相关产品推荐更多 >

phospho-IRF3 (Ser386) Recombinant Rabbit mAb(bsm-52170R)-50ul/100ul/25ul
¥800
Rhodopsin/RP4/RHO Rabbit pAb, PE conjugated(bs-19872R-PE)-100ul
¥2980
MRPS9 Rabbit pAb(bs-17834R)-50ul/100ul/200ul
¥1180
ARIH2 Rabbit pAb, HRP conjugated(bs-12521R-HRP)-100ul
¥2980
FGFR2 Rabbit pAb, FITC conjugated(bs-0675R-FITC)-100ul
¥2980
万千商家帮你免费找货
0 人在求购买到急需产品
- 详细信息
- 文献和实验
- 技术资料
- 应用范围:
产品信息以Bioss网站为准
- 规格:
50ul/100ul/200ul
| 规格: | 50ul | 产品价格: | ¥1180.0 |
|---|---|---|---|
| 规格: | 100ul | 产品价格: | ¥1980.0 |
| 规格: | 200ul | 产品价格: | ¥2800.0 |
| 产品编号 | bs-2907R |
| 英文名称 | IKK alpha Rabbit pAb |
| 中文名称 | KB抑制蛋白激酶α/IKK-α/IKKα/I-κB-α 抗体 |
| 英文别名 | I Kappa B Kinase alpha; IKKalpha; IKK alpha; IkappaB kinase; IkB kinase alpha subunit; IKBKA; IKK 1; IKK A; IKK a kinase; IKK1; IKKA; Inhibitor Of Kappa Light Polypeptide Gene Enhancer In B Cells; Inhibitor Of Nuclear Factor Kappa B Kinase alpha Subunit; NFKBIKA; Nuclear Factor Kappa B Inhibitor Kinase alpha; Nuclear factor NF kappa B inhibitor kinase alpha; Nuclear factor NFkappaB inhibitor kinase alpha; Nuclear Factor Of Kappa Light Chain Gene Enhancer In B Cells Inhibitor; TCF16; CHUK1; CHUK; Conserved Helix Loop Helix Ubiquitous Kinase; Conserved helix loop ubiquitous kinase; I Kappa B Kinase 1; IkappaB kinase; IKKA_HUMAN. |
| 产品应用 | IHC-P=1:100-500, IHC-F=1:100-500, ICC/IF=1:100-500, IF=1:100-500, Flow-Cyt=1ug/Test Not yet tested in other applications. |
| 交叉反应 | Human, Mouse, Rat (Dog, Horse) |
| 抗体来源 | Rabbit |
| 免疫原 | KLH conjugated synthetic peptide derived from human IKK alpha |
| 亚型 | IgG |
| 性状 | Liquid |
| 纯化方法 | affinity purified by Protein A |
| 克隆类型 | Polyclonal |
| 理论分子量 | 85 kDa |
| 浓度 | 1mg/ml |
| 储存液 | 0.01M TBS (pH7.4) with 1% BSA, 0.02% Proclin300 and 50% Glycerol. |
| 研究领域 | Cancer > Cell Death > Apoptosis > Apoptosis Markers > NFkB > IKK Cardiovascular > Atherosclerosis > Vascular Inflammation > Inflammatory mediators Cell Biology > Apoptosis > Intracellular > NFkB > IKK Immunology > Innate Immunity > TLR Signaling Signal Transduction > Protein Phosphorylation > Ser / Thr Kinases > Other Kinases Signal Transduction > Signaling Pathway > Nuclear Signaling > NFkB Pathway |
| 亚基 | Component of the I-kappa-B-kinase (IKK) core complex consisting of CHUK, IKBKB and IKBKG; probably four alpha/CHUK-beta/IKBKB dimers are associated with four gamma/IKBKG subunits. The IKK core complex seems to associate with regulatory or adapter proteins to form a IKK-signalosome holo-complex. The IKK complex associates with TERF2IP/RAP1, leading to promote IKK-mediated phosphorylation of RELA/p65. Part of a complex composed of NCOA2, NCOA3, CHUK/IKKA, IKBKB, IKBKG and CREBBP. Part of a 70-90 kDa complex at least consisting of CHUK/IKKA, IKBKB, NFKBIA, RELA, IKBKAP and MAP3K14. Directly interacts with IKK-gamma/NEMO and TRPC4AP (By similarity). May interact with TRAF2. Interacts with NALP2. May interact with MAVS/IPS1. Interacts with ARRB1 and ARRB2. Interacts with NLRC5; prevents CHUK phosphorylation and kinase activity. Interacts with PIAS1; this interaction induces PIAS1 phosphorylation. |
| 亚细胞定位 | Cytoplasm. Nucleus. Note=Shuttles between the cytoplasm and the nucleus. |
| 组织特异性 | Widely expressed. |
| 翻译后修饰 | Phosphorylated by MAP3K14/NIK, AKT and to a lesser extent by MEKK1, and dephosphorylated by PP2A. Autophosphorylated.
