相关产品推荐更多 >
万千商家帮你免费找货
0 人在求购买到急需产品
- 详细信息
- 文献和实验
- 技术资料
- 应用范围:
产品信息以Bioss网站为准
- 规格:
50ul/100ul/200ul
| 规格: | 50ul | 产品价格: | ¥1180.0 |
|---|---|---|---|
| 规格: | 100ul | 产品价格: | ¥1980.0 |
| 规格: | 200ul | 产品价格: | ¥2800.0 |
| 产品编号 | bs-0541R |
| 英文名称 | CAMK2A + CAMK2B + CAMK2D Rabbit pAb |
| 中文名称 | 钙/钙调素依赖蛋白激酶2b/2γ抗体 |
| 英文别名 | CaMK2 beta+gamma+delta; CaMK2 beta; CaMK2 gamma; CaMK2 delta; CAMK2G; Calcium/calmodulin dependent protein kinase(CaM kinase) II beta; Calcium/calmodulin dependent protein kinase II beta; Calcium/calmodulin dependent protein kinase IIB; Calcium/calmodulin dependent protein kinase type II beta chain; CAM 2; CaM kinase II beta chain; CaM kinase II beta subunit; CAM2; CAMK 2; CAMK 2B; CaMK II beta subunit; CaMK II subunit beta; CAMK2; CaMK2 beta; CAMK2B; CAMKB; CaMKII beta subunit; CaMKIIB; MGC29528; Proline rich calmodulin dependent protein kinase; CaM kinase II; Calcium/calmodulin-dependent protein; CaM kinase II gamma subunit; CaM-kinase II gamma chain; CaM kinase II delta subunit; CaM-kinase II delta chain; CAM2; CAMK; CAMK-II; CAMK2D; CAMK2G; CAMK2N2; CAMKD; CAMKG; KCC2B; kinase CaMK2-beta. |
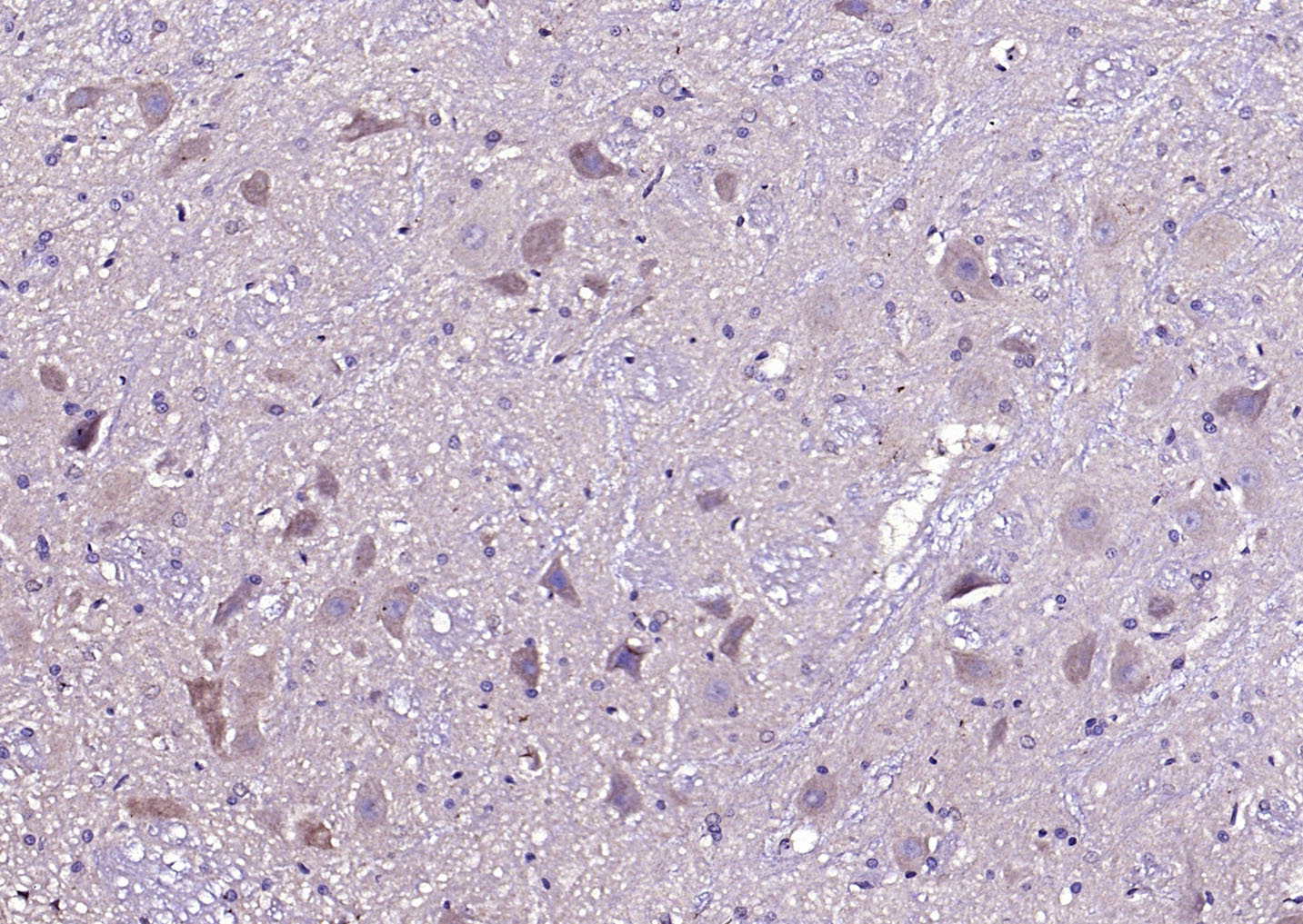
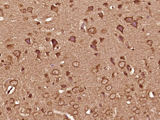
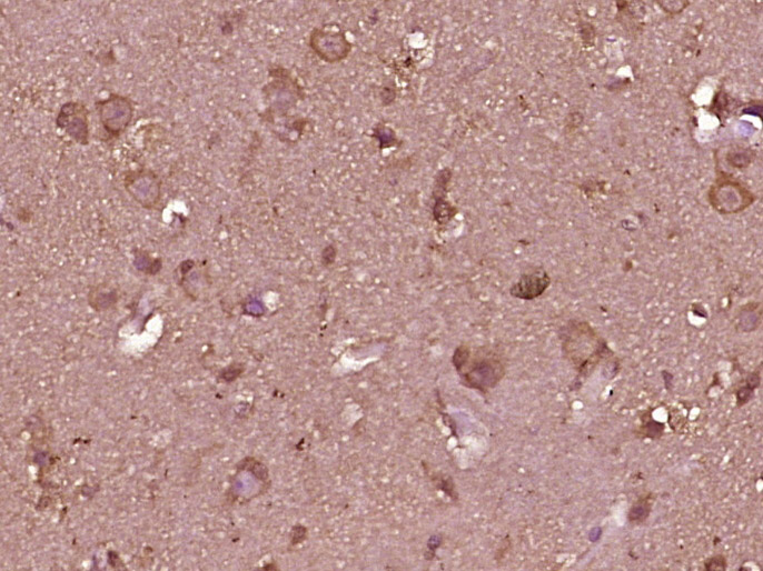
| 产品应用 | IHC-P=1:100-500, IHC-F=1:100-500, ICC/IF=1:100-500, IF=1:100-500 Not yet tested in other applications. |
| 交叉反应 | Human, Mouse, Rat |
| 抗体来源 | Rabbit |
| 免疫原 | KLH conjugated synthetic peptide derived from human CaMK2 beta/ gamma/ delta |
| 亚型 | IgG |
| 性状 | Liquid |
| 纯化方法 | affinity purified by Protein A |
