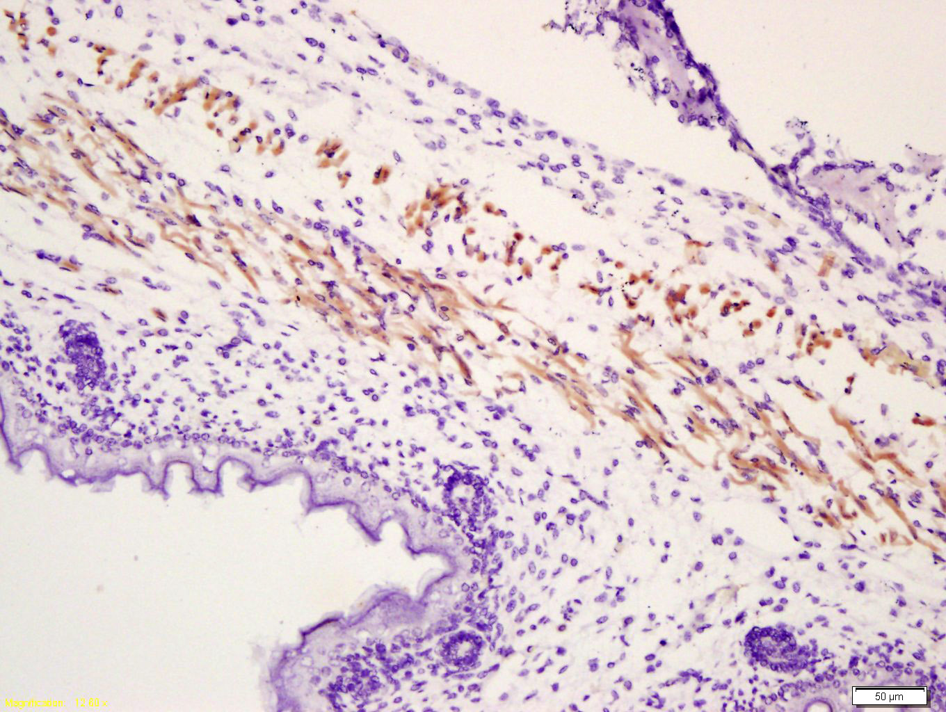
Tissue/cell: smooth muscle of mouse embryo; 4% Paraformaldehyde-fixed and paraffin-embedded;
Antigen retrieval: citrate buffer ( 0.01M, pH 6.0 ), Boiling bathing for 15min; Block endogenous peroxidase by 3% Hydrogen peroxide for 30min; Blocking buffer (normal goat serum,C-0005) at 37℃ for 20 min;
Incubation: Anti-Phospho-MYL(Ser19) Polyclonal Antibody, Unconjugated(bs-3295R) 1:200, overnight at 4°C, followed by conjugation to the secondary antibody(SP-0023) and DAB(C-0010) staining
相关产品推荐更多 >

HPV16 E6 Mouse mAb, HRP conjugated(bsm-0990M-HRP)-100ul
¥2980
EGFR Rabbit pAb(bs-43560R)-50ul/100ul/200ul
¥1180
phospho-Brk (Tyr447) Rabbit pAb, BF594 conjugated(bs-12890R-BF594)-100ul
¥2980
phospho-Beta catenin (Ser33 + Ser37) Rabbit pAb(bs-3084R)-50ul/100ul/200ul
¥1180
H2AX (Ubiquityl Lys119) Rabbit pAb, FITC conjugated(bs-8571R-FITC)-100ul
¥2980
万千商家帮你免费找货
0 人在求购买到急需产品
- 详细信息
- 技术资料
- 应用范围:
产品信息以Bioss网站为准
- 规格:
50ul/100ul/200ul
| 规格: | 50ul | 产品价格: | ¥1180.0 |
|---|---|---|---|
| 规格: | 100ul | 产品价格: | ¥1980.0 |
| 规格: | 200ul | 产品价格: | ¥2800.0 |
| 产品编号 | bs-3295R |
| 英文名称 | phospho-MYL (Ser19) Rabbit pAb |
| 中文名称 | 磷酸化心脏肌球蛋白轻链2抗体 |
| 英文别名 | Cardiac myosin light chain-2; Cardiac ventricular myosin light chain 2; CMH10; MLC 2v; MLC2; MYL 2; Myosin light chain 2 regulatory cardiac slow; Myosin light polypeptide 2 regulatory cardiac slow; Myosin regulatory light chain 2 ventricular cardiac muscle isoform; Myosin regulatory light chain 2; ventricular/cardiac muscle isoform; Regulatory light chain of myosin; RLC of myosin; Slow cardiac myosin regulatory light chain 2; MLRV_HUMAN. |
| 产品应用 | WB=1:500-2000, IHC-P=1:100-500, IHC-F=1:100-500, IF=1:100-500 Not yet tested in other applications. |
| 交叉反应 | Mouse, Rat (Human, Chicken, Dog, Pig, Cow, Horse, Rabbit, Sheep) |
| 抗体来源 | Rabbit |
| 免疫原 | KLH conjugated Synthesised phosphopeptide derived from human MYL2 around the phosphorylation site of Ser19 |
| 亚型 | IgG |
| 性状 | Liquid |
| 纯化方法 | affinity purified by Protein A |
| 克隆类型 | Polyclonal |
| 理论分子量 | 18 kDa |
