Blank control(blue): mouse spleen cells (fixed with 2% Paraformaldehyde (10 min)).
Primary Antibody: Rabbit Anti- CD48 antibody(bs-2497R), Dilution: 1μg in 100 μL 1X PBS containing 0.5% BSA;
Isotype Control Antibody: Rabbit IgG(orange) ,used under the same conditions );
Secondary Antibody: Goat anti-rabbit IgG-PE(white blue), Dilution: 1:200 in 1 X PBS containing 0.5% BSA.
相关产品推荐更多 >

EGF Rabbit pAb, BF647 conjugated(bs-2008R-BF647)-100ul
¥2980
phospho-SCNN1B (Ser633) Rabbit pAb, Cy3 conjugated(bs-5702R-Cy3)-100ul
¥2980
SOD1 Rabbit pAb(bs-10216R)-50ul/100ul/200ul
¥1180
IL29 Rabbit pAb(bs-2629R)-50ul/100ul/200ul
¥1180
phospho-c-Kit (Tyr730) Rabbit pAb, APC conjugated(bs-12914R-APC)-100ul
¥2980
万千商家帮你免费找货
0 人在求购买到急需产品
- 详细信息
- 技术资料
- 应用范围:
产品信息以Bioss网站为准
- 规格:
50ul/100ul/200ul
| 规格: | 50ul | 产品价格: | ¥1180.0 |
|---|---|---|---|
| 规格: | 100ul | 产品价格: | ¥1980.0 |
| 规格: | 200ul | 产品价格: | ¥2800.0 |
| 产品编号 | bs-2497R |
| 英文名称 | CD48 Rabbit pAb |
| 中文名称 | CD48抗体 |
| 英文别名 | SLAMF2; Antigen CD48; Antigen CD48; B cell membrane protein; B lymphocyte activation marker BLAST 1 [Precursor]; B lymphocyte activation marker BLAST 1; B-lymphocyte activation marker BLAST-1; BCM 1 surface antigen; BCM1; BCM1 surface antigen; BCM1 surface antigen; BLAST 1; BLAST; BLAST1; BLAST1; CD 48; CD48 antigen(B cell membrane protein); CD48 antigen; CD48 molecule; CD48 protein; CD48_HUMAN; hCD48; Leucocyte antigen MEM 102; Leukocyte antigen MEM-102; mCD48; MEM 102; MEM102; SLAMF 2; TCT.1; TCT.1. |
| 产品应用 | IHC-P=1:100-500, IHC-F=1:100-500, IF=1:100-500, Flow-Cyt=1μg/Test Not yet tested in other applications. |
| 交叉反应 | Human, Mouse, Rat (Pig, Cow) |
| 抗体来源 | Rabbit |
| 免疫原 | KLH conjugated synthetic peptide derived from mouse CD48 |
| 亚型 | IgG |
| 性状 | Liquid |
| 纯化方法 | affinity purified by Protein A |
| 克隆类型 | Polyclonal |
| 理论分子量 | 22 kDa |
| 实际分子量 | 45 kDa |
| 浓度 | 1mg/ml |
| 储存液 | 0.01M TBS (pH7.4) with 1% BSA, 0.02% Proclin300 and 50% Glycerol. |
| 研究领域 | Immunology > Cell Type Markers > CD > Non-lineage |
| 亚细胞定位 | Cell membrane; Lipid-anchor, GPI-anchor. |
| 相似性 | Contains 1 Ig-like C2-type (immunoglobulin-like) domain.
