相关产品推荐更多 >

phospho-EPH A3+A4+A5 ( Tyr779) Rabbit pAb(bs-7555R)-50ul/100ul/200ul
¥1180
HFE Rabbit pAb, Cy5.5 conjugated(bs-12335R-Cy5.5)-100ul
¥2980
Ulex Europaeus Lectin 1 Rabbit pAb(bs-3584R)-50ul/100ul/200ul
¥1180
GRM1 Rabbit pAb, BF488 conjugated(bs-12011R-BF488)-100ul
¥2980
CAIV/Carbonic Anhydrase IV Rabbit pAb, HRP conjugated(bs-8722R-HRP)-100ul
¥2980
万千商家帮你免费找货
0 人在求购买到急需产品
- 详细信息
- 文献和实验
- 技术资料
- 应用范围:
产品信息以Bioss网站为准
- 规格:
50ul/100ul
| 规格: | 50ul | 产品价格: | ¥1180.0 |
|---|---|---|---|
| 规格: | 100ul | 产品价格: | ¥1980.0 |
| 产品编号 | bs-2753R |
| 英文名称 | CENPA Rabbit pAb |
| 中文名称 | 着丝粒蛋白A |
| 英文别名 | CENP A; CENP-A; Centromere autoantigen A; Centromere protein A 17kDa; centromere protein A; centromeric protein A; Histone H3 like centromeric protein A; cenpa; CENPA_HUMAN; Histone H3-like centromeric protein A. |
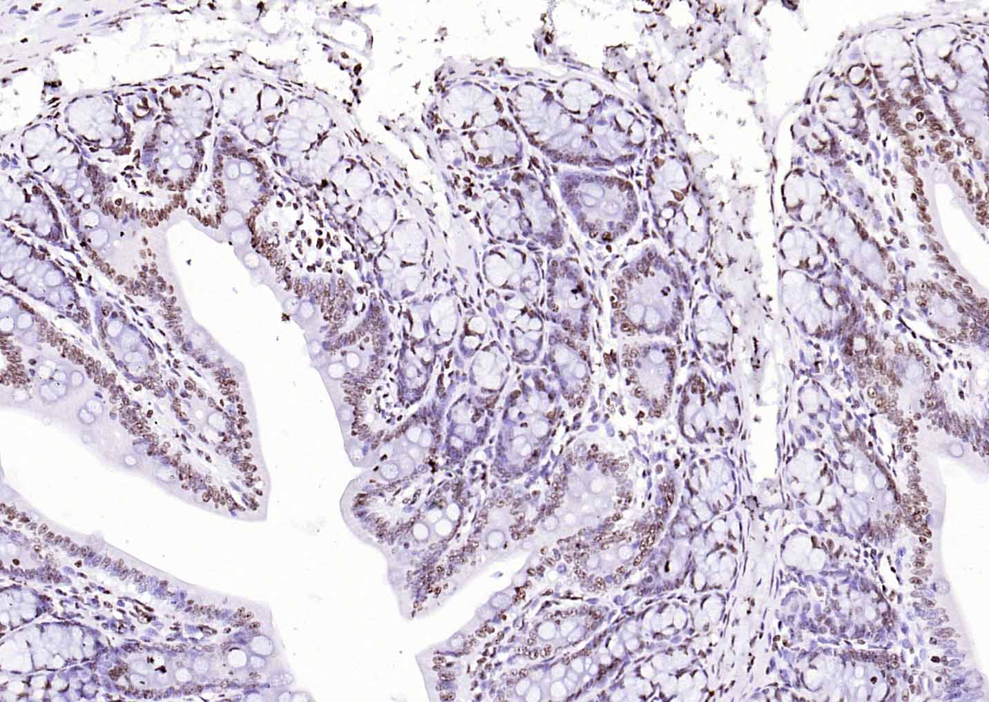
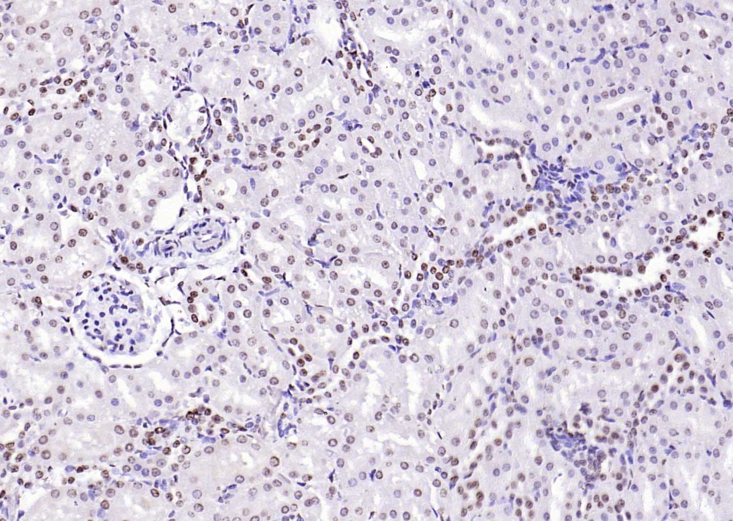
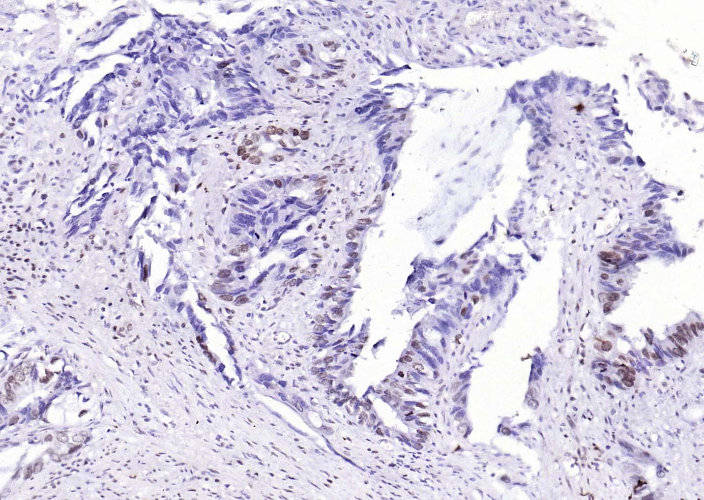
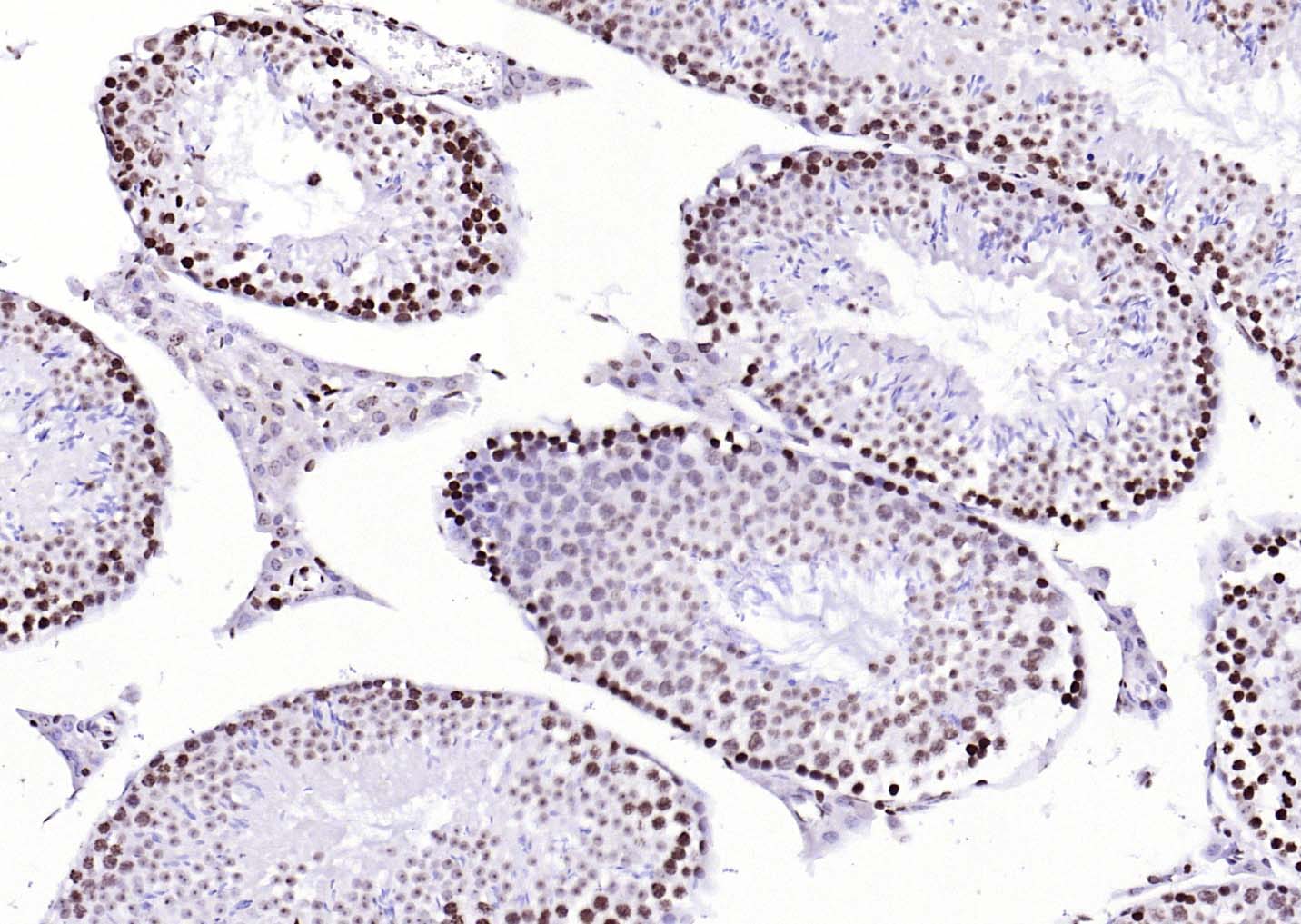
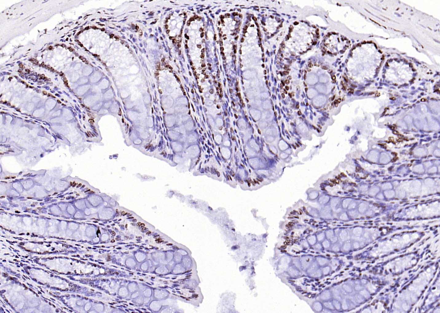
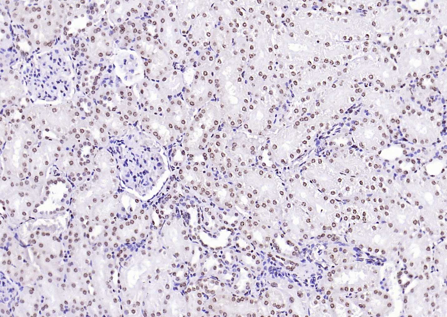
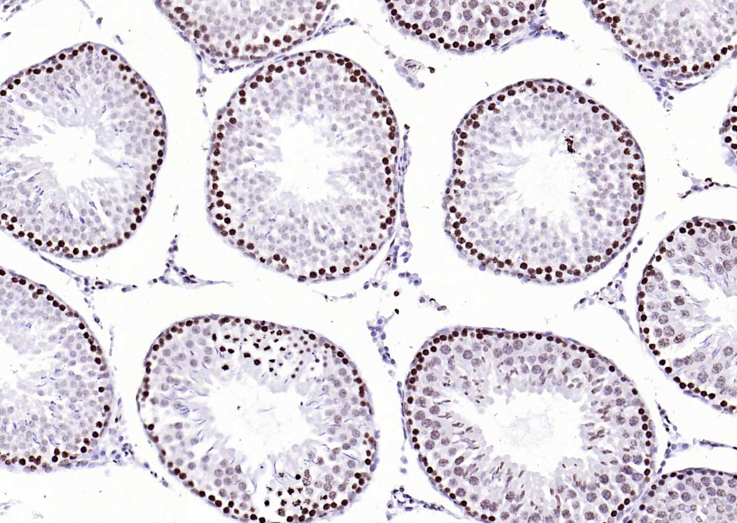
| 产品应用 | IHC-P=1:100-500, IHC-F=1:100-500, IF=1:100-500, ELISA=1:5000-10000 Not yet tested in other applications. |
| 交叉反应 | Human, Mouse |
| 抗体来源 | Rabbit |
| 免疫原 | KLH conjugated synthetic peptide derived from human CENPA |
| 亚型 | IgG |
| 性状 | Liquid |
| 纯化方法 | affinity purified by Protein A |
| 克隆类型 | Polyclonal |
| 理论分子量 | 15 kDa |
| 浓度 | 1mg/ml |
