相关产品推荐更多 >

GPCR ORF4/GPCR GPR137 Rabbit pAb, Cy5.5 conjugated(bs-16270R-Cy5.5)-100ul
¥2980
UCP-2 Rabbit pAb(bs-1926R)-50ul/100ul/200ul
¥1180
Leptin Rabbit pAb(bs-10888R)-50ul/100ul/200ul
¥1180
phospho-IFNAR1 (Ser535+Ser539) Rabbit pAb(bs-5457R)-50ul/100ul/200ul
¥1180
Cytokeratin 19 Mouse mAb, AP conjugated(bsm-33057M-AP)-100ul
¥2980
万千商家帮你免费找货
0 人在求购买到急需产品
- 详细信息
- 文献和实验
- 技术资料
- 应用范围:
产品信息以Bioss网站为准
- 规格:
50ul/100ul/200ul
| 规格: | 50ul | 产品价格: | ¥1180.0 |
|---|---|---|---|
| 规格: | 100ul | 产品价格: | ¥1980.0 |
| 规格: | 200ul | 产品价格: | ¥2800.0 |
| 产品编号 | bs-9079R |
| 英文名称 | RGC32/C13orf15 Rabbit pAb |
| 中文名称 | 补体应答基因32抗体 |
| 英文别名 | RGC32; Chromosome 13 open reading frame 15; KIAA0564; MGC87338; response gene to complement 32; Response gene to complement 32 protein; RGC 32; RGCC_HUMAN. |
| 产品应用 | IHC-P=1:100-500, IHC-F=1:100-500, IF=1:100-500, Flow-Cyt=1ug/test Not yet tested in other applications. |
| 交叉反应 | Human, Mouse, Rat (Chicken, Dog, Pig, Cow, Horse, Rabbit, Sheep) |
| 抗体来源 | Rabbit |
| 免疫原 | KLH conjugated synthetic peptide derived from human RGC32 |
| 亚型 | IgG |
| 性状 | Liquid |
| 纯化方法 | affinity purified by Protein A |
| 克隆类型 | Polyclonal |
| 理论分子量 | 15 kDa |
| 浓度 | 1mg/ml |
| 储存液 | 0.01M TBS (pH7.4) with 1% BSA, 0.02% Proclin300 and 50% Glycerol. |
| 研究领域 | Cancer > Cell cycle > Cell cycle inhibitors > p53 pathway Cancer > Cell cycle > Kinases/phosphatases > Cdks Cell Biology > Cell Cycle > Cell Cycle Inhibitors > p53 Cell Biology > Cell Cycle > Kinases/Phosphatases > Cdks |
