相关产品推荐更多 >

KRT81 Rabbit pAb, Biotin conjugated(bs-20249R-Bio)-100ul
¥2980
AP1M2 Rabbit pAb, Biotin conjugated(bs-13638R-Bio)-100ul
¥2980
DDX27 Rabbit pAb(bs-14223R)-50ul/100ul/200ul
¥1180
WWOX Rabbit pAb, BF594 conjugated(bs-0589R-BF594)-100ul
¥2980
MDR1/P Glycoprotein Rabbit pAb, PerCP-Cy5.5 conjugated(bs-1468R-PerCP-Cy5.5)-100ul
¥2980
万千商家帮你免费找货
0 人在求购买到急需产品
- 详细信息
- 文献和实验
- 技术资料
- 应用范围:
产品信息以Bioss网站为准
- 规格:
50ul/100ul/200ul
| 规格: | 50ul | 产品价格: | ¥1180.0 |
|---|---|---|---|
| 规格: | 100ul | 产品价格: | ¥1980.0 |
| 规格: | 200ul | 产品价格: | ¥2800.0 |
| 产品编号 | bs-10634R |
| 英文名称 | HLA Class 1 ABC /HLA ABC Rabbit pAb |
| 中文名称 | 人类白细胞抗原A抗体 |
| 英文别名 | 1A01_HUMAN; HLA A; HLA B; HLA C; HLAabc; HLA class 1 A; HLA class 1 B; HLA class 1 C; Major histocompatibility complex, class I, A+B+C; MHC class I HLA A; MHC class I HLA B; MHC class I HLA C; MHC HLA ABC. |
| 产品应用 | IHC-P=1:100-500, IHC-F=1:100-500, IF=1:100-500 Not yet tested in other applications. |
| 交叉反应 | Human |
| 抗体来源 | Rabbit |
| 免疫原 | KLH conjugated synthetic peptide derived from human HLA Class 1 ABC |
| 亚型 | IgG |
| 性状 | Liquid |
| 纯化方法 | affinity purified by Protein A |
| 克隆类型 | Polyclonal |
| 理论分子量 | 38 kDa |
| 浓度 | 1mg/ml |
| 储存液 | 0.01M TBS (pH7.4) with 1% BSA, 0.02% Proclin300 and 50% Glycerol. |
| 亚基 | Heterodimer of TAP1 and TAP2. Interacts with Epstein-Barr virus BNLF2a. Interacts with PSMB5 and PSMB8. Subcellular Location : Endoplasmic reticulum membrane; Multi-pass membrane protein. Note=The transmembrane segments seem to form a pore in the membrane. |
| 亚细胞定位 | Cell Membrane; Type I membrane protein. |
| 组织特异性 | Ubiquitous. |
| 翻译后修饰 | Polyubiquitinated in a post ER compartment by interaction with human herpesvirus 8 MIR1 protein. This targets the protein for rapid degradation via the ubiquitin system (By similarity). |
| 相似性 | Belongs to the ABC transporter superfamily. ABCB family. MHC peptide exporter (TC 3.A.1.209) subfamily. Contains 1 ABC transmembrane type-1 domain. Contains 1 ABC transporter domain. |
| 功能 | Involved in the transport of antigens from the cytoplasm to the endoplasmic reticulum for association with MHC class I molecules. Also acts as a molecular scaffold for the final stage of MHC class I folding, namely the binding of peptide. Nascent MHC class I molecules associate with TAP via tapasin. Inhibited by the covalent attachment of herpes simplex virus ICP47 protein, which blocks the peptide-binding site of TAP. Inhibited by human cytomegalovirus US6 glycoprotein, which binds to the lumenal side of the TAP complex and inhibits peptide translocation by specifically blocking ATP-binding to TAP1 and prevents the conformational rearrangement of TAP induced by peptide binding. Inhibited by human adenovirus E3-19K glycoprotein, which binds the TAP complex and acts as a tapasin inhibitor, preventing MHC class I/TAP association. Expression of TAP1 is down-regulated by human Epstein-Barr virus vIL-10 protein, thereby affecting the transport of peptides into the endoplasmic reticulum and subsequent peptide loading by MHC class I molecules. |
| 保存条件 | Shipped at 4℃. Store at -20℃ for one year. Avoid repeated freeze/thaw cycles. |
| 注意事项 | This product as supplied is intended for research use only, not for use in human, therapeutic or diagnostic applications. |
| 背景资料 | HLA-A belongs to the HLA class I heavy chain paralogues. This class I molecule is a heterodimer consisting of a heavy chain and a light chain (beta-2 microglobulin). The heavy chain is anchored in the membrane. Class I molecules play a central role in the immune system by presenting peptides derived from the endoplasmic reticulum lumen so that they can be recognized by cytotoxic T cells. They are expressed in nearly all cells. The heavy chain is approximately 45 kDa and its gene contains 8 exons. Exon 1 encodes the leader peptide, exons 2 and 3 encode the alpha1 and alpha2 domains, which both bind the peptide, exon 4 encodes the alpha3 domain, exon 5 encodes the transmembrane region, and exons 6 and 7 encode the cytoplasmic tail. Polymorphisms within exon 2 and exon 3 are responsible for the peptide binding specificity of each class one molecule. Typing for these polymorphisms is routinely done for bone marrow and kidney transplantation. More than 6000 HLA-A alleles have been described. The HLA system plays an important role in the occurrence and outcome of infectious diseases, including those caused by the malaria parasite, the Human immunodeficiency virus (HIV), and the Severe acute respiratory syndrome coronavirus (SARS-CoV). The structural spike and the nucleocapsid proteins of the novel coronavirus SARS-CoV-2, which causes coronavirus disease 2019 (COVID-19), are reported to contain multiple Class I epitopes with predicted HLA restrictions. Individual HLA genetic variation may help explain different immune responses to a virus across a population.[provided by RefSeq, Aug 2020] |
| 应用 | 推荐稀释比例 |
| {IHC-P} | {1:100-500} |
| {IHC-F} | {1:100-500} |
| {IF} | {1:100-500} |

