相关产品推荐更多 >

Centromeric histone H3-like protein-2 Rabbit pAb(bs-0483R)-50ul/100ul/200ul
¥1180
FAM98A Rabbit pAb, RBITC conjugated(bs-11012R-RBITC)-100ul
¥2980
Tollip Rabbit pAb, Biotin conjugated(bs-18168R-Bio)-100ul
¥2980
phospho-LRRK2 (Thr1410) Rabbit pAb, HRP conjugated(bs-11786R-HRP)-100ul
¥2980
Collagen X Rabbit pAb(bs-0554R)-50ul/100ul/200ul
¥1180
万千商家帮你免费找货
0 人在求购买到急需产品
- 详细信息
- 文献和实验
- 技术资料
- 应用范围:
产品信息以Bioss网站为准
- 规格:
50ul/100ul/200ul
| 规格: | 50ul | 产品价格: | ¥1180.0 |
|---|---|---|---|
| 规格: | 100ul | 产品价格: | ¥1980.0 |
| 规格: | 200ul | 产品价格: | ¥2800.0 |
| 产品编号 | bs-2435R |
| 英文名称 | ATP5A Rabbit pAb |
| 中文名称 | ATP5A抗体 |
| 英文别名 | ATP synthase alpha chain, mitochondrial; ATP synthase subunit alpha; ATP synthase, H+transporting, mitochondrial F1 complex, alpha subunit, 1; ATP synthase, H+transporting, mitochondrial F1 complex, alpha subunit, isoform 1, cardiac muscle; ATP synthase, H+transporting, mitochondrial F1 complex, alpha subunit, isoform 2, non-cardiac muscle-like 2; ATP sythase(F1 ATPase) alpha subunit; ATP5A; Atp5a1; ATP5AL2; ATPA_HUMAN; ATPM; hATP1; MC5DN4; mitochondrial; Mitochondrial ATP Synthase Subunit alpha; Mitochondrial ATP synthetase; Mitochondrial ATP synthetase oligomycin resistant; Modifier of Min 2 mouse homolog; Modifier of Min 2, mouse, homolog of; MOM2; OMR; ORM. |
| 产品应用 | IHC-P=1:100-500, IHC-F=1:100-500, IF=1:100-500, Flow-Cyt=1μg/Test Not yet tested in other applications. |
| 交叉反应 | Human, Rat (Mouse, Dog, Cow, Horse, Rabbit, Sheep) |
| 抗体来源 | Rabbit |
| 免疫原 | KLH conjugated synthetic peptide derived from human ATP5j |
| 亚型 | IgG |
| 性状 | Liquid |
| 纯化方法 | affinity purified by Protein A |
| 克隆类型 | Polyclonal |
| 理论分子量 | 13 kDa |
| 浓度 | 1mg/ml |
| 储存液 | 0.01M TBS (pH7.4) with 1% BSA, 0.02% Proclin300 and 50% Glycerol. |
| 研究领域 | Metabolism > Pathways and Processes > Mitochondrial Metabolism > Mitochondrial markers Metabolism > Pathways and Processes > Mitochondrial Metabolism > Oxidative phosphorylation > Complex V Metabolism > Types of disease > Cancer Signal Transduction > Metabolism > Mitochondrial Signal Transduction > Metabolism > Plasma Membrane > ATPases Tags & Cell Markers > Subcellular Markers > Organelles > Mitochondria |
| 亚基 | F-type ATPases have 2 components, CF(1) - the catalytic core - and CF(0) - the membrane proton channel. CF(0) seems to have nine subunits: a, b, c, d, e, f, g, F6 and 8 (or A6L). |
| 亚细胞定位 | Mitochondrion. Mitochondrion inner membrane. |
| 相似性 | Belongs to the eukaryotic ATPase subunit F6 family. |
| 功能 | Mitochondrial membrane ATP synthase (F(1)F(0) ATP synthase or Complex V) produces ATP from ADP in the presence of a proton gradient across the membrane which is generated by electron transport complexes of the respiratory chain. F-type ATPases consist of two structural domains, F(1) - containing the extramembraneous catalytic core and F(0) - containing the membrane proton channel, linked together by a central stalk and a peripheral stalk. During catalysis, ATP synthesis in the catalytic domain of F(1) is coupled via a rotary mechanism of the central stalk subunits to proton translocation. Part of the complex F(0) domain and the peripheric stalk, which acts as a stator to hold the catalytic alpha(3)beta(3) subcomplex and subunit a/ATP6 static relative to the rotary elements. Also involved in the restoration of oligomycin-sensitive ATPase activity to depleted F1-F0 complexes. |
| 保存条件 | Shipped at 4℃. Store at -20℃ for one year. Avoid repeated freeze/thaw cycles. |
| 注意事项 | This product as supplied is intended for research use only, not for use in human, therapeutic or diagnostic applications. |
| 背景资料 | ATP5J (ATP synthase, H+ transporting, mitochondrial F0 complex, subunit F6) is a multisubunit membrane-bound enzyme complex consisting of an F0 segment embedded in the membrane and an F1 segment attached to the F0. It is also a component of mitochondrial ATP synthase which is required for the interactions of the catalytic and proton-translocating segments. Human ATP5J shares 72% sequence identity with rat ATP5J. This signal peptide is rich in basic amino acids, devoid of acidic amino acids, and amphiphilic, which allows it to be water-soluble yet capable of passage through the phospholipid membrane bilayers. Moreover, it is circulating and functions as an endogenous vasoconstrictor by inhibiting cytosolic phospholipase A2. |
| 应用 | 推荐稀释比例 |
| {IHC-P} | {1:100-500} |
| {IHC-F} | {1:100-500} |
| {IF} | {1:100-500} |
| {Flow-Cyt} | {1μg/Test} |