| 储存液 | 0.01M TBS (pH7.4) with 1% BSA, 0.02% Proclin300 and 50% Glycerol. |
| 研究领域 | Epigenetics and Nuclear Signaling > Cell cycle > Chromosome Structure > Centromere Epigenetics and Nuclear Signaling > Chromosome Structure > Centromeres Epigenetics and Nuclear Signaling > Histones > Variants |
| 亚基 | Forms a nucleosome-like histone octamer containing two molecules each of H2A, H2B, CENPA and H4 assembled in one CENPA-H4 heterotetramer and two H2A-H2B heterodimers. Nucleosomes containing CENPA also contain histone H2A variants such as macroH2A H2AFY and H2A.Z/H2AFZ. The CENPA-H4 heterotetramer is more compact and structurally more rigid than corresponding H3-H4 heterotetramers. Heterotrimer composed of HJURP, CENPA and histone H4, where HJURP interacts with the dimer formed by CENPA and histone H4 and prevents tetramerization of CENPA and H4. Component of the CENPA-NAC complex, at least composed of CENPA, CENPC, CENPH, CENPM, CENPN, CENPT and MLF1IP/CENPU. Interacts (via CATD domain) with HJURP; the interaction is direct and is required for its localization to centromeres. Interacts with CENPC, CENPN and CENPT; interaction is direct. Interacts directly with herpes virus HSV-1 ICP0 protein. Part of a centromere complex consisting of CENPA, CENPT and CENPW. |
| 亚细胞定位 | Nucleus. Chromosome, centromere, kinetochore. Note=Localizes exclusively in the kinetochore domain of centromeres. Occupies a compact domain at the inner kinetochore plate stretching across 2 thirds of the length of the constriction but encompassing only one third of the constriction width and height. |