| 亚基 | Interacts with SMAD3. Interacts with CDK1 and PLK1. |
| 亚细胞定位 | Cytoplasm. Nucleus. Cytoplasm ?cytoskeleton ?centrosome. Note: Cytoplasmic in unstimulated cells. Nuclear after activation by complement. Associated with the centrosome during prometaphase and metaphase. |
| 组织特异性 | Detected in brain, heart and liver (at protein level). Highly expressed in liver, skeletal muscle, kidney and pancreas. Detected at lower levels in heart, brain and placenta. Detected in aorta endothelial cells. Overexpressed in colon, breast, prostate, bladder, lung, and ovarian cancer tissues. |
| 功能 | Modulates the activity of cell cycle-specific kinases. Enhances CDK1 activity. May contribute to the regulation of the cell cycle. May inhibit growth of glioma cells by promoting arrest of mitotic progression at the G2/M transition. Fibrogenic factor contributing to the pathogenesis of renal fibrosis through fibroblast activation. |
| 保存条件 | Shipped at 4℃. Store at -20℃ for one year. Avoid repeated freeze/thaw cycles. |
| 注意事项 | This product as supplied is intended for research use only, not for use in human, therapeutic or diagnostic applications. |
| 背景资料 | RGC32, also known as C13orf15, is a 137 amino acid protein that localizes to the cytoplasm, as well as to the nucleus and the centrosome. Expressed at high levels in kidney, pancreas and skeletal muscle and at lower levels in brain, heart and placenta, RGC32 functions to modulate the activity of cell cycle-specific