相关产品推荐更多 >

POU6F1/BRN5 Rabbit pAb(bs-21049R)-50ul/100ul/200ul
¥1180
DNase gamma Rabbit pAb, Biotin conjugated(bs-24731R-Bio)-100ul
¥2980
Anti-human Complement Factor D (Lampalizumab Biosimilar)(BIO0522SM)-1mg/5mg/20mg
¥3200
FAIM3 Rabbit pAb, Biotin conjugated(bs-20130R-Bio)-100ul
¥2980
Meningioma 1/MN1 Rabbit pAb(bs-17691R)-50ul/100ul/200ul
¥1180
万千商家帮你免费找货
0 人在求购买到急需产品
- 详细信息
- 文献和实验
- 技术资料
- 应用范围:
产品信息以Bioss网站为准
- 规格:
50ul/100ul/200ul
| 规格: | 50ul | 产品价格: | ¥1180.0 |
|---|---|---|---|
| 规格: | 100ul | 产品价格: | ¥1980.0 |
| 规格: | 200ul | 产品价格: | ¥2800.0 |
| 产品编号 | bs-2775R |
| 英文名称 | LIMK1 Rabbit pAb |
| 中文名称 | 单丝氨酸蛋白激酶1抗体 |
| 英文别名 | EC 2.7.11.1; LIM domain kinase 1; LIM motif-containing protein kinase; LIMK; LIMK-1; LIMK2; LIMK-2; LIM domain kinase 2; LIMK1_HUMAN. |
| 产品应用 | WB=1:500-2000, IHC-P=1:20-100, IHC-F=1:20-100, IF=1:20-100, Flow-Cyt=1ug/Test Not yet tested in other applications. |
| 交叉反应 | Human, Mouse, Rat, Hela (Cow, Rabbit) |
| 抗体来源 | Rabbit |
| 免疫原 | KLH conjugated synthetic peptide derived from human LIMK1 |
| 亚型 | IgG |
| 性状 | Liquid |
| 纯化方法 | affinity purified by Protein A |
| 克隆类型 | Polyclonal |
| 理论分子量 | 71 kDa |
| 浓度 | 1mg/ml |
| 储存液 | 0.01M TBS (pH7.4) with 1% BSA, 0.02% Proclin300 and 50% Glycerol. |
| 研究领域 | Cancer > Signal transduction Epigenetics and Nuclear Signaling > Transcription > Domain Families > Developmental Families > LIM Neuroscience > Neurology process > Neural Signal Transduction |
| 亚基 | Interacts (via LIM domain) with the cytoplasmic domain of NRG1. Interacts with NISCH. Interacts with RLIM and RNF6. Self-associates to form homodimers. Interacts with HSP90AA1; this interaction promotes LIMK1 dimerization and subsequent transphosphorylation. Interacts with CDN1C. Interacts with SSH1. Interacts with ROCK1. |
| 亚细胞定位 | Cytoplasm. Nucleus. Note=Predominantly found in the cytoplasm. |
| 组织特异性 | Highest expression in both adult and fetal nervous system. Detected ubiquitously throughout the different regions of adult brain, with highest levels in the cerebral cortex. Expressed to a lesser extent in heart and skeletal muscle. |
| 翻译后修饰 | Autophosphorylated. Phosphorylated on Thr-508 by ROCK1 and PAK1, resulting in activation. Phosphorylated by PAK4 which increases the ability of LIMK1 to phosphorylate cofilin. Phosphorylated at Ser-323 by MAPKAPK2 during activation of VEGFA-induced signaling, which results in activation of LIMK1 and promotion of actin reorganization, cell migration, and tubule formation of endothelial cells. Dephosphorylated and inactivated by SSH1. Phosphorylated by CDC42BP.
Ubiquitinated. 'Lys-48'-linked polyubiquitination by RNF6 leads to proteasomal degradation through the 26S proteasome, modulating LIMK1 levels in the growth cone and its effect on axonal outgrowth. Also polyubiquitinated by RLIM. |
| 相似性 | Belongs to the protein kinase superfamily. TKL Ser/Thr protein kinase family.