| 组织特异性 | Ubiquitinated (Probable). Interaction with herpes virus HSV-1 ICP0 protein, leads to its degradation by the proteasome pathway. Phosphorylation of Ser-7 by AURKA and AURKB during prophase is required for localization of AURKA and AURKB at inner centromere and is essential for kinetochore function. Initial phosphorylation during prophase is mediated by AURKA and is maintained by AURKB. Poly-ADP-ribosylated by PARP1. |
| 相似性 | Belongs to the histone H3 family. |
| 功能 | Histone H3-like variant which exclusively replaces conventional H3 in the nucleosome core of centromeric chromatin at the inner plate of the kinetochore. Required for recruitment and assembly of kinetochore proteins, mitotic progression and chromosome segregation. May serve as an epigenetic mark that propagates centromere identity through replication and cell division. The CENPA-H4 heterotetramer can bind DNA by itself (in vitro). |
| 保存条件 | Shipped at 4℃. Store at -20℃ for one year. Avoid repeated freeze/thaw cycles. |
| 注意事项 | This product as supplied is intended for research use only, not for use in human, therapeutic or diagnostic applications. |
| 背景资料 | Centromeres are the differentiated chromosomal domains that specify the mitotic behavior of chromosomes. CENPA encodes a centromere protein which contains a histone H3 related histone fold domain that is required for targeting to the