相关产品推荐更多 >

ENPP1 Recombinant Rabbit mAb(bsm-60785R)-50ul/100ul/25ul
¥800
Anti-human CD47 (CC-90002 Biosimilar)(BIO0126SM)-1mg/5mg/20mg
¥3200
MMP2 Rabbit pAb, Cy5.5 conjugated(bs-0412R-Cy5.5)-100ul
¥2980
HPV16 E7 Rabbit pAb, Cy7 conjugated(bs-10446R-Cy7)-100ul
¥2980
PAK1 Rabbit pAb, HRP conjugated(bs-2277R-HRP)-100ul
¥2980
万千商家帮你免费找货
0 人在求购买到急需产品
- 详细信息
- 文献和实验
- 技术资料
- 应用范围:
产品信息以Bioss网站为准
- 规格:
50ul/100ul/200ul
| 规格: | 50ul | 产品价格: | ¥1180.0 |
|---|---|---|---|
| 规格: | 100ul | 产品价格: | ¥1980.0 |
| 规格: | 200ul | 产品价格: | ¥2800.0 |
| 产品编号 | bs-2975R |
| 英文名称 | Noggin Rabbit pAb |
| 中文名称 | 指(趾)关节粘连NOG蛋白抗体 |
| 英文别名 | NOG; SYM 1; SYM1; Symphalangism 1(proximal); Synostoses(multiple) syndrome 1; SYNS 1; SYNS1; NOGG_HUMAN. |
| 产品应用 | IHC-P=1:100-500, IHC-F=1:100-500, IF=1:100-500, Flow-Cyt=1ug/Test Not yet tested in other applications. |
| 交叉反应 | Human, Rat (Mouse, Chicken, Dog, Pig, Cow, Horse, Rabbit, Sheep) |
| 抗体来源 | Rabbit |
| 免疫原 | KLH conjugated synthetic peptide derived from human Noggin |
| 亚型 | IgG |
| 性状 | Liquid |
| 纯化方法 | affinity purified by Protein A |
| 克隆类型 | Polyclonal |
| 理论分子量 | 23 kDa |
| 浓度 | 1mg/ml |
| 储存液 | 0.01M TBS (pH7.4) with 1% BSA, 0.02% Proclin300 and 50% Glycerol. |
| 研究领域 | Developmental Biology > Embryogenesis > Morphogens Developmental Biology > Lineage specification > Ectoderm Stem Cells > Lineage Markers > Ectoderm Stem Cells > Signaling Pathways > TGF beta > Secreted |
| 亚基 | Homodimer. |
| 亚细胞定位 | Secreted. |
| 相似性 | Belongs to the noggin family. |
| 功能 | Essential for cartilage morphogenesis and joint formation. Inhibitor of bone morphogenetic proteins (BMP) signaling which is required for growth and patterning of the neural tube and somite |
| 保存条件 | Shipped at 4℃. Store at -20℃ for one year. Avoid repeated freeze/thaw cycles. |
| 注意事项 | This product as supplied is intended for research use only, not for use in human, therapeutic or diagnostic applications. |
| 背景资料 | Noggin is a secreted protein involved at multiple stages of vertebrate embryonic development including neural induction and is known to exert its effects by inhibiting the bone morphogenetic protein (BMP)-signaling pathway. It binds several BMPs with very high (picomolar) affinities, with a marked preference for BMP2 and BMP4 over BMP7. By binding tightly to BMPs, Noggin prevents BMPs from binding their receptors. Noggin binds the bone morphogenetic proteins (BMP) such as BMP-4 and BMP-7, and inhibits BMP signaling by blocking the molecular interfaces of the binding epitopes for both type I and type II receptors. Interaction of BMP and its antagonist Noggin governs various developmental and cellular processes, including embryonic dorsal-ventral axis, induction of neural tissue, formation of joints in the skeletal system and neurogenesis in the adult brain. Noggin plays a key role in neural induction by inhibiting BMP4, along with other TGF-β signaling inhibitors such as chordin and follistatin. Mouse knockout experiments have demonstrated that noggin also plays a crucial role in bone development, joint formation, and neural tube fusion. |
| 应用 | 推荐稀释比例 |
| {IHC-P} | {1:100-500} |
| {IHC-F} | {1:100-500} |
| {IF} | {1:100-500} |
| {Flow-Cyt} | {1ug/Test} |