Acetylation of Thr-179 by Yersinia yopJ prevents phosphorylation and activation, thus blocking the I-kappa-B signaling pathway. |
| 相似性 | Belongs to the protein kinase superfamily. Ser/Thr protein kinase family. I-kappa-B kinase subfamily. Contains 1 protein kinase domain. |
| 功能 | Serine kinase that plays an essential role in the NF-kappa-B signaling pathway which is activated by multiple stimuli such as inflammatory cytokines, bacterial or viral products, DNA damages or other cellular stresses. Acts as part of the canonical IKK complex in the conventional pathway of NF-kappa-B activation and phosphorylates inhibitors of NF-kappa-B on serine residues. These modifications allow polyubiquitination of the inhibitors and subsequent degradation by the proteasome. In turn, free NF-kappa-B is translocated into the nucleus and activates the transcription of hundreds of genes involved in immune response, growth control, or protection against apoptosis. Negatively regulates the pathway by phosphorylating the scaffold protein TAXBP1 and thus promoting the assembly of the A20/TNFAIP3 ubiquitin-editing complex (composed of A20/TNFAIP3, TAX1BP1, and the E3 ligases ITCH and RNF11). Therefore, CHUK plays a key role in the negative feedback of NF-kappa-B canonical signaling to limit inflammatory gene activation. As part of the non-canonical pathway of NF-kappa-B activation, the MAP3K14-activated CHUK/IKKA homodimer phosphorylates NFKB2/p100 associated with RelB, inducing its proteolytic processing to NFKB2/p52 and the formation of NF-kappa-B RelB-p52 complexes. In turn, these complexes regulate genes encoding molecules involved in B-cell survival and lymphoid organogenesis. Participates also in the negative feedback of the non-canonical NF-kappa-B signaling pathway by phosphorylating and destabilizing MAP3K14/NIK. Within the nucleus, phosphorylates CREBBP and consequently increases both its transcriptional and histone acetyltransferase activities. Modulates chromatin accessibility at NF-kappa-B-responsive promoters by phosphorylating histones H3 at 'Ser-10' that are subsequently acetylated at 'Lys-14' by CREBBP. Additionally, phosphorylates the CREBBP-interacting protein NCOA3. |