Contains 2 LIM zinc-binding domains. Contains 1 PDZ (DHR) domain. Contains 1 protein kinase domain. |
| 功能 | Serine/threonine-protein kinase that plays an essential role in the regulation of actin filament dynamics. Acts downstream of several Rho family GTPase signal transduction pathways. Activated by upstream kinases including ROCK1, PAK1 and PAK4, which phosphorylate LIMK1 on a threonine residue located in its activation loop. LIMK1 subsequently phosphorylates and inactivates the actin binding/depolymerizing factors cofilin-1/CFL1, cofilin-2/CFL2 and destrin/DSTN, thereby preventing the cleavage of filamentous actin (F-actin), and stabilizing the actin cytoskeleton. In this way LIMK1 regulates several actin-dependent biological processes including cell motility, cell cycle progression, and differentiation. Phosphorylates TPPP on serine residues, thereby promoting microtubule disassembly. Stimulates axonal outgrowth and may be involved in brain development. Isoform 3 has a dominant negative effect on actin cytoskeletal changes. |
| 保存条件 | Shipped at 4℃. Store at -20℃ for one year. Avoid repeated freeze/thaw cycles. |
| 注意事项 | This product as supplied is intended for research use only, not for use in human, therapeutic or diagnostic applications. |
| 背景资料 | LIMK1 is a protein kinase which regulates actin filament dynamics. Phosphorylates and inactivates the actin binding/depolymerizing factor cofilin, thereby stabilizing the actin cytoskeleton. LIMK1 may be involved in brain development; it is highly expressed in both adult and fetal nervous system. Detected ubiquitously throughout the different regions of adult brain, with highest levels in the cerebral cortex. Expressed to a lesser extent in heart and skeletal muscle. |
| 应用 | 推荐稀释比例 |
| {WB} | {1:500-2000} |
| {IHC-P} | {1:20-100} |
| {IHC-F} | {1:20-100} |
| {IF} | {1:20-100} |
| {Flow-Cyt} | {1ug/Test} |

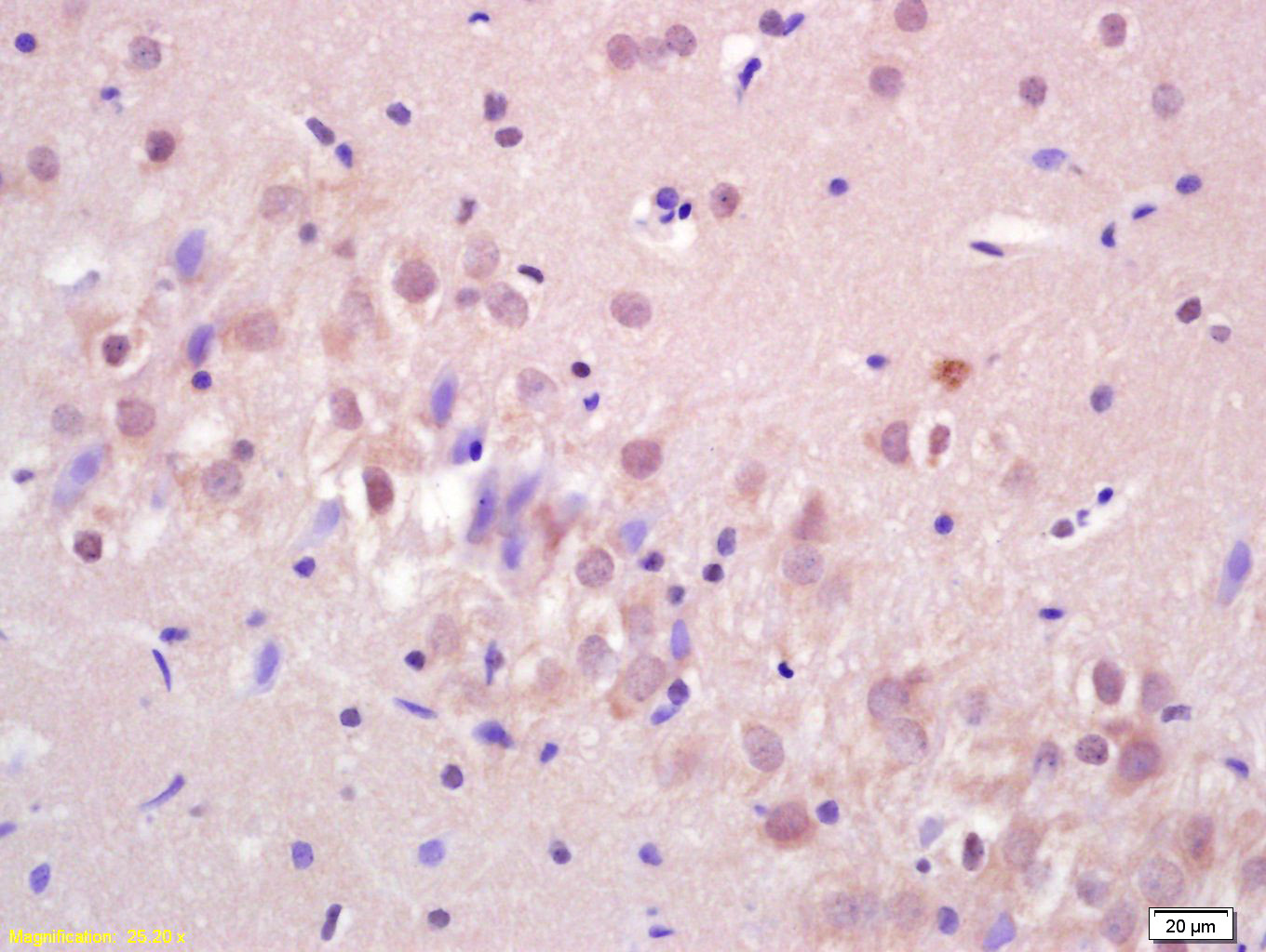
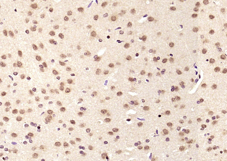
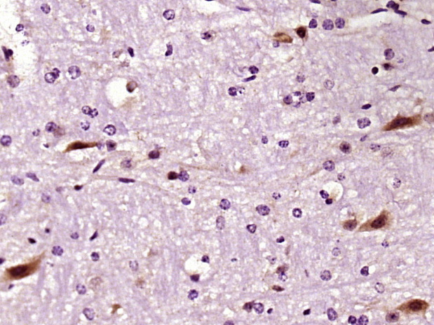
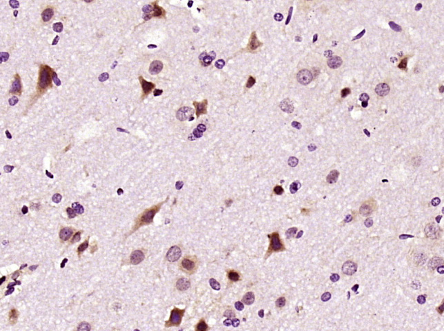
Antigen retrieval: citrate buffer ( 0.01M, pH 6.0 ), Boiling bathing for 15min; Block endogenous peroxidase by 3% Hydrogen peroxide for 30min; Blocking buffer (normal goat serum,C-0005) at 37℃ for 20 min;
Incubation: Anti-LIMK1 Polyclonal Antibody, Unconjugated(bs-2775R) 1:200, overnight at 4°C, followed by conjugation to the secondary antibody(SP-0023) and DAB(C-0010) staining





