相关产品推荐更多 >

SDHB Rabbit pAb, BF647 conjugated(bs-6650R-BF647)-100ul
¥2980
phospho-Ephrin B (Tyr324 + Tyr329) Rabbit pAb(bs-3129R)-50ul/100ul/200ul
¥1180
MuRF1 Rabbit pAb, PE-Cy5 conjugated(bs-2539R-PE-Cy5)-100ul
¥2980
HO-1 Rabbit pAb(bs-23397R)-50ul/100ul/200ul
¥1180
Integrin Alpha V + Beta 1 Rabbit pAb, RBITC conjugated(bs-2016R-RBITC)-100ul
¥2980
万千商家帮你免费找货
0 人在求购买到急需产品
- 详细信息
- 文献和实验
- 技术资料
- 应用范围:
产品信息以Bioss网站为准
- 规格:
50ul/100ul/200ul
| 规格: | 50ul | 产品价格: | ¥1180.0 |
|---|---|---|---|
| 规格: | 100ul | 产品价格: | ¥1980.0 |
| 规格: | 200ul | 产品价格: | ¥2800.0 |
| 产品编号 | bs-2518R |
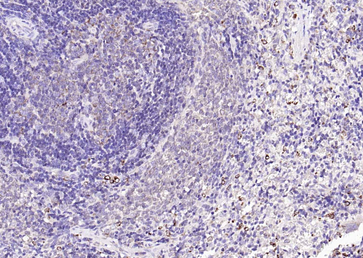
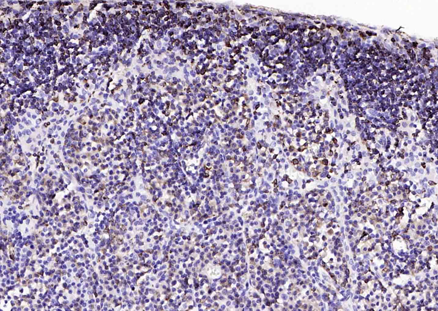
| 英文名称 | CD74 Rabbit pAb |
| 中文名称 | CD74抗体 |
| 英文别名 | CD 74; CD74 antigen; CD74 molecule; CLIP; DHLAG; gamma chain of class II antigens; HG2A_HUMAN; HLA class II histocompatibility antigen gamma chain; HLA DR antigens associated invariant chain; HLA DR gamma; HLA-DR antigens-associated invariant chain; HLA-DR-gamma; HLADG; HLADR antigens associated invariant chain; Ia antigen associated invariant chain; Ia antigen-associated invariant chain; Ia associated invariant chain; Ia gamma; Ii; Invariant polypeptide of major histocompatibility complex class II antigen associated; la-gamma; Major histocompatibility complex class II invariant chain; MHC HLA DR gamma chain; MHC HLA-DR gamma chain; p33; p35; Protein 41. |
| 产品应用 | IHC-P=1:100-500, IHC-F=1:100-500, IF=1:100-500, ELISA=1:5000-10000 Not yet tested in other applications. |
| 交叉反应 | Mouse |
| 抗体来源 | Rabbit |
| 免疫原 | Recombinant mouse CD74 protein |
| 亚型 | IgG |
| 性状 | Liquid |
| 纯化方法 | affinity purified by Protein A |
| 克隆类型 | Polyclonal |
| 理论分子量 | 34 kDa |
| 实际分子量 | 35kDa |
| 浓度 | 1mg/ml |
| 储存液 | 0.01M TBS (pH7.4) with 1% BSA, 0.02% Proclin300 and 50% Glycerol. |
| 研究领域 | Immunology > Adaptive Immunity > B Cells > CD Microbiology > Organism > Virus > RNA Virus > ssRNA positive strand virus > SARS Coronavirus |
| 亚基 | Homotrimer. In the endoplasmic reticulum (ER) it forms a heterononameric MHC II-Ii complex: 3 MHC class II molecules (heterodimers of an alpha and a beta subunit) bind to the CD74 homotrimer (also known as invariant chain or HLA class II histocompatibility antigen gamma chain). In the endosomal/lysosomal system, the CD74 component undergoes sequential degradation by various proteases, including CTSS and CTSL, leaving a small fragment termed CLIP (class-II-associated invariant chain peptide) attached to the MHC class II molecule (alpha-beta-CLIP complex). This processed complex interacts with HLA_DM and HLA_DO heterodimers in order to release CLIP and facilitate the binding of antigenic peptides to the MHC class II molecules. |
| 亚细胞定位 | Cell membrane; Single-pass type II membrane protein (Potential). Endoplasmic reticulum membrane. Golgi apparatus, trans-Golgi network. Endosome. Lysosome. Note=Transits through a number of intracellular compartments in the endocytic pathway. It can either undergo proteolysis or reach the cell membrane. |
| 翻译后修饰 | N- and O-glycosylated. O-glycosylated with core 1 or possibly core 8 glycans. |
| 相似性 | Contains 1 thyroglobulin type-1 domain. |
| 功能 | Plays a critical role in MHC class II antigen processing by stabilizing peptide-free class II alpha/beta heterodimers in a complex soon after their synthesis and directing transport of the complex from the endoplasmic reticulum to the endosomal/lysosomal system where the antigen processing and binding of antigenic peptides to MHC class II takes place. Serves as cell surface receptor for the cytokine MIF. |
