相关产品推荐更多 >

Visfatin Rabbit pAb, BF594 conjugated(bs-0273R-BF594)-100ul
¥2980
GABA Transporter 3 Rabbit pAb, PE-Cy7 conjugated(bs-13260R-PE-Cy7)-100ul
¥2980
GLTPD1 Rabbit pAb(bs-16252R)-50ul/100ul/200ul
¥1180
FGF2 Rabbit pAb, PE conjugated(bs-0217R-PE)-100ul
¥2980
Vinculin Rabbit pAb, FITC conjugated(bs-6640R-FITC)-100ul
¥2980
万千商家帮你免费找货
0 人在求购买到急需产品
- 详细信息
- 文献和实验
- 技术资料
- 应用范围:
产品信息以Bioss网站为准
- 规格:
50ul/100ul/200ul
| 规格: | 50ul | 产品价格: | ¥1180.0 |
|---|---|---|---|
| 规格: | 100ul | 产品价格: | ¥1980.0 |
| 规格: | 200ul | 产品价格: | ¥2800.0 |
| 产品编号 | bs-4143R |
| 英文名称 | Glutamine synthetase Rabbit pAb |
| 中文名称 | 谷氨酰胺合成酶/谷氨酸氨连接酶抗体 |
| 英文别名 | GLUL; cell proliferation-inducing protein 59; GLNA; GLNA_HUMAN; GLNS; Glutamate ammonia ligase; Glutamate decarboxylase; Glutamate--ammonia ligase; glutamine synthase; GS; PIG 43; PIG 59; PIG43; PIG59; Proliferation inducing protein 43. |
| 产品应用 | WB=1:500-2000, IHC-P=1:100-500, IHC-F=1:100-500, IF=1:100-500, ELISA=1:5000-10000 Not yet tested in other applications. |
| 交叉反应 | Mouse, Rat (Human, Pig, Cow, Sheep) |
| 抗体来源 | Rabbit |
| 免疫原 | KLH conjugated synthetic peptide derived from human Glutamine synthetase |
| 亚型 | IgG |
| 性状 | Liquid |
| 纯化方法 | affinity purified by Protein A |
| 克隆类型 | Polyclonal |
| 理论分子量 | 42 kDa |
| 浓度 | 1mg/ml |
| 储存液 | 0.01M TBS (pH7.4) with 1% BSA, 0.02% Proclin300 and 50% Glycerol. |
| 研究领域 | Neuroscience > Neurology process > Neurodegenerative disease > Alzheimer's disease Neuroscience > Neurotransmitter > Amino Acids > Glutamate |
| 亚细胞定位 | Cytoplasm. Mitochondrion. |
| 相似性 | Belongs to the glutamine synthetase family. |
| 功能 | This enzyme has 2 functions: it catalyzes the production of glutamine and 4-aminobutanoate (gamma-aminobutyric acid, GABA), the latter in a pyridoxal phosphate-independent manner (By similarity). Essential for proliferation of fetal skin fibroblasts. |
| 保存条件 | Shipped at 4℃. Store at -20℃ for one year. Avoid repeated freeze/thaw cycles. |
| 注意事项 | This product as supplied is intended for research use only, not for use in human, therapeutic or diagnostic applications. |
| 背景资料 | Glutamine Synthetase catalyzes the conversion of ammonia and glutamate to glutamine. It is found in astrocytes as an octamer of identical 42 kDa subunits. The function of Glutamine Synthetase is the detoxification of brain ammonia. It also has an important role in the metabolic regulation of neurotransmitter glutamate. Because of the multiple functions and importance of Glutamine Synthetase in cellular metabolism, both catalytic activities and synthesis are highly regulated. The activity of Glutamine Synthetase is controlled by adenylylation. Its activity is decreased in the cerebral cortex of brains affected by Alzheimer's disease, particularly in the vicinity of senile plaques. It is also decreased under conditions of glucose deprivation. The level of expression of Glutamine Synthetase is increased during ischemia in vivo or hypoxia in culture. |
| 应用 | 推荐稀释比例 |
| {WB} | {1:500-2000} |
| {IHC-P} | {1:100-500} |
| {IHC-F} | {1:100-500} |
| {IF} | {1:100-500} |
| {ELISA} | {1:5000-10000} |

