相关产品推荐更多 >
万千商家帮你免费找货
0 人在求购买到急需产品
- 详细信息
- 文献和实验
- 技术资料
- 应用范围:
产品信息以Bioss网站为准
- 规格:
50ul/100ul
| 规格: | 50ul | 产品价格: | ¥1180.0 |
|---|---|---|---|
| 规格: | 100ul | 产品价格: | ¥1980.0 |
| 产品编号 | bsm-1625M |
| 英文名称 | PSA(Pa3) Mouse mAb |
| 中文名称 | 人前列腺特异性抗原单克隆抗体(包被) |
| 英文别名 | antigen, prostate-specific; APS; gamma seminoprotein; gamma-seminoprotein; hK3; Kallikrein 3; Kallikrein 3, (prostate specific antigen); Kallikrein related peptidase 3; Kallikrein-3; KLK 3; KLK2A1; KLK3; KLK3_HUMAN; P 30 antigen; P-30 antigen; P30 antigen; Prostate Specific Antigen; Prostate-specific antigen; PSA; Semenogelase; Seminin. |
| 产品应用 | IHC-P=1:100-500, IHC-F=1:100-500, IF=1:100-500, ELISA=1:5000-10000 Not yet tested in other applications. |
| 交叉反应 | Human |
| 抗体来源 | Mouse |
| 免疫原 | Full length native protein purified from human |
| 亚型 | IgG |
| 性状 | Liquid |
| 纯化方法 | affinity purified by Protein A |
| 克隆类型 | Monoclonal |
| 理论分子量 | 23 kDa |
| 浓度 | ≥1mg/ml |
| 储存液 | 0.01M PBS (pH7.4) with 0.02% Proclin300. |
| 研究领域 | Cancer > Tumor biomarkers > Tumor antigens Cancer > Tumor immunology > Tumor-associated antigens Neuroscience > Cell Adhesion Proteins > Proteases Signal Transduction > Cytoskeleton / ECM > Extracellular Matrix > ECM Enzymes > Kallikreins Tags & Cell Markers > Cell Type Markers > Tumor Associated |
| 亚基 | Forms heterodimer with SERPINA5. |
| 亚细胞定位 | Secreted. |
| 组织特异性 | Prostate. |
| 翻译后修饰 | Belongs to the peptidase S1 family. Kallikrein subfamily. Contains 1 peptidase S1 domain. |
| 相似性 | Belongs to the peptidase S1 family. Kallikrein subfamily. Contains 1 peptidase S1 domain. |
| 功能 | Hydrolyzes semenogelin-1 thus leading to the liquefaction of the seminal coagulum. |
| 保存条件 | Shipped at 4℃. Store at -20℃ for one year. Avoid repeated freeze/thaw cycles. |
| 注意事项 | This product as supplied is intended for research use only, not for use in human, therapeutic or diagnostic applications. |
| 背景资料 | Kallikreins are a subgroup of serine proteases having diverse physiological functions. Growing evidence suggests that many kallikreins are implicated in carcinogenesis and some have potential as novel cancer and other disease biomarkers. This gene is one of the fifteen kallikrein subfamily members located in a cluster on chromosome 19. Its protein product is a protease present in seminal