相关产品推荐更多 >
万千商家帮你免费找货
0 人在求购买到急需产品
- 详细信息
- 文献和实验
- 技术资料
- 应用范围:
产品信息以Bioss网站为准
- 规格:
50ul/100ul/200ul
| 规格: | 50ul | 产品价格: | ¥1180.0 |
|---|---|---|---|
| 规格: | 100ul | 产品价格: | ¥1980.0 |
| 规格: | 200ul | 产品价格: | ¥2800.0 |
| 产品编号 | bs-1940R |
| 英文名称 | ZNF307/ZKSCAN3 Rabbit pAb |
| 中文名称 | 锌指蛋白307抗体 |
| 英文别名 | zinc finger with KRAB and SCAN domains 4; Zinc finger protein 307; P373c6.1; ZKSCAN4; FLJ32136; P1P373C6; p373c6.1(novel C2H2 type zinc finger protein); p373c6.1; Zinc finger protein 307; Zinc finger with KRAB and SCAN domains 4; ZKSCAN4; ZKSC4_HUMAN; dJ874C20.1; mszf35; SCAN-KRAB-zinc finger protein; Skz1; Zf47; Zfp-47; ZFP306; Zfp307; Zfp47; Zinc finger and SCAN domain containing protein 13; Zinc finger and SCAN domain-containing protein 13; Zinc finger protein 306; Zinc finger protein 306, isoform CRA_a; Zinc finger protein 307; Zinc finger protein 309; Zinc finger protein 47 homolog; Zinc finger protein with KRAB and SCAN domains 3; Zinc finger protein with KRAB and SCAN domains 3; Zinc finger protein zfp47; Zinc finger with KRAB and SCAN domains 3; ZKSC3_HUMAN; ZKSCAN3; ZNF309; ZSCAN13; ZSCAN35. |
| 产品应用 | WB=1:500-2000, IHC-P=1:100-500, IHC-F=1:100-500, ICC/IF=1:100-500, IF=1:100-500, Flow-Cyt=2ug/Test Not yet tested in other applications. |
| 交叉反应 | Human, Mouse (Rat, Dog, Cow, Horse, Rabbit) |
| 抗体来源 | Rabbit |
| 免疫原 | KLH conjugated synthetic peptide derived from human ZNF307 |
| 亚型 | IgG |
| 性状 | Liquid |
| 纯化方法 | affinity purified by Protein A |
| 克隆类型 | Polyclonal |
| 理论分子量 | 62 kDa |
| 浓度 | 1mg/ml |
| 储存液 | 0.01M TBS (pH7.4) with 1% BSA, 0.02% Proclin300 and 50% Glycerol. |
