相关产品推荐更多 >
万千商家帮你免费找货
0 人在求购买到急需产品
- 详细信息
- 文献和实验
- 技术资料
- 应用范围:
产品信息以Bioss网站为准
- 规格:
50ul/100ul/200ul
| 规格: | 50ul | 产品价格: | ¥1180.0 |
|---|---|---|---|
| 规格: | 100ul | 产品价格: | ¥1980.0 |
| 规格: | 200ul | 产品价格: | ¥2800.0 |
| 产品编号 | bs-1390R |
| 英文名称 | Cdc6 Rabbit pAb |
| 中文名称 | 细胞分裂周期蛋白6抗体 |
| 英文别名 | Cell Division Cycle protein 6; Cdc 18L; Cdc 6; CDC18(cell division cycle 18, S.pombe, homolog) like; CDC18(S.pombe); CDC18 like; CDC18(S.pombe); Cdc18L; CDC6 related protein; Cdc6p; Cell cycle controller; Cell division control protein 6; Cell division control protein 6 homolog; Cell division cycle 18; Cell division cycle 18 homolog; Cell division cycle 6 homolog; Cell division cycle 6 protein; HsCDC 18; HsCDC 6; HsCDC18; HsCDC6; p62; p62(cdc 6); p62(cdc6). |
| 产品应用 | WB=1:500-2000, IHC-P=1:100-500, IHC-F=1:100-500, ICC/IF=1:100-500, IF=1:100-500, Flow-Cyt=1ug/Test Not yet tested in other applications. |
| 交叉反应 | Human, Mouse, Rat (Cow) |
| 抗体来源 | Rabbit |
| 免疫原 | KLH conjugated synthetic peptide derived from human Cdc6 |
| 亚型 | IgG |
| 性状 | Liquid |
| 纯化方法 | affinity purified by Protein A |
| 克隆类型 | Polyclonal |
| 理论分子量 | 63 kDa |
| 浓度 | 1mg/ml |
| 储存液 | 0.01M TBS (pH7.4) with 1% BSA, 0.02% Proclin300 and 50% Glycerol. |
| 研究领域 | Cell Biology > Cell Cycle > Cell Division > Other cell division antibodies Epigenetics and Nuclear Signaling > DNA / RNA > DNA Synthesis |
| 亚基 | Interacts with PCNA, ORC1L, cyclin-CDK and HUWE1. |
| 亚细胞定位 | Nucleus. Cytoplasm. The protein is nuclear in G1 and cytoplasmic in S-phase cells. |
| 相似性 | Sequence similaritiesBelongs to the CDC6/cdc18 family. |
| 功能 | Involved in the initiation of DNA replication. Also participates in checkpoint controls that ensure DNA replication is completed before mitosis is initiated. |
| 保存条件 | Shipped at 4℃. Store at -20℃ for one year. Avoid repeated freeze/thaw cycles. |
| 注意事项 | This product as supplied is intended for research use only, not for use in human, therapeutic or diagnostic applications. |
| 背景资料 | Cell cycle events are regulated by the sequential activation and deactivation of cyclin depended kinase (Cdks) and by the proteolysis of cyclins. The cell division cycle (Cdc) genes are required at various points in the cell cycle. Cdc6 is the human homolog of Saccharomyces cerevisiae Cdc6, which is involved in the initiation of DNA replication. Cdc6 is essential for assembling the pre-replicative complex that forms at origins of DNA replication in the G1 phase of the cell cycle in budding yeast (S. cerevisiae). Cdc6 is also involved in checkpoint controls that ensure that DNA replication is completed before initiation of mitosis. |
| 应用 | 推荐稀释比例 |
| {WB} | {1:500-2000} |
| {IHC-P} | {1:100-500} |
| {IHC-F} | {1:100-500} |
| {ICC/IF} | {1:100-500} |
| {IF} | {1:100-500} |
| {Flow-Cyt} | {1ug/Test} |

Hela cell; 4% Paraformaldehyde-fixed; Triton X-100 at room temperature for 20 min; Blocking buffer (normal goat serum, C-0005) at 37°C for 20 min; Antibody incubation with (Cdc6) polyclonal Antibody, Unconjugated (bs-1390R) 1:100, 90 minutes at 37°C; followed by a conjugated Goat Anti-Rabbit IgG antibody at 37°C for 90 minutes, DAPI (blue, C02-04002) was used to stain the cell nuclei.

