Sample:
Spleen (Mouse) Lysate at 40 ug
Primary: Anti-Cdc25B (bs-4094R) at 1/300 dilution
Secondary: IRDye800CW Goat Anti-Rabbit IgG at 1/20000 dilution
Predicted band size: 65 kD
Observed band size: 65 kD
相关产品推荐更多 >

LIPN/Lipase N Rabbit pAb(bs-18294R)-50ul/100ul/200ul
¥1180
Defensin beta 2 Rabbit pAb, AP conjugated(bs-1296R-AP)-100ul
¥2980
IGF2 Rabbit pAb, PerCP conjugated(bs-0015R-PerCP)-100ul
¥2980
GNAI2 Recombinant Mouse mAb(bsm-60516M)-50ul/100ul/25ul
¥800
EMAP2 Rabbit pAb, Biotin conjugated(bs-5908R-Bio)-100ul
¥2980
万千商家帮你免费找货
0 人在求购买到急需产品
- 详细信息
- 技术资料
- 应用范围:
产品信息以Bioss网站为准
- 规格:
50ul/100ul/200ul
| 规格: | 50ul | 产品价格: | ¥1180.0 |
|---|---|---|---|
| 规格: | 100ul | 产品价格: | ¥1980.0 |
| 规格: | 200ul | 产品价格: | ¥2800.0 |
| 产品编号 | bs-4094R |
| 英文名称 | Cdc25B Rabbit pAb |
| 中文名称 | 细胞分裂周期蛋白25B抗体 |
| 英文别名 | Cdc 25B; Cdc25b; Cdc-25b; CDC25HU2; Cdc25m2; Cell division cycle 25 homolog B; Cell division cycle 25B; Cell division cycle 25B isoform 1; Cell division cycle 25B isoform 2; Cell division cycle 25B isoform 3; Cell division cycle 25B isoform 4; Cell division cycle 25B isoform 5; Dual specificity phosphatase Cdc25B; M phase inducer phosphatase 2; M-phase inducer phosphatase 2; MPIP2_HUMAN. |
| 产品应用 | WB=1:500-2000, IHC-P=1:100-500, IHC-F=1:100-500, IF=1:100-500 Not yet tested in other applications. |
| 交叉反应 | Human, Mouse, Rat (Dog, Pig, Cow, Rabbit) |
| 抗体来源 | Rabbit |
| 免疫原 | KLH conjugated synthetic peptide derived from human Cdc25B |
| 亚型 | IgG |
| 性状 | Liquid |
| 纯化方法 | affinity purified by Protein A |
| 克隆类型 | Polyclonal |
| 理论分子量 | 65 kDa |
| 浓度 | 1mg/ml |
| 储存液 | 0.01M TBS (pH7.4) with 1% BSA, 0.02% Proclin300 and 50% Glycerol. |
| 研究领域 | Cancer > Cell cycle > Kinases/phosphatases > Phosphatases Cell Biology > Cell Cycle > Kinases/Phosphatases > Phosphatases Epigenetics and Nuclear Signaling > Cell cycle > Kinases/Phosphatases > Phospatases |
| 亚基 | Interacts with MAPK14 and 14-3-3 proteins. |
| 亚细胞定位 | Cytoplasm, cytoskeleton, centrosome. Cytoplasm, cytoskeleton, spindle pole. |
| 翻译后修饰 | Phosphorylated by BRSK1 in vitro. Phosphorylated by CHEK1, which inhibits the activity of this protein. Phosphorylation at Ser-353 by AURKA might locally participate in the control of the onset of mitosis. Phosphorylation by MELK at Ser-169 promotes localization to the centrosome and the spindle poles during mitosis. Phosphorylation at Ser-323 and Ser-375 by MAPK14 is required for binding to 14-3-3 proteins. |
| 相似性 | Belongs to the MPI phosphatase family. Contains 1 rhodanese domain. |
| 功能 | Tyrosine protein phosphatase which functions as a dosage-dependent inducer of mitotic progression. Required for G2/M phases of the cell cycle progression and abscission during cytokinesis in a ECT2-dependent manner. Directly dephosphorylates CDK1 and stimulates its kinase activity. The three isoforms seem to have a different level of activity. |
| 保存条件 | Shipped at 4℃. Store at -20℃ for one year. Avoid repeated freeze/thaw cycles. |
| 注意事项 | This product as supplied is intended for research use only, not for use in human, therapeutic or diagnostic applications. |
| 背景资料 | CDC25B is a member of the CDC25 family of phosphatases. CDC25B activates the cyclin dependent kinase CDC2 by removing two phosphate groups and it is required for entry into mitosis. CDC25B shuttles between the nucleus and the cytoplasm due to nuclear localization and nuclear export signals. The protein is nuclear in the M and G1 phases of the cell cycle and moves to the cytoplasm during S and G2. CDC25B has oncogenic properties, although its role in tumor formation has not been determined. Multiple transcript variants for this gene exist. [provided by RefSeq, Jul 2008]. |
| 应用 | 推荐稀释比例 |
| {WB} | {1:500-2000} |
| {IHC-P} | {1:100-500} |
| {IHC-F} | {1:100-500} |
| {IF} | {1:100-500} |


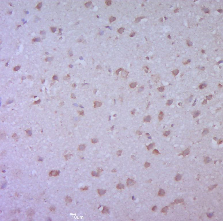
Paraformaldehyde-fixed, paraffin embedded (rat brain); Antigen retrieval by boiling in sodium citrate buffer (pH6.0) for 15min; Block endogenous peroxidase by 3% hydrogen peroxide for 20 minutes; Blocking buffer (normal goat serum) at 37°C for 30min; Antibody incubation with (Cdc25B ) Polyclonal Antibody, Unconjugated (bs-4094R) at 1:400 overnight at 4°C, followed by a conjugated secondary antibody (sp-0023) for 20 minutes and DAB staining.

Sample:
Lane 1: Mouse Liver tissue lysates
Lane 2: Mouse NIH/3T3 cell lysates
Lane 3: Mouse Sp2/0 cell lysates
Lane 4: Human A549 cell lysates
Lane 5: Human Daudi cell lysates
Lane 6: Human K562 cell lysates
Primary: Anti-Cdc25B (bs-4094R) at 1/1000 dilution
Secondary: IRDye800CW Goat Anti-Rabbit IgG at 1/20000 dilution
Predicted band size: 65 kDa
Observed band size: 60 kDa
Lane 1: Mouse Liver tissue lysates
Lane 2: Mouse NIH/3T3 cell lysates
Lane 3: Mouse Sp2/0 cell lysates
Lane 4: Human A549 cell lysates
Lane 5: Human Daudi cell lysates
Lane 6: Human K562 cell lysates
Primary: Anti-Cdc25B (bs-4094R) at 1/1000 dilution
Secondary: IRDye800CW Goat Anti-Rabbit IgG at 1/20000 dilution
Predicted band size: 65 kDa
Observed band size: 60 kDa
风险提示:丁香通仅作为第三方平台,为商家信息发布提供平台空间。用户咨询产品时请注意保护个人信息及财产安全,合理判断,谨慎选购商品,商家和用户对交易行为负责。对于医疗器械类产品,请先查证核实企业经营资质和医疗器械产品注册证情况。
技术资料暂无技术资料 索取技术资料
Cdc25B Rabbit pAb(bs-4094R)-50ul/100ul/200ul
¥1180 - 2800