Contains 1 Ig-like V-type (immunoglobulin-like) domain. |
| 功能 | Ligand for CD2. Might facilitate interaction between activated lymphocytes. Probably involved in regulating T-cell activation. |
| 保存条件 | Shipped at 4℃. Store at -20℃ for one year. Avoid repeated freeze/thaw cycles. |
| 注意事项 | This product as supplied is intended for research use only, not for use in human, therapeutic or diagnostic applications. |
| 背景资料 | This gene encodes a member of the CD2 subfamily of immunoglobulin-like receptors which includes SLAM (signaling lymphocyte activation molecules) proteins. The encoded protein is found on the surface of lymphocytes and other immune cells, dendritic cells and endothelial cells, and participates in activation and differentiation pathways in these cells. The encoded protein does not have a transmembrane domain, however, but is held at the cell surface by a GPI anchor via a C-terminal domain which maybe cleaved to yield a soluble form of the receptor. Multiple transcript variants encoding different isoforms have been found for this gene. [provided by RefSeq, Dec 2011] |
| 应用 | 推荐稀释比例 |
| {IHC-P} | {1:100-500} |
| {IHC-F} | {1:100-500} |
| {IF} | {1:100-500} |
| {Flow-Cyt} | {1μg/Test} |


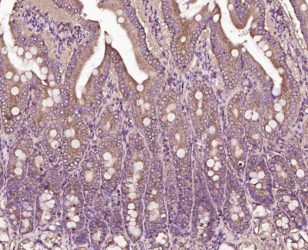
