相关产品推荐更多 >

Anti-human B7-H4 / VTCN1 (Alsevalimab Biosimilar)(BIO0440SM)-1mg/5mg/20mg
¥3200
Cyp2J3 Rabbit pAb, HRP conjugated(bs-2123R-HRP)-100ul
¥2980
GMEB2 Rabbit pAb(bs-13456R)-50ul/100ul/200ul
¥1180
HRG1 Rabbit pAb(bs-11917R)-50ul/100ul/200ul
¥1180
phospho-TIE2 (Tyr1108) Rabbit pAb(bs-12262R)-50ul/100ul/200ul
¥1180
万千商家帮你免费找货
0 人在求购买到急需产品
- 详细信息
- 文献和实验
- 技术资料
- 应用范围:
产品信息以Bioss网站为准
- 规格:
50ul/100ul/200ul
| 规格: | 50ul | 产品价格: | ¥1180.0 |
|---|---|---|---|
| 规格: | 100ul | 产品价格: | ¥1980.0 |
| 规格: | 200ul | 产品价格: | ¥2800.0 |
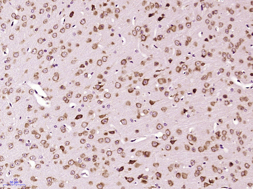
| 产品编号 | bs-1850R |
| 英文名称 | NR3C2/Mineralocorticoid receptor Rabbit pAb |
| 中文名称 | 盐皮质激素受体抗体 |
| 英文别名 | Aldosterone receptor; MCR; MGC133092; MLR; MR; NR3 C2; NR3C2; NR3C2 protein; Nuclear receptor subfamily 3 group C member 2; MCR_HUMAN. |
| 产品应用 | IHC-P=1:100-500, IHC-F=1:100-500, IF=1:100-500, Flow-Cyt=1ug/test Not yet tested in other applications. |
| 交叉反应 | Human, Mouse (Rat, Chicken, Dog, Pig, Cow, Rabbit) |
| 抗体来源 | Rabbit |
| 免疫原 | KLH conjugated synthetic peptide derived from human Mineralocorticoid receptor |
| 亚型 | IgG |
| 性状 | Liquid |
| 纯化方法 | affinity purified by Protein A |
| 克隆类型 | Polyclonal |
| 理论分子量 | 107 kDa |
| 浓度 | 1mg/ml |
| 储存液 | 0.01M TBS (pH7.4) with 1% BSA, 0.02% Proclin300 and 50% Glycerol. |
| 亚基 | Heteromultimeric cytoplasmic complex with HSP90, HSP70, and FKBP4, in the absence of ligand. After ligand binding, it translocates to the nucleus and binds to DNA as a homodimer and as a heterodimer with NR3C1. May interact with HSD11B2 in the absence of ligand. Binds the coactivators NCOA1, NCOA2, TIF1 and NRIP1. |
| 亚细胞定位 | Cytoplasm. Nucleus. Endoplasmic reticulum membrane; Peripheral membrane protein. Note=Cytoplasmic and nuclear in the absence of ligand; nuclear after ligand-binding. When bound to HSD11B2, it is found associated with the endoplasmic reticulum membrane. |
| 组织特异性 | Ubiquitous. Highly expressed in distal tubules, convoluted tubules and cortical collecting duct in kidney, and in sweat glands. Detected at lower levels in cardiomyocytes, in epidermis and in colon enterocytes. |
| 翻译后修饰 | Phosphorylated. |
| 相似性 | Belongs to the nuclear hormone receptor family. NR3 subfamily. Contains 1 nuclear receptor DNA-binding domain. |
| 功能 | Receptor for both mineralocorticoids (MC) such as aldosterone and glucocorticoids (GC) such as corticosterone or cortisol. Binds to mineralocorticoid response elements (MRE) and transactivates target genes. The effect of MC is to increase ion and water transport and thus raise extracellular fluid volume and blood pressure and lower potassium levels. |
| 保存条件 | Shipped at 4℃. Store at -20℃ for one year. Avoid repeated freeze/thaw cycles. |
| 注意事项 | This product as supplied is intended for research use only, not for use in human, therapeutic or diagnostic applications. |
| 背景资料 | Steroid receptors are ligand dependent, intracellular proteins that stimulate transcription of specific genes by binding to specific DNA sequences following activation by the appropriate hormone. Mineralocorticoids are a family of steroids, secreted by the adrenal cortex, necessary for the regulation of a number of metabolic processes including electrolyte regulation. These compounds exert their effect through their interaction with the mineralocorticoid receptor and that complex's subsequent association with DNA. Given the function of mineralocorticoids, it is not surprising to find that the kidney is a primary target organ for mineralocorticoids and that this organ has been shown to contain Mineralocorticoid Receptor. |
| 应用 | 推荐稀释比例 |
| {IHC-P} | {1:100-500} |
| {IHC-F} | {1:100-500} |
| {IF} | {1:100-500} |
| {Flow-Cyt} | {1ug/test} |


Primary Antibody (green line): Rabbit Anti-RPS6KB1 antibody (bs-1850R)
Dilution: 1μg /10^6 cells;
Isotype Control Antibody (orange line): Rabbit IgG .
