相关产品推荐更多 >

ELK1 Rabbit pAb, Cy3 conjugated(bs-1398R-Cy3)-100ul
¥2980
GABRA2 Rabbit pAb(bs-12061R)-50ul/100ul/200ul
¥1180
phospho-NFKB1 (Ser373) Rabbit pAb, PE conjugated(bs-20075R-PE)-100ul
¥2980
Perforin Rabbit pAb, Biotin conjugated(bs-7128R-Bio)-100ul
¥2980
phospho-PKC gamma (Thr514) Rabbit pAb(bs-3729R)-50ul/100ul/200ul
¥1180
万千商家帮你免费找货
0 人在求购买到急需产品
- 详细信息
- 文献和实验
- 技术资料
- 应用范围:
产品信息以Bioss网站为准
- 规格:
50ul/100ul/200ul
| 规格: | 50ul | 产品价格: | ¥1180.0 |
|---|---|---|---|
| 规格: | 100ul | 产品价格: | ¥1980.0 |
| 规格: | 200ul | 产品价格: | ¥2800.0 |
| 产品编号 | bs-10680R |
| 英文名称 | NF-H Rabbit pAb |
| 中文名称 | 高分子量神经丝蛋白抗体 |
| 英文别名 | NFH_HUMAN; Neurofilament heavy polypeptide; NEFH; KIAA0845; NFH; NF H; NF200; NF-200; Neurofilament 200; 200 kDa neurofilament protein; Neurofilament triplet H protein; Neurofilament H; Neurofilament heavy polypeptide 200kD; |
| 产品应用 | IHC-P=1:100-500, IHC-F=1:100-500, ICC/IF=1:100-500, IF=1:100-500, Flow-Cyt=1:ug/Test Not yet tested in other applications. |
| 交叉反应 | Human, Rat (Mouse, Dog, Pig, Cow, Rabbit, Sheep) |
| 抗体来源 | Rabbit |
| 免疫原 | KLH conjugated synthetic peptide derived from human NF-H |
| 亚型 | IgG |
| 性状 | Liquid |
| 纯化方法 | affinity purified by Protein A |
| 克隆类型 | Polyclonal |
| 理论分子量 | 118 kDa |
| 实际分子量 | 200 kDa |
| 浓度 | 1mg/ml |
| 储存液 | 0.01M TBS (pH7.4) with 1% BSA, 0.02% Proclin300 and 50% Glycerol. |
| 研究领域 | Neuroscience > Cell Adhesion Proteins > Cytoskeletal Proteins > Intermediate Filaments Neuroscience > Cell Type Marker > Neuron marker > Axon marker Neuroscience > Neurology process > Neurodegenerative disease Neuroscience > Neurology process > Neurodegenerative disease > Alzheimer's disease Signal Transduction > Cytoskeleton / ECM > Cytoskeleton > Intermediate Filaments > Class IV > Neurofilaments |
| 翻译后修饰 | There are a number of repeats of the tripeptide K-S-P, NFH is phosphorylated on a number of the serines in this motif. It is thought that phosphorylation of NFH results in the formation of interfilament cross bridges that are important in the maintenance of axonal caliber.
Phosphorylation seems to play a major role in the functioning of the larger neurofilament polypeptides (NF-M and NF-H), the levels of phosphorylation being altered developmentally and coincident with a change in the neurofilament function. Phosphorylated in the Head and Rod regions by the PKC kinase PKN1, leading to inhibit polymerization. |
| 相似性 | Belongs to the intermediate filament family. |
| 功能 | Neurofilaments usually contain three intermediate filament proteins: L, M, and H which are involved in the maintenance of neuronal caliber. NF-H has an important function in mature axons that is not subserved by the two smaller NF proteins. |
| 保存条件 | Shipped at 4℃. Store at -20℃ for one year. Avoid repeated freeze/thaw cycles. |
| 注意事项 | This product as supplied is intended for research use only, not for use in human, therapeutic or diagnostic applications. |
| 背景资料 | Neurofilaments can be defined as the intermediate or 10nm filaments found in specifically in neuronal cells. When visualised using an electron microscope, neurofilaments appear as 10nm diameter fibres of indeterminate length that generally have fine wispy protrusions from their sides. They are particularly abundant in axons of large projection neurons. They probably function to provide structural support for neurons and their synapses and to support the large axon diameters required for rapid conduction of impulses down axons. Neurofilaments are composed of a mixture of subunits, which usually includes the three neurofilament triplet proteins neurofilament light (NFL), neurofilament medium (NFM) and neurofilament heavy (NFH). Neurofilaments may also include smaller amounts of peripherin, alpha internexin, nestin and in some cases vimentin. Antibodies to the various neurofilament subunits are very useful cell type markers since the proteins are among the most abundant of the nervous system, are expressed only in neurons, and are biochemically very stable. Some studies have shown that levels of neurofilament heavy and neurofilament light are elevated in patients with Alzheimer's disease, frontotemporal lobe dementia, and vascular dementia. |
| 应用 | 推荐稀释比例 |
| {IHC-P} | {1:100-500} |
| {IHC-F} | {1:100-500} |
| {ICC/IF} | {1:100-500} |
| {IF} | {1:100-500} |
| {Flow-Cyt} | {1:ug/Test} |