centromere. CENPA is proposed to be a component of a modified nucleosome or nucleosome-like structure in which it replaces 1 or both copies of conventional histone H3 in the (H3-H4)2 tetrameric core of the nucleosome particle. Alternative splicing results in multiple transcript variants encoding distinct isoforms. [provided by RefSeq]. |
| 应用 | 推荐稀释比例 |
| {IHC-P} | {1:100-500} |
| {IHC-F} | {1:100-500} |
| {IF} | {1:100-500} |
| {ELISA} | {1:5000-10000} |








风险提示:丁香通仅作为第三方平台,为商家信息发布提供平台空间。用户咨询产品时请注意保护个人信息及财产安全,合理判断,谨慎选购商品,商家和用户对交易行为负责。对于医疗器械类产品,请先查证核实企业经营资质和医疗器械产品注册证情况。
文献和实验[IF={{ 5.8 }}] {Tiyun Wu. et al. Bromodomain protein BRD4 directs mitotic cell division of mouse fibroblasts by inhibiting DNA damage. ISCIENCE. 2024 Apr 29} {WB} {Mouse}
= NAL), appears to form upon oxidative cyclization of the nonfluorescent 2:1 lysine-HNE Michael adduct-Schiff base cross-link (Scheme 1). Polyclonal antibody (PAb) to the NAL-HNE fluorophore was raised in rabbit and found to be highly specific
GE Healthcare Benzamidine Sepharose™ 6B is p-aminobenzamidine covalently attached to Sepharose 6B by the epoxy coupling method. p-Aminobenzamidine (PAB), is a synthetic inhibitor of trypsin-like serine protease. Trypsin and trypsin
Nucleic Acid Programmable Protein Arrays: Versatile Tools for Array‐Based Functional Protein Studies
.g., Sigma) 50 mg/ml bis‐sulfosuccinimdylsuberate (BS3 ;Pierce, cat. no. PI 21580) in dimethylsulfoxide (DMSO) 5 mg/ml
技术资料暂无技术资料 索取技术资料






