相关产品推荐更多 >

Somatostatin 14 Rabbit pAb, APC conjugated(bs-11796R-APC)-100ul
¥2980
HSD17B6 Rabbit pAb, Cy5 conjugated(bs-6592R-Cy5)-100ul
¥2980
phospho-Cytokeratin 17(Ser44) Rabbit pAb(bs-3239R)-50ul/100ul/200ul
¥1180
TBC1D15 Rabbit pAb, Biotin conjugated(bs-7422R-Bio)-100ul
¥2980
MARK4 Rabbit pAb(bs-4659R)-50ul/100ul/200ul
¥1180
万千商家帮你免费找货
0 人在求购买到急需产品
- 详细信息
- 文献和实验
- 技术资料
- 应用范围:
产品信息以Bioss网站为准
- 规格:
50ul/100ul/200ul
| 规格: | 50ul | 产品价格: | ¥1180.0 |
|---|---|---|---|
| 规格: | 100ul | 产品价格: | ¥1980.0 |
| 规格: | 200ul | 产品价格: | ¥2800.0 |
| 产品编号 | bs-1055R |
| 英文名称 | Neurocan Rabbit pAb |
| 中文名称 | 神经粘蛋白抗体 |
| 英文别名 | Chondroitin sulfate proteoglycan 3; Cspg3; NCAN; NEUR; Neurocan core protein; NCAN_HUMAN. |
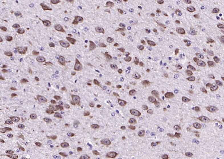
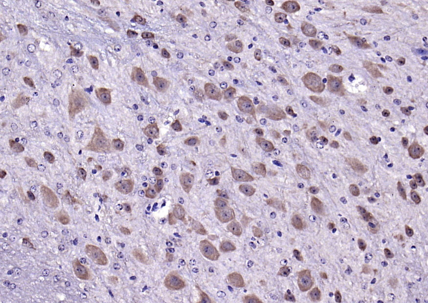
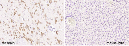
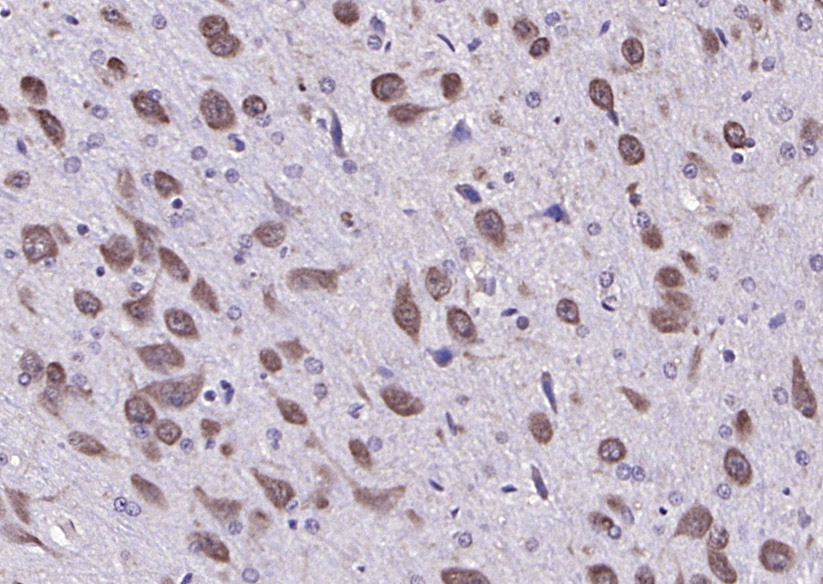
| 产品应用 | IHC-P=1:100-500, IHC-F=1:100-500, IF=1:100-500 Not yet tested in other applications. |
| 交叉反应 | Mouse, Rat (Human) |
| 抗体来源 | Rabbit |
| 免疫原 | KLH conjugated synthetic peptide derived from human Neurocan |
| 亚型 | IgG |
| 性状 | Liquid |
| 纯化方法 | affinity purified by Protein A |
| 克隆类型 | Polyclonal |
| 理论分子量 | 140 kDa |
| 浓度 | 1mg/ml |
| 储存液 | 0.01M TBS (pH7.4) with 1% BSA, 0.02% Proclin300 and 50% Glycerol. |
| 研究领域 | Neuroscience > Cell Adhesion Proteins > ECM Proteins |
| 亚细胞定位 | Secreted. |
| 组织特异性 | Brain. |
| 相似性 | Belongs to the aggrecan/versican proteoglycan family. Contains 1 C-type lectin domain. Contains 2 EGF-like domains. Contains 1 Ig-like V-type (immunoglobulin-like) domain. Contains 2 Link domains. Contains 1 Sushi (CCP/SCR) domain. |
| 功能 | May modulate neuronal adhesion and neurite growth during development by binding to neural cell adhesion molecules (NG-CAM and N-CAM). Chondroitin sulfate proteoglycan; binds to hyaluronic acid. |
| 保存条件 | Shipped at 4℃. Store at -20℃ for one year. Avoid repeated freeze/thaw cycles. |
| 注意事项 | This product as supplied is intended for research use only, not for use in human, therapeutic or diagnostic applications. |