| 保存条件 | Shipped at 4℃. Store at -20℃ for one year. Avoid repeated freeze/thaw cycles. |
| 注意事项 | This product as supplied is intended for research use only, not for use in human, therapeutic or diagnostic applications. |
| 背景资料 | CD74, also known as the MHC class II associated invariant chain (Ii), is a type II transmembrane protein which binds to the peptide binding groove of newly synthesized MHC class II alpha/beta heterodimers and prevents their premature association with endogenous polypeptides. CD74 is produced in molar excess over MHC class II and some of this is expressed by an unknown pathway on the cell surface independent of, or in association with, MHC class II molecules. The half life of CD74 on the cell surface is only 3 to 4 min after which it is internalized. It has been proposed that cell surface CD74 binds The protein encoded by this gene associates with class II major histocompatibility complex (MHC) and is an important chaperone that regulates antigen presentation for immune response. It also serves as cell surface receptor for the cytokine macrophage migration inhibitory factor (MIF) which, when bound to the encoded protein, initiates survival pathways and cell proliferation. This protein also interacts with amyloid precursor protein (APP) and suppresses the production of amyloid beta (Abeta). Multiple alternatively spliced transcript variants encoding different isoforms have been identified. [provided by RefSeq, Aug 2011] |
| 应用 | 推荐稀释比例 |
| {IHC-P} | {1:100-500} |
| {IHC-F} | {1:100-500} |
| {IF} | {1:100-500} |
| {ELISA} | {1:5000-10000} |



风险提示:丁香通仅作为第三方平台,为商家信息发布提供平台空间。用户咨询产品时请注意保护个人信息及财产安全,合理判断,谨慎选购商品,商家和用户对交易行为负责。对于医疗器械类产品,请先查证核实企业经营资质和医疗器械产品注册证情况。
文献和实验[IF={{ 9.225 }}] {Aaron K. Chow. et al. Enteric Glia Regulate Lymphocyte Activation via Autophagy-Mediated MHC-II Expression. Cell Mol Gastroenter. 2021 Jun;:} {IF} {Mouse}
[IF={{ 7.097 }}] {Chuping Zheng. et al. The cellular immunotherapy of integrated photothermal anti-oxidation Pd-Se nanoparticles in inhibition of the macrophage inflammatory response in rheumatoid arthritis. Acta Pharm Sin B. 2021 Mar;:} {IHC} {Mouse}
[IF={{ 5.793 }}] {Huiyuan Ji. et al. D-dopachrome tautomerase activates COX2/PGE2 pathway of astrocytes to mediate inflammation following spinal cord injury. J Neuroinflamm. 2021 Dec;18(1):1-16} {IF} {Rat}
[IF={{ 4.7 }}] {Fei Zhang. et al. MIF regulates T helper 17 cell differentiation by activating the p38 MAPK signaling pathway to drive the pathogenesis of EAP. INT IMMUNOPHARMACOL. 2025 Jun;159:114959} {IHC} {Mouse}
[IF={{ 4.238 }}] {Nan Du. et al. Adult astrocytes from reptiles are resistant to proinflammatory activation via sustaining Vav1 expression. J Biol Chem. 2021 Mar;:100527} {IF} {Gekko japonicus geckos}
= NAL), appears to form upon oxidative cyclization of the nonfluorescent 2:1 lysine-HNE Michael adduct-Schiff base cross-link (Scheme 1). Polyclonal antibody (PAb) to the NAL-HNE fluorophore was raised in rabbit and found to be highly specific
GE Healthcare Benzamidine Sepharose™ 6B is p-aminobenzamidine covalently attached to Sepharose 6B by the epoxy coupling method. p-Aminobenzamidine (PAB), is a synthetic inhibitor of trypsin-like serine protease. Trypsin and trypsin
Nucleic Acid Programmable Protein Arrays: Versatile Tools for Array‐Based Functional Protein Studies
.g., Sigma) 50 mg/ml bis‐sulfosuccinimdylsuberate (BS3 ;Pierce, cat. no. PI 21580) in dimethylsulfoxide (DMSO) 5 mg/ml
技术资料暂无技术资料 索取技术资料