Secondary Antibody : Goat anti-rabbit IgG-AF647
Dilution: 1μg /test.
Protocol
The cells were fixed with 4% PFA (10min at room temperature)and then permeabilized with 90% ice-cold methanol for 20 min at-20℃. The cells were then incubated in 5%BSA to block non-specific protein-protein interactions for 30 min at at room temperature .Cells stained with Primary Antibody for 30 min at room temperature. The secondary antibody used for 40 min at room temperature. Acquisition of 20,000 events was performed.
风险提示:丁香通仅作为第三方平台,为商家信息发布提供平台空间。用户咨询产品时请注意保护个人信息及财产安全,合理判断,谨慎选购商品,商家和用户对交易行为负责。对于医疗器械类产品,请先查证核实企业经营资质和医疗器械产品注册证情况。
文献和实验[IF={{ 4.848 }}] {Zongfu Pan. et al. A Dynamic Transcription Factor Signature Along the Colorectal Adenoma-Carcinoma Sequence in Patients With Co-Occurrent Adenoma and Carcinoma. Front Oncol. 2021; 11: 597447} {IHC} {Human}
[IF={{ 4.12 }}] {Furukawa et al. Up-regulation of claudin-2 expression by aldosterone in colonic epithelial cells of mice fed with NaCl-depleted diets. (2017) Sci.Rep. 7:12223} {ChIP,IF} {Mouse}
[IF={{ 3.263 }}] {Ademola Adetokunbo Oyagbemi et al. Antihypertensive power of Naringenin is mediated via attenuation of mineralocorticoid receptor (MCR)/ angiotensin converting enzyme (ACE)/ kidney injury molecule (Kim-1) signaling pathway. Eur J Pharmacol. 2020 Aug 5;880:173142.} {IHC} {Rat}
[IF={{ 1.92 }}] {Liu, Chen, et al. "Pulmonary artery denervation improves pulmonary arterial hypertension induced right ventricular dysfunction by modulating the local renin-angiotensin-aldosterone system." BMC Cardiovascular Disorders 16.1 (2016): 192.} {WB} {="Dog"}
secondary antibody review -- data from 99 publications
data
, Algermissen, B. et al. 3. Purification of rabbit liver aldehyde oxidase by affinity chromatography on benzamidine Sepharose 6B. J. Chromatogr. (1989), 475 363-72, Stell, J. G. P. et al. 4. The Crystal Structure of a T Cell Receptor in Complex
Transplantation Models to Characterize the Mechanisms of Stem Cell–Induced Islet Regeneration
Iscove's modified Dulbecco's medium (IMDM; Invitrogen, cat. no. 12440‐046) HCFC expansion medium: X‐Vivo 15 medium (Lonza, cat. no. 04‐744Q) supplemented with 10 ng/ml Flt
技术资料暂无技术资料 索取技术资料