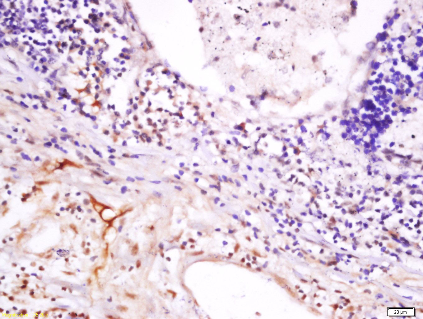
Antigen retrieval: citrate buffer ( 0.01M, pH 6.0 ), Boiling bathing for 15min; Block endogenous peroxidase by 3% Hydrogen peroxide for 30min; Blocking buffer (normal goat serum,C-0005) at 37℃ for 20 min;
Incubation: Anti-HLA ABC Polyclonal Antibody, Unconjugated(bs-10634R) 1:200, overnight at 4°C, followed by conjugation to the secondary antibody(SP-0023) and DAB(C-0010) staining

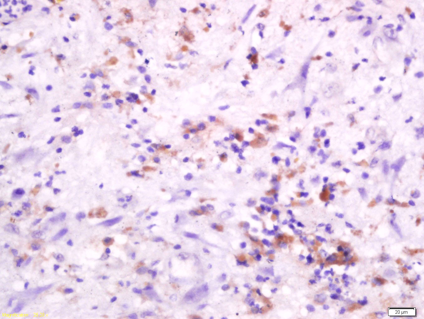
Antigen retrieval: citrate buffer ( 0.01M, pH 6.0 ), Boiling bathing for 15min; Blocking buffer (normal goat serum,C-0005) at 37℃ for 20 min;
Incubation: Anti-HLA ABC Polyclonal Antibody, Unconjugated(bs-10634R) 1:200, overnight at 4°C; The secondary antibody was Goat Anti-Rabbit IgG, Cy3 conjugated(bs-0295G-Cy3)used at 1:200 dilution for 40 minutes at 37°C. DAPI(5ug/ml,blue,C-0033) was used to stain the cell nuclei

Antigen retrieval: citrate buffer ( 0.01M, pH 6.0 ), Boiling bathing for 15min; Block endogenous peroxidase by 3% Hydrogen peroxide for 30min; Blocking buffer (normal goat serum,C-0005) at 37℃ for 20 min;
Incubation: Anti-HLA ABC Polyclonal Antibody, Unconjugated(bs-10634R) 1:200, overnight at 4°C, followed by conjugation to the secondary antibody(SP-0023) and DAB(C-0010) staining
风险提示:丁香通仅作为第三方平台,为商家信息发布提供平台空间。用户咨询产品时请注意保护个人信息及财产安全,合理判断,谨慎选购商品,商家和用户对交易行为负责。对于医疗器械类产品,请先查证核实企业经营资质和医疗器械产品注册证情况。
文献和实验Using Spectral Libraries for Peptide Identification from Tandem Mass Spectrometry (MS/MS) Data
Hunt, D.F. and Henderson, R.A. 1992. Characterization of peptides bound to the class I MHC molecule HLA‐A2.1 by mass spectrometry. Science 255:1261‐1263.
【资源】全面归类网址:毕赤酵母表达各种来源蛋白(细菌,真菌,植物,人类等)
, 300 mg/L, α-MF or native signal, active405, 420, 562Mast cell tryptaseS, 6.5 mg/L, α-MF[242, 243]Membrane Type 1 Matrix MetalloproteinaseS, 25mg/L, α-MF, active423, 542MHC class II heterodimers (soluble form/HLA-DR2)S, 400 mg/L, α-MF[244]MidkineS, α-MF
genome genetic and physical map data 78. IXDB http://ixdb.mpimg-berlin-dahlem.mpg.de/ Physical maps of human chromosome X 79. RHdb http://www.ebi.ac.uk/RHdb Radiation hybrid map data 80. The Unified Database http://bioinfo.weizmann.ac.il/udb
技术资料暂无技术资料 索取技术资料






