulate TEK/TIE2 activity and contribute to the regulation of angiogenesis. |
| 保存条件 | Shipped at 4℃. Store at -20℃ for one year. Avoid repeated freeze/thaw cycles. |
| 注意事项 | This product as supplied is intended for research use only, not for use in human, therapeutic or diagnostic applications. |
| 背景资料 | TIE1/TIE (tyrosine kinase with Ig and EGF homology domains 1) and TIE2/Tek define a new class of the receptor tyrosine kinase (RTK) subfamily with unique structural characteristics: two immunoglobulin like domains flanking three epidermal growth factor (EFG) like domains followed by three fibronectin type III like repeats in the extracellular region and a split tyrosine kinase domain in the cytoplasmic region. Human TIE1 cDNA encodes a 1138 amino acid residue precursor protein with a putative signal peptide, an extracellular domain, and a cytoplasmic domain. Human TIE1/Fc, a disulfide linked homodimeric protein, has a calculated molecular mass of approximately 107 kDa. Due to glycosylation, the protein migrates to approximately 160 kDa in SDS PAGE under reducing conditions. TIE1 and TIE2, expressed primarily on endothelial and hematopoietic progenitor cells, play important roles in angiogenesis, vasculogenesis, and hematopoiesis. In developing vascular endothelial cells, TIE1 and TIE2 are specifically expressed. Two ligands that bind TIE have been identified, angiopoietin 1 and angiopoietin 2. Based on gene targeting studies, the in vivo functions of TIE1 are related to endothelial cell differentiation. The receptor tyrosine kinase TIE also plays a role in the survival and integrity of the endothelium. |
| 应用 | 推荐稀释比例 |
| {WB} | {1:500-2000} |
| {IHC-P} | {1:100-500} |
| {IHC-F} | {1:100-500} |
| {IF} | {1:100-500} |

A549(Human) Cell Lysate at 30 ug
HepG2(Human) Cell Lysate at 30 ug
Primary: Anti-TIE1 (bs-1334R) at 1/1000 dilution
Secondary: IRDye800CW Goat Anti-Rabbit IgG at 1/20000 dilution
Predicted band size: 123 kD
Observed band size: 123 kD

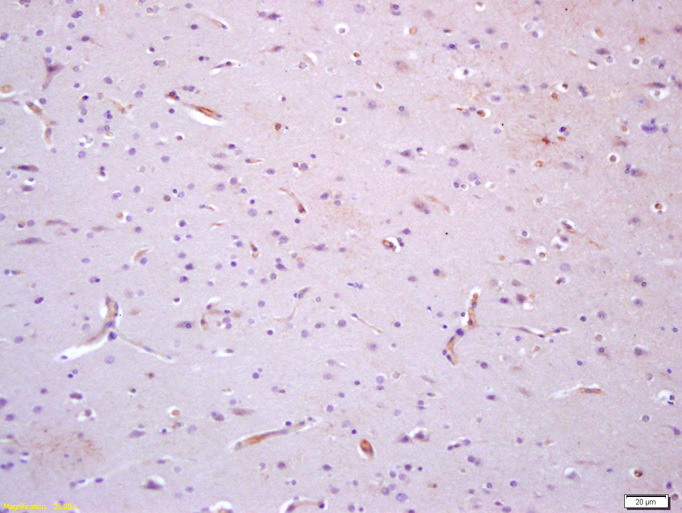
Antigen retrieval: citrate buffer ( 0.01M, pH 6.0 ), Boiling bathing for 15min; Block endogenous peroxidase by 3% Hydrogen peroxide for 30min; Blocking buffer (normal goat serum,C-0005) at 37℃ for 20 min;
Incubation: Anti-TIE1 Polyclonal Antibody, Unconjugated(bs-1334R) 1:200, overnight at 4°C, followed by conjugation to the secondary antibody(SP-0023) and DAB(C-0010) staining
风险提示:丁香通仅作为第三方平台,为商家信息发布提供平台空间。用户咨询产品时请注意保护个人信息及财产安全,合理判断,谨慎选购商品,商家和用户对交易行为负责。对于医疗器械类产品,请先查证核实企业经营资质和医疗器械产品注册证情况。
文献和实验[IF={{ 5.57 }}] {Zhang C et al. Superparamagnetic iron oxide (SPIO) nanoparticles labeled endothelial progenitor cells (EPCs) administration inhibited heterotopic ossification in rats. Nanomedicine. 2019 Aug 7;21:102078.} {IHC,WB} {Rat}
[IF={{ 3.9 }}] {Gong Zhenqi. et al. Identification of the Expression of TIE1 and Its Mediated Immunosuppression in Gastric Cancer. J CANCER. 2024 Mar;15(10):2994-3009} {IHC} {Human}
= NAL), appears to form upon oxidative cyclization of the nonfluorescent 2:1 lysine-HNE Michael adduct-Schiff base cross-link (Scheme 1). Polyclonal antibody (PAb) to the NAL-HNE fluorophore was raised in rabbit and found to be highly specific
GE Healthcare Benzamidine Sepharose™ 6B is p-aminobenzamidine covalently attached to Sepharose 6B by the epoxy coupling method. p-Aminobenzamidine (PAB), is a synthetic inhibitor of trypsin-like serine protease. Trypsin and trypsin
Nucleic Acid Programmable Protein Arrays: Versatile Tools for Array‐Based Functional Protein Studies
.g., Sigma) 50 mg/ml bis‐sulfosuccinimdylsuberate (BS3 ;Pierce, cat. no. PI 21580) in dimethylsulfoxide (DMSO) 5 mg/ml
技术资料暂无技术资料 索取技术资料