| 浓度 | 1mg/ml |
| 储存液 | 0.01M TBS (pH7.4) with 1% BSA, 0.02% Proclin300 and 50% Glycerol. |
| 研究领域 | Cardiovascular > Heart > Contractility > Contractile Proteins > Myosins Signal Transduction > Cytoskeleton / ECM > Cytoskeleton > Motor Proteins > Myosin |
| 亚基 | Myosin is a hexamer of 2 heavy chains and 4 light chains. |
| 亚细胞定位 | Cytoplasm, myofibril, sarcomere, A band |
| 组织特异性 | Expressed in fetal and adult skeletal muscle. |
| 翻译后修饰 | N-terminus is methylated by METTL11A/NTM1. |
| 相似性 | Contains 3 EF-hand domains. |
| 功能 | Myosin regulatory subunit that plays an important role in regulation of both smooth muscle and nonmuscle cell contractile activity via its phosphorylation. Implicated in cytokinesis, receptor capping, and cell locomotion. |
| 保存条件 | Shipped at 4℃. Store at -20℃ for one year. Avoid repeated freeze/thaw cycles. |
| 注意事项 | This product as supplied is intended for research use only, not for use in human, therapeutic or diagnostic applications. |
| 背景资料 | Thus gene encodes the regulatory light chain associated with cardiac myosin beta (or slow) heavy chain. Ca+ triggers the phosphorylation of regulatory light chain that in turn triggers contraction. Mutations in this gene are associated with mid-left ventricular chamber type hypertrophic cardiomyopathy. [provided by RefSeq, Jul 2008] |
| 应用 | 推荐稀释比例 |
| {WB} | {1:500-2000} |
| {IHC-P} | {1:100-500} |
| {IHC-F} | {1:100-500} |
| {IF} | {1:100-500} |


Sample:
Heart (Rat) Lysate at 40 ug
Primary: Anti-Phospho-MYL(Ser19) (bs-3295R) at 1/500 dilution
Secondary: IRDye800CW Goat Anti-Rabbit IgG at 1/20000 dilution
Predicted band size: 18 kD
Observed band size: 18 kD
Heart (Rat) Lysate at 40 ug
Primary: Anti-Phospho-MYL(Ser19) (bs-3295R) at 1/500 dilution
Secondary: IRDye800CW Goat Anti-Rabbit IgG at 1/20000 dilution
Predicted band size: 18 kD
Observed band size: 18 kD
风险提示:丁香通仅作为第三方平台,为商家信息发布提供平台空间。用户咨询产品时请注意保护个人信息及财产安全,合理判断,谨慎选购商品,商家和用户对交易行为负责。对于医疗器械类产品,请先查证核实企业经营资质和医疗器械产品注册证情况。
技术资料暂无技术资料 索取技术资料
phospho-MYL (Ser19) Rabbit pAb(bs-3295R)-50ul/100ul/200ul
¥1180 - 2800





