相关产品推荐更多 >

Metallothionein 3 Rabbit pAb, RBITC conjugated(bs-4940R-RBITC)-100ul
¥2980
PLA2G4E Rabbit pAb, AP conjugated(bs-4491R-AP)-100ul
¥2980
Rb Rabbit pAb, Biotin conjugated(bs-22267R-Bio)-100ul
¥2980
H2AX Rabbit pAb, BF647 conjugated(bs-2560R-BF647)-100ul
¥2980
Amyloid Precursor Protein Rabbit pAb, PE conjugated(bs-0112R-PE)-100ul
¥2980
万千商家帮你免费找货
0 人在求购买到急需产品
- 详细信息
- 文献和实验
- 技术资料
- 应用范围:
产品信息以Bioss网站为准
- 规格:
50ul/100ul/200ul
| 规格: | 50ul | 产品价格: | ¥1180.0 |
|---|---|---|---|
| 规格: | 100ul | 产品价格: | ¥1980.0 |
| 规格: | 200ul | 产品价格: | ¥2800.0 |
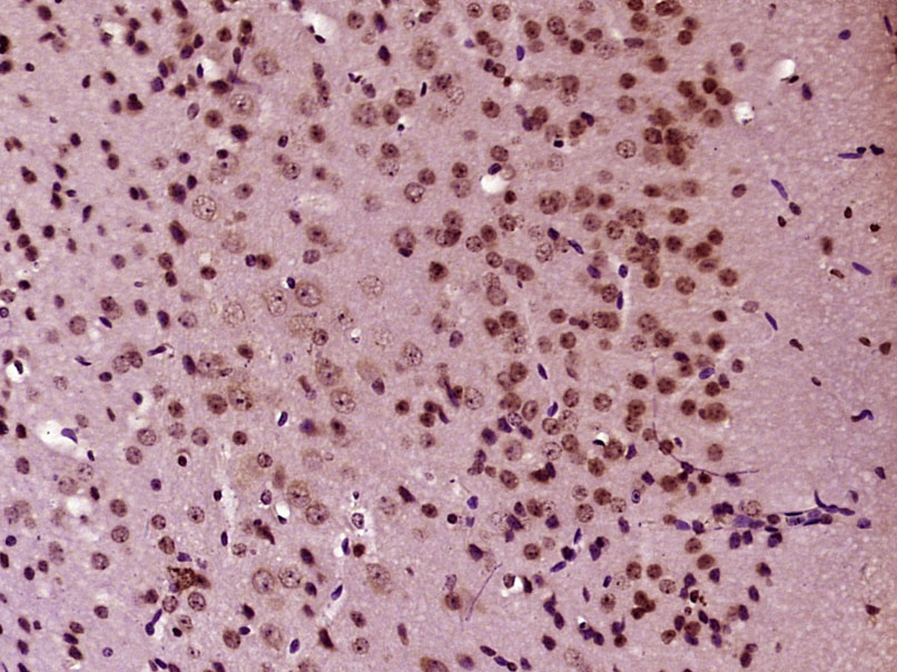
| 产品编号 | bs-4265R |
| 英文名称 | E2F8 Rabbit pAb |
| 中文名称 | 转录因子E2F8抗体 |
| 英文别名 | E2F 8; E2F family member 82; E2F transcription factor 8; E2F-8; E2f8; E2F8_HUMAN; FLJ23311; Transcription factor E2F8. |
| 产品应用 | WB=1:500-2000, IHC-P=1:100-500, IHC-F=1:100-500, IF=1:100-500, Flow-Cyt=1ug/Test Not yet tested in other applications. |
| 交叉反应 | Human, Mouse, Rat, Hela (Chicken, Pig, Horse, Rabbit) |
| 抗体来源 | Rabbit |
| 免疫原 | KLH conjugated synthetic peptide derived from human E2F8 |
| 亚型 | IgG |
| 性状 | Liquid |
| 纯化方法 | affinity purified by Protein A |
| 克隆类型 | Polyclonal |
| 理论分子量 | 94 kDa |
| 浓度 | 1mg/ml |
| 储存液 | 0.01M TBS (pH7.4) with 1% BSA, 0.02% Proclin300 and 50% Glycerol. |
| 研究领域 | Cancer > Cancer Metabolism > Transcriptional control Epigenetics and Nuclear Signaling > Transcription > Other factors Epigenetics and Nuclear Signaling > Transcription > Transcription Factors Metabolism > Pathways and Processes > Metabolic signaling pathways > Nucleotide metabolism > Molecular processes > Transcriptional control Metabolism > Types of disease > Cancer |
| 亚基 | Forms heterodimers with E2F7 and, to a lesser extent, homodimers. Dimerization is important for DNA binding. |
| 亚细胞定位 | Nucleus. |
| 相似性 | Belongs to the E2F/DP family |
| 功能 | Along with E2F7, inhibitor of E2F-dependent transcription. Binds DNA independently of DP proteins through the E2 recognition site, 5'-TTTC[CG]CGC-3'. Directly represses E2F1 transcription. Appears to regulate a subset of E2F-dependent genes whose products are required for normal cell cycle progession. |
| 保存条件 | Shipped at 4℃. Store at -20℃ for one year. Avoid repeated freeze/thaw cycles. |
| 注意事项 | This product as supplied is intended for research use only, not for use in human, therapeutic or diagnostic applications. |
| 背景资料 | This gene encodes a member of a family of transcription factors which regulate the expression of genes required for progression through the cell cycle. The encoded protein regulates progression from G1 to S phase by ensuring the nucleus divides at the proper time. Multiple alternatively spliced variants, encoding the same protein, have been identified. [provided by RefSeq, Jan 2012]. |
| 应用 | 推荐稀释比例 |
| {WB} | {1:500-2000} |
| {IHC-P} | {1:100-500} |
| {IHC-F} | {1:100-500} |
| {IF} | {1:100-500} |
| {Flow-Cyt} | {1ug/Test} |


