相关产品推荐更多 >

SUZ12 Recombinant Rabbit mAb(bsm-52749R)-50ul/100ul
¥1400
CKAP4 Rabbit pAb, FITC conjugated(bs-6520R-FITC)-100ul
¥2980
Vitamin D Binding protein Mouse mAb, AP conjugated(bsm-43119M-AP)-100ul
¥2980
EIF2S2 Rabbit pAb, AP conjugated(bs-8723R-AP)-100ul
¥2980
REV3L/Polymerase DNA zeta Rabbit pAb, Cy7 conjugated(bs-19840R-Cy7)-100ul
¥2980
万千商家帮你免费找货
0 人在求购买到急需产品
- 详细信息
- 文献和实验
- 技术资料
- 应用范围:
产品信息以Bioss网站为准
- 规格:
50ul/100ul/200ul
| 规格: | 50ul | 产品价格: | ¥1180.0 |
|---|---|---|---|
| 规格: | 100ul | 产品价格: | ¥1980.0 |
| 规格: | 200ul | 产品价格: | ¥2800.0 |
| 产品编号 | bs-3596R |
| 英文名称 | SIAH1 Rabbit pAb |
| 中文名称 | 泛素连接酶Siah1抗体 |
| 英文别名 | hSIAH1; HUMSIAH; Seven in absentia homolog 1(Drosophila); Seven in absentia homolog 1; Siah 1; Siah 1a; Ubiquitin ligase SIAH1; E3 ubiquitin-protein ligase SIAH1; Seven in absentia homolog 1; Siah-1; Siah-1a; Siah E3 ubiquitin protein ligase 1; SIAH1_HUMAN; SIAH1A. |
| 产品应用 | IHC-P=1:100-500, IHC-F=1:100-500, IF=1:100-500, Flow-Cyt=1ug/Test Not yet tested in other applications. |
| 交叉反应 | Human, Rat, Hela (Mouse, Chicken, Dog, Pig, Cow, Horse, Rabbit) |
| 抗体来源 | Rabbit |
| 免疫原 | KLH conjugated synthetic peptide derived from human SIAH1 |
| 亚型 | IgG |
| 性状 | Liquid |
| 纯化方法 | affinity purified by Protein A |
| 克隆类型 | Polyclonal |
| 理论分子量 | 34 kDa |
| 浓度 | 1mg/ml |
| 储存液 | 0.01M TBS (pH7.4) with 1% BSA, 0.02% Proclin300 and 50% Glycerol. |
| 研究领域 | Cell Biology > Proteolysis / Ubiquitin > Proteasome / Ubiquitin > Ubiquitin E3 Enzymes > Other E3 Ligases Neuroscience > Neurology process > Neurodegenerative disease > Parkinson's disease Neuroscience > Neurology process > Notch Pathway |
| 亚细胞定位 | Cytoplasm. Nucleus. Predominantly cytoplasmic. Partially nuclear. |
| 组织特异性 | Widely expressed at a low level. Down-regulated in advanced hepatocellular carcinomas. |
| 翻译后修饰 | Phosphorylated on Ser-19 by ATM and ATR. This phosphorylation disrupts SIAH1 interaction with HIPK2, and subsequent proteasomal degradation of HIPK2. |
| 相似性 | Belongs to the SINA (Seven in absentia) family. Contains 1 RING-type zinc finger. Contains 1 SIAH-type zinc finger. |
| 功能 | E3 ubiquitin-protein ligase that mediates ubiquitination and subsequent proteasomal degradation of target proteins. E3 ubiquitin ligases accept ubiquitin from an E2 ubiquitin-conjugating enzyme in the form of a thioester and then directly transfers the ubiquitin to targeted substrates. Mediates E3 ubiquitin ligase activity either through direct binding to substrates or by functioning as the essential RING domain subunit of larger E3 complexes. Triggers the ubiquitin-mediated degradation of many substrates, including proteins involved in transcription regulation (MYB, POU2AF1, PML and RBBP8), a cell surface receptor (DCC), the cell-surface receptor-type tyrosine kinase FLT3, the cytoplasmic signal transduction molecules (KLF10/TIEG1 and NUMB), an antiapoptotic protein (BAG1), a microtubule motor protein (KIF22), a protein involved in synaptic vesicle function in neurons (SYP), a structural protein (CTNNB1) and SNCAIP. Confers constitutive instability to HIPK2 through proteasomal degradation. It is thereby involved in many cellular processes such as apoptosis, tumor suppression, cell cycle, axon guidance, transcription regulation, spermatogenesis and TNF-alpha signaling. Has some overlapping function with SIAH2. Induces apoptosis in cooperation with PEG3. Upon nitric oxid (NO) generation that follows apoptotic stimulation, interacts with S-nitrosylated GAPDH, mediating the translocation of GAPDH to the nucleus. GAPDH acts as a stabilizer of SIAH1, facilitating the degradation of nuclear proteins. |
| 保存条件 | Shipped at 4℃. Store at -20℃ for one year. Avoid repeated freeze/thaw cycles. |
| 注意事项 | This product as supplied is intended for research use only, not for use in human, therapeutic or diagnostic applications. |
| 背景资料 | This gene encodes a protein that is a member of the seven in absentia homolog (SIAH) family. The protein is an E3 ligase and is involved in ubiquitination and proteasome-mediated degradation of specific proteins. The activity of this ubiquitin ligase has been implicated in the development of certain forms of Parkinson's disease, the regulation of the cellular response to hypoxia and induction of apoptosis. Alternative splicing results in several additional transcript variants, some encoding different isoforms and others that have not been fully characterized. |
| 应用 | 推荐稀释比例 |
| {IHC-P} | {1:100-500} |
| {IHC-F} | {1:100-500} |
| {IF} | {1:100-500} |
| {Flow-Cyt} | {1ug/Test} |