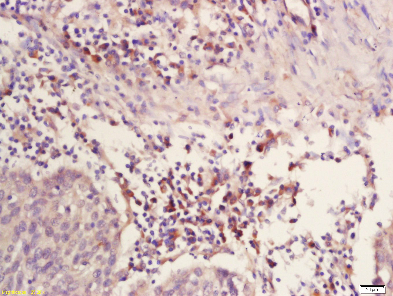
Antigen retrieval: citrate buffer ( 0.01M, pH 6.0 ), Boiling bathing for 15min; Block endogenous peroxidase by 3% Hydrogen peroxide for 30min; Blocking buffer (normal goat serum,C-0005) at 37℃ for 20 min;
Incubation: Anti-ATP5A Polyclonal Antibody, Unconjugated(bs-2435R) 1:200, overnight at 4°C, followed by conjugation to the secondary antibody(SP-0023) and DAB(C-0010) staining

Primary Antibody:Rabbit Anti-ATP5A antibody(bs-2435R), Dilution: 1μg in 100 μL 1X PBS containing 0.5% BSA.
Isotype Control Antibody: Rabbit IgG(orange),used under the same conditions),
Secondary Antibody: Goat anti-rabbit IgG-PE(white blue), Dilution: 1:200 in 1 X PBS containing 0.5% BSA.
风险提示:丁香通仅作为第三方平台,为商家信息发布提供平台空间。用户咨询产品时请注意保护个人信息及财产安全,合理判断,谨慎选购商品,商家和用户对交易行为负责。对于医疗器械类产品,请先查证核实企业经营资质和医疗器械产品注册证情况。
文献和实验[IF={{ 4.2 }}] {Zhang, Weidong, et al. "Decrease in male mouse fertility by hydrogen sulfide and/or ammonia can Be inheritable." Chemosphere (2017).} {IHC} {="Mouse"}
= NAL), appears to form upon oxidative cyclization of the nonfluorescent 2:1 lysine-HNE Michael adduct-Schiff base cross-link (Scheme 1). Polyclonal antibody (PAb) to the NAL-HNE fluorophore was raised in rabbit and found to be highly specific
GE Healthcare Benzamidine Sepharose™ 6B is p-aminobenzamidine covalently attached to Sepharose 6B by the epoxy coupling method. p-Aminobenzamidine (PAB), is a synthetic inhibitor of trypsin-like serine protease. Trypsin and trypsin
Nucleic Acid Programmable Protein Arrays: Versatile Tools for Array‐Based Functional Protein Studies
.g., Sigma) 50 mg/ml bis‐sulfosuccinimdylsuberate (BS3 ;Pierce, cat. no. PI 21580) in dimethylsulfoxide (DMSO) 5 mg/ml
技术资料暂无技术资料 索取技术资料