plasma. It is thought to function normally in the liquefaction of seminal coagulum, presumably by hydrolysis of the high molecular mass seminal vesicle protein. Serum level of this protein, called PSA in the clinical setting, is useful in the diagnosis and monitoring of prostatic carcinoma. Alternate splicing of this gene generates several transcript variants encoding different isoforms. [provided by RefSeq, Jul 2008]. |
| 应用 | 推荐稀释比例 |
| {IHC-P} | {1:100-500} |
| {IHC-F} | {1:100-500} |
| {IF} | {1:100-500} |
| {ELISA} | {1:5000-10000} |

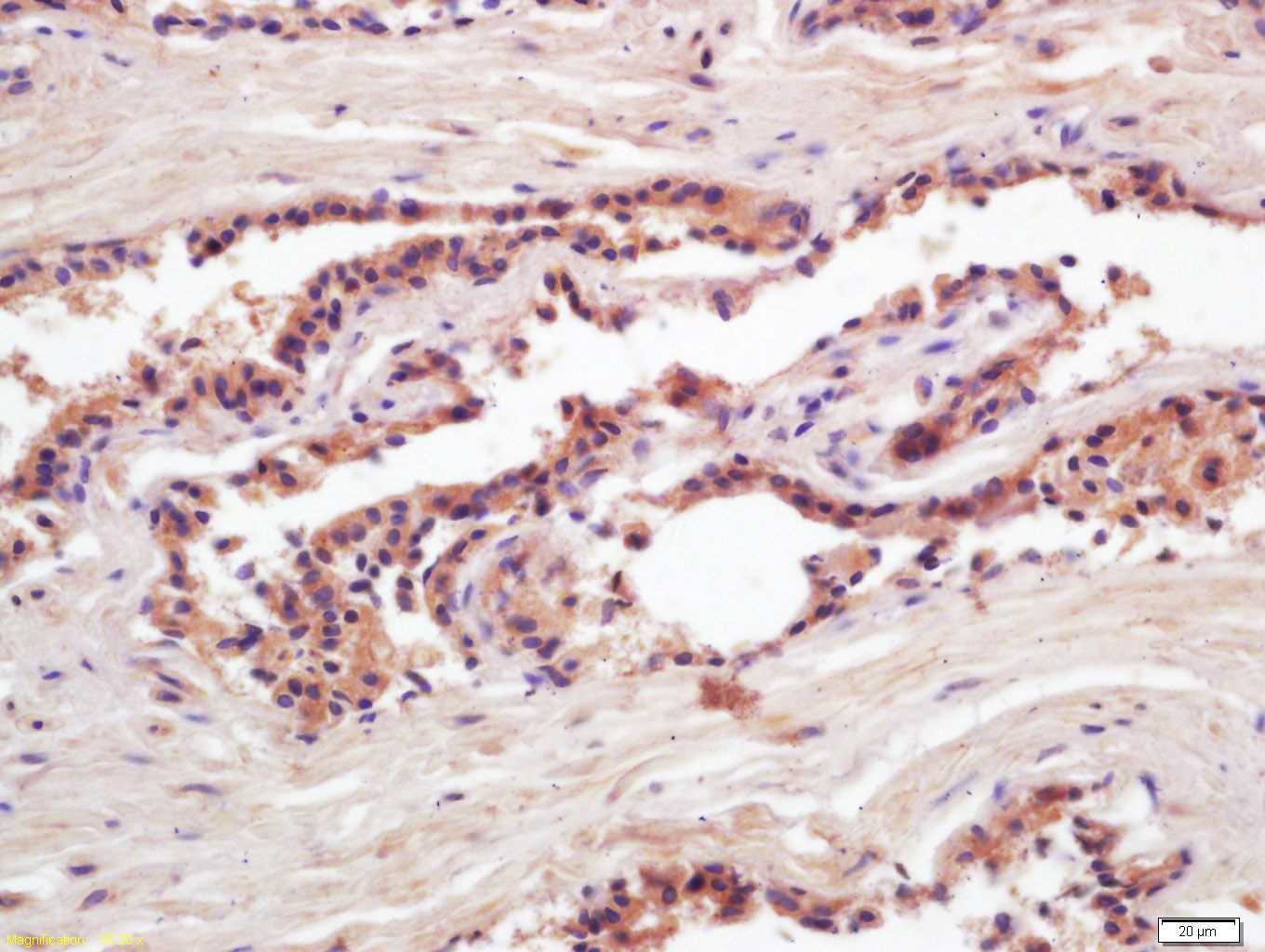
Antigen retrieval: citrate buffer ( 0.01M, pH 6.0 ), Boiling bathing for 15min; Block endogenous peroxidase by 3% Hydrogen peroxide for 30min; Blocking buffer (normal goat serum,C-0005) at 37℃ for 20 min;
Incubation: Anti-PSA(Pa3) Polyclonal Antibody, Unconjugated(bsm-1625M) 1:200, overnight at 4°C, followed by conjugation to the secondary antibody(SP-0024) and DAB(C-0010) staining
风险提示:丁香通仅作为第三方平台,为商家信息发布提供平台空间。用户咨询产品时请注意保护个人信息及财产安全,合理判断,谨慎选购商品,商家和用户对交易行为负责。对于医疗器械类产品,请先查证核实企业经营资质和医疗器械产品注册证情况。
文献和实验[IF={{ 7.243 }}] {Fanchun Zeng. et al. Antagonizing exosomal miR-18a-5p derived from prostate cancer cells ameliorates metastasis-induced osteoblastic lesions by targeting Hist1h2bc and activating Wnt/β-catenin pathway. GENES DIS. 2022 Jul;:} {IHC} {Mouse}
[IF={{ 6.2 }}] {Yuting Gao. et al. Colorimetric and photothermal immunosensor for sensitive detection of cancer biomarkers based on enzyme-mediated growth of gold nanostars on polydopamine. ANAL CHIM ACTA. 2023 Oct;1279:341775} {Other} {}
[IF={{ 5.401 }}] {Liu, Yingshuai, Lingli Lei, and Zeying Zhang. "An ultrasensitive colorimetric immunoassay based on glucose oxidase catalyzed cascade formation of blue–black iodine–starch complex." Sensors and Actuators B: Chemical (2017).} {Other} {=""}
[IF={{ 4.71 }}] {Liu, Yingshuai, et al. "A concentration− dependent multicolor conversion strategy for ultrasensitive colorimetric immunoassay with the naked eye." Analytica Chimica Acta (2017).} {ELISA} {="Rabbit"}
[IF={{ 4.04 }}] {Zhou, Jie, et al. "Spectrum-based and color-selective electrochemiluminescence immunoassay for determining human prostate specific antigen in near-infrared region." Talanta 165 (2017): 117-121.} {Other} {="Human"}
技术资料暂无技术资料 索取技术资料