| 保存条件 | Shipped at 4℃. Store at -20℃ for one year. Avoid repeated freeze/thaw cycles. |
| 注意事项 | This product as supplied is intended for research use only, not for use in human, therapeutic or diagnostic applications. |
| 背景资料 | Nuclear factor kappa B (NFkB) is a ubiquitous transcription factor and an essential mediator of gene expression during activation of immune and inflammatory responses. NFkB mediates the expression of a great variety of genes in response to extracellular stimuli including IL1, TNF alpha, and bacterial product LPS. NFkB is associated with IkB proteins in the cell cytoplasm, which inhibit NFkB activity. IKK is a serine protein kinase, and the IKK complex contains alpha and beta subunits (IKK alpha and IKK beta). IKK alpha and IKK beta interact with each other and both are essential for NFkB activation. IKK alpha specifically phosphorylates IkBa. IKKa is expressed in variety of human tissues. |
| 应用 | 推荐稀释比例 |
| {IHC-P} | {1:100-500} |
| {IHC-F} | {1:100-500} |
| {ICC/IF} | {1:100-500} |
| {IF} | {1:100-500} |
| {Flow-Cyt} | {1ug/Test} |

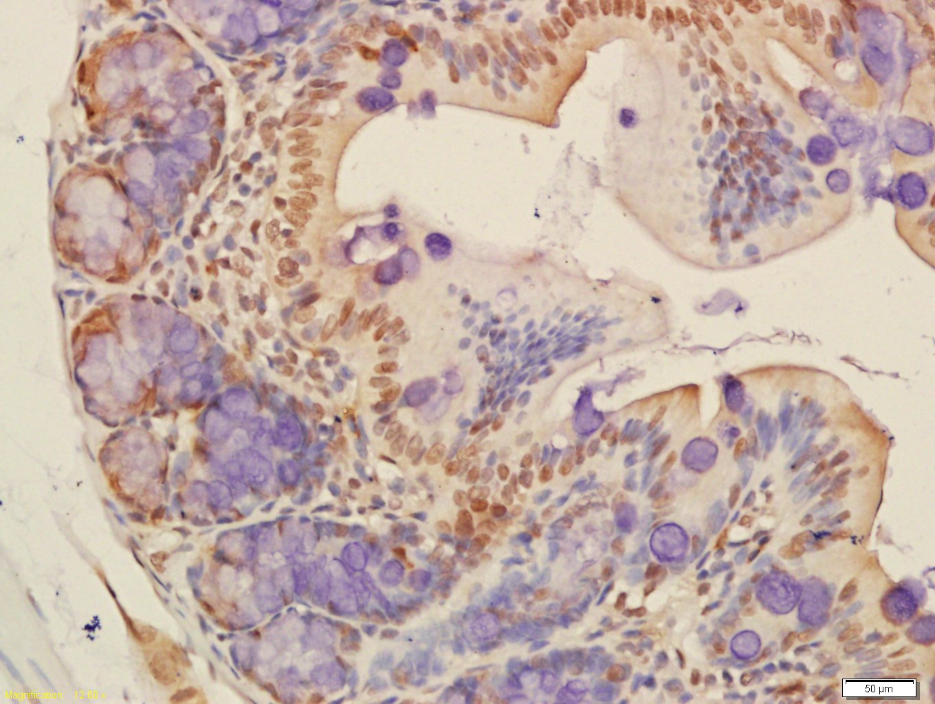
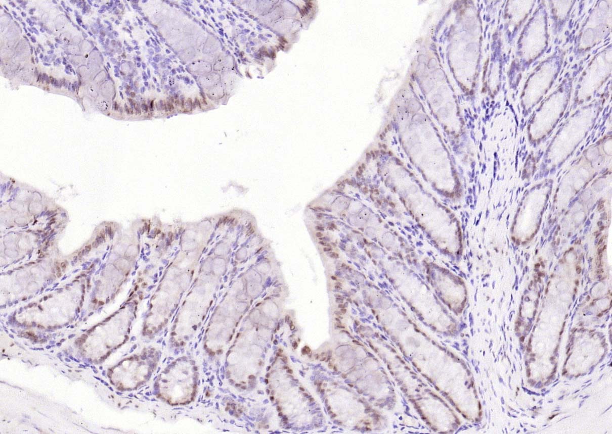
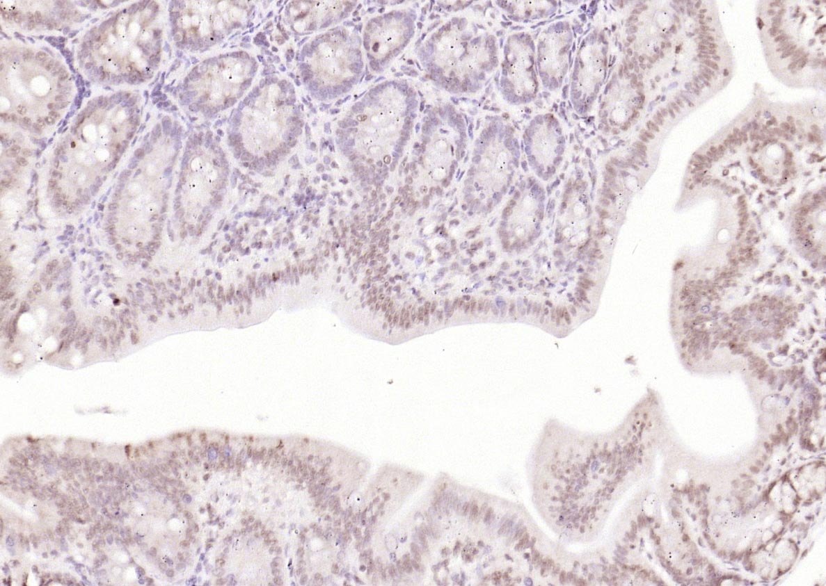
Antigen retrieval: citrate buffer ( 0.01M, pH 6.0 ), Boiling bathing for 15min; Block endogenous peroxidase by 3% Hydrogen peroxide for 30min; Blocking buffer (normal goat serum,C-0005) at 37℃ for 20 min;
Incubation: Anti-IKK alpha Polyclonal Antibody, Unconjugated(bs-2907R) 1:200, overnight at 4°C, followed by conjugation to the secondary antibody(SP-0023) and DAB(C-0010) staining







Primary Antibody (green line): Rabbit Anti-IKK alpha antibody (bs-2907R)
Dilution:1ug/Test;
Secondary Antibody(white blue line): Goat anti-rabbit IgG-AF488
Dilution: 0.5ug/Test.
Isotype control(orange line): Normal Rabbit IgG
Protocol