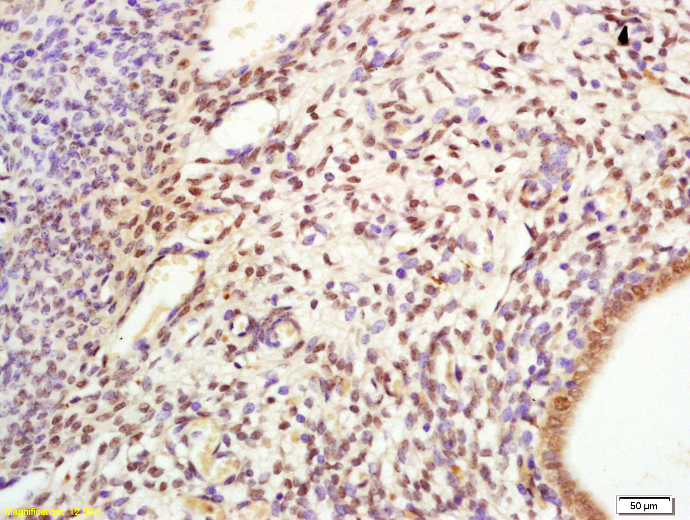
Tissue/cell: rat uterus tissue; 4% Paraformaldehyde-fixed and paraffin-embedded;
Antigen retrieval: citrate buffer ( 0.01M, pH 6.0 ), Boiling bathing for 15min; Block endogenous peroxidase by 3% Hydrogen peroxide for 30min; Blocking buffer (normal goat serum,C-0005) at 37℃ for 20 min;
Incubation: Anti-Cdc6 Polyclonal Antibody, Unconjugated(bs-1390R) 1:200, overnight at 4°C, followed by conjugation to the secondary antibody(SP-0023) and DAB(C-0010) staining
Antigen retrieval: citrate buffer ( 0.01M, pH 6.0 ), Boiling bathing for 15min; Block endogenous peroxidase by 3% Hydrogen peroxide for 30min; Blocking buffer (normal goat serum,C-0005) at 37℃ for 20 min;
Incubation: Anti-Cdc6 Polyclonal Antibody, Unconjugated(bs-1390R) 1:200, overnight at 4°C, followed by conjugation to the secondary antibody(SP-0023) and DAB(C-0010) staining

Sample: K562 Cell Lysate at 30 ug
Primary: Anti- Cdc6 (bs-1390R) at 1/300 dilution
Secondary: IRDye800CW Goat Anti-Rabbit IgG at 1/20000 dilution
Predicted band size: 63 kD
Observed band size: 63 kD
Primary: Anti- Cdc6 (bs-1390R) at 1/300 dilution
Secondary: IRDye800CW Goat Anti-Rabbit IgG at 1/20000 dilution
Predicted band size: 63 kD
Observed band size: 63 kD

Blank control:Hela.
Primary Antibody (green line): Rabbit Anti-Cdc6 antibody (bs-1390R)
Dilution: 1ug/Test;
Protocol
The cells were fixed with 4% PFA (10min at room temperature)and then permeabilized with 90% ice-cold methanol for 20 min at -20℃.The cells were then incubated in 5%BSA to block non-specific protein-protein interactions for 30 min at room temperature .Cells stained with Primary Antibody for 30 min at room temperature.Acquisition of 20,000 events was performed.
Primary Antibody (green line): Rabbit Anti-Cdc6 antibody (bs-1390R)
Dilution: 1ug/Test;
Protocol
The cells were fixed with 4% PFA (10min at room temperature)and then permeabilized with 90% ice-cold methanol for 20 min at -20℃.The cells were then incubated in 5%BSA to block non-specific protein-protein interactions for 30 min at room temperature .Cells stained with Primary Antibody for 30 min at room temperature.Acquisition of 20,000 events was performed.

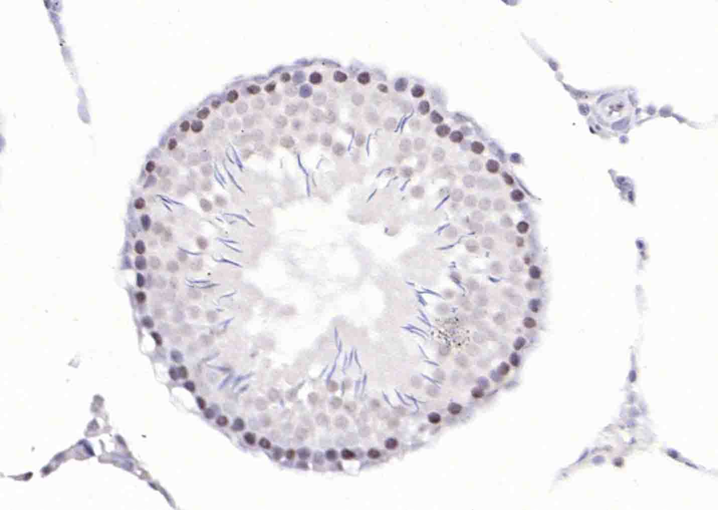
Paraformaldehyde-fixed, paraffin embedded (mouse testis); Antigen retrieval by boiling in sodium citrate buffer (pH6.0) for 15min; Block endogenous peroxidase by 3% hydrogen peroxide for 20 minutes; Blocking buffer (normal goat serum) at 37°C for 30min; Antibody incubation with (Cdc6) Polyclonal Antibody, Unconjugated (bs-1390R) at 1:200 overnight at 4°C, followed by operating according to SP Kit(Rabbit) (sp-0023) instructionsand DAB staining.
风险提示:丁香通仅作为第三方平台,为商家信息发布提供平台空间。用户咨询产品时请注意保护个人信息及财产安全,合理判断,谨慎选购商品,商家和用户对交易行为负责。对于医疗器械类产品,请先查证核实企业经营资质和医疗器械产品注册证情况。
文献和实验该产品被引用文献
[IF={{ 4.522 }}] {Elsaeid Elnour I et al. Bta‐miR‐885 promotes proliferation and inhibits differentiation of myoblasts by targeting MyoD1. J Cell Physiol. 2020 Jan 27.} {WB} {Bovine}
[IF={{ 1.422 }}] {Ran M et al. miR-26a suppresses autophagy in swine Sertoli cells by targeting ULK2.Reprod Domest Anim. 2018 Aug;53(4):864-871.} {WB} {Pig}
技术资料暂无技术资料 索取技术资料
文献支持
Cdc6 Rabbit pAb(bs-1390R)-50ul/100ul/200ul
¥1180 - 2800