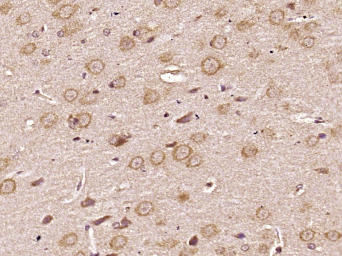
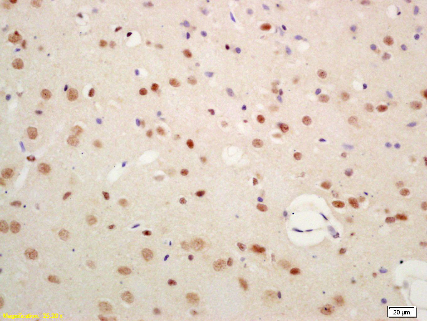
Antigen retrieval: citrate buffer ( 0.01M, pH 6.0 ), Boiling bathing for 15min; Block endogenous peroxidase by 3% Hydrogen peroxide for 30min; Blocking buffer (normal goat serum,C-0005) at 37℃ for 20 min;
Incubation: Anti-SIAH1 Polyclonal Antibody, Unconjugated(bs-3596R) 1:200, overnight at 4°C, followed by conjugation to the secondary antibody(SP-0023) and DAB(C-0010) staining

Primary Antibody (green line): Rabbit Anti-SIAH1 antibody (bs-3596R)
Dilution:1ug/Test;
Secondary Antibody(white blue line): Goat anti-rabbit IgG-FITC
Dilution: 0.5ug/Test.
Isotype control(orange line): Normal Rabbit IgG
Protocol
The cells were fixed with 4% PFA (10min at room temperature)and then permeabilized with 90% ice-cold methanol for 20 min at -20℃, The cells were then incubated in 5%BSA to block non-specific protein-protein interactions for 30 min at room temperature .Cells stained with Primary Antibody for 30 min at room temperature. The secondary antibody used for 40 min at room temperature. Acquisition of 20,000 events was performed.
风险提示:丁香通仅作为第三方平台,为商家信息发布提供平台空间。用户咨询产品时请注意保护个人信息及财产安全,合理判断,谨慎选购商品,商家和用户对交易行为负责。对于医疗器械类产品,请先查证核实企业经营资质和医疗器械产品注册证情况。
文献和实验[IF={{ 4.8 }}] {Shu-Yu Wu. et al. Monomethyl fumarate attenuates lung Ischemia/Reperfusion injury by disrupting the GAPDH/Siah1 signaling cascade. INT IMMUNOPHARMACOL. 2024 Aug;137:112488} {WB} {Rat,Human}
= NAL), appears to form upon oxidative cyclization of the nonfluorescent 2:1 lysine-HNE Michael adduct-Schiff base cross-link (Scheme 1). Polyclonal antibody (PAb) to the NAL-HNE fluorophore was raised in rabbit and found to be highly specific
GE Healthcare Benzamidine Sepharose™ 6B is p-aminobenzamidine covalently attached to Sepharose 6B by the epoxy coupling method. p-Aminobenzamidine (PAB), is a synthetic inhibitor of trypsin-like serine protease. Trypsin and trypsin
Nucleic Acid Programmable Protein Arrays: Versatile Tools for Array‐Based Functional Protein Studies
.g., Sigma) 50 mg/ml bis‐sulfosuccinimdylsuberate (BS3 ;Pierce, cat. no. PI 21580) in dimethylsulfoxide (DMSO) 5 mg/ml
技术资料暂无技术资料 索取技术资料