| 克隆类型 | Polyclonal |
| 理论分子量 | 53-73 kDa |
| 浓度 | 1mg/ml |
| 储存液 | 0.01M TBS (pH7.4) with 1% BSA, 0.02% Proclin300 and 50% Glycerol. |
| 研究领域 | Cancer > Cancer Metabolism > Response to hypoxia Cardiovascular > Heart > Hypertrophy Metabolism > Pathways and Processes > Metabolism processes > Hypoxia Neuroscience > Neurotransmission > Calcium Signaling > Calmodulin / CaMK |
| 亚基 | CAMK2 is composed of four different chains: alpha, beta, gamma, and delta. The different isoforms assemble into homo- or heteromultimeric holoenzymes composed of 8 to 12 subunits. Interacts with BAALC, MPDZ, SYN1, CAMK2N2 and SYNGAP1. |
| 亚细胞定位 | Cell junction, synapse, presynaptic cell membrane. Cell junction, synapse. Note=Postsynaptic lipid rafts. |
| 组织特异性 | Widely expressed. Expressed in adult and fetal brain. Expression is slightly lower in fetal brain. Expressed in skeletal muscle. |
| 翻译后修饰 | Autophosphorylation of Thr-287 following activation by Ca(2+)/calmodulin. Phosphorylation of Thr-287 locks the kinase into an activated state. |
| 相似性 | Belongs to the protein kinase superfamily. CAMK Ser/Thr protein kinase family. CaMK subfamily. Contains 1 protein kinase domain. |
| 功能 | CaM-kinase II (CAMK2) is a prominent kinase in the central nervous system that may function in long-term potentiation and neurotransmitter release. Member of the NMDAR signaling complex in excitatory synapses it may regulate NMDAR-dependent potentiation of the AMPAR and synaptic plasticity. |
| 保存条件 | Shipped at 4℃. Store at -20℃ for one year. Avoid repeated freeze/thaw cycles. |