| 亚细胞定位 | Nucleus. |
| 组织特异性 | Expressed in adult heart, brain, placenta, lung and kidney, but not in adult liver and skeletal muscle. In 17-day old embryo, detected in liver, skeletal muscle, brain, heart and small intestine. |
| 相似性 | Belongs to the krueppel C2H2-type zinc-finger protein family. Contains 7 C2H2-type zinc fingers. Contains 1 KRAB domain. Contains 1 SCAN box domain. |
| 功能 | May be involved in the transcriptional activation of MDM2 and EP300 genes. |
| 保存条件 | Shipped at 4℃. Store at -20℃ for one year. Avoid repeated freeze/thaw cycles. |
| 注意事项 | This product as supplied is intended for research use only, not for use in human, therapeutic or diagnostic applications. |
| 背景资料 | ZNF307 contains 1 SCAN box domain, 1 KRAB domain and 7 C2H2-type zinc fingers. It belongs to the Krueppel C2H2-type zinc-finger protein family and may be involved in transcriptional regulation. [SUBCELLULAR LOCATION] Nucleus. Expressed in adult heart, brain, placenta, lung and kidney, but not in adult liver and skeletal muscle. In 17-day old embryo, detected in liver, skeletal muscle, brain, heart and small intestine. |
| 应用 | 推荐稀释比例 |
| {WB} | {1:500-2000} |
| {IHC-P} | {1:100-500} |
| {IHC-F} | {1:100-500} |
| {ICC/IF} | {1:100-500} |
| {IF} | {1:100-500} |
| {Flow-Cyt} | {2ug/Test} |

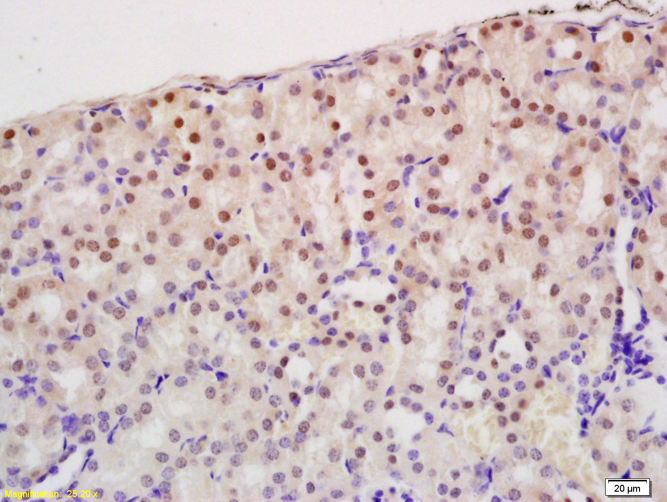
Antigen retrieval: citrate buffer ( 0.01M, pH 6.0 ), Boiling bathing for 15min; Block endogenous peroxidase by 3% Hydrogen peroxide for 30min; Blocking buffer (normal goat serum,C-0005) at 37℃ for 20 min;