Kidney (Rat) Lysate at 40 ug
Brain (Rat) Lysate at 40 ug
Primary: Anti-E2F8 (bs-4265R) at 1/300 dilution
Secondary: HRP conjugated Goat-Anti-rabbit IgG (bs-0295G-HRP) at 1/5000 dilution
Predicted band size: 94 kD
Observed band size: 93 kD

Primary Antibody (green line): Rabbit Anti-FREAC3 antibody (bs-6642R)
Dilution:1ug/Test;
Secondary Antibody(white blue line): Goat anti-rabbit IgG-AF488
Dilution: 0.5ug/Test.
Isotype control(orange line): Normal Rabbit IgG
Protocol
The cells were fixed with 4% PFA (10min at room temperature)and then permeabilized with 90% ice-cold methanol for 20 min at -20℃, The cells were then incubated in 5%BSA to block non-specific protein-protein interactions for 30 min at room temperature .Cells stained with Primary Antibody for 30 min at room temperature. The secondary antibody used for 40 min at room temperature. Acquisition of 20,000 events was performed.
风险提示:丁香通仅作为第三方平台,为商家信息发布提供平台空间。用户咨询产品时请注意保护个人信息及财产安全,合理判断,谨慎选购商品,商家和用户对交易行为负责。对于医疗器械类产品,请先查证核实企业经营资质和医疗器械产品注册证情况。
文献和实验[IF={{ 4.2 }}] {Yuan, Qing, et al. "Docetaxel-loaded solid lipid nanoparticles suppress breast cancer cells growth with reduced myelosuppression toxicity." International Journal of Nanomedicine 9 (2014): 4829.} {WB} {="Mouse"}
= NAL), appears to form upon oxidative cyclization of the nonfluorescent 2:1 lysine-HNE Michael adduct-Schiff base cross-link (Scheme 1). Polyclonal antibody (PAb) to the NAL-HNE fluorophore was raised in rabbit and found to be highly specific
GE Healthcare Benzamidine Sepharose™ 6B is p-aminobenzamidine covalently attached to Sepharose 6B by the epoxy coupling method. p-Aminobenzamidine (PAB), is a synthetic inhibitor of trypsin-like serine protease. Trypsin and trypsin
Nucleic Acid Programmable Protein Arrays: Versatile Tools for Array‐Based Functional Protein Studies
.g., Sigma) 50 mg/ml bis‐sulfosuccinimdylsuberate (BS3 ;Pierce, cat. no. PI 21580) in dimethylsulfoxide (DMSO) 5 mg/ml
技术资料暂无技术资料 索取技术资料