Spinal cord (Mouse) Lysate at 40 ug
Primary: Anti-LIMK1 (bs-2775R) at 1/1000 dilution
Secondary: IRDye800CW Goat Anti-Rabbit IgG at 1/20000 dilution
Predicted band size: 71 kD
Observed band size: 75 kD

Primary Antibody (green line): Rabbit Anti-LIMK1 antibody (bs-2775R)
Dilution:1ug/Test;
Secondary Antibody(white blue line): Goat anti-rabbit IgG-FITC
Dilution: 0.5ug/Test.
Isotype control(orange line): Normal Rabbit IgG
Protocol
The cells were fixed with 4% PFA (10min at room temperature)and then permeabilized with 90% ice-cold methanol for 20 min at -20℃, The cells were then incubated in 5%BSA to block non-specific protein-protein interactions for 30 min at room temperature .Cells stained with Primary Antibody for 30 min at room temperature. The secondary antibody used for 40 min at room temperature. Acquisition of 20,000 events was performed.
风险提示:丁香通仅作为第三方平台,为商家信息发布提供平台空间。用户咨询产品时请注意保护个人信息及财产安全,合理判断,谨慎选购商品,商家和用户对交易行为负责。对于医疗器械类产品,请先查证核实企业经营资质和医疗器械产品注册证情况。
文献和实验[IF={{ 3.29 }}] {Zhou et al. MiR-20a inhibits cutaneous squamous cell carcinoma metastasis and proliferation by directly targeting LIMK1. (2014) Cancer.Biol.Ther. 15:1340-9} {WB} {Human}
[IF={{ 2.894 }}] {Wufuer R et al. Downregulation of Rac1/PAK1/LIMK1/cofilin signaling pathway in colon cancer SW620 cells treated with Chlorin e6 photodynamic therapyPhotodiagnosis Photodyn Ther.2020 Dec 8;102143.} {WB} {Human}
[IF={{ 2.8 }}] {Hongwei Li. et al. Integrated transcriptomic and proteomic analyses reveal the effects of chronic benzene exposure on the central nervous system in mice. TOXICOL MECH METHOD. 2024 八月 09} {IHC} {Mouse}
= NAL), appears to form upon oxidative cyclization of the nonfluorescent 2:1 lysine-HNE Michael adduct-Schiff base cross-link (Scheme 1). Polyclonal antibody (PAb) to the NAL-HNE fluorophore was raised in rabbit and found to be highly specific
GE Healthcare Benzamidine Sepharose™ 6B is p-aminobenzamidine covalently attached to Sepharose 6B by the epoxy coupling method. p-Aminobenzamidine (PAB), is a synthetic inhibitor of trypsin-like serine protease. Trypsin and trypsin
Nucleic Acid Programmable Protein Arrays: Versatile Tools for Array‐Based Functional Protein Studies
.g., Sigma) 50 mg/ml bis‐sulfosuccinimdylsuberate (BS3 ;Pierce, cat. no. PI 21580) in dimethylsulfoxide (DMSO) 5 mg/ml
技术资料暂无技术资料 索取技术资料





