相关产品推荐更多 >

NSBP1 Rabbit pAb(bs-0700R)-50ul/100ul/200ul
¥1180
IGSF21 Rabbit pAb(bs-9204R)-50ul/100ul/200ul
¥1180
B7-H3/CD276 Rabbit pAb, Biotin conjugated(bs-11019R-Bio)-100ul
¥2980
PTEN Mouse mAb, APC-Cy7 conjugated(bsm-33320M-APC-Cy7)-100ul
¥2980
phospho-LRRK2 (Thr1410) Rabbit pAb, Biotin conjugated(bs-11786R-Bio)-100ul
¥2980
万千商家帮你免费找货
0 人在求购买到急需产品
- 详细信息
- 文献和实验
- 技术资料
- 应用范围:
产品信息以Bioss网站为准
- 规格:
50ul/100ul/200ul
| 规格: | 50ul | 产品价格: | ¥1180.0 |
|---|---|---|---|
| 规格: | 100ul | 产品价格: | ¥1980.0 |
| 规格: | 200ul | 产品价格: | ¥2800.0 |
| 产品编号 | bs-1966R |
| 英文名称 | KLK7 Rabbit pAb |
| 中文名称 | 激肽释放酶7抗体 |
| 英文别名 | Kallikrein 7; Chymotryptic stratum corneum; hK 7; hK7; hSCCE; hSCCE; Kallikrein 7(chymotryptic stratum corneum); Kallikrein related peptidase 7; Kallikrein-7; Kallikrein7; KLK 7; Klk7; KLK7_HUMAN; Protease serine 6; PRSS 6; PRSS6; SCCE; Serine protease 6; Signal protein; Stratum corneum chymotryptic enzyme; Stratum corneum chymotryptic enzyme. |
| 产品应用 | IHC-P=1:100-500, IHC-F=1:100-500, IF=1:100-500 Not yet tested in other applications. |
| 交叉反应 | Rat (Human, Mouse, Dog, Pig, Cow) |
| 抗体来源 | Rabbit |
| 免疫原 | KLH conjugated synthetic peptide derived from human KLK7 |
| 亚型 | IgG |
| 性状 | Liquid |
| 纯化方法 | affinity purified by Protein A |
| 克隆类型 | Polyclonal |
| 理论分子量 | 24 kDa |
| 浓度 | 1mg/ml |
| 储存液 | 0.01M TBS (pH7.4) with 1% BSA, 0.02% Proclin300 and 50% Glycerol. |
| 研究领域 | Cancer > Invasion/microenvironment > ECM > Extracellular matrix > Kallikreins Cell Biology > Proteolysis / Ubiquitin > Proteolytic enzymes > Serine protease > Kallikreins Signal Transduction > Cytoskeleton / ECM > Extracellular Matrix > ECM Enzymes > Kallikreins |
| 亚细胞定位 | Secreted. Note=In ovarian carcinoma, secreted and also observed at the apical membrane and in cytoplasm at the invasive front. |
| 组织特异性 | Abundantly expressed in the skin and is expressed by keratinocytes in the epidermis. Also expressed in the brain, mammary gland, cerebellum, spinal cord and kidney. Lower levels in salivary glands, uterus, thymus, thyroid, placenta, trachea and testis. Up-regulated in ovarian carcinoma, especially late-stage serous carcinoma, compared with normal ovaries and benign adenomas (at protein level). |
| 相似性 | Belongs to the peptidase S1 family. Kallikrein subfamily. Contains 1 peptidase S1 domain. |
| 功能 | May catalyze the degradation of intercellular cohesive structures in the cornified layer of the skin in the continuous shedding of cells from the skin surface. Specific for amino acid residues with aromatic side chains in the P1 position. SCCE cleaves insulin B chain at '6-Leu-|-Cys-7', '16-Tyr-|-Leu-17', '25-Phe-|-Tyr-26' and '26-Tyr-|-Thr-27'. Could play a role in the activation of precursors to inflammatory cytokines. |
| 保存条件 | Shipped at 4℃. Store at -20℃ for one year. Avoid repeated freeze/thaw cycles. |
| 注意事项 | This product as supplied is intended for research use only, not for use in human, therapeutic or diagnostic applications. |