Primary Antibody (green line):Rabbit Anti-NF-H antibody (bs-10680R)
Dilution:1μg /10^6 cells;
Isotype Control Antibody (orange line): Rabbit IgG .
Secondary Antibody (white blue line): Goat anti-rabbit IgG-AF647
Dilution: 1μg /test.
Protocol
The cells were fixed with 4% PFA (10min at room temperature)and then permeabilized with 90% ice-cold methanol for 20 min at room temperature. The cells were then incubated in 5%BSA to block non-specific protein-protein interactions for 30 min at room temperature .Cells stained with Primary Antibody for 30 min at room temperature. The secondary antibody used for 40 min at room temperature. Acquisition of 20,000 events was performed.


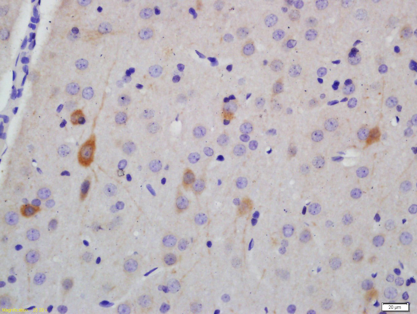
Antigen retrieval: citrate buffer ( 0.01M, pH 6.0 ), Boiling bathing for 15min; Block endogenous peroxidase by 3% Hydrogen peroxide for 30min; Blocking buffer (normal goat serum,C-0005) at 37℃ for 20 min;
Incubation: Anti-NF-H Polyclonal Antibody, Unconjugated(bs-10680R) 1:200, overnight at 4°C, followed by conjugation to the secondary antibody(SP-0023) and DAB(C-0010) staining
风险提示:丁香通仅作为第三方平台,为商家信息发布提供平台空间。用户咨询产品时请注意保护个人信息及财产安全,合理判断,谨慎选购商品,商家和用户对交易行为负责。对于医疗器械类产品,请先查证核实企业经营资质和医疗器械产品注册证情况。
文献和实验[IF={{ 3.37 }}] {Liu, Yi, et al. "Conserved Dopamine Neurotrophic Factor-Transduced Mesenchymal Stem Cells Promote Axon Regeneration and Functional Recovery of Injured Sciatic Nerve." PLOS ONE 9.10 (2014): e110993.} {IHC} {="Rat"}
[IF={{ 3.3 }}] {Juan Zhang. et al.Up-regulation of miR-10a-5p expression inhibits the proliferation and differentiation of neural stem cells by targeting Chl1.Acta Biochimica et Biophysica Sinica.2024 Jun 5;56(10):1483-1497.} {ICC} {Mouse}
[IF={{ 3.26 }}] {Liu, Xin-Qi, et al. "Regulation of neuroendocrine cells and neuron factors in the ovary by zinc oxide nanoparticles." Toxicology Letters (2016).} {IHC} {="Chicken"}
[IF={{ 2.9 }}] {Jinjie Ma. et al.The potential role of SCF combined with DPCs in facial nerve repair.JOURNAL OF MOLECULAR HISTOLOGY.2025 Jan 7;56(1):67.} {IF} {Rabbit}
[IF={{ 2.276 }}] {Zhang Heng. et al. Bone Morphogenetic Protein-7 (BMP-7) Promotes Neuronal Differentiation of Bone Marrow Mesenchymal Stem Cells (BMSCs) In Vitro. Biomed Res Int. 2021;2021:7239783} {WB,IF,ICC} {}
= NAL), appears to form upon oxidative cyclization of the nonfluorescent 2:1 lysine-HNE Michael adduct-Schiff base cross-link (Scheme 1). Polyclonal antibody (PAb) to the NAL-HNE fluorophore was raised in rabbit and found to be highly specific
GE Healthcare Benzamidine Sepharose™ 6B is p-aminobenzamidine covalently attached to Sepharose 6B by the epoxy coupling method. p-Aminobenzamidine (PAB), is a synthetic inhibitor of trypsin-like serine protease. Trypsin and trypsin
Nucleic Acid Programmable Protein Arrays: Versatile Tools for Array‐Based Functional Protein Studies
.g., Sigma) 50 mg/ml bis‐sulfosuccinimdylsuberate (BS3 ;Pierce, cat. no. PI 21580) in dimethylsulfoxide (DMSO) 5 mg/ml
技术资料暂无技术资料 索取技术资料






