相关产品推荐更多 >

Connexin-29 Rabbit pAb(bs-8697R)-50ul/100ul/200ul
¥1180
Galectin 12 Rabbit pAb, BF750 conjugated(bs-8413R-BF750)-100ul
¥2980
Contactin 1 Rabbit pAb, BF405 conjugated(bs-13973R-BF405)-100ul
¥2980
C3orf20 Rabbit pAb(bs-15167R)-50ul/100ul/200ul
¥1180
Engrailed 1 Rabbit pAb, PE-Cy7 conjugated(bs-11744R-PE-Cy7)-100ul
¥2980
万千商家帮你免费找货
0 人在求购买到急需产品
- 详细信息
- 文献和实验
- 技术资料
- 应用范围:
产品信息以Bioss网站为准
- 规格:
50ul/100ul/200ul
| 规格: | 50ul | 产品价格: | ¥1180.0 |
|---|---|---|---|
| 规格: | 100ul | 产品价格: | ¥1980.0 |
| 规格: | 200ul | 产品价格: | ¥2800.0 |
| 产品编号 | bs-6585R |
| 英文名称 | Desmoglein 3 Rabbit pAb |
| 中文名称 | 桥粒芯蛋白3抗体 |
| 英文别名 | 130 kD pemphigus vulgaris antigen; Balding; CDHF 6; CDHF6; Desmoglein 3 precursor; Desmoglein3; DKFZp686P23184; DSG 3; DSG3; DSG-3; Pemphigus vulgaris antigen; PVA; DSG3_HUMAN. |
| 产品应用 | IHC-P=1:100-500, IHC-F=1:100-500, IF=1:100-500 Not yet tested in other applications. |
| 交叉反应 | Rat (Human, Mouse, Dog, Rabbit) |
| 抗体来源 | Rabbit |
| 免疫原 | KLH conjugated synthetic peptide derived from human Desmoglein 3 |
| 亚型 | IgG |
| 性状 | Liquid |
| 纯化方法 | affinity purified by Protein A |
| 克隆类型 | Polyclonal |
| 理论分子量 | 105 kDa |
| 浓度 | 1mg/ml |
| 储存液 | 0.01M TBS (pH7.4) with 1% BSA, 0.02% Proclin300 and 50% Glycerol. |
| 研究领域 | Signal Transduction > Cytoskeleton / ECM > Cell Adhesion > Cadherins Signal Transduction > Cytoskeleton / ECM > Extracellular Matrix > Structures > Desmosomes |
| 亚细胞定位 | Cell membrane; Single-pass type I membrane protein. Cell junction, desmosome. |
| 组织特异性 | Epidermis, tongue, tonsil, esophagus and carcinomas. |
| 相似性 | Contains 4 cadherin domains. |
| 保存条件 | Shipped at 4℃. Store at -20℃ for one year. Avoid repeated freeze/thaw cycles. |
| 注意事项 | This product as supplied is intended for research use only, not for use in human, therapeutic or diagnostic applications. |