| 背景资料 | The human tissue Kallikrein gene family encodes 15 serine proteases. All Kallikreins share structural similarities including cysteine residues, a catalytic triad of His, Asp, and Ser residues, typically five coding exons and varied intron phases. Kallikreins are predominantly secreted as inactive zymogens prior to activation by cleavage of an N-terminal peptide and all function extracellularly. Kallikreins can be activated autocatalytically, via other Kallikreins, or additional proteases. While structurally similar, Kallikrein family members have distinct functions and have key roles in many physiological and pathological processes. Many human tissue Kallikreins also show promise as cancer biomarkers, which may facilitate earlier detection and characterization of many forms of cancer.Kallikrein 7, also known as stratum corneum chymotryptic enzyme (SCCE) and PRSS6, is a chymotrypsin-like serine proteinase. Originally described from human skin as a serine protease involved in shedding of skin cells and remodeling if the skin, SCCE was later identified as Kallikrein 7. Kallikrein 7 is found at the highest levels in the skin, often complexed with the endogenous serpins SLPI or elafin and kallikrein 7 can be found complexed to a number of different proteinase inhibitors. In addition to skin, Kallikrein 7 has been found in the kidney, esophagus, neuronal tissues, amniotic fluid, saliva, breast milk, urine, synovial fluid, seminal plasma and serum. Kallikrein 7 has been reported to be decreased in the CSF of Alzheimer's patients and message levels of KLK7 were decreased in adenocarcinoma. In skin, overexpression of hK7 has been shown to cause a form of dermatitis and in psoriasis hK7 is expressed in higher levels than controls. The skin adhesive proteins corneodesmosin and desmocollin 1 have been reported to be substrates of Kallikrein 7, as is interleukin 1 and the insulin B-chain. |
| 应用 | 推荐稀释比例 |
| {IHC-P} | {1:100-500} |
| {IHC-F} | {1:100-500} |
| {IF} | {1:100-500} |


风险提示:丁香通仅作为第三方平台,为商家信息发布提供平台空间。用户咨询产品时请注意保护个人信息及财产安全,合理判断,谨慎选购商品,商家和用户对交易行为负责。对于医疗器械类产品,请先查证核实企业经营资质和医疗器械产品注册证情况。
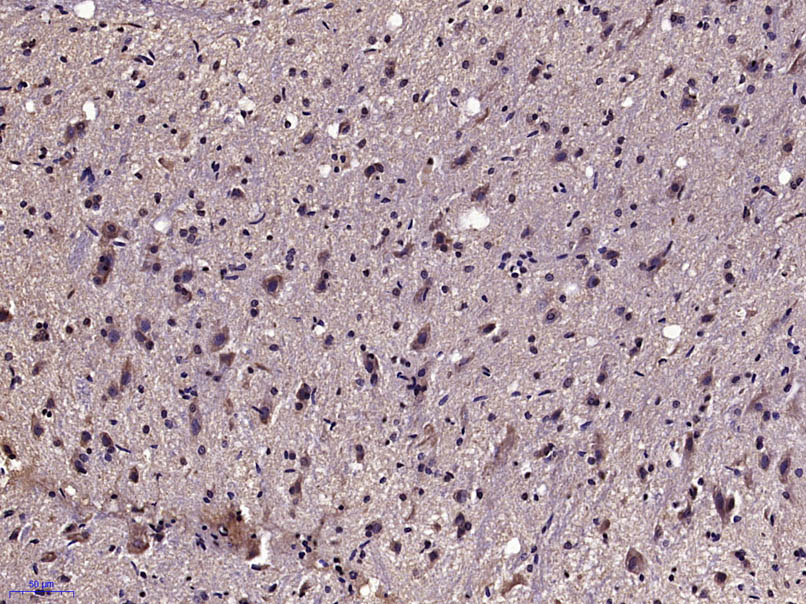
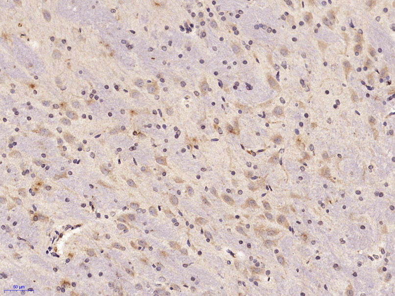
文献和实验[IF={{ 2.61 }}] {Yamamoto, Tsuneyuki, et al. "Hertwig’s epithelial root sheath cell behavior during initial acellular cementogenesis in rat molars." Histochemistry and Cell Biology (2014): 1-8.} {IHC} {="Rat"}
= NAL), appears to form upon oxidative cyclization of the nonfluorescent 2:1 lysine-HNE Michael adduct-Schiff base cross-link (Scheme 1). Polyclonal antibody (PAb) to the NAL-HNE fluorophore was raised in rabbit and found to be highly specific
Theoretical Aspects of the Quantitative Characterization of Ligand Binding
dependences of the binding function ( r ) upon free ligand concentration ( C S ) for various types of acceptor‐ligand interaction. Rectangular hyperbolic dependence (—) for an acceptor with two equivalent and independent sites ( K AS = K 1 = K 2 = K 3 = K
GE Healthcare Benzamidine Sepharose™ 6B is p-aminobenzamidine covalently attached to Sepharose 6B by the epoxy coupling method. p-Aminobenzamidine (PAB), is a synthetic inhibitor of trypsin-like serine protease. Trypsin and trypsin
技术资料暂无技术资料 索取技术资料