Incubation: Anti-ZNF307 Polyclonal Antibody, Unconjugated(bs-1940R) 1:200, overnight at 4°C, followed by conjugation to the secondary antibody(SP-0023) and DAB(C-0010) staining

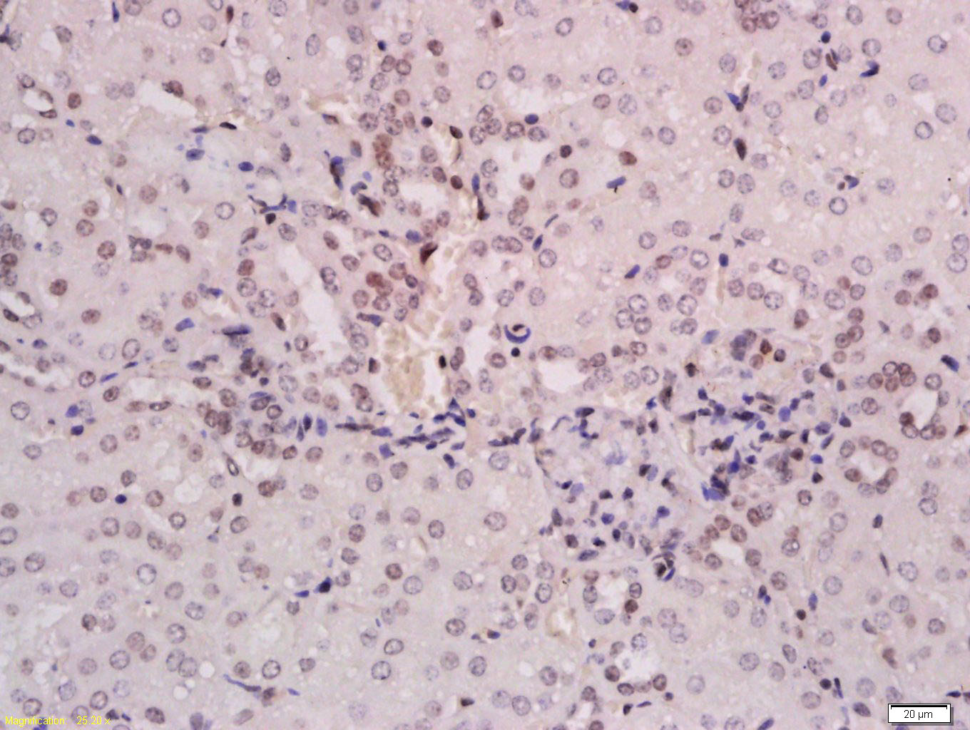
Antigen retrieval: citrate buffer ( 0.01M, pH 6.0 ), Boiling bathing for 15min; Block endogenous peroxidase by 3% Hydrogen peroxide for 30min; Blocking buffer (normal goat serum,C-0005) at 37℃ for 20 min;
Incubation: Anti-ZNF307 Polyclonal Antibody, Unconjugated(bs-1940R) 1:200, overnight at 4°C, followed by conjugation to the secondary antibody(SP-0023) and DAB(C-0010) staining

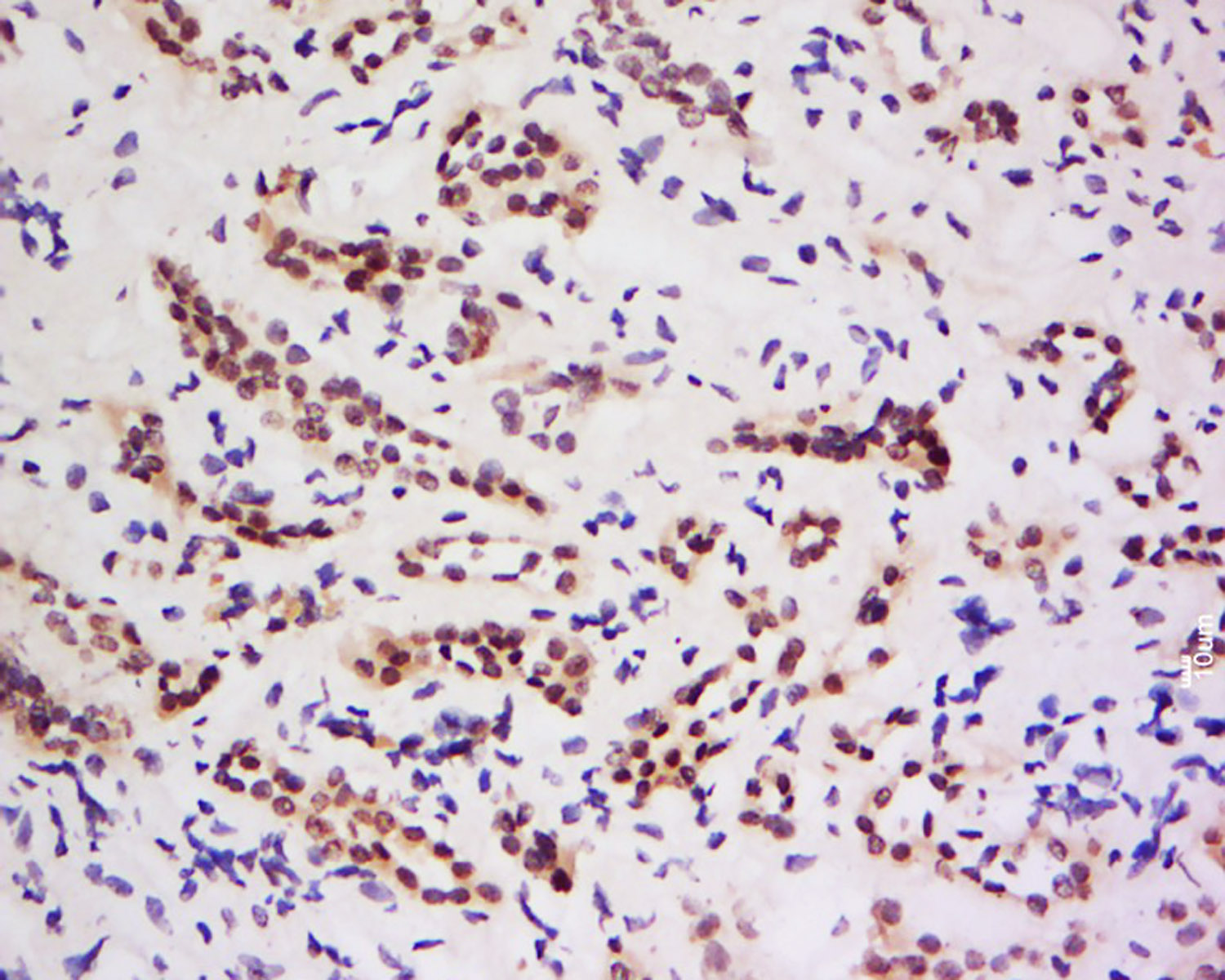
Antigen retrieval: citrate buffer ( 0.01M, pH 6.0 ), Boiling bathing for 15min; Block endogenous peroxidase by 3% Hydrogen peroxide for 30min; Blocking buffer (normal goat serum,C-0005) at 37℃ for 20 min;
Incubation: Anti-ZNF307 Polyclonal Antibody, Unconjugated(bs-1940R) 1:200, overnight at 4°C, followed by conjugation to the secondary antibody(SP-0023) and DAB(C-0010) staining

Antigen retrieval: citrate buffer ( 0.01M, pH 6.0 ), Boiling bathing for 15min; Block endogenous peroxidase by 3% Hydrogen peroxide for 30min; Blocking buffer (normal goat serum,C-0005) at 37℃ for 20 min;
Incubation: Anti-ZNF307 Polyclonal Antibody, Unconjugated(bs-1940R) 1:200, overnight at 4°C, followed by conjugation to the secondary antibody(SP-0023) and DAB(C-0010) staining

K562(Human) Cell Lysate at 40 ug
Primary: Anti-ZNF307/ZKSCAN3 (bs-1940R) at 1/300 dilution
Secondary: IRDye800CW Goat Anti-Rabbit IgG at 1/20000 dilution
Predicted band size: 62 kD