| 注意事项 | This product as supplied is intended for research use only, not for use in human, therapeutic or diagnostic applications. |
| 背景资料 | bs-0541P is one synthetic peptide derived from human CaMK2 beta/ gamma/ delta.The product of this gene belongs to the serine/threonine protein kinase family and to the Ca(2+)/calmodulin-dependent protein kinase subfamily. Calcium signaling is crucial for several aspects of plasticity at glutamatergic synapses. In mammalian cells, the enzyme is composed of four different chains: alpha, beta, gamma, and delta. The product of this gene is a beta chain. It is possible that distinct isoforms of this chain have different cellular localizations and interact differently with calmodulin. Eight transcript variants encoding eight distinct isoforms have been identified for this gene. [provided by RefSeq, Jul 2008]. |
| 应用 | 推荐稀释比例 |
| {IHC-P} | {1:100-500} |
| {IHC-F} | {1:100-500} |
| {ICC/IF} | {1:100-500} |
| {IF} | {1:100-500} |





风险提示:丁香通仅作为第三方平台,为商家信息发布提供平台空间。用户咨询产品时请注意保护个人信息及财产安全,合理判断,谨慎选购商品,商家和用户对交易行为负责。对于医疗器械类产品,请先查证核实企业经营资质和医疗器械产品注册证情况。
文献和实验[IF={{ 3.457 }}] {Li W et al. Upregulation of MMP-9 and CaMKII prompts cardiac electrophysiological changes that predispose denervated transplanted hearts to arrhythmogenesis after prolonged cold ischemic storage. Biomed Pharmacother. 2019 Feb 20;112:108641.} {WB} {Rat}
[IF={{ 2.088 }}] {Wen Jiang. et al. Hirsutine ameliorates myocardial ischemia-reperfusion injury through improving mitochondrial function via CaMKII pathway. CLIN EXP HYPERTENS. 2023;45(1):Article: 2192444} {WB} {Rat}
技术资料暂无技术资料 索取技术资料