| 背景资料 | Neurocan is the major soluble chondroitin sulfate proteoglycan in the brain. It is thought to play a functional role in axonal growth and guidance and in the establishment of specific neural pathways during embryonic brain development. Neurocan expression in the brain is developmentally regulated. Early on the major form of neurocan consists of a 245kD core protein with approximately two chondroitin sulfate glycosoaminoglycan chains of 22kD each. Later neurocan comprises a 180kD core protein Both forms of neurocan contain only chondroitin 4-sulfate glycosoaminoglycan chains. By virtue of their high expression at sites of neural damage and trauma, chondroitin sulfate proteoglycans, including neurocan, are thought to inhibit successful nerve regeneration. Alternative names: Chondroitin sulfate proteoglycan 3; Cspg3; NCAN; NEUR; Neurocan core protein. |
| 应用 | 推荐稀释比例 |
| {IHC-P} | {1:100-500} |
| {IHC-F} | {1:100-500} |
| {IF} | {1:100-500} |







风险提示:丁香通仅作为第三方平台,为商家信息发布提供平台空间。用户咨询产品时请注意保护个人信息及财产安全,合理判断,谨慎选购商品,商家和用户对交易行为负责。对于医疗器械类产品,请先查证核实企业经营资质和医疗器械产品注册证情况。
文献和实验[IF={{ 0.96 }}] {Yang, L., et al. "Transplantation of Schwann Cells Differentiated from Adipose-derived Stem Cells Modifies Reactive Gliosis after Contusion Brain Injury in Rats." Journal of International Medical Research 39.4 (2011): 1344-1357.} {WB} {="Rat"}
= NAL), appears to form upon oxidative cyclization of the nonfluorescent 2:1 lysine-HNE Michael adduct-Schiff base cross-link (Scheme 1). Polyclonal antibody (PAb) to the NAL-HNE fluorophore was raised in rabbit and found to be highly specific
GE Healthcare Benzamidine Sepharose™ 6B is p-aminobenzamidine covalently attached to Sepharose 6B by the epoxy coupling method. p-Aminobenzamidine (PAB), is a synthetic inhibitor of trypsin-like serine protease. Trypsin and trypsin
Nucleic Acid Programmable Protein Arrays: Versatile Tools for Array‐Based Functional Protein Studies
.g., Sigma) 50 mg/ml bis‐sulfosuccinimdylsuberate (BS3 ;Pierce, cat. no. PI 21580) in dimethylsulfoxide (DMSO) 5 mg/ml
技术资料暂无技术资料 索取技术资料