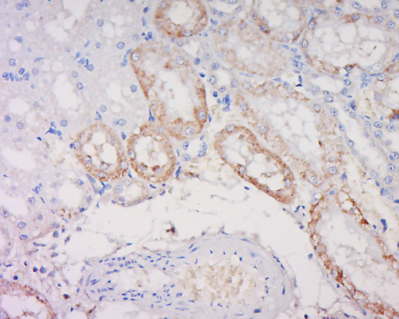
Antigen retrieval: citrate buffer ( 0.01M, pH 6.0 ), Boiling bathing for 15min; Block endogenous peroxidase by 3% Hydrogen peroxide for 30min; Blocking buffer (normal goat serum,C-0005) at 37℃ for 20 min;
Incubation: Anti-Noggin Polyclonal Antibody, Unconjugated(bs-2975R) 1:500, overnight at 4°C, followed by conjugation to the secondary antibody(SP-0023) and DAB(C-0010) staining

Primary Antibody (green line): Rabbit Anti-Noggin antibody (bs-2975R)
Dilution:1ug/Test;
Secondary Antibody : Goat anti-rabbit IgG-AF488
Dilution: 0.5ug/Test.
Negative control(white blue line): PBS
Isotype control(orange line): Normal Rabbit IgG
Protocol
The cells were fixed with 4% PFA (10min at room temperature)and then permeabilized with 90% ice-cold methanol for 20 min at -20℃.The cells were then incubated in 5%BSA to block non-specific protein-protein interactions for 30 min at room temperature .Cells stained with Primary Antibody for 30 min at room temperature. The secondary antibody used for 40 min at room temperature. Acquisition of 20,000 events was performed.
风险提示:丁香通仅作为第三方平台,为商家信息发布提供平台空间。用户咨询产品时请注意保护个人信息及财产安全,合理判断,谨慎选购商品,商家和用户对交易行为负责。对于医疗器械类产品,请先查证核实企业经营资质和医疗器械产品注册证情况。
文献和实验[IF={{ 8.724 }}] {Yong Tang. et al. Phosphorylation inhibition of protein-tyrosine phosphatase 1B tyrosine-152 induces bone regeneration coupled with angiogenesis for bone tissue engineering. Bioact Mater. 2021 Jul;6:2039} {IF,IHC} {Mouse}
[IF={{ 8.2 }}] {Hailin Wang. et al. Ergothioneine regulates the paracrine of dermal papilla cells through SIRT1/Nrf2 pathway to antagonize oxidative stress and natural hair follicle aging. FREE RADICAL BIO MED. 2025 May;:} {IF} {Human}
[IF={{ 3.405 }}] {Dawson LE et al. Induction of Myogenic Differentiation Improves Chemosensitivity of Chemoresistant Cells in Soft-Tissue Sarcoma Cell Lines. Sarcoma. 2020 Mar 26;2020:8647981.} {FCM} {human}
[IF={{ 2.58 }}] {Song, Liang-Li, et al. "Expression Characteristics of BMP2, BMPR-IA and Noggin in Different Stages of Hair Follicle in Yak Skin." General and Comparative Endocrinology (2017).} {WB} {="Other Species"}
[IF={{ 2.413 }}] {Shouhui Wang. et al. The changes of bone vessels and their role in bone loss in tail-suspended rats. Acta Astronaut. 2021 Dec;189:368} {IF} {rat}
= NAL), appears to form upon oxidative cyclization of the nonfluorescent 2:1 lysine-HNE Michael adduct-Schiff base cross-link (Scheme 1). Polyclonal antibody (PAb) to the NAL-HNE fluorophore was raised in rabbit and found to be highly specific
GE Healthcare Benzamidine Sepharose™ 6B is p-aminobenzamidine covalently attached to Sepharose 6B by the epoxy coupling method. p-Aminobenzamidine (PAB), is a synthetic inhibitor of trypsin-like serine protease. Trypsin and trypsin
Nucleic Acid Programmable Protein Arrays: Versatile Tools for Array‐Based Functional Protein Studies
.g., Sigma) 50 mg/ml bis‐sulfosuccinimdylsuberate (BS3 ;Pierce, cat. no. PI 21580) in dimethylsulfoxide (DMSO) 5 mg/ml
技术资料暂无技术资料 索取技术资料