Paraformaldehyde-fixed, paraffin embedded (rat intestine); Antigen retrieval by boiling in sodium citrate buffer (pH6.0) for 15min; Block endogenous peroxidase by 3% hydrogen peroxide for 20 minutes; Blocking buffer (normal goat serum) at 37°C for 30min; Incubation with (KLK4 Rabbit pAb) Polyclonal Antibody, Unconjugated (bs-2497R) at 1:200 overnight at 4°C, followed by operating according to SP Kit(Rabbit) (sp-0023) instructionsand DAB staining.

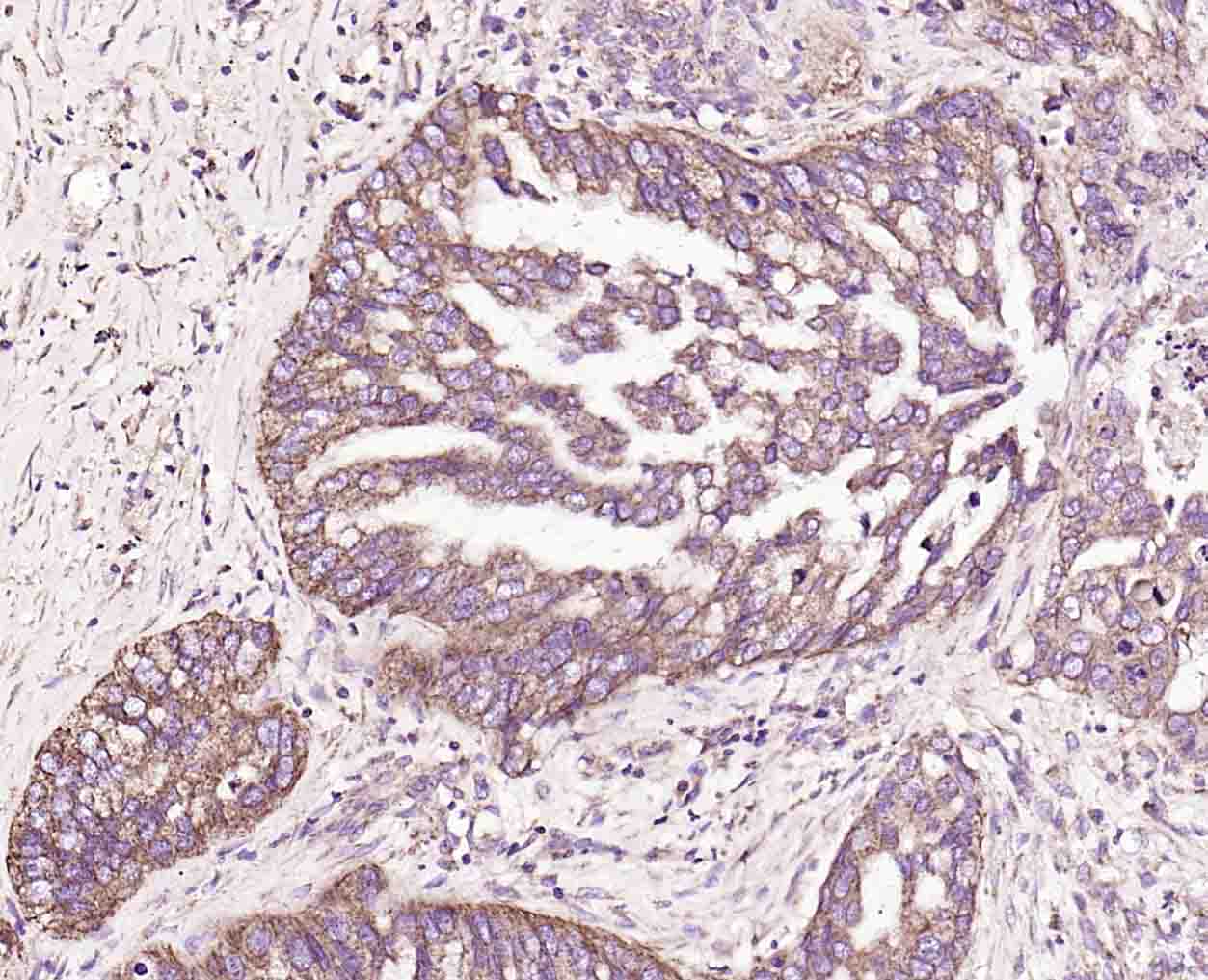
Paraformaldehyde-fixed, paraffin embedded (human lung carcinoma); Antigen retrieval by boiling in sodium citrate buffer (pH6.0) for 15min; Block endogenous peroxidase by 3% hydrogen peroxide for 20 minutes; Blocking buffer (normal goat serum) at 37°C for 30min; Incubation with (KLK4 Rabbit pAb) Polyclonal Antibody, Unconjugated (bs-2497R) at 1:200 overnight at 4°C, followed by operating according to SP Kit(Rabbit) (sp-0023) instructionsand DAB staining.

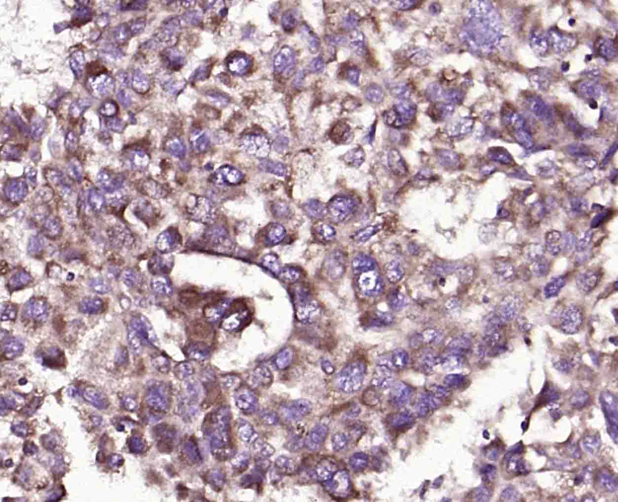
Paraformaldehyde-fixed, paraffin embedded (human liver carcinoma); Antigen retrieval by boiling in sodium citrate buffer (pH6.0) for 15min; Block endogenous peroxidase by 3% hydrogen peroxide for 20 minutes; Blocking buffer (normal goat serum) at 37°C for 30min; Incubation with (KLK4 Rabbit pAb) Polyclonal Antibody, Unconjugated (bs-2497R) at 1:200 overnight at 4°C, followed by operating according to SP Kit(Rabbit) (sp-0023) instructionsand DAB staining.
风险提示:丁香通仅作为第三方平台,为商家信息发布提供平台空间。用户咨询产品时请注意保护个人信息及财产安全,合理判断,谨慎选购商品,商家和用户对交易行为负责。对于医疗器械类产品,请先查证核实企业经营资质和医疗器械产品注册证情况。
技术资料暂无技术资料 索取技术资料
CD48 Rabbit pAb(bs-2497R)-50ul/100ul/200ul
¥1180 - 2800