| 背景资料 | Desmosomes are cell-cell junctions between epithelial, myocardial, and certain other cell types. Desmoglein 3 is a calcium-binding transmembrane glycoprotein component of desmosomes in vertebrate epithelial cells. Currently, three desmoglein subfamily members have been identified and all are members of the cadherin cell adhesion molecule superfamily. These desmoglein gene family members are located in a cluster on chromosome 18. This protein has been identified as the autoantigen of the autoimmune skin blistering disease pemphigus vulgaris. |
| 应用 | 推荐稀释比例 |
| {IHC-P} | {1:100-500} |
| {IHC-F} | {1:100-500} |
| {IF} | {1:100-500} |

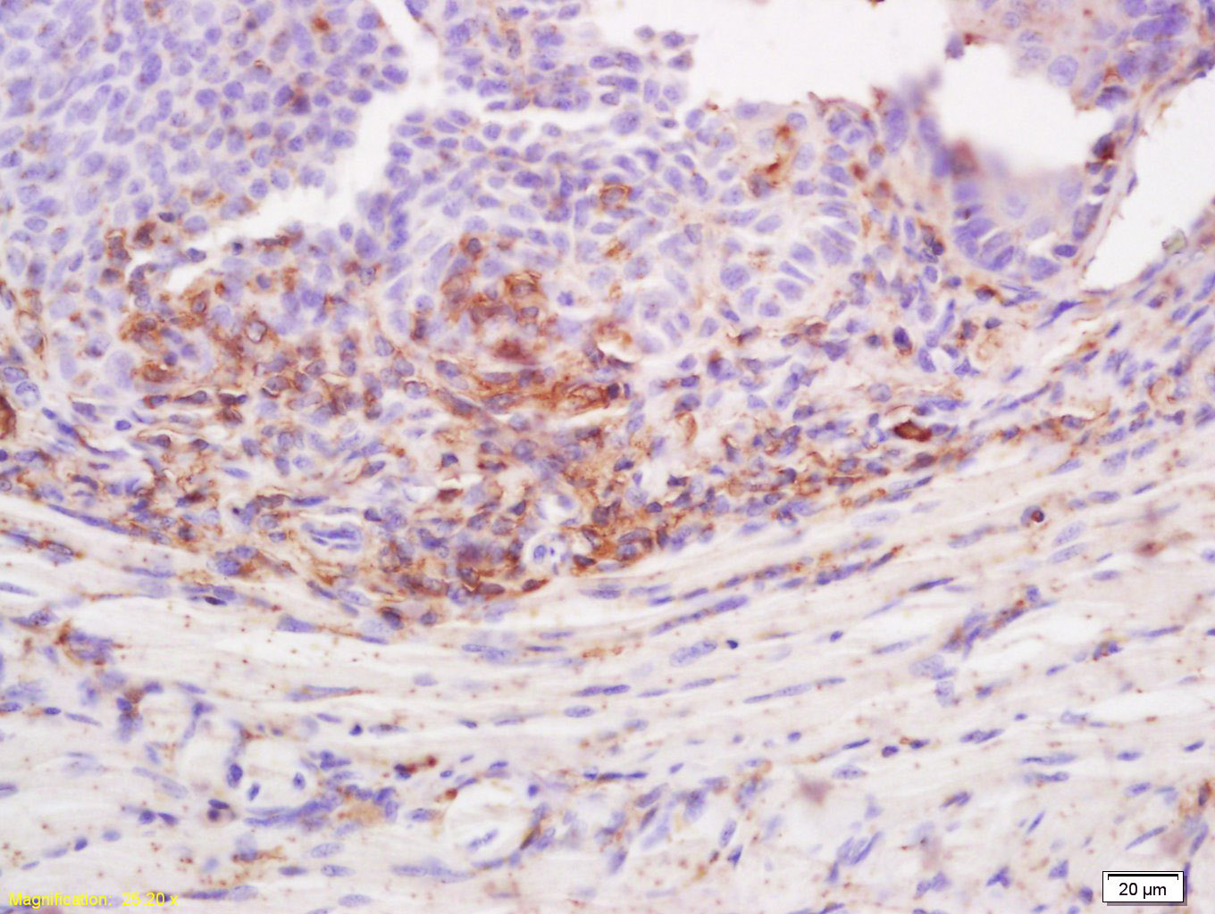
Antigen retrieval: citrate buffer ( 0.01M, pH 6.0 ), Boiling bathing for 15min; Block endogenous peroxidase by 3% Hydrogen peroxide for 30min; Blocking buffer (normal goat serum,C-0005) at 37℃ for 20 min;
Incubation: Anti-Desmoglein 3 Polyclonal Antibody, Unconjugated(bs-6585R) 1:200, overnight at 4°C, followed by conjugation to the secondary antibody(SP-0023) and DAB(C-0010) staining
风险提示:丁香通仅作为第三方平台,为商家信息发布提供平台空间。用户咨询产品时请注意保护个人信息及财产安全,合理判断,谨慎选购商品,商家和用户对交易行为负责。对于医疗器械类产品,请先查证核实企业经营资质和医疗器械产品注册证情况。
文献和实验[IF={{ 4.996 }}] {Oike, Asami. et al. Bisphosphonate affects the behavioral responses to HCl by disrupting farnesyl diphosphate synthase in mouse taste bud and tongue epithelial cells. SCI REP-UK. 2022 Dec;12(1):1-15} {IF} {Mouse}
[IF={{ 4.3 }}] {Sumitomo et al. Streptococcal Cysteine Protease-Mediated Cleavage of Desmogleins Is Involved in the Pathogenesis of Cutaneous Infection. (2018) Front.Cell.Infect.Microbiol. 8:10} {IF} {Mouse}
[IF={{ 0.32 }}] {BİR, Ferda, et al. "New immunohistochemical markers in the differential diagnosis of nonsmall cell lung carcinoma." Turkish Journal of Medical Sciences (2016).} {IHC} {="Human"}
技术资料暂无技术资料 索取技术资料






