相关产品推荐更多 >

MTNR1B Rabbit pAb(bs-21511R)-50ul/100ul/200ul
¥1180
EGR3 Rabbit pAb, AP conjugated(bs-6448R-AP)-100ul
¥2980
ELK1 Rabbit pAb, BF680 conjugated(bs-1398R-BF680)-100ul
¥2980
Myosin light chain (phospho S20) Rabbit pAb, Cy5 conjugated(bs-7052R-Cy5)-100ul
¥2980
Golgi Complex Rabbit pAb(bs-13485R)-50ul/100ul/200ul
¥1180
万千商家帮你免费找货
0 人在求购买到急需产品
- 详细信息
- 文献和实验
- 技术资料
- 应用范围:
产品信息以Bioss网站为准
- 规格:
50ul/100ul/200ul
| 规格: | 50ul | 产品价格: | ¥1180.0 |
|---|---|---|---|
| 规格: | 100ul | 产品价格: | ¥1980.0 |
| 规格: | 200ul | 产品价格: | ¥2800.0 |
| 产品编号 | bs-1173R |
| 英文名称 | TNFRSF18 Rabbit pAb |
| 中文名称 | 糖皮质激素诱导肿瘤坏死因子受体抗体 |
| 英文别名 | Activation inducible TNFR family receptor; Activation-inducible TNFR family receptor; AITR; CD357; GITR; GITR D; GITR-D; GITRD; Glucocorticoid induced TNFR related protein; glucocorticoid-induced tnf receptor ligand; glucocorticoid-induced tnf receptors ligand; Glucocorticoid-induced TNFR-related protein; TNF receptor superfamily activation inducible protein; TNFRSF 18; TNR18_HUMAN; Tumor necrosis factor receptor superfamily member 18; Tumor necrosis factor receptor superfamily member 18 precursor; |
| 产品应用 | IHC-P=1:100-500, IHC-F=1:100-500, IF=1:100-500 Not yet tested in other applications. |
| 交叉反应 | Human (Mouse, Rat) |
| 抗体来源 | Rabbit |
| 免疫原 | KLH conjugated synthetic peptide derived from mouse TNFRSF18 |
| 亚型 | IgG |
| 性状 | Liquid |
| 纯化方法 | affinity purified by Protein A |
| 克隆类型 | Polyclonal |
| 理论分子量 | 24 kDa |
| 浓度 | 1mg/ml |
| 储存液 | 0.01M TBS (pH7.4) with 1% BSA, 0.02% Proclin300 and 50% Glycerol. |
| 研究领域 | Cancer > Growth factors > TNF Immunology > Adaptive Immunity > Regulatory T Cells Immunology > Innate Immunity > Cytokines > Necrosis Factors Signal Transduction > Growth Factors/Hormones > TNF |
| 亚基 | Binds to TRAF1, TRAF2, and TRAF3, but not TRAF5 and TRAF6. Binds through its C-terminus to SIVA1/SIVA. |
| 亚细胞定位 | Isoform 1: Cell membrane; Single-pass type I membrane protein. Isoform 2: Secreted. |
| 组织特异性 | Expressed in lymph node, peripheral blood leukocytes and weakly in spleen. |
| 相似性 | Contains 3 TNFR-Cys repeats. |
| 功能 | Receptor for TNFSF18. Seems to be involved in interactions between activated T-lymphocytes and endothelial cells and in the regulation of T-cell receptor-mediated cell death. Mediated NF-kappa-B activation via the TRAF2/NIK pathway. |
| 保存条件 | Shipped at 4℃. Store at -20℃ for one year. Avoid repeated freeze/thaw cycles. |
| 注意事项 | This product as supplied is intended for research use only, not for use in human, therapeutic or diagnostic applications. |
| 背景资料 | TNFRSF18 or GITR (glucocorticoid-induced TNF receptor family-regulated gene) is a 25 kD TNF receptor superfamily member (also known as AITR and TNFRSF18) originally identified in the mouse by comparing untreated and dexamethasone-treated murine T cell hybridoma cells. Human GITR was subsequently identified by searching an expressed sequence tag database. GITR is expressed on activated lymphocytes and is upregulated by T cell receptor engagement. The cytoplasmic domain of GITR is homologous to CD40, 4-1BB and CD27 and has been shown to interact with TRAF 1-3, but not TRAF 5 or 6. GITR signaling has been shown to regulate T cell proliferation and TCR-mediated apoptosis, and to break immunological self-tolerance. GITR appears to be highly expressed on CD4+CD25+ T regulatory cells and has been shown to induce NF-kB activation through TRAF2/NIK signaling. GITR has been proposed to be involved in the development of regulatory T cells and to regulate the activity of Th1 subsets. GITR binds GITRL, a TNF superfamily ligand expressed on endothelial cells, dendritic cells, macrophages, and B cells. |
| 应用 | 推荐稀释比例 |
| {IHC-P} | {1:100-500} |
| {IHC-F} | {1:100-500} |
| {IF} | {1:100-500} |

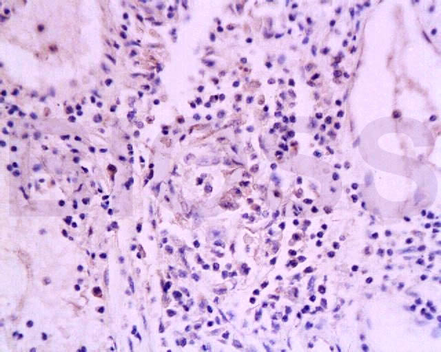
Antigen retrieval: citrate buffer ( 0.01M, pH 6.0 ), Boiling bathing for 15min; Block endogenous peroxidase by 3% Hydrogen peroxide for 30min; Blocking buffer (normal goat serum,C-0005) at 37鈩?? for 20 min;
Incubation: Anti-TNFRSF18 Polyclonal Antibody, Unconjugated(bs-1173R) 1:200, overnight at 4掳C, followed by conjugation to the secondary antibody(SP-0023) and DAB(C-0010) staining
风险提示:丁香通仅作为第三方平台,为商家信息发布提供平台空间。用户咨询产品时请注意保护个人信息及财产安全,合理判断,谨慎选购商品,商家和用户对交易行为负责。对于医疗器械类产品,请先查证核实企业经营资质和医疗器械产品注册证情况。
文献和实验= NAL), appears to form upon oxidative cyclization of the nonfluorescent 2:1 lysine-HNE Michael adduct-Schiff base cross-link (Scheme 1). Polyclonal antibody (PAb) to the NAL-HNE fluorophore was raised in rabbit and found to be highly specific
GE Healthcare Benzamidine Sepharose™ 6B is p-aminobenzamidine covalently attached to Sepharose 6B by the epoxy coupling method. p-Aminobenzamidine (PAB), is a synthetic inhibitor of trypsin-like serine protease. Trypsin and trypsin
Nucleic Acid Programmable Protein Arrays: Versatile Tools for Array‐Based Functional Protein Studies
.g., Sigma) 50 mg/ml bis‐sulfosuccinimdylsuberate (BS3 ;Pierce, cat. no. PI 21580) in dimethylsulfoxide (DMSO) 5 mg/ml
技术资料暂无技术资料 索取技术资料