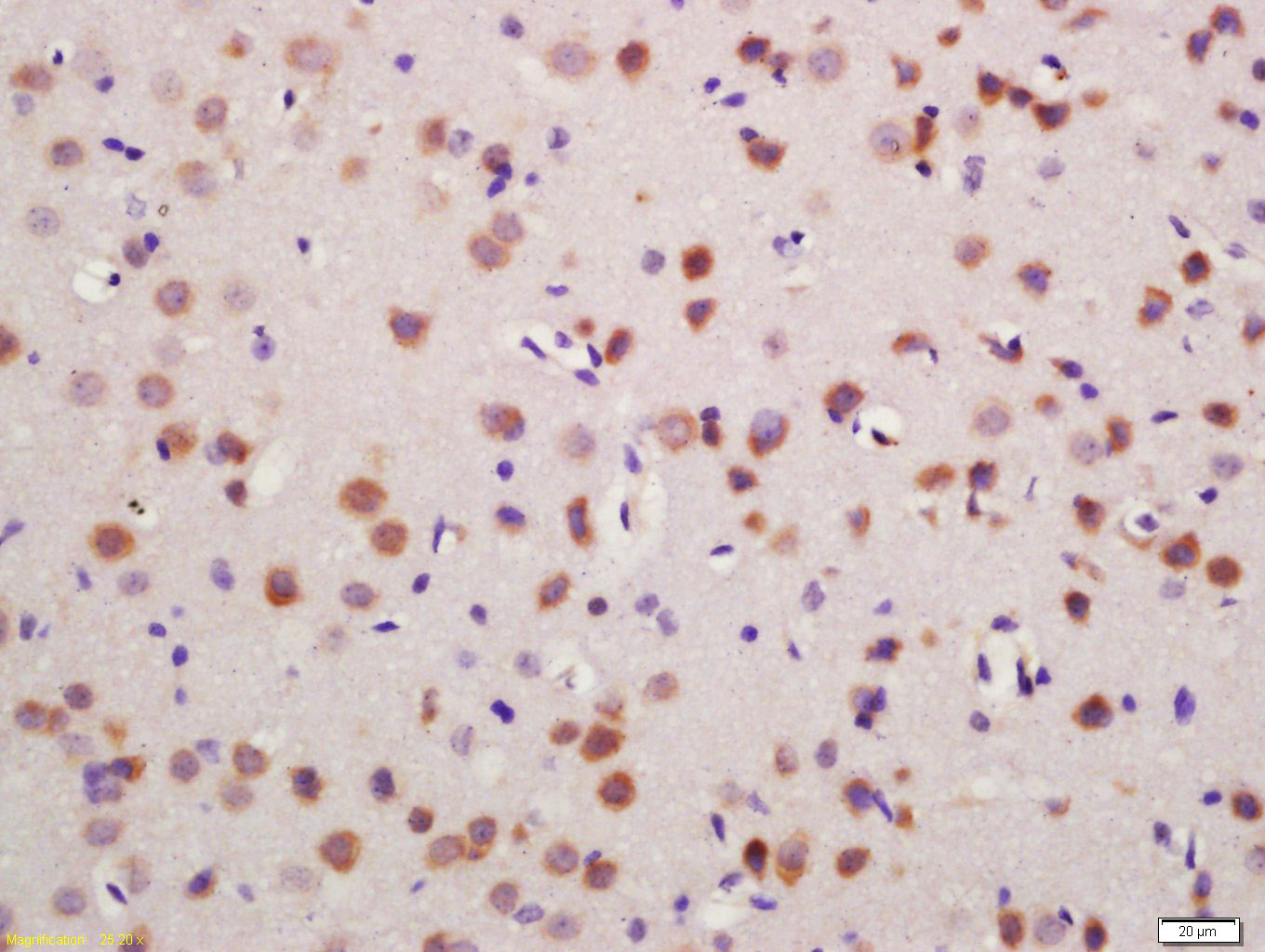
Antigen retrieval: citrate buffer ( 0.01M, pH 6.0 ), Boiling bathing for 15min; Block endogenous peroxidase by 3% Hydrogen peroxide for 30min; Blocking buffer (normal goat serum,C-0005) at 37℃ for 20 min;
Incubation: Anti-Glutamine synthetase Polyclonal Antibody, Unconjugated(bs-4143R) 1:200, overnight at 4°C, followed by conjugation to the secondary antibody(SP-0023) and DAB(C-0010) staining

Primary: Anti- Glutamine synthetase (bs-4143R) at 1/300 dilution
Secondary: IRDye800CW Goat Anti-Rabbit IgG at 1/20000 dilution
Predicted band size: 42 kD
Observed band size: 42 kD
风险提示:丁香通仅作为第三方平台,为商家信息发布提供平台空间。用户咨询产品时请注意保护个人信息及财产安全,合理判断,谨慎选购商品,商家和用户对交易行为负责。对于医疗器械类产品,请先查证核实企业经营资质和医疗器械产品注册证情况。
文献和实验[IF={{ 5.6 }}] {Yuyao Zhang. et al. Enhanced Electrochemiluminescence from Ruthenium-Tagged Immune Complex at Flexible Chains for Sensitive Analysis of Glutamate Decarboxylase Antibody. BIOSENSORS-BASEL. 2025 Jan;15(1):47} {} {Human}
[IF={{ 3.77 }}] {Zhan Xie. et al. A novel model of subretinal edema induced by DL-alpha aminoadipic acid. EXP EYE RES. 2023 Jan;:109388} {WB} {Rabbit,Mouse,Rat}
[IF={{ 18.027 }}] {Shikai Liu. et al. On-Demand Generation of Peroxynitrite from an Integrated Two-Dimensional System for Enhanced Tumor Therapy. ACS NANO. 2022;XXXX(XXX):XXX-XXX} {WB} {Human}
Analysis of Oxidative Modification of Proteins
. Levine, R.L. 1983. Oxidative modification of glutamine synthetase. J. Biol. Chem. 258:11823‐11827. Levine, R.L., Williams, J
技术资料暂无技术资料 索取技术资料