kinases, thereby regulating cell cycle progression. Additionally, RGC32 may promote cell cycle arrest at the G2/M phase transition and is thought to inhibit the growth of glioma cells, possibly functioning as a tumor suppressor. Conversely, overexpression of RGC32 may promote cell replication and assist in the pathogenesis of malignancies, suggesting that RGC32 also participates in tumor transformation and progression. RGC32 activity is induced by complement activation and by p53 in response to DNA damage. Multiple isoforms of RGC32 exist as a result of alternative splicing events. |
| 应用 | 推荐稀释比例 |
| {IHC-P} | {1:100-500} |
| {IHC-F} | {1:100-500} |
| {IF} | {1:100-500} |
| {Flow-Cyt} | {1ug/test} |

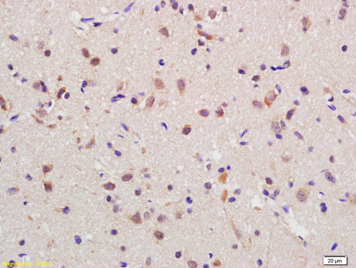
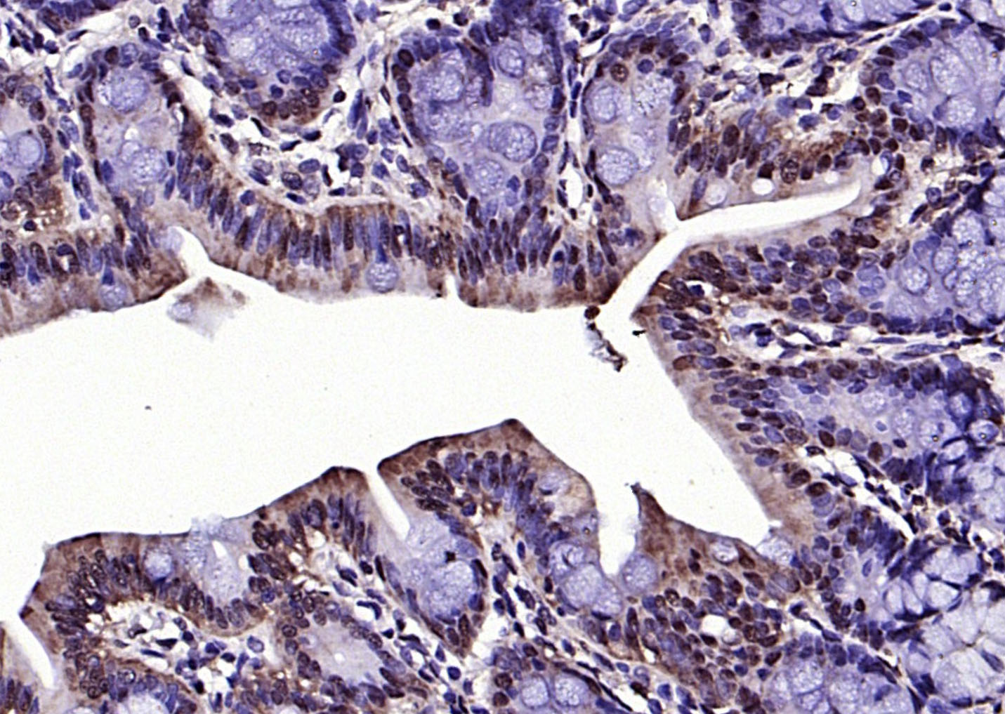
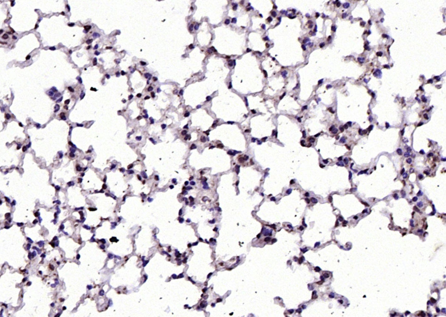
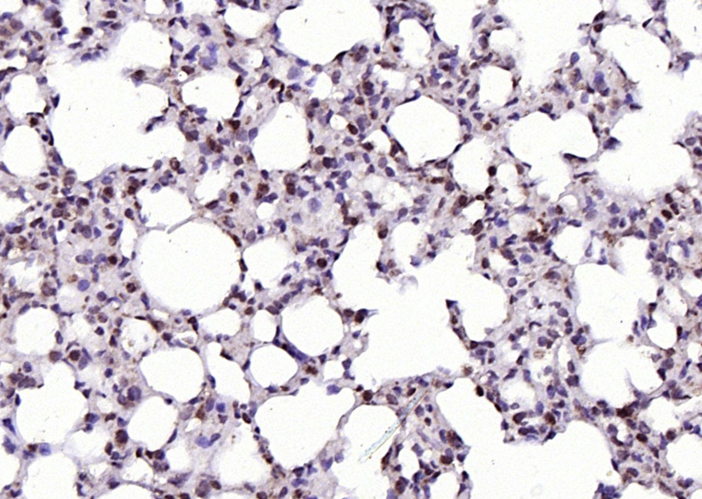
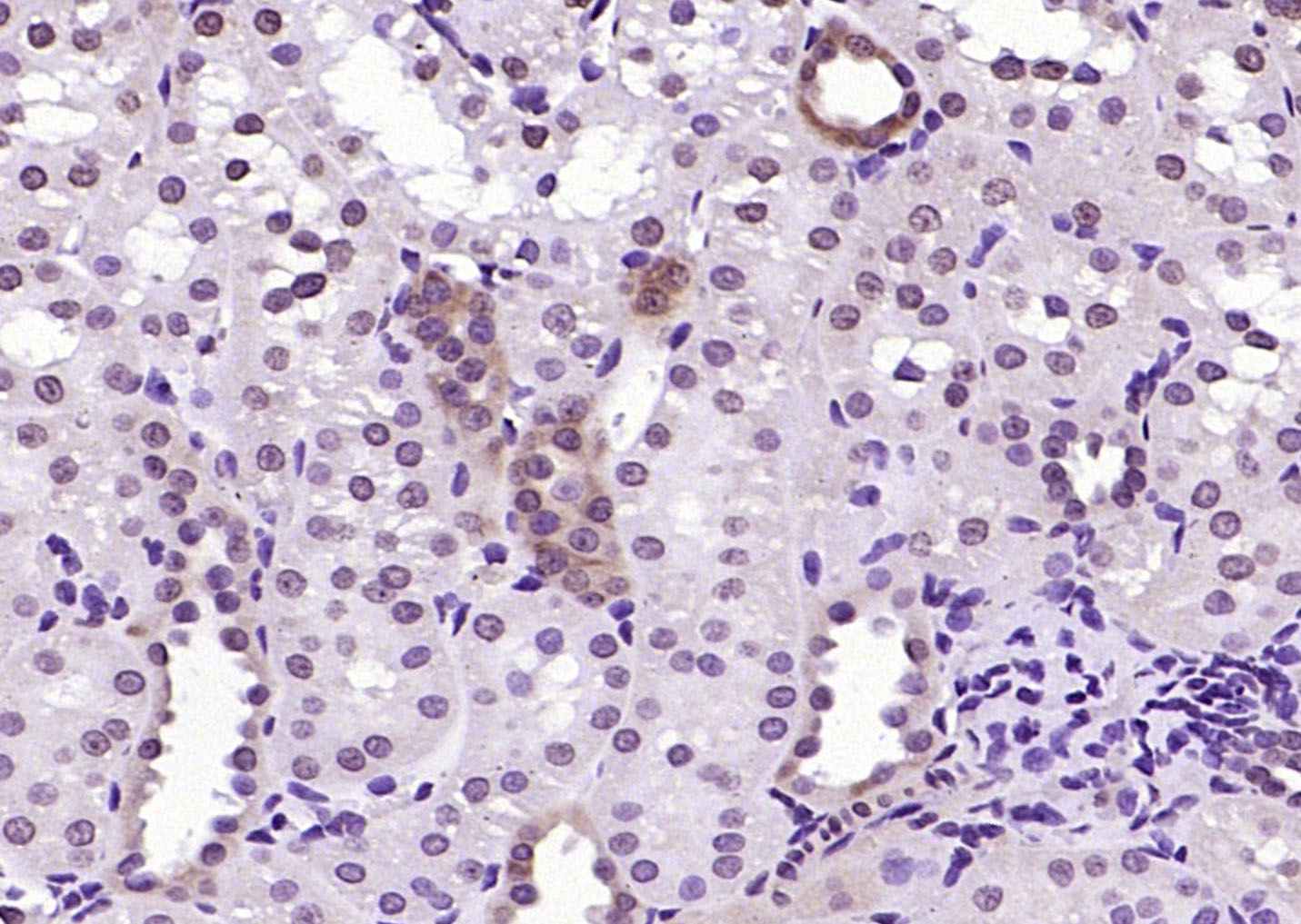
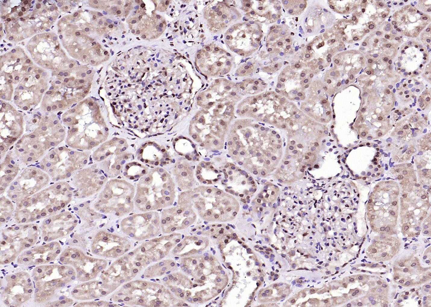
Antigen retrieval: citrate buffer ( 0.01M, pH 6.0 ), Boiling bathing for 15min; Block endogenous peroxidase by 3% Hydrogen peroxide for 30min; Blocking buffer (normal goat serum,C-0005) at 37℃ for 20 min;
Incubation: Anti-C13orf15 Polyclonal Antibody, Unconjugated(bs-9079R) 1:200, overnight at 4°C, followed by conjugation to the secondary antibody(SP-0023) and DAB(C-0010) staining

Primary Antibody (green line): Rabbit Anti-C13orf15 antibody (bs-9079R)
Dilution: 1μg /10^6 cells;
Isotype Control Antibody (orange line): Rabbit IgG .