Observed band size: 62 kD


Primary Antibody (green line): Rabbit Anti-ZNF307/ZKSCAN3 antibody (bs-1940R)
Dilution:2ug/Test;
Secondary Antibody(white blue line): Goat anti-rabbit IgG-AF488
Dilution: 0.5ug/Test.
Isotype control(orange line): Normal Rabbit IgG
Protocol
The cells were fixed with 4% PFA (10min at room temperature)and then permeabilized with 90% ice-cold methanol for 20 min at -20℃, The cells were then incubated in 5%BSA to block non-specific protein-protein interactions for 30 min at room temperature .Cells stained with Primary Antibody for 30 min at room temperature. The secondary antibody used for 40 min at room temperature. Acquisition of 20,000 events was performed.
风险提示:丁香通仅作为第三方平台,为商家信息发布提供平台空间。用户咨询产品时请注意保护个人信息及财产安全,合理判断,谨慎选购商品,商家和用户对交易行为负责。对于医疗器械类产品,请先查证核实企业经营资质和医疗器械产品注册证情况。
文献和实验= NAL), appears to form upon oxidative cyclization of the nonfluorescent 2:1 lysine-HNE Michael adduct-Schiff base cross-link (Scheme 1). Polyclonal antibody (PAb) to the NAL-HNE fluorophore was raised in rabbit and found to be highly specific
. Retrieved 2010-11-29. ^ Nielsen BS, Jørgensen S, Fog JU, Søkilde R, Christensen IJ, Hansen U, Brünner N, Baker A, Møller S, Nielsen HJ (October 2010). "High levels of microRNA-21 in the stroma of colorectal cancers predict short disease-free survival
+oieSKeKcgxGinlRPl7uja5iYeDdc+K3eZhXhIOHOy+p9cxrGU9WCTkVcT5iRR/BsR+N0IDPSu3x0pXo0IRAQiAhGBiEBE4ABCwPnwbu0wGmW8ULj7NRb20DLRYqFW1Up6ODBube+wknwaZ5w/y92bXLbV5K3CJ+hhzKwdSHCmVrada2Qy0eyxvi0r7Lkl99ukcaOkRe60Sj82E8qgnmxNtzHGRRyZQtf1g41GIMau5W7ITlqbiDRR0CA3tPhIsEdmP5hZ
技术资料暂无技术资料 索取技术资料