The cells were fixed with 4% PFA (10min at room temperature)and then permeabilized with 90% ice-cold methanol for 20 min at -20℃, The cells were then incubated in 5%BSA to block non-specific protein-protein interactions for 30 min at room temperature .Cells stained with Primary Antibody for 30 min at room temperature. The secondary antibody used for 40 min at room temperature. Acquisition of 20,000 events was performed.
风险提示:丁香通仅作为第三方平台,为商家信息发布提供平台空间。用户咨询产品时请注意保护个人信息及财产安全,合理判断,谨慎选购商品,商家和用户对交易行为负责。对于医疗器械类产品,请先查证核实企业经营资质和医疗器械产品注册证情况。
文献和实验[IF={{ 9.038 }}] {Xuting Liu. et al. Amorphous silica nanoparticles induce inflammation via activation of NLRP3 inflammasome and HMGB1/TLR4/MYD88/NF-kb signaling pathway in HUVEC cells. J Hazard Mater. 2021 Feb;404:124050} {WB} {Human}
[IF={{ 6.475 }}] {Yongli Zhang. et al. Licorice extract ameliorates hyperglycemia through reshaping gut microbiota structure and inhibiting TLR4/NF-κB signaling pathway in type 2 diabetic mice. Food Res Int. 2022 Mar;153:110945} {WB} {Mouse}
[IF={{ 6.291 }}] {Shaofeng Wu. et al. The neuroprotective effect of curcumin against ATO triggered neurotoxicity through Nrf2 and NF-κB signaling pathway in the brain of ducks. Ecotox Environ Safe. 2021 Dec;228:112965} {WB} {Duck}
[IF={{ 4.925 }}] {Yuan P et al. The nanomaterial-induced bystander effects reprogrammed macrophage immune function and metabolic profile. Nanotoxicology . 2020 Oct;14(8):1137-1155.} {WB} {Human}
[IF={{ 4.556 }}] {Bobae Kimet al. B-Cell-Activating Factor Depletion Ameliorates Aging-Dependent Insulin Resistance via Enhancement of Thermogenesis in Adipose Tissues. Int J Mol Sci . 2020 Jul 20;21(14):5121.} {WB} {mouse}
Nucleic Acid Programmable Protein Arrays: Versatile Tools for Array‐Based Functional Protein Studies
.g., Sigma) 50 mg/ml bis‐sulfosuccinimdylsuberate (BS3 ;Pierce, cat. no. PI 21580) in dimethylsulfoxide (DMSO) 5 mg/ml
Generation of Spatio‐Temporally Controlled Targeted Somatic Mutations in the Mouse
Syringe (1‐ml equipped with a 25‐G needle; Terumo, cat. no. BS‐01 H2516) Gas anesthesia station for rodents (TEM)
技术资料暂无技术资料 索取技术资料