Secondary Antibody : Goat anti-rabbit IgG-AF647
Dilution: 1μg /test.
Protocol
The cells were fixed with 4% PFA (10min at room temperature)and then permeabilized with 90% ice-cold methanol for 20 min at-20℃. The cells were then incubated in 5%BSA to block non-specific protein-protein interactions for 30 min at at room temperature .Cells stained with Primary Antibody for 30 min at room temperature. The secondary antibody used for 40 min at room temperature. Acquisition of 20,000 events was performed.





风险提示:丁香通仅作为第三方平台,为商家信息发布提供平台空间。用户咨询产品时请注意保护个人信息及财产安全,合理判断,谨慎选购商品,商家和用户对交易行为负责。对于医疗器械类产品,请先查证核实企业经营资质和医疗器械产品注册证情况。
文献和实验[IF={{ 3.973 }}] {Nian-jie Zhang. et al. Nonylphenol Promoted Epithelial–Mesenchymal Transition in Colorectal Cancer Cells by Upregulating the Expression of Regulator of Cell Cycle. CHEM RES TOXICOL. 2022;35(9):1533–1540} {IHC} {Human}
[IF={{ 3.969 }}] {Sonia I. Vlaicu. et al. RGC-32′ dual role in smooth muscle cells and atherogenesis. CLIN IMMUNOL. 2022 May;238:109020} {IHC} {Human}
[IF={{ 2.64 }}] {Vlaicu, Sonia I., et al. "RGC-32 is expressed in the human atherosclerotic arterial wall: Role in C5b-9-induced cell proliferation and migration."Experimental and Molecular Pathology 101.2 (2016): 221-230.} {IHC} {="Human"}
[IF={{ 2.487 }}] {Tatomir A et al. RGC-32 regulates reactive astrocytosis and extracellular matrix deposition in experimental autoimmune encephalomyelitis.Immunol Res. 2018 Jul 13.} {IHC,WB} {Human&Rat}
[IF={{ 12.7 }}] {Zhang Xinshu. et al. Multi-omics analysis of human tendon adhesion reveals that ACKR1-regulated macrophage migration is involved in regeneration. BONE RES. 2024 May;12(1):1-17} {IF} {Human}
= NAL), appears to form upon oxidative cyclization of the nonfluorescent 2:1 lysine-HNE Michael adduct-Schiff base cross-link (Scheme 1). Polyclonal antibody (PAb) to the NAL-HNE fluorophore was raised in rabbit and found to be highly specific
. Retrieved 2010-11-29. ^ Nielsen BS, Jørgensen S, Fog JU, Søkilde R, Christensen IJ, Hansen U, Brünner N, Baker A, Møller S, Nielsen HJ (October 2010). "High levels of microRNA-21 in the stroma of colorectal cancers predict short disease-free survival
2F+DwTquooTcizAj6Sh40arj1e+iWJ2ispgsbT801bWi9OaaVDQ0u7N9Rf22Q7je3ypEkT/aXtAx/4gHh20RbetchuWXizve3YY/3L0LGHHqt8Cva+97zf/vEfvyYb4imWXpTxLz8m4rvgjodswc3X26Xnn2o3LbjZPv/Fv5GGuGa33/ZzO2n2HD17NAEWeUXwmQh44uy32U+uutL+69e+6jjedfsddvSxx3m8xNNFQ67wipqQKHyESZ35
技术资料暂无技术资料 索取技术资料





